
一、概述
(一)定义
结核病是由结核分枝杆菌引起的慢性感染性疾病,其中引起肺部感染者称为肺结核(pulmonarytuberculosis,TB),是临床最为常见的结核病。结核分枝杆菌(以下简称结核杆菌)还可侵袭浆膜腔、淋巴结、泌尿生殖系统、肠道、肝脏、皮肤、骨骼及关节等多种脏器和组织,引起其他结核病。肺结核多呈慢性过程,以低热、盗汗、消瘦、乏力、食欲不振等全身中毒症状及咳嗽、咳痰、咯血、呼吸困难、胸痛等呼吸系统症状为主要表现。
(二)流行病学
肺结核是严重威胁人类健康与生命的主要传染病之一,化学治疗可使新发现的结核病治愈率达95%以上。但由于多重耐药结核杆菌感染的增多、人体免疫缺陷病毒(HIV)感染的流行、人口流动增加等客观因素以及缺乏对结核病流行警惕性而放松防控,结核病患病率在全球范围内呈明显上升趋势。在全球所有传染性疾病中,结核病已成为成年人的首要死因。WHO估算2010年全球有850万~920万新增病例,约120万~150万人死于结核病,结核病在传染病死亡中占第二位。全球约20亿人感染过结核杆菌,80%的结核病集中在印度、中国、俄罗斯、南非、秘鲁等22个国家。
当前我国结核病的疫情特点是:①高感染率:全国感染过结核杆菌者至少55亿。②高肺结核患病率:2000年活动性肺结核患病率为367/10万,约450万例;痰涂片阳性的肺结核患病率为122/10万,约150万例;2006年全国肺结核发病人数超过110万;2011年3月卫生部公布的年发病人数为130万,占全球发病的14.3%。③高耐药率:全国结核耐药率达28%,原发耐药率为18.6%。④死亡人数多:每年约有13万人死于肺结核。⑤80%患者在农村。⑥中青年患病多,15~59岁的痰涂阳性肺结核患者占全部痰涂阳性的61.6%。
本病相当于中医之“肺痨”,可见于古代文献之“劳瘵”“劳嗽”“尸疰”“虫疰”等病。
二、病因与病理
(一)病因与病机
结核病的病原菌为结核分枝杆菌复合群,包括结核分枝杆菌,牛分枝杆菌,非洲分枝杆菌和田鼠分枝杆菌。人肺结核的致病菌90%以上为结核分枝杆菌。按照其生长速度可分为快速生长菌和缓慢生长菌。缓慢生长菌为临床主要致病菌。结核杆菌属需氧菌,呈缓慢分枝生长,镜检呈细长略弯的杆菌,无荚膜、芽孢及鞭毛,不能运动。普通染色不能着色,抗酸染色才可着色且不被盐酸酒精脱色,故称抗酸杆菌,这是与其他无抗酸性细菌相鉴别的方法之一。
结核杆菌对外界抵抗力较强,耐干燥、冷、酸、碱环境。在阴湿处能生存5个月以上,在干燥的痰标本内可存活6~8个月,在-8℃~-6℃时能存活4~5年;但在阳光直射下2~7小时可被杀死,5%~12%甲酚皂液(来苏)需2~12小时方能杀灭,而75%酒精接触2分钟,或煮沸1分钟,即可杀灭。高压蒸汽灭菌(120℃)持续30分钟为最佳灭菌方法。
发病机制
本病的重要传染源是开放性肺结核患者,以空气传播为主,肺结核患者咳嗽、喷嚏排出的结核杆菌、干燥痰中的结核杆菌随空气、尘埃播散,健康人吸入可致感染,其他途径感染者少见。人类普遍易感,营养不良、免疫力低下者尤易发病。
首次吸入的结核杆菌被肺泡内吞噬细胞吞噬后可被杀灭。结核杆菌的数量多、毒力强时可存活下来,并在吞噬细胞内外大量生长繁殖,这部分肺组织即出现炎性病变,称为原发病灶。原发病灶中的结核杆菌沿肺内引流淋巴管到达肺门淋巴结,引起淋巴结肿大。原发病灶继续扩大或播散至邻近组织器官,发生结核病。临床上,原发感染最常见的良性过程是,当结核杆菌首次侵入人体开始繁殖时,机体通过细胞介导的免疫反应对结核杆菌产生特异性免疫,使之停止繁殖,原发病灶炎症吸收,播散到全身的结核杆菌被消灭。但仍可有少量结核杆菌未被消灭,长期处于休眠状态,成为继发性结核的潜在来源。
结核病的主要免疫机制是细胞免疫。吞噬细胞处理结核杆菌后将特异性抗原传递给T淋巴细胞使之致敏,机体可产生两种形式的免疫反应,即细胞介导的免疫反应(cell mediated immunity, CMI)和迟发型超敏反应(delaytype hypersensitivity,DTH),对结核病的发病、演变及转归起着决定性的作用。
1、细胞介导的免疫反应
CMI是机体获得性抗结核免疫力最主要的免疫反应。当致敏的CD+4T细胞再次受到抗原刺激而激活,产生、释放氧化酶和多种细胞因子,如IL-2、IL-6、INF-γ等,与TNF-α共同作用,加强对病灶中结核杆菌的杀灭作用。当CD+8T细胞溶解已吞噬结核杆菌和受抗原作用的吞噬细胞时,可导致宿主细胞和组织破坏,可同时伴有结核杆菌的释放和扩散。
