一、概述
肾病综合征(nephroticsyndrome,NS)诊断标准是:①尿蛋白大于3.5g/d;②血浆白蛋白低于30g/L;③水肿;④血脂升高。其中①②两项为诊断所必需。
本病属中医水肿范畴。
原发性肾病综合征的病理类型有多种,其中儿童及少年以微小病变型较多见;中年以膜型肾病多见。从国内资料来看系膜增殖性病变应引起重视。
二、病因
(一)西医病因
1.大量蛋白尿

在正常生理情况下,肾小球滤过膜具有分子屏障及电荷屏障作用,当这些屏障作用受损时,致使原尿中蛋白含量增多,当其增多明显超过近曲小管回吸收量时,形成大量蛋白尿。在此基础上,凡增加肾小球内压力及导致高灌注、高滤过的因素(如高血压、高蛋白饮食或大量输注血浆蛋白)均可加重尿蛋白的排出。
2.血浆蛋白变化
NS时大量白蛋白从尿中丢失,促进白蛋白肝脏代偿性合成增加,同时由于近端肾小管摄取滤过蛋白增多,也使肾小管分解蛋白增加。当肝脏白蛋白合成增加不足以克服丢失和分解时,则出现低白蛋白血症。此外,NS患者因胃肠道黏膜水肿导致饮食减退、蛋白质摄入不足、吸收不良或丢失,也是加重低白蛋白血症的原因。 除外血浆白蛋白减少外,血浆的某些免疫球蛋白(如IgG)和补体成分、抗凝及纤溶因子、金属结合蛋白及内分泌素结合蛋白也可减少,尤其是肾小球病理损伤严重,大量蛋白尿,和非选择性蛋白尿时更为显著。患者易产生感染、高凝、微量元素缺乏、内分泌紊乱和免疫功能低下等并发症。
3.水肿
肾病性水肿发生机制详见本篇第二章。NS时低白蛋白血症、血浆胶体渗透压下降,使水分从血管腔内进人组织间隙,是造成NS水肿的基本原因。近年的研究表明,约50%患者血容量正常或增加,血浆肾素水平正常或下降,提示某些原发于肾内钠、水潴留因素在NS水肿发生机制中起一定作用。
4.高脂血症
高胆固醇和(或)高甘油三酯血症、血清中LDL、VLDL和脂蛋白(a)[1ipoprotein(a),Lp(a)]浓度增加,常与低蛋白血症并存。其发生机制与肝脏合成脂蛋白增加和脂蛋白分解减弱相关,目前认为后者可能是高脂血症更为重要的原因。
(二)中医病因病机

肾病综合征一般以水肿为主要临床表现,因此一般多按中医的“水肿”门所记载的理论和实践来进行研究。关于肾病综合征水肿的病机,主要与肺、脾、肾三脏及三焦对水液代谢功能的失调有关。由于外邪侵袭,肺之治节、肃降失司,可以出现面部水肿,或加重原来脾、肾两虚所引起的水肿;脾虚不能运化则水湿贮留也可以水肿;肾虚不能化气,亦可水湿贮留而肿,故《景岳全书·肿胀》说:“凡水肿等证,乃肺脾肾相干之病,盖水为至阴,故其本在肾;水化于气,故其标在肺;水惟畏土,故其制在脾”。三焦为水液运行之道路,三焦气化的正常与否,直接与肺、脾、肾三脏的功能有关,另外肝主疏泄,肝气失于条达,亦可使三焦气机壅塞,决渎无权,而致水湿内停,因此间接地也与肝的功能有关。在水肿发生的过程中,临床上还要注意水、气、血三者的关系,气行则水行,气滞则水停;《金匾要略》有“血不利则为水”。《脉经·卷九》有:“经水前断后病水,名曰血分”、“先病水后经水断,名曰水分”说明血能病水,水能病血,实际上水与气血的关系,是反映了肝与水液代谢的关系,肝气条达,则无气滞,亦不会产生瘀血;肝失疏泄,气机不畅,气滞血瘀,则可产生水肿。
三、原发性NS的病理类型及其临床特征
引起原发性NS的肾小球病主要病理类型有微小病变型肾病、系膜增生性肾小球肾炎、系膜毛细血管性。肾小球肾炎、膜性肾病及局灶性节段性肾小球硬化。它们的病理及临床特征如下:
(一)微小病变型肾病



