【学习目标】
熟悉 煤尘的特性及接触机会;
煤工尘肺的概念、病理特点、临床表现与诊断。
了解 煤工尘肺的发病机制和类风湿性尘肺结节。
第四章 第四节 煤矿粉尘与煤工尘肺
第四章 第四节 煤矿粉尘与煤工尘肺
第四章 第四节 煤矿粉尘与煤工尘肺 课件 更新
煤是主要能源和化工原料之一,可分为褐煤、烟煤和无烟煤。煤矿生产有露天和井工开采两种方式。埋藏表浅的煤炭或裸露地表的煤炭,可采用露天开采方式。露天开采主要有表土剥离和采煤两道工序,剥离工序为清除煤层表面的覆土和岩石,这一工序无论采用何种工具,都会产生粉尘飞扬。采煤工序多采用电铲掘煤,粉尘飞扬较少。由于露天自然通风良好,飞扬的粉尘颗粒较大,对工人健康的危害较小。我国多数煤矿为井工开采,井工开采的主要工序是掘进和采煤。岩石掘进可产生大量岩石粉尘,岩石掘进工作面粉尘中游离二氧化硅多数在30%~50%,是煤矿粉尘危害最严重的工序。采煤工作面的粉尘主要是煤尘,游离二氧化硅含量较低,多数在5%以下。但由于地质构造复杂多变,煤层和岩层常交错存在,所以在采煤过程中常产生大量煤岩混合尘,称煤矽尘。随着采煤机械化程度的提高,煤的粉碎程度提高,粉尘产生的量及分散度也随之增高,煤尘和煤矽尘是仅次于矽尘的对工人健康造成明显危害的煤矿粉尘。
煤工尘肺(coal workers' pneumoconiosis, CWP)是指煤矿工人长期吸入生产性粉尘所引起的尘肺的总称。煤矿生产的工种和工序比较多,不同工种和工序的工作面空气中粉尘性质不同,工人接触粉尘的情况亦不各不相同。在煤矿开采过程中由于工种不同,工人可接触矽尘、煤尘和煤矽尘,从而引起肺组织弥漫性纤维化,统称为煤工尘肺。煤工尘肺有三种类型:在岩石掘进工作面的凿岩工、装渣工、放炮工等,接触岩石粉尘,粉尘中游离二氧化硅含量在10%以上,多在30%~50%,也可以说他们接触的都是矽尘,其所患尘肺为矽肺(silicosis),病理上有典型的矽结节改变,发病工龄10~15年,病变进展快,危害严重,约占煤工尘肺病人总数的20%~30%。采煤工作面的工人,包括电钻打眼工、采煤机手、回采工、地面煤仓装卸工等,主要接触单纯性煤尘(游离二氧化硅含量在5%以下),如果他们一直从事采煤工作,没有在岩石掘进工作面工作过,其所患尘肺为煤肺(anthracosis),发病工龄多在20~30年以上,病情进展缓慢、危害较轻。既在岩石掘进工作面也在采煤工作面工作过的工人,他们接触煤矽尘或既接触矽尘,又接触过煤尘,其尘肺在病理上往往兼有矽肺和煤肺的特征,这类尘肺可称之为煤矽肺(anthracosilicosis),是我国煤工尘肺中最常见的类型。发病工龄多在15~20年,病情进展较快,危害较重。
【接触机会】
煤矿除掘进岩石巷道以外的各工种,选煤厂选煤工、煤球制造工、车站和码头煤炭装卸工均接触煤尘地或煤矽混合尘。煤工尘肺的发病情况因开采方式不同有很大差异。露天煤矿工人的尘肺患病率很低,井下开采工作面的粉尘浓度和分散度均高于露天煤矿,尘肺患病率和发病率均较高。我国地域广大,地层结构复杂,各地煤工尘肺患病率差异较大,在0.92%~24.1%之间,其中矽肺占11.4%,煤矽肺占87.6%,煤肺占1.0%。不同煤种的致病能力不同,由强到弱依次为:无烟煤、烟煤、褐煤。