2、迟发型超敏反应
DTH是机体再次感染结核杆菌后对细菌及其产物(结核蛋白及脂质D)产生的一种超常免疫反应。结核杆菌注入未受染的豚鼠,10~14天注射局部形成结节、溃疡,淋巴结肿大,周身血行播散而死亡;少量结核杆菌感染豚鼠后3~6周,再注射等量的结核杆菌,2~3天局部迅速形成溃疡,随后较快愈合,无淋巴结肿大与全身播散,豚鼠存活,这种机体对结核分枝杆菌再感染和初感染所表现出不同反应的现象称为Koch现象。前者为初次感染;后者为再次感染,局部剧烈反应说明超敏反应参与,但因获得免疫力,病灶趋于局限。Koch现象可解释原发性结核和继发性结核的不同发病机制。人体感染结核杆菌后,90%的人终身不发病,仅5%发病为原发性肺结核,5%的人在免疫力低下时发病称为继发性肺结核。其临床发病有快慢两种,发病慢者症状少而轻,痰涂片阴性,预后良好;发病快者症状重,易出现广泛病变、空洞、播散,痰涂片阳性,传染性强,是防治工作的重点。
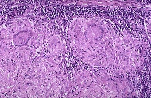
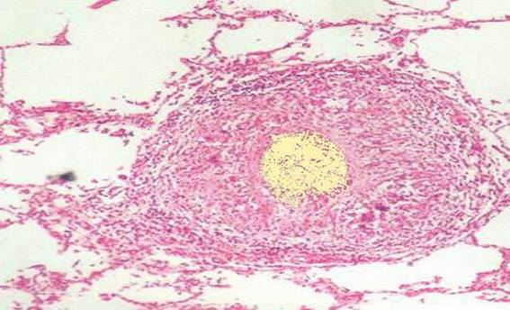
(二)病理
结核病基本病理是炎性渗出、增生和干酪样坏死。病变初起表现为组织充血、水肿,局部中性粒细胞浸润,继之由巨噬细胞及淋巴细胞浸润取代。当机体免疫力强而结核菌量少、毒力弱则表现为增生性病变,形成结核结节。如结核菌量多、毒力强而机体抵抗力低下时,则病变恶化变质,组织细胞混浊肿胀,胞质脂肪变性,胞核溶解,形成干酪样坏死组织。



上述三种病理变化多同时存在,也可以某一种变化为主,而且可以相互转化,其病理过程表现为破坏与修复同时进行。因机体免疫状态、病情轻重不同和治疗的差异,最终出现吸收好转、硬结钙化或浸润播散等病理转归。
三、临床表现
(一)主要症状
1、全身中毒症状
发热最为常见,多为长期午后潮热,即下午或傍晚体温开始升高,次日清晨降至正常,时间可持续数周。结核病灶播散或形成空洞时可出现高热。常伴有倦怠乏力、盗汗、颧红、食欲不振、体重减轻、失眠等,女性可见月经不调、闭经。
2、呼吸系统症状
(1)咳嗽、咯痰是肺结核患者最常见症状。一般咳嗽较轻,干咳或带少量黏液痰。空洞形成时,痰量增多;继发细菌感染时,咯吐脓痰;支气管内膜结核表现为刺激性咳嗽。
(2)咯血1/3~1/2的患者有不同程度咯血,通常为少量咯血或痰中带血,少数大咯血。
(3)胸痛当炎症累及壁层胸膜时,常有相应部位疼痛,随呼吸及咳嗽而加重。累及膈胸膜时,疼痛向颈部和肩部放射。
(4)呼吸困难多见于干酪性肺炎和并发气胸或大量胸腔积液者,慢性重症肺结核常出现渐进性呼吸困难,甚至缺氧发绀。
(二)体征
多少不一,取决于病变性质和范围。病变范围小时,可以没有任何体征。若渗出性病变范围较大或干酪样坏死时,可有肺实变体征,如触诊语颤增强、叩诊呈浊音、听诊闻及支气管呼吸音和细湿啰音。较大的空洞性病变听诊也可以闻及支气管呼吸音。当有较大范围的纤维条索形成时,气管向患侧移位,患侧胸廓塌陷、叩诊浊音、听诊呼吸音减弱并可闻及湿啰音。结核性胸膜炎时有胸腔积液体征:气管向健侧移位、患侧胸廓饱满、触诊语颤减弱、叩诊实音、听诊呼吸音消失。支气管结核可有局限性哮鸣音。
(三)特殊表现
1、结核性风湿症
原发性肺结核患者中,可出现多发性关节炎、结节性红斑等类似风湿热的临床表现。多见于青少年女性,与结核引起的全身过敏反应有关。
2、无反应肺结核
亦称结核性败血症。可累及多个组织器官特别是单核-巨噬细胞系统。急性暴发性起病,病情凶险,常缺乏呼吸道症状、体征和相应胸部X线表现。可见高热、食欲不振、腹痛、腹泻、腹部包块、腹水、黄疸、肝脾肿大、脑膜刺激征、肌力异常、神经系统病理反射等症状及相应体征。易误诊为败血症、白血病、结缔组织疾病等其他系统的疾病。
(四)并发症
1、气胸
干酪性病灶破溃或肺结核继发阻塞性肺气肿常并发气胸。
2、支气管扩张
支气管结核、肺结核均可继发支气管扩张,主要位于上叶,可伴有轻度或严重的咯血。
3、脓胸
主要见于肺结核合并气胸、结核性胸膜炎治疗不当或不及时者。
4、慢性肺源性心脏病
肺结核治疗不当或治疗无效而形成慢性病变,甚至一侧肺毁损,并发肺气肿、肺大泡,可发展为慢性肺源性心脏病。
四、实验室及相关检查