光镜下肾小球基本正常,近曲小管上皮细胞可见脂肪变性。免疫病理检查阴性。
特征性改变和本病的主要诊断依据为电镜下有广泛的肾小球脏层上皮细胞足突消失(effacement)。 微小病变型肾病约占儿童原发性NS的80%~90%,成人原发性。NS约10%~20%。本病男性多于女性,儿童高发,成人发病率降低,但60岁后发病率又呈现一小高峰。典型的临床表现为。NS,仅15%左右患者伴有镜下血尿,一般无持续性高血压及肾功能减退。可因严重钠水潴留导致一过性高血压和肾功能损害。
本病约30%~40%病例可能在发病后数月内自发缓解。90%病例对糖皮质激素治疗敏感,治疗后两周左右开始利尿,尿蛋白可在数周内迅速减少至阴性,血浆白蛋白逐渐恢复正常水平,最终可达临床完全缓解。但本病复发率高达60%,若反复发作或长期大量蛋白尿未得到控制,本病可能转变为系膜增生性肾小球肾炎,进而转变为局灶性节段性肾小球硬化。一般认为,成人的治疗缓解率和缓解后复发率均较儿童低。
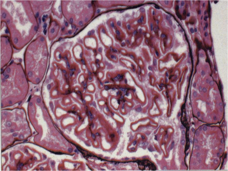
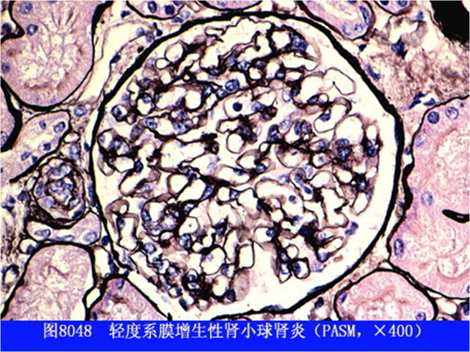
(二)系膜增生性肾小球肾炎


光镜下可见肾小球系膜细胞和系膜基质弥漫增生,依其增生程度可分为轻、中、重度。
免疫病理检查可将本组疾病分为IgA肾病及非IgA系膜增生性肾小球肾炎。前者以IgA.沉积为主,后者以IgG或IgM沉积为主,均常伴有C3于肾小球系膜区、或系膜区及毛细血管壁呈颗粒状沉积。
电镜下在系膜区可见到电子致密物。 本组疾病在我国的发病率很高,在原发性NS中约占30%,显著高于西方国家。本病男性多于女性,好发于青少年。约50%患者有前驱感染,可于上呼吸道感染后急性起病,甚至表现为急性肾炎综合征。部分患者为隐匿起病。本组疾病中,非IgA系膜增生性肾小球肾炎者约50%患者表现为NS,约70%患者伴有血尿;而IgA肾病者几乎均有血尿,约15%出现NS。随肾脏病变程度由轻至重,肾功能不全及高血压的发生率逐渐增加。 本组疾病呈NS者,对糖皮质激素及细胞毒药物的治疗反应与其病理改变轻重相关,轻者疗效好,重者疗效差。
(三)系膜毛细血管性肾小球肾炎