【病理改变】
煤工尘肺的病理改变随吸入的矽尘与煤尘的比例不同而有所差异,除了凿岩工所患矽肺外,基本上属混合型,多兼有弥漫性纤维化和结节型两者特征,主要病理改变有:
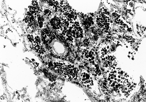
(1)煤斑 又称煤尘灶,是煤工尘肺最常见的原发性特征性病变,是病理诊断的基础指标。肉眼观察呈灶状,质软,色黑,直径2~5mm,境界不清,多在肺小叶间隔和胸膜交角处,表现为网状或条索状。镜下观察煤斑,在显微镜下是由很多的煤尘细胞灶和煤尘纤维灶组成。煤尘细胞灶是由数量不等的煤尘及煤尘细胞聚集在肺泡、肺泡壁、细小支气管和血管周围形成的,特别是在呼吸性细支气管的管壁及其周围肺泡最为常见。根据细胞和纤维成分的多少,又分别称为煤尘细胞灶和煤尘纤维灶,后者由前者进展而来。随着病灶的发展出现纤维化,早期以网状纤维为主,后期有少量的胶原纤维交织其中,形成煤尘纤维灶。

煤尘细胞灶 煤尘细胞灶

煤尘纤维灶 煤尘纤维灶
(2)灶周肺气肿 是煤工尘肺病理的又一特征。常见的有两种:一种是局限性肺气肿,见于煤尘纤维灶周围,为散在分布于煤斑旁的扩大气腔,与煤斑共存;另一种是小叶中心性肺气肿,在煤斑的中心或煤尘灶的周边,有扩张的气腔,居小叶中心,称小叶中心性肺气肿,这是由于煤尘和尘细胞在Ⅱ级呼吸性支气管周围堆积,使管壁平滑肌等结构受损,导致灶周肺气肿的形成。如果病变进一步发展,向肺泡道、肺泡管及肺泡扩展,即波及全小叶形成全小叶肺气肿。
(3)煤矽结节 肉眼观察呈圆形或不规则形,直径为2~5mm或稍大,质坚实,色黑。镜下可见两种煤矽结节:典型煤矽结节其中心部由旋涡样排列的胶原纤维构成,可发生透明样变,其间有明显煤尘沉着,周边有大量煤尘细胞、成纤维细胞、网状纤维和少量的胶原纤维,向四周延伸呈放射状;非典型煤矽结节无胶原纤维核心,胶原纤维束排列不规则并较为松散,尘细胞分散于纤维束之间。吸入粉尘中含游离二氧化硅高者,也可见部分典型矽结节。
(4)弥漫性纤维化 在肺泡间隔、小叶间隔、细支气管周围、小血管和胸膜下,出现程度不同的纤维增生和间质细胞,并有尘细胞和煤尘沉着,间质增宽变厚,晚期形成粗细不等的条索和弥漫性纤维网架,肺间质纤维增生。
(5)大块纤维化 又称进行性块状纤维化(progressive massive fibrosis,PMF),是煤工尘肺晚期的一种表现,为致密的黑色块状病变,肺组织出现2cm×2cm×1cm的一致性致密的黑色块状病变,多分布在两肺上部和后部,右肺多于左肺。病灶呈长梭形、不整形,少数似圆形或类圆形,边界清楚。镜下观察,其组织结构有两种类型:一种为弥漫性纤维化,在大块纤维组织中及病灶周围有很多煤尘和煤尘细胞,见不到结节改变;另一种为大块纤维化病灶中可见到煤矽结节,间质纤维化和煤尘仍为主要病变。煤工尘肺的大块纤维化与矽肺融合团块不同,在矽肺融合团块中结节较多,间质纤维化相对较少。有时在团块病灶中见到空洞形成,洞内积聚墨汁样物质,周围可见明显代偿性肺气肿,在肺的边缘也可发生边缘性肺气肿。