(一)痰结核菌检查:痰液中找到结核菌是确诊肺结核最可靠的方法。痰菌阳性说明病灶是开放性的,也是判断肺结核患者有无传染性的主要依据。检验方法有:直接涂片法、集菌法及培养。
涂片法:阳性说明每毫升痰液结核杆菌 10 万条以上。排菌量多才易阳性。
集菌法:有浓缩法、漂浮法、沉淀法。集菌法阳性率较涂片法高,约每毫升痰液结核杆菌 1000 条就阳性。
培养法:痰菌量少时可用培养法,培养阳性时应作药敏试验,可以帮助选择有效抗结核药物,但结果出来时间长,培养阴性需 3 个月才知道。如果使用含 14C 的棕榈酸作碳源底物的 7H12 培养基测量细菌代谢过程中所产生 14C 的量,即可推算出标本中是否含有抗酸杆菌 (BACTEC 法 ) ,在 5-7 天即可报告,比一般培养法缩短了时间,且可药物敏感试验和菌型鉴定,但缺点是标本可因污染而影响检查结果。
将标本在体外用聚合酶链反应(PCR) 方法,使所含微量结核菌 DNA 得到扩增,用电泳法检出。 1 条结核菌约含 lfgDNA ,40 条结核菌即可有阳性结果。此法不用体外预培养,特异性强, 2 天可出报告,快速、简便,还可作菌型鉴定,但时有假阳性或假阴性。
(二)影像学检查:胸部 x 线检查不但可早期发现肺结核,而且可对病灶部位、范围、性质、发展情况和治疗效果作出判断,对决定治疗方案很有帮助。除荧光透视和 X 线摄片外,必要时还可采用点片或特殊体位 ( 如前弓位 ) 摄片、体层摄片及支气管造影等。
肺结核的常见 x 线表现有:纤维钙化的硬结病灶 ( 斑点、条索、结节状,密度较高,边缘清晰 ) ,浸润性病灶 ( 云雾状、密度较淡、边缘模糊 ) ,干酪性病灶 ( 密度较高、浓度不一 ) 和空洞 (有环形边界的透光区 ) 。肺结核病灶一般在肺的上部、单侧或双侧,存在时间较长,常有多种性质不同的病灶混合存在和肺内播散迹象。
病变有恶化或好转,或有浸润、干酪样变和空洞形成,均属于活动性病变。活动性病灶痰中常可找到结核菌。条索状、结节状病灶经一定时间观察稳定不变,或已纤维硬结,痰菌阴性者,属于非活动性病灶。
胸部 CT 检查对于发现微小或隐蔽性病变,了解病变范围及组成,对于诊断是有帮助。
(三)结核菌素检查:旧结素(old tuberculin , OT) 是从生长过结核菌的液体培养基中提炼出来的结核菌代谢产物,主要含有结核蛋白。在人群中作普查时,可用 1:2000 的 OT 稀释液 0 .1ml(5IU) ,在左前臂屈侧作皮内注射,经 48~72h 测量皮肤硬结直径,如小于 5mm 为阴性, 5~9mm 为弱阳性 ( 提示结核菌感染或非结核性分支杆菌感染 ) , 10 一 19mm 为阳性反应, 20mm 以上或局部发生水泡与坏死者为强阳性反应。
结素的纯蛋白衍化物(purified protein derivative , PPD) 为纯结素,不产生非特异性反应。已经取代 OT

结核菌素试验的意义:
阳性:仅表示结核感染(或接种过卡介苗),而并不一定是患病。我国城市居民的结核感染率在 60 %以上。但年龄越小,则其意义越大,因为年龄越小自然感染率就越低。 3 岁以下儿童呈强阳性或成人 1 : 10000 ( 1IU )呈强阳性者,虽无症状,也应认为是患活动性肺结核(指临床上有结核毒性症状;痰菌阳性; X 线病灶具有炎性成分),也应给予治疗。
阴性:除提示没有结核菌感染之外,还可以见于以下几种情况:
( 1 )、感染早期:结核菌感染后需要 4 -- 8 周变态反应才能充分建立。在这变态反应前期,结素试验可为阴性。
( 2 )、在应用糖皮质激素等免疫抑制剂者或营养不良及麻疹、百日咳等病人,结素反应也可暂时消失。严重结核病和各种危重病人对结素无反应,或仅为弱阳性,这都是由于人体免疫力连同变态反应暂时受到抑制的结果;待病情好转,又会转为阳性反应。其他如淋巴细胞免疫系统缺陷 ( 如淋巴瘤、白血病、结节病、艾滋病等 ) 病人和老年人的结素反应也常为阴性。
(四)纤维支气管镜:纤维支气管镜检查对于发现支气管结核、了解有无肿瘤、吸取分泌物、解除阻塞或作细菌及脱落细胞检查,以及摘取活组织作病理检查等,均有重要诊断价值。
(五)其他:
1 、血常规检查:结核病人血象一般无异常。严重病例可有继发性贫血。急性粟粒型肺结核可有白细胞总数减低或类白血病反应。
2 、血沉:活动性肺结核的红细胞沉降率 ( 简称血沉 ) 可增快,但对诊断无特异性价值,血沉正常也不能排除活动性肺结核。
五、诊断与鉴别诊断
诊断主要依据临床表现、实验室检查和其他检查。
