【学习目标】
掌握 硅酸盐尘肺的概念,石棉肺的概念、病理改变、临床表现;
熟悉 硅酸盐尘肺的共同特点,石棉肺病因、影响石棉肺发病的因素;
了解 石棉肺的发病机制和诊断,石棉粉尘与肺癌、预防;
其它硅酸盐尘肺,滑石尘肺、云母尘肺、水泥尘肺。
第四章 第三节 硅酸盐尘与硅酸盐尘肺
第四章 第三节 硅酸盐尘与硅酸盐尘肺
第四章 第三节 硅酸盐尘与硅酸盐尘肺 课件 更新
硅酸盐(silicates)是由二氧化硅、金属氧化物和结晶水组成的矿物,按其来源分为天然和人造两种。天然硅酸盐广泛存在于自然界中,如石棉、云母、滑石等。人造硅酸盐多由石英、钙、镁、铝和其他碱类焙烧而成,如玻璃纤维和水泥等。硅酸盐有纤维状(如石棉)和非纤维状(如水泥、云母等)两类。纤维状是指纵横径之比(aspectratio)>3∶1的尘粒。直径<3μm、长度≥5 μm的纤维称可吸入性纤维(respirablefibers),直径≥3 μm、长度≥5μm的纤维称不可吸入性纤维(nonrespirablefibers)。在生产环境中因长期吸入硅酸盐粉尘所致的尘肺,统称为硅酸盐尘肺。我国现行《职业病分类与目录》中列有石棉肺、滑石尘肺、云母尘肺和水泥尘肺。
硅酸盐尘肺具有以下共同特点:
①病理改变主要表现为弥漫性肺间质纤维化,组织切片中可见含铁小体。
②胸部X线改变以不规则小阴影为主。
③自觉症状和体征一般较明显,肺功能改变出现较早,早期为气道阻塞和肺活量下降,晚期出现“限制性综合征”,气体交换功能障碍。
④气管炎、肺部感染和胸膜炎等合并症多见,肺结核合并率较矽肺低。
(一)石棉肺
石棉肺(asbestosis)是在生产过程中长期吸入石棉粉尘所引起的以肺组织纤维化为主的疾病。其特点是两肺间质弥漫性纤维化,不出现或极少出现结节性损害,是硅酸盐尘肺中最常见、危害最严重的一种。

石棉肺:双肺胸膜高度纤维性肥厚,上、下叶肺组织纤维化
1.石棉的种类
石棉是一种具有纤维状结构的蛇纹石类和闪石类硅酸盐矿物的总称。此类矿物含有镁、铁、铝、钙、钠等氧化物和二氧化硅。
蛇纹石类主要为温石棉,为银白色片状结构,呈中空的管状纤维丝,柔软可弯曲,适于纺织,使用量占全世界石棉产量的95%以上,主要产于加拿大、俄罗斯和中国;
Chrysotile“white asbestos” Chrysotile“white asbestos”e
闪石类石棉纤维为链状结构,多粗糙且坚硬,包括青石棉、铁石棉、直闪石、透闪石和阳起石,以青石棉和铁石棉开采和使用量大,主要产于南非、芬兰和澳大利亚等。

直闪石(Anthophylite) 阳起石(Actinolite)
2.石棉的理化性质及其在发病学上的意义
石棉具有抗拉力性强,不易断裂、耐酸碱、隔热和绝缘等良好性能,工业用途达3000种以上。石棉纤维粗细随品种而异,其直径大小依次为直闪石>铁石棉>温石棉>青石棉。青石棉直径最小,易沉积于肺组织中,且穿透力强,因而致纤维化和致癌作用都最强,且出现病变早,形成石棉小体多。
3.接触机会 接触石棉主要作业是采矿、加工和使用,如石棉的采矿、选矿、运输;石棉加工厂的开包、扎棉、梳棉和纺织;建筑、造船等的保温材料、耐火材料制造;石棉制品的粉碎、切割、磨光及钻孔等生产过程均可产生大量的石棉粉尘。

国家总局2010年所检测的石棉矿山粉尘全部超标,最高超标110多倍

中国石棉矿储量最大的地区--青海的茫崖石棉矿(1958年建矿)
请看视频:中国网络电视台-[视频]尘肺病为我国目前危害最大职业病
http://tv.cntv.cn/video/C10450/7535e66a11e848beb4eadf9ed9a7ca60
4.石棉的吸入与归宿
石棉纤维被吸入呼吸道后大多通过截留方式沉积,较长的纤维易在支气管分叉处被截留,直径<3mm的纤维易进入肺泡。进入肺泡的石棉纤维大多被巨噬细胞吞噬,<5mm的纤维可被完全吞噬。一根长纤维可由两个或多个细胞同时吞噬。吞噬后大部分由粘液纤毛系统排出,小部分沉积于呼吸性支气管和肺泡腔,部分进入肺间质经淋巴系统廓清,少部分直而硬的纤维可穿过肺组织到达胸膜。

