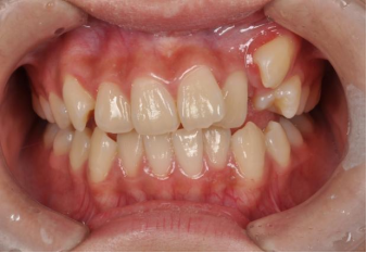
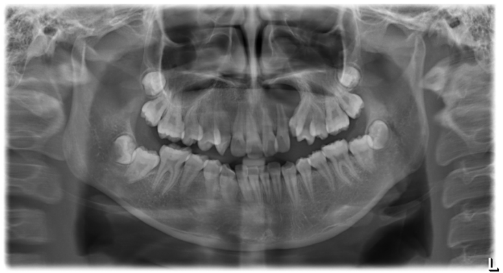
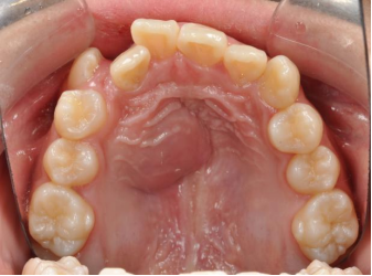
病史采集与临床检查
-
1 课件
-
2 思维导图
-
3 知识检测
-
4 主题讨论
-
5 知识拓展
上一节
下一节