目前肺结核主要通过健康检查和门诊中发现。 X 线健康检查是发现早期肺结核的主要方法,此时虽然无明显症状,但结合其他资料(如痰菌检查、结核菌素试验等)可以明确诊断。因病就诊者多有某些肺结核临床症状和体征。
痰结核菌检查不仅是诊断肺结核的主要依据,也是考核疗效、随访病情的重要指标。
在临床工作中,要求诊断要完整,包括四个部分:肺结核类型、病变范围及空洞部位、痰菌检查、活动性及转归。
(一)肺结核类型:肺结核分为六型:
Ⅰ型 原发性肺结核:包括原发综合征和支气管(或纵隔或胸内)淋巴结结核。是初次感染结核杆菌引起的疾病。当人体抵抗力降低时,吸入感染的结核菌在肺部形成渗出性炎性病灶,称为原发病灶,多发生在上叶底部、中叶或下叶上部 ( 肺通气较大部位 ) ,引起淋巴管炎和淋巴结炎。原发病灶和淋巴结都可发生干酪性坏死。肺部的原发病灶、淋巴管炎和局部淋巴结炎,统称为原发综合征。原发性肺结核大多发生于儿童,也可见于边远山区、农村初次进入城市的成人。症状多轻微而短暂,可类似感冒,有微热、咳嗽、食欲不振、体重减轻,数周好转。 X 线可见肺部原发灶、淋巴管炎和肺门淋巴结肿大。典型的呈“哑铃状”。肺部原发病灶常较快吸收,不留痕迹或仅留细小的钙化灶,而肺门淋巴结可较长时间不愈合,可蔓延引起支气管(或纵隔或胸内)淋巴结结核。
Ⅱ型 血行播散型肺结核:多由原发性肺结核发展而来,也可继发于肺内或肺外结核,由结核病灶溃破到血管引起。可分为急性、亚急性和慢性。
①急性血行播散型肺结核:是由于大量结核杆菌一次侵入血循环而引起的,可以是全身血行播散型肺结核的一部分,也可局限于肺内。临床起病急,有全身毒血症状,如高热、寒战、盗汗、乏力。 X 线显示肺内病灶细小如粟粒、等大、均匀地播散于两肺。“三个一致”:大小、密度、分布。
②亚急性和慢性血行播散型肺结核:是少量结核杆菌分批经血行进入肺。临床上无明显中毒症状,病情发展叶较缓慢,病人常不自觉,往往于健康检查时发现。 X 线可见播散大小不均、密度不等,较对称地分布于两肺上中部。“三个不一致”:大小、密度、分布,但在两肺地分布较对称。
Ⅲ型 继发性肺结核:
①浸润性肺结核:原发感染经血行播散 ( 隐性菌血症 ) 而潜伏在肺内的结核菌绝大多数逐渐死亡。只有当人体免疫力低落时,原先潜伏在病灶内的结核菌始有机会重新繁殖,引起以渗出和细胞浸润为主、伴有不同程度的干酪样病灶,称为浸润型肺结核(内源性感染 ) 。原发病灶也有直接进展成酷似浸润型肺结核的。另外、与排菌病人密切接触,反复经呼吸道感染而发生浸润型肺结核 ( 外源性感染 ) ,但较少见,亦部发生菌血症。继发型肺结核以浸润型最为常见,多为成年人。临床症状根据病灶性质、范围及人体反应性而异。病灶多在锁骨上下, X 线显示为片状,絮状阴影,边缘模糊。当人体过敏性很高,大量结核菌进入肺部,病灶干酪样坏死、液化,终于形成空洞和病灶的支气管播散。浸润性肺结核伴大片干酪样坏死灶时,常呈急性进展,具有高度毒性症状,临床上称为干酪性 ( 或结核性 ) 肺炎。干酪样坏死灶部分消散后,周围形成纤维包膜;或空洞的引流支气管阻塞,空洞内干酪物不能排出,凝成球状病灶,称为 " 结核球 " 。
②慢性纤维空洞型肺结核:肺结核未及时发现或者治疗不当,长期不愈,空洞壁逐渐变厚,病灶出现广泛纤维化;随机体免疫力高低起伏,病灶吸收、修补、恶化、进展交替发生,称为慢性纤维空洞型肺结核。患者一般情况较好,部发病时保持一定的劳动力。有慢性咳嗽、咳痰和呼吸困难,常反复咯血,咯血后常出现支气管扩散灶而加重病情,肺功能损害逐渐严重,最后合并、肺原性心脏病或呼吸衰竭等。痰中常有结核杆菌,是结核病的重要传染源。 X 线表现:一侧或两侧单个或多个后壁空洞,多伴有支气管播散病灶以及明显的胸膜增厚,并有大量纤维条索状影,由于肺组织纤维收缩,肺门向上牵拉,肺纹呈垂柳状阴影,纵隔向病侧牵引,邻近或对侧肺组织常发生代偿性肺气肿。
Ⅳ型 结核型胸膜炎:
Ⅴ型 其他肺外结核:
Ⅵ型菌阴性肺结核:
(二)痰菌检查:是确定诊断、判断传染性和指导治疗的主要指标。
(三)化疗史:分初治与复治。
(四)病变范围及空洞部位: 按右、左侧,分上、中、下肺野记述。右侧病变记在横线以上,左侧病变记在横线以下。一侧无病变者,以 "( 一 )" 表示。以第二和第四前肋下缘内端水平将两肺分为上中下肺野。有空洞者,在相应肺野部位加“ 0 ”号。
(五)活动性及转归:
【鉴别诊断】
(一)诊断