(6)含铁小体:在北京地区煤矿工人尸检肺组织中可查见含铁小体,检出率为83.8%。光镜下含铁小体中心具有一条黑色或透明遮光性强的纤维状轴心,周边由金黄色的铁蛋白完全或部分包裹,普鲁士染色呈阳性,着蓝色。含铁小体大小不一,平均长度40.26μm(10.4~110.5μm),呈多形外观,最常见为哑铃状、串珠状、钉子状和棒状,也有呈不规则花束样。纤维轴心呈直形、弯形或分枝状,轴心外围包绕铁蛋白。含铁小体在肺内分布广泛,多游离存在。一般靠近胸膜,最多见于肺泡腔内;亦见于肺泡管、呼吸性细支气管、细支气管及小支气管腔内;偶见含铁小体正穿过肺泡孔;在肺炎、肺水肿液及细支气管黏液栓中也可查见。在尘肺病变中,典型及非典型煤矽结节、煤矽结核结节、尘性纤维化的肺胸膜、小叶间隔、肺泡隔及大块纤维化中均可查见含铁小体。含铁小体的形成与巨噬细胞及多形核细胞有关,是巨噬细胞及多形核心巨细胞吞噬纤维性尘粒后在细胞内形成的。分析表明含铁小体主要以Al、Si、K、S、Ca、Fe为主,其构成与尘肺肺组织的灰分元素一致,故称煤小体。含铁小体发现有助于解释某些煤田粉尘中游离二氧化硅含量近似,但引起的病变却轻重不一的现象。
【临床表现和诊断】
(1)症状、体征和肺功能改变:患者早期一般无症状,当病变进展,尤其发展为大块纤维化或者合并支气管或肺部感染及肺气肿时才会出现呼吸系统症状和体征,如气短、胸痛、胸闷、咳嗽、咳痰等。从事稍重劳动或爬坡时,气短加重;秋冬季节咳嗽、咳痰增多。在合并支气管炎或肺部感染时,才可观察到相应的体征。煤工尘肺患者由于广泛的肺纤维化,呼吸道狭窄,尤其因肺气肿导致肺泡大量破坏,肺功能测试显示通气功能、弥散功能和气体交换功能都有减退或障碍。
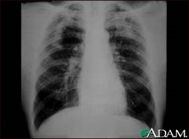
(2)X线胸片表现:煤工尘肺X线胸片也是其病理改变在胸片上的反映,煤工尘肺不论是矽肺还是煤肺,X线上主要表现为圆形小阴影、不规则形小阴影和大阴影,还可见到肺纹理和肺门阴影的异常改变。
1)圆形小阴影:煤工尘肺X线表现以圆形小阴影为主者多见,多为p或q型阴影,其病理基础是矽结节、煤矽结节和煤尘纤维灶。圆形小阴影的形态、数量和大小往往与患者接触粉尘的性质和浓度有关。纯掘进工患者可为典型矽肺表现;以掘进作业为主,接触含游离二氧化硅较多的混合性粉尘工人,以典型的小阴影居多;以采煤作业为主的工人,主要接触煤尘,并混有少量矽尘所患尘肺胸片上圆形小阴影多不太典型,边缘不整齐,呈星芒状,密集度低。圆形小阴影最早出现在右中肺区,其次为左中、右下肺区,左下及两上肺区出现的较晚。随着病变的进展,小阴影逐渐增多、增大、密集度增高,分布范围扩展,可布满全肺。
2)不规则形小阴影:较圆形小阴影响少见。多呈网状,有的密集成蜂窝状,致密度不高。其病理基础为煤尘灶、弥慢性肺间质纤维化、细支气管扩张、肺小叶中心性肺气肿。