巨噬细胞正在吞噬石棉纤维
5.影响石棉肺的发病因素
石棉种类、纤维直径和长度、石棉尘浓度、接尘时间(工龄)、接触者个体差异均可影响石棉的发病。柔软而易弯曲的温石棉纤维易被阻留于细支气管上部气道并清除,直而硬的闪石类纤维,如青石棉和铁石棉可穿透肺组织到达胸膜,导致胸膜疾病;粉尘中石棉纤维含量越高,接触时间越长,吸入肺内纤维越多,越易引起肺纤维化。少数工人脱离接触石棉粉尘后仍可发生石棉肺。此外,接触者个人习惯如吸烟等也与石棉肺发病有关。
6.石棉肺的病理改变与发病机制
(1)病理改变 石棉肺的病理特点是肺间质弥漫性纤维化,可见石棉小体及胸膜肥厚和形成胸膜斑。肉眼观察,早期仅两肺胸膜轻度增厚,并丧失光泽。随着病变进展,两肺切面出现粗细不等的灰黑白色弥漫性纤维化索条和网架,为石棉肺的典型特征。晚期病例,两肺明显缩小、变硬,切面为典型的弥漫性纤维化伴蜂房样变。
镜下,石棉纤维主要沉积于呼吸细支气管及其相邻的部位,诱发的呼吸细支气管肺泡炎,表现为大量中性粒细胞渗出,伴有浆液纤维素进入肺泡腔内,基底膜肿胀,呼吸细支气管上皮细胞坏死脱落。病变过渡到修复和纤维化阶段,肺泡腔内巨噬细胞大量集结与巨噬细胞一起形成肉芽肿,逐渐产生网状纤维和胶原纤维,导致呼吸细支气管肺泡结构破坏。病变进展到中期时,纤维化纵深扩延超出小叶范围,致使小叶间隔和胸膜以及血管、支气管周围形成纤维肥厚或索条,相邻病灶融合构成网架,以两肺下叶为主。疾病晚期,可见广泛而严重的胸膜下区大块纤维化伴蜂窝状变是一个最突出的特征。石棉肺大块纤维化的显著特点在于,几乎全部由弥漫性纤维组织、残存的肺泡小岛,以及集中靠拢的粗大血管、支气管所构成,与主要由矽结节融合的矽肺块结构完全不同。


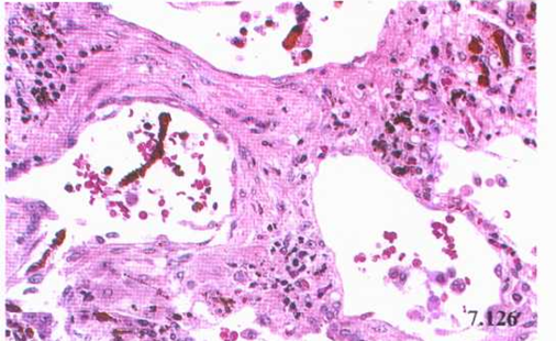
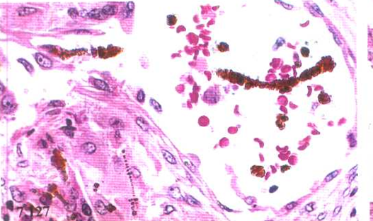
石棉小体(asbestos body) 系石棉纤维被巨噬细胞吞噬后,由一层含铁蛋白颗粒和酸性黏多糖包裹沉积于石棉纤维之上所形成。肺组织切片中可见长10~300μm,粗1~5μm的石棉小体,呈黄色或黄褐色,形似哑铃、鼓槌或串珠状,普鲁氏蓝染色时常呈阳性铁反应。石棉小体仅仅是吸入石棉的标志,其数量的多少与肺纤维化程度不一定平行。


石棉小体(asbestos body) 石棉小体(asbestos body)
胸膜改变 包括胸膜斑、胸膜渗出和弥漫性胸膜增厚。胸膜斑(pleural plaque)是指厚度>5mm的局限性胸膜增厚,典型的胸膜斑主要在壁层形成,常位于两侧中下胸壁,高于表面,乳白色或象牙色,表面光滑与周围胸膜分界清楚。镜下,胸膜斑是由玻璃样变的粗大胶原纤维束构成,相对无血管、无细胞,有时可见钙盐沉着。