肺结核的诊断需结合流行病学资料、临床表现、实验室检查、影像学检查进行综合分析。主要依据为胸部X线、CT检查、痰菌检查。
具有以下几种情况时,应考虑有肺结核的可能,并进一步检查确诊。
(1)反复发作的咳嗽、咯痰,或呼吸道感染经抗感染治疗3周以上无效或效果不显著。
(2)咯血或痰中带血。
(3)长期发热,常为午后潮热,伴有盗汗,乏力,颧红,体重减轻,月经不调。
(4)肺部听诊锁骨上下及肩胛间区闻及湿啰音或局限性哮鸣音。
(5)出现结节性红斑、泡性结膜炎、关节炎等表现,但无免疫性疾病依据。
(6)既往有渗出性胸膜炎、肛瘘或淋巴结长期肿大病史。
(7)有与排菌肺结核患者密切接触史。
(8)存在结核病好发危险因素,如糖尿病、肾功能不全、胃大部切除、免疫抑制剂应用、HIV感染或AIDS,新出现呼吸道症状和胸部X线检查异常。
(二)鉴别诊断
1 、肺癌: 中央型肺癌常有痰中带血,肺门附近有阴影,与肺门淋巴结结核相似。周围型肺癌呈球形、分叶状块影,有时与结核球需要鉴别。肺癌多发生在 40 岁以上男性,常无毒性症状,而有刺激性咳嗽、明显胸痛和进行性消瘦。 x 线等影像学检查,结核球周围可有卫星病灶、钙化;癌肿病灶边缘常有切迹、毛刺,胸部影像学检查,痰结核菌和脱落细胞检查,以及纤维支气管镜检查和活组织检查有助于鉴别诊断。结素试验在结核病多为阳性,有时也可作参考。血清唾液酸和癌胚抗原测定可以提示癌症,酶联免疫吸附试验诊断结核病等辅助检查有时也有帮助。还要注意肺癌与肺结核并存的可能。对于经上述检查仍不能排除肺癌者应及早剖胸探查,以免失去手术治疗的机会。
2 、肺炎:有轻度咳嗽、低热的支原体肺炎、病毒性肺炎和过敏性肺炎 ( 嗜酸粒细胞肺浸润症 ) 在 x 线上有肺部炎症征象,与早期浸润型肺结核相似。对这些一时不能鉴别的病例,不宜急于采取抗结核治疗。支原体肺炎在短时间内 (2 ~ 3 周 ) 可自行消散,过敏性肺炎血中嗜酸粒细胞增多,且肺内浸润常呈游走性。细菌性肺炎有发热、咳嗽、胸痛;和肺内大片炎症,须与干酪性肺炎相鉴别。但细菌性肺炎起病急骤,除高热、寒战外,口唇可有疱疹,咳铁锈色痰,痰中结核菌阴性,而肺炎球菌等病原菌阳性。在有效抗生素治疗下,肺部炎症一般可在 3 周左右完全消失。
3 、肺脓肿: 浸润型肺结核伴空洞须与肺脓肿相鉴别。肺结核好发于上叶锁骨上下或下叶背段。但下叶肺结核特别应注意与下叶肺脓肿相鉴别。后者起病较急,发热高,脓痰多,痰中无结核菌,但有多种其他细菌,血白细胞总数及中性粒细胞增多,抗生素治疗有效。慢纤洞型肺结核伴继发感染时易与慢性肺脓肿混淆,后者痰结核菌阴性。
4、支气管扩张:有慢性咳嗽、咳脓痰及反复咯血史,需与继发型肺结核鉴别。X线胸片多无异常发现或仅见局部肺纹理增粗或卷发状阴影,CT有助确诊。应当警惕的是化脓性支气管扩张症可以并发结核感染,在细菌学检测时应予顾及。
5、慢性支气管炎:老年慢支症状酷似慢性纤维空洞型肺结核,且近年来老年人肺结核的发病率有所增高,需认真鉴别两者,及时X线检查有助确诊。
6.尘肺:二氧化矽、石棉、氧化铁以及某些有机物质的吸入,可使肺X线胸片出现浸润阴影,其中矽肺的聚合性团块中甚至出现空洞,与结核病相似,但上述疾病为职业性,有粉尘接触史。
7、其他发热性疾病: 伤寒、败血症、白血病等。
六、治疗
治疗思路:
肺结核的治疗目的在于控制和消灭致病菌,使疾病最终获得痊愈。西医治疗主要包括化学药物治疗(简称化疗)、对症治疗、手术治疗。合理化疗是治疗结核病的首要方法,休息和营养疗法可起辅助作用。中医认为本病发生主要在于痨虫袭肺和正气亏虚,故以抗痨杀虫、补虚培元为治疗原则。中西医结合治疗,对改善肺结核病人体质虚弱状态,提高机体免疫力,降低复发率,抗化疗耐药,减轻化疗药毒副反应及增加疗效等方面有一定优势。
西医治疗
(一)抗结核化学治疗
化学治疗的主要作用是杀灭细菌、防止耐药菌产生,合理的化疗可使病灶全部灭菌而获得痊愈。
1、基本原则
化疗的原则是早期、联合、适量、规律和全程使用敏感药物,整个治疗方案分强化和巩固两个阶段。
(1)早期主要指早期治疗患者。对检出和确诊病人应立即化学治疗,以发挥药物的早期杀菌作用,促使病变吸收和减少传染性。
(2)联合是指根据病情及各种抗结核药特点,采取多种治疗药物,以增强协同作用及防止或减少耐药性的产生,确保疗效。
(3)适量根据不同病情及不同个体确定给药剂量,使治疗药物剂量既能达到有效的血药浓度,又不致因剂量过大而发生药物毒副作用,以及减轻耐药性。