3)大阴影:是晚期矽肺和煤矽肺的重要X线表现,呈椭圆形、长梭形或不规则形,边缘清晰,周边肺气肿明显。大阴影多是由小阴影增大、密集、融合而形成;也可由少量斑片、条索状阴影逐渐相连并融合呈条带状。周边肺气肿比较明显,形成边缘清楚、密度较浓、均匀一致的大阴影。多在两肺上、中区出现,左右对称。煤肺患者晚期罕见大阴影。

complicated coal workers pneumoconiosis complicated coal workers pneumoconiosis
此外,煤工尘肺的肺气肿多为弥慢性、局限性和泡性肺气肿。泡性肺气肿表现为成堆小泡状阴影,直径为1~5mm,即所谓“白圈黑点”。晚期可见肺大泡。
此外,煤工尘肺可见到肺纹理增多、增粗、扭曲变形,肺门阴影增大、密度增高,还可见到淋巴结蛋壳样钙化或桑椹样钙化阴影,胸膜增厚、钙化改变者较少见,但常可见到肋膈角闭锁及粘连。
煤工尘肺按《尘肺病诊断标准》(GBZ70-2009)进行诊断和分期。治疗方法同矽肺。
【预防控制措施】略
附:类风湿性尘肺结(Caplan综合征)
类风湿性尘肺结节是指煤矿工人中类风湿性关节炎的患者,在X线胸片中出现密度高而均匀、边缘清晰的圆形块状阴影,是煤矿工人尘肺的并发症之一。1953年Caplan首先在英国南威尔士煤矿工人及尘肺患者中发现,并加以描述,故称Caplan综合征。此病多见于煤矿工人,1953年Caplan调查了1.4万接尘工人,发现51例类风湿尘肺(0.4%),占尘肺病人的6.2%。1967年Lindars对英国中部2.1万名接尘工人进行尘肺普查,发现类风湿尘肺55例,占受检人数的0.26%,占尘肺病人数2.3%。国内报告3.76%的煤工尘肺患者合并类风湿性关节炎。比普通人群高出6~9倍。病因尚不十分清楚,但与类风湿性关节炎有较密切的关系,两者病因可能是一致的。
病理特征:在轻度尘肺的基础上出现类风湿性尘肺结节,其早期为胶原纤维增生,很快转为特殊性坏死,围绕坏死的核心发生成纤维细胞炎性反应而形成类风湿肉芽肿。大结节一般由数个小结节组成,每个结节轮廓清楚,最外为共有的多层胶原纤维所包绕。病理检查结节直径在3mm~20mm之间,融合可达50mm以上。结节切面呈一种特殊的明暗相间的多层同心圆排列。浅色区多为活动性炎症,而暗区则为坏死带,较暗区多是煤尘蓄积带。


Caplan综合征(类风湿性尘肺结节)
临床表现:患者临床症状和呼吸系统症状较少,只有少数病例肺功能具有不同程度损害。胸部X线表现为两肺可见散在的圆形或类圆形、密度均匀的结节,直径在0.5mm~5cm。结节的分布没有规律,可为单发,更多的为多发。注意与结核球、转移性肺癌、叁期尘肺等病鉴别。
诊断:粉尘作业工人胸片有典型的特殊阴影,并伴有风湿性关节炎,皮下结节和血清试验阳性(类风湿因子阳性可达80%)即可诊断。
防治措施:做好劳动保护,加强身体锻炼,提高自身免疫功能,及时而有效地控制感染是预防类风湿性尘肺结节的重要手段。该病目前无根治措施,治疗的原则是在药物控制疼痛的情况下,对关节进行有计划的功能锻炼,防止关节畸形和肌肉萎缩。免疫抑制剂和手术治疗对某些病人也产生一定效果。对于后期严重的关节破坏及关节功能障碍者,病情稳定后,可选择性地采用人工关节转换术重建关节功能。
(姚三巧)