胸膜斑 DiaphragmaticPleural Plaque Asbestosis
(2)发病机制 石棉肺的发病机制至今尚不清楚,主要有纤维机械刺激学说和细胞毒性学说。前者认为石棉纤维具有纤维性、多丝结构和坚韧性等物理特性,不仅可机械损伤和穿透呼吸性细支气管和肺泡壁,侵入肺间质引起纤维化病变,而且可穿透脏层胸膜,进入胸腔引起胸膜病变,即胸膜斑、胸膜渗出及胸膜间皮瘤,如直而硬的青石棉、铁石棉纤维的致病性较强。后者认为石棉纤维具有细胞毒性,当石棉纤维与细胞膜接触后,其表面的镁离子及其正电荷与巨噬细胞膜性结构相互作用,致膜上的糖蛋白,尤其是唾液酸基团丧失活性,形成离子通道,钾钠泵功能失调,细胞膜通透性增高及溶酶体酶释放,导致巨噬细胞肿胀、崩解,引起肺组织纤维化。巨噬细胞崩解所释放的大量氧自由基在细胞膜的脂质过氧化损伤中也起重要作用。
7.临床表现和诊断
(1)症状和体征 自觉症状出现较矽肺早,主要是咳嗽和呼吸困难。咳嗽多为干咳或少许黏液性痰,伴支气管炎或支气管扩张时,咯痰量增多,痰中可查到石棉小体。呼吸困难起初出现于体力活动时,随病情加重而明显,晚期患者在静息时可出现气急。患者可有一时性局限性胸痛,若有持续性胸痛,首先要考虑的是肺癌或恶性胸膜间皮瘤。
石棉肺特征性的体征是双下肺区可闻及捻发音,随病情进展,捻发音可扩展至中、上肺区,由细小声变为粗糙声。晚期患者可出现杵状指(趾),并随着病变加重而明显,伴肺源性心脏病者,可有心肺功能不全症状和体征。
(2)肺功能改变 石棉肺患者肺功能改变出现较早,往往在X线胸片尚未显示石棉肺影像之前,肺活量即开始降低。随着病情进展,可见肺活量进行性地降低,肺总量减少,残气量正常或略增加,一氧化碳弥散量降低等。CO弥散量降低是发现早期石棉肺的最敏感指标之一。
(3)X射线胸片表现 主要表现为不规则小阴影和胸膜改变。不规则小阴影是石棉肺诊断分期的主要依据。早期多在两肺下区出现密集度较低的不规则小阴影,随病情进展,小阴影逐渐增粗、增多,呈网状并逐渐扩展到两中、上肺区。

不规则小阴影
胸膜改变主要包括胸膜斑、胸膜增厚和胸膜钙化。胸膜斑:在X射线胸片上,肺野内除肺尖部和肋膈角区以外出现的厚度大于5mm的局限性胸膜增厚,或局限性钙化胸膜斑块。多见于两肺下侧胸壁6~10肋间,也可发生于膈胸膜和心包膜。弥漫性胸膜增厚的X射线影像呈不规则形阴影,以中、下肺区明显,有时可见点片或条状钙化影。

上图示胸膜斑侧面投影; 上图示钙化胸膜斑正面投影;
下图示胸膜斑正面投影; 下图示膈,纵膈胸膜钙化。

Asbestosispleural thickening
晚期石棉肺可因纵隔胸膜增厚并与心包膜及肺组织纤维化交错重叠,致使心缘轮廓不清,甚至形成“蓬发状心影”,此影像是“叁”期石棉肺的主要诊断依据之一。

石棉肺叁期( “蓬发状心影”)
(4)并发症 晚期石棉肺患者并发呼吸道及肺部感染较矽肺多见,但合并肺结核较矽肺少,因反复感染,往往可致心力衰竭。肺癌和恶性间皮瘤是石棉肺的严重并发症。
(5)诊断 石棉肺诊断和分期按照《尘肺病诊断标准》(GBZ70—2009)执行。应注意的是接触石棉粉尘,胸片表现有总体密集度1级的小阴影,分布范围达到1个肺区或小阴影密集度达到0/1,分布范围至少达到2个肺区,如出现胸膜斑,可诊断为石棉肺壹期;胸片表现有总体密集度1级的小阴影,分布范围超过4个肺区,或有总体密集度2级的小阴影,分布范围达到4个肺区者,如胸膜斑已累及部分心缘或膈面,可诊断为石棉肺贰期;胸片表现有总体密集度3级的小阴影,分布范围超过4个肺区者,如单个或两侧多个胸膜斑长度之和超过单侧胸壁长度的二分之一,或累及心缘使其部分显示蓬乱,可诊断为石棉肺叁期。
8.石棉粉尘与肿瘤
石棉是公认的致癌物,石棉纤维在肺中沉积可导致肺癌和恶性间皮瘤,不仅危害接尘工人,而且因其使用广泛而污染大气和水源,危害广大居民。
(1)肺癌 石棉可对致肺癌已由国际癌症研究中心确认。石棉接触者或石棉肺患者肺癌发生率显著增高。
(2)间皮瘤 间皮瘤分良性和恶性两类,石棉接触与恶性间皮瘤有关,间皮瘤可发生于胸、腹膜,以胸膜最多见。间皮瘤的潜伏期多数为15~40年。

胸膜间皮瘤——致密的白色环状肿块从胸膜脏层长出
(二)其他硅酸盐尘肺
我国现行的《职业病分类与目录》中除了有石棉肺,还有滑石尘肺、水泥尘肺和云母尘肺,见表3-3。

(田 琳)