(4)规律患者必须严格按照化疗方案规定的用药方法,有规律地坚持用药,不可随意更改方案、停药或间断用药,以免产生耐药性。
(5)全程指患者必须按照方案所定的疗程坚持治满疗程,以提高治愈率和减少复发率。
2、常用药物
(1)一线化疗药物
1)异烟肼(INH,H):是最重要的治疗结核病的药物之一,具有杀菌作用强、价格低廉、副作用少、能口服等优点。成人常用剂量为每日300mg(或每日4~8mg/kg),顿服;儿童每日5~10mg/kg,每日不超过300mg。急性血行播散型肺结核和结核性脑膜炎,剂量可以加倍。加大剂量时有可能并发周围神经炎,可口服维生素B6预防。使用一般剂量异烟肼时,无必要加用维生素。
2)利福平(RFP,R):常与异烟肼联合应用。成人每日1次,每日8~10mg/kg,体重在50kg及以下者为450mg,50kg以上者为600mg,空腹顿服。儿童每日10~20mg/kg。本药不良反应轻微,除消化道不适、流感症候群外,偶有短暂性肝功能损害、皮疹及发热。由于利福平及其代谢物为橘红色,服药后大小便、眼泪等为橘红色,停药后很快恢复正常。
3)链霉素(SM,S):为广谱氨基糖苷类抗生素,对结核菌有杀菌作用。成人每日肌肉注射075g,每周5次。间歇疗法为每周2~3次,每次肌肉注射075~1g。儿童、老人、妊娠妇女慎用。主要不良反应为第8对脑神经损害,表现为眩晕、耳鸣、耳聋,严重者应及时停药。听力障碍及肾功能严重减损者不宜使用。过敏反应可有皮疹、剥脱性皮炎、药物热等,过敏性休克较少见。
4)吡嗪酰胺(PZA,Z):有独特的杀菌作用,能杀灭酸性环境中的结核菌。仅需在初治开始2个月内使用。成人每日15g,分3次口服。儿童每日量30~40mg/kg。常见高尿酸血症、关节痛、胃肠不适及肝损害等不良反应。
(2)二线化疗药物
1)乙胺丁醇(EMB,E):与其他抗结核药物联用时可延缓细菌对其他药物产生耐药性。剂量15~25mg/kg,每日1次口服,8周后改为15mg/kg。不良反应甚少,偶有胃肠不适。剂量过大时可引起球后视神经炎、视力减退、视野缩小、中心盲点等,停药后多能恢复。
2)对氨基水杨酸(PAS,P):常与链霉素、异烟肼或其他抗结核药联用,可延缓对其他药物发生耐药性。成人剂量每日8~12g,分2~3次口服。不良反应有食欲减退、恶心、呕吐、腹泻等。饭后服用可减轻胃肠道反应。亦可每日12g加于5%~10%葡萄糖注射液500mL中避光静脉滴注,1个月后仍改为口服。
其他,如利福布丁(RBT)、卡那霉素(Km)、阿米卡星(AMK,K)、卷曲霉素(CPM,Cm)、环丝氨酸(Cs)、乙硫异烟肼(Eto)、氧氟沙星(Ofx)等喹诺酮类药物、抗结核药物复合剂等,都具有抗结核活性。
3、统一标准化疗方案
(1)初治活动性肺结核(含涂阳和涂阴)治疗方案
1)每日用药方案:强化期:异烟肼、利福平、吡嗪酰胺和乙胺丁醇,顿服,2个月。巩固期:异烟肼、利福平,顿服,4个月。简写为2HRZE/4HR。
2)间歇用药方案:强化期:异烟肼、利福平、吡嗪酰胺和乙胺丁醇,隔日1次或每周3次,2个月。巩固期:异烟肼、利福平,隔日1次或每周3次,4个月。简写为2H3R3Z3E3/4H3R3。
(2)复治涂阳肺结核治疗方案
复治涂阳肺结核患者强烈推荐进行药物敏感试验,敏感患者按下列方案治疗,耐药者纳入耐药方案治疗。
1)每日用药方案:强化期:异烟肼、利福平、吡嗪酰胺、链霉素和乙胺丁醇,每日1次,2个月。巩固期:异烟肼、利福平和乙胺丁醇,每日1次,6~10个月。巩固期治疗4个月时,痰菌未阴转,可继续延长治疗期至6~10个月。简写为2HRZSE/6~10HRE。
2)间歇用药方案:强化期:异烟肼、利福平、吡嗪酰胺、链霉素和乙胺丁醇,隔日1次或每周3次,2个月。巩固期:异烟肼、利福平和乙胺丁醇,隔日1次或每周3次,6~10个月。简写为2H3R3Z3S3E3/6~10H3R3E3。
上述间歇方案为《全国结核病防治规划》所采用,但必须采用全程督导化疗管理,以保证患者不间断地规律用药。
4、耐药肺结核
耐药结核病,特别是耐多药结核病(multidrug resistanttuberculosis, MDR-TB)的治愈率低,死亡率高。MDR-TB是指至少耐异烟肼和利福平,广泛耐多药结核病(extensive drugresistant or extreme drug resistant tuberculosis,XDR-TB)指除耐异烟肼和利福平外,还耐二线抗结核药物。我国为耐多药结核病高发国家之一,初始耐药率为18.6%,获得性耐药率为46.5%,初始耐多药率和获得性耐多药率分别为7.6%和17.1%。
制订MDR-TB治疗方案应注意,详细了解患者用药史,尽量依据药敏试验结果指导治疗,治疗方案至少含4种可能的敏感药物。药物至少每周使用6天。吡嗪酰胺、乙胺丁醇、氟喹诺酮应每天用药,二线药物根据患者耐受性也可每天一次用药或分次服用;药物剂量依体重而定;氨基糖苷类和卷曲霉素注射剂类药物至少使用6个月;治疗期在痰涂片和培养阴转后至少治疗18个月,有广泛病变的应延长至24个月;吡嗪酰胺可考虑全程使用。
WHO推荐一线和二线药物可以混合用于MDR-TB,以二线药物为主。治疗药物的选择:第1组药为一线抗结核药,依据药敏试验和用药史选择使用。第2组药为注射剂,如菌株敏感链霉素为首选,次选为卡那霉素和阿米卡星,两者效果相似并存在百分之百的交叉耐药;如对链霉素和卡那霉素耐药,应选择卷曲霉素。卷曲霉素和紫霉素效果相似并有高的交叉耐药。第3组为氟喹诺酮类药,菌株敏感按效果从高到低选择是莫西沙星=加替沙星>左氧氟沙星>氧氟沙星=环丙沙星。第4组为口服抑菌二线抗结核药,首选为乙硫异烟胺/丙硫异烟胺,该药疗效确定且价廉,应用从小剂量250mg开始,3~5天后加大至足量;PAS也应考虑为首选。第5组药物疗效不确定,只有当1~4组药物无法制定合理方案时,方可考虑。
MDR-TB治疗方案通常含两个阶段,即强化期(注射剂使用)和继续期(注射剂停用)。治疗方案采用标准代码,例如6Z-Km(Cm)-Ofx-Eto-Cs/12Z-Ofx-Eto-Cs,初始强化期含5种药,治疗6个月,注射剂停用后,口服药持续至少12个月,总疗期18个月。注射剂为卡那霉素(Km),也可选择卷曲霉素(Cm)。
(二)对症治疗
1、毒血症状
在有效抗结核治疗1~2周内多可消失,通常不必特殊处理。有高热等严重结核毒血症状,或结核性胸膜炎伴大量胸腔积液者,在有效抗结核药物治疗同时,可加用糖皮质激素一般用泼尼松,每日20mg,顿服,1~2周,以后每周递减5mg,用药时间为4~8周。
2、咯血
痰中带血或小量咯血,常用维生素K、氨甲苯酸、卡络柳钠(安络血)等对症治疗。中等或大量咯血时应严格卧床休息,胸部放置冰袋,并配血备用;垂体后叶素5~10U加于40mL 25%葡萄糖注射液中,缓慢静脉注入(15~20分钟),然后将垂体后叶素加入5%葡萄糖液按0.1U(kg•h)速度静脉滴注。高血压、冠状动脉粥样硬化性心脏病、心力衰竭患者和孕妇禁用。对支气管动脉破坏造成的大咯血可采用支气管动脉栓塞法。
3、休息与饮食
中毒症状重者需卧床休息,进食营养丰富及含多种维生素的食物。
(三)手术治疗
外科手术已较少应用。手术指征为:合理化疗9~12个月,痰菌仍阳性的干酪病灶、厚壁空洞;大于75px的结核球与肺癌难以鉴别时;单侧的毁损肺、支气管结核管腔狭窄伴远端肺不张或肺化脓症;结核性脓胸反复大咯血保守治疗无效者;支气管胸膜瘘等。全身情况差,或有明显心、肺、肝、肾功能不全者属手术治疗禁忌证。
中医治疗:
中医病因病机
中医学认为,肺痨的致病因素主要有两个方面,一为外染痨虫,一为内伤体虚,气血不足,阴精耗损,二者相互为因。病位在肺,主要累及脾肾。
1、痨虫袭肺
痨虫经口鼻侵袭肺脏,也可因它脏痨病经血脉流注于肺。痨虫损蚀肺叶,肺阴耗伤,肺失清肃而发生肺痨。痨虫致病最易伤阴动血,阴虚火旺,迫津外泄,则出现潮热、盗汗;损伤肺中络脉,则发生咯血。
2、正气虚弱
若先天禀赋不足,后天嗜欲无节,忧思劳倦,或大病久病失于调治,或外感久咳、胎产之后耗伤气血津液,或生活贫困,饮食营养不足,正气先虚,抗病力弱,终致痨虫乘虚伤人,发而为病。
由此可见,内外因素可以互为因果,但感染痨虫是发病关键,正气亏虚是肺痨发生发展的重要基础。正气旺盛,感染后不一定发病;正气亏虚,则感染后易于致病。同时病情的轻重与内在正气的强弱有关。本病病变部位在肺,与脾肾两脏的关系最为密切,若久延而病重者,可以演变发展至肺、脾、肾三脏同病,兼及心肝。
基本病机以痨虫损肺,肺阴亏虚为主,并可导致气阴两虚,甚则阴损及阳。病初肺体受损,肺阴被耗,肺失滋润,表现肺阴亏损之候,继则肺肾同病,兼及心肝,而致阴虚火旺;或因肺脾同病,导致气阴两伤。病久肺、脾、肾三脏皆损,阴损及阳,出现阴阳两虚。
辨证论治
1、肺阴亏损证
症状:干咳,或痰中有血丝,或胸部隐痛,手足心热,皮肤干灼,口咽干燥,盗汗,舌边尖红,无苔或少苔,脉细或细数。
治法:滋阴润肺。
方药:月华丸加减。阴虚较甚者,加百合、玉竹等滋补肺阴;痰中带血者,加白及、仙鹤草以收敛止血;乏力,纳谷不香,加太子参、鸡内金、生麦芽以健脾和胃。
2、阴虚火旺证
症状:咳嗽气急,痰少黏稠或少量黄痰,时时咳血,血色鲜红,低热或午后潮热,五心烦热,骨蒸颧红,盗汗量多,心烦失眠,或见男子梦遗失精,女子月经不调,形体日渐消瘦,舌红绛而干,无苔或剥苔,脉细数。
治法:滋阴降火。
方药:百合固金汤合秦艽鳖甲散加减。咳痰黄稠,酌加桑白皮、知母、海蛤粉、鱼腥草清热化痰;咯血多者,加黑山栀、紫珠草、大黄炭、地榆炭等止血;热势明显者,加胡黄连、黄芩、黄柏等泻火坚阴。
3、气阴耗伤证
症状:咳嗽无力,气短声低,咳痰清稀色白量多,偶或带血,或咯血,血色淡红,午后潮热,伴有畏风怕冷,自汗盗汗,纳少神疲, 便溏,面色晄白,舌质淡,边有齿印,苔薄,脉细弱而数。
治法:益气养阴。
方药:保真汤加减。咯痰稀薄,加紫菀、款冬花、苏子温润止咳;咯血量多者,加花蕊石、蒲黄、仙鹤草、三七以止血;纳少腹胀,大便溏薄者,加白扁豆、薏苡仁、莲子肉、山药益气健脾。
4、阴阳两虚证
症状:咳喘气短,动则尤甚,咯痰色白,或夹血丝,血色黯淡,自汗盗汗,声嘶或失音,面浮肢肿,心慌,唇紫肢冷,形寒或见五更泄泻,口舌生糜,大肉尽脱,男子滑精、阳痿,女子经少、经闭,舌质淡隐紫少津,脉微细而数,或虚大无力。
治法:滋阴补阳。
方药:补天大造丸加减。病久喘息气逆,加胡桃肉、冬虫夏草、蛤蚧、钟乳石等摄纳肾气;心悸甚者,加紫石英、丹参镇心宁神;五更肾泻者,加煨肉豆蔻、补骨脂以补火培土。
常用中药制剂
1、强力枇杷胶囊功效:镇咳,祛痰,解痉。适用于久痨咳嗽。用法:口服,每次2粒,每日3次。
2、人参蛤蚧丸功效:益气清肺,止咳定喘,扶正固本。适用于肺痨虚喘而兼有痰热者。用法:每次1~2丸,每日2次,开水送服。
七、预防与调护
预后:
早期诊断、规范治疗多可痊愈。但随着耐多药结核杆菌的出现以及AIDS等免疫力低下疾病的增多,治疗难度加大。
预防:
1、控制传染源及早发现痰菌阳性结核病人,积极彻底治疗,控制传染源。
2、保护易感人群 接种卡介苗是预防肺结核病最有效的办法,新生儿出生时接种后可获得免疫力,每5年补种,直至15岁。对有感染结核杆菌好发因素者如HIV感染者,且结核菌素试验阳性,酌情预防用药。
具体有建立和健全个级防痨组织、查出病人、管理病人(教育病人不随地吐痰、有痰杯,分居、分床、分头、分食、分洗)、卡介苗接种、化学药物预防。发现并治愈涂阳病人是切断传染链的最有效方法。一个涂阳病人每年约感染 l0~14 人,其中约 6 %一 8 %在 5 ~ 15 年内发展为活动性肺结核病。因此,发现涂阳病人并予彻底治疗并不单是治疗问题,从流行病学角度看,也是对结核病传播的最有效预防。
下面主要讲述卡介苗预防。 卡介苗(BacillusofCalmetteandGu~rin , BCG) 是活的无毒力牛型结核菌疫苗。接种卡介苗可使人体产生对结核菌的获得性免疫力。接种对象是未受感染的人,主要是新生儿、儿童和青少年。已受结核菌感染的人 ( 结素试验阳性 ) 就不必接种,否则有时会产生某种程度的反应( Koch 现象)。我国目前规定出生后即接种卡介苗,每 4 年作结素试验复查,阴性者加种,直至 15 岁为止。少数民族、边疆居民进入内地,或新生入学、新兵入伍必须作结素试验,阴性者接种卡介苗。
卡介苗不能预防感染,但能减轻感染后的发病和病情,新生儿或婴儿接种卡介苗后比没有接种过的同龄人群结核病减少 80 %左右,其保护力可维持 5 --10 年,所以隔数年对结素反应阴性者需要复种。卡介苗的免疫效果是肯定的,但也是相对的。
接种位置一律取左上臂三角肌外缘下端。常用皮内注射法。接种后结素阳转率高达80 -- 90 %,如仍阴性说明接种失败。
接种反应:接种卡介苗后 2 ~ 3 周,一般局部出现红肿、破溃,常在数周内自行结痂痊愈。
化学药物预防 : 开放性肺结核患者家庭中结素试验阳性且与患者密切接触的成员、结素试验新近转为阳性的儿童,以及患非活动性结核病而正在接受长期大剂量皮质激素或免疫抑制剂者,可服用异烟肼 ( 每日 5mg / ks) 半年至一年,以预防发生结核病。为了早期发现药物可能引起的肝功能损害,成人在服药期间宜定期复查肝功能。