光镜下较常见的病理改变为系膜细胞和系膜基质弥漫重度增生,可插入到肾小球基底膜(GBM)和内皮细胞之间,使毛细血管袢呈“双轨征”。
免疫病理检查常见IgG和C3呈颗粒状系膜区及毛细血管壁沉积。
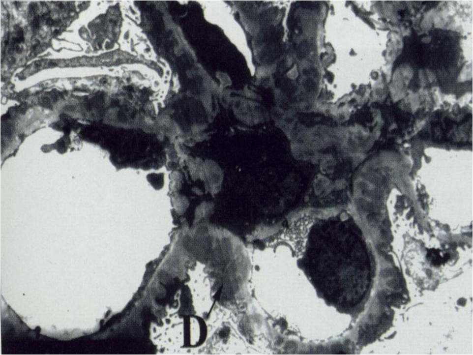
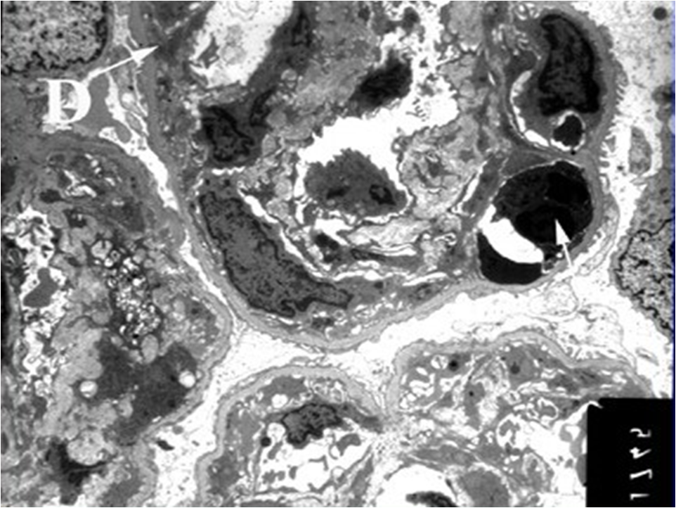
电镜下系膜区和内皮下可见电子致密物沉积(图5-4-3)。 该病理类型约占我国原发性NS的10%~20%。本病男性多于女性,好发于青壮年。约1/4~1/3患者常在上呼吸道感染后,表现为急性肾炎综合征;约50%~60%患者表现为。NS,几乎所有患者均伴有血尿,其中少数为发作性肉眼血尿;其余少数患者表现为无症状性血尿和蛋白尿。肾功能损害、高血压及贫血出现早,病情多持续进展。50%~70%病例的血清C3持续降低,对提示本病有重要意义。 本病所致NS治疗困难,糖皮质激素及细胞毒药物治疗可能仅对部分儿童病例有效,成人疗效差。病变进展较快,发病10年后约有50%的病例将进展至慢性肾衰竭。
(四)膜性肾病
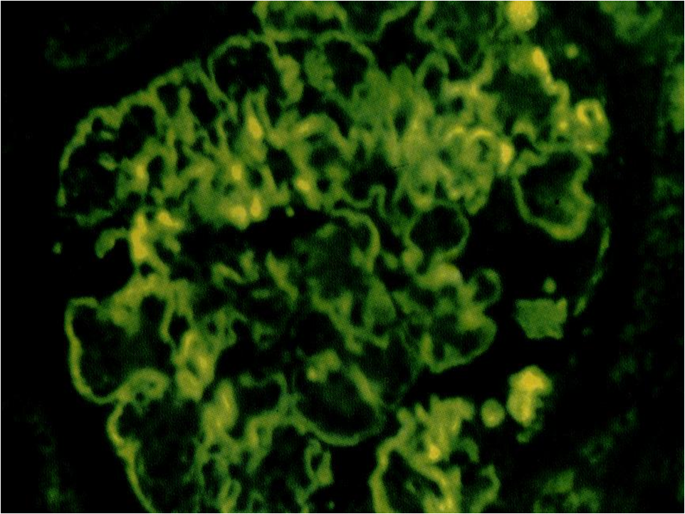
光镜下可见肾小球弥漫性病变,早期仅于肾小球基底膜上皮侧见多数排列整齐的嗜复红小颗粒(Masson染色);进而有钉突形成(嗜银染色),基底膜逐渐增厚。免疫病理显示IgG和C3呈细颗粒状沿肾小球毛细血管壁沉积。电镜下早期可见GBM上皮侧有排列整齐的电子致密物,常伴有广泛足突融合(图5-4-4)。 本病男性多于女性,好发于中老年。通常起病隐匿,约80%表现为NS,约30%可伴有镜下血尿,一般无肉眼血尿。常在发病5~10年后逐渐出现肾功能损害。本病极易发生血栓栓塞并发症,肾静脉血栓发生率可高达40%~50%。 
膜性肾病约占我国原发性NS的20%。约有20%~35%患者的临床表现可自发缓解。约60%~70%的早期膜性肾病患者(尚未出现钉突)经糖皮质激素和细胞毒药物治疗后可达临床缓解。但随疾病逐渐进展,病理变化加重,治疗疗效则较差。本病变多呈缓慢进展,我国、日本和我国香港特区的研究显示,10年肾脏存活率为80%~90%,明显较西方国家预后好。


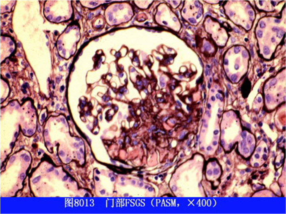
(五)局灶性节段性肾小球硬化
光镜下可见病变呈局灶、节段分布,表现为受累节段的硬化(系膜基质增多、毛细血管闭塞、球囊粘连等),相应的肾小管萎缩、肾间质纤维化。免疫病理检查显示IgM和C3在肾小球受累节段呈团块状沉积。电镜下可见肾小球上皮细胞足突广泛融合、足突与GBM分离及裸露的GBM节段。
根据硬化部位及细胞增殖的特点,FSGS可分为以下五种亚型:
①经典型:硬化部位主要位于血管极周围的毛细血管袢;
②塌陷型:外周毛细血管袢皱缩、塌陷,呈节段或球性分布,显著的足细胞增生肥大和空泡变性;
③顶端型:硬化部位主要位于尿极;
④细胞型:局灶性系膜细胞和内皮细胞增生同时可有足细胞增生、肥大和空泡变性;
⑤非特殊型:无法归属上述亚型,硬化可发生于任何部位,常有系膜细胞及基质增生。其中非特殊型最为常见,约占半数以上。
该病理类型约占我国原发性NS的5%~10%。本病好发于青少年男性,多为隐匿起病,部分病例可由微小病变型肾病转变而来。大量蛋白尿及NS为其主要临床特点(发生率可达50%~75%),约3/4患者伴有血尿,部分可见肉眼血尿。本病确诊时患者约半数有高血压和约30%有肾功能减退。 多数顶端型FSGS糖皮质激素治疗有效,预后良好。塌陷型治疗反应差,进展快,多于两年内进入终末期肾衰。其余各型的预后介于两者之间。过去认为FSGS对糖皮质激素治疗效果很差,近年的研究表明50%患者治疗有效,只是起效较慢,平均缓解期为4个月。NS能否缓解与预后密切相关,缓解者预后好,不缓解者6~10年超过半数患者进入终末期肾衰。
四、并发症
(一)感染
与蛋白质营养不良、免疫功能紊乱及应用糖皮质激素治疗有关。常见感染部位顺序为呼吸道、泌尿道、皮肤。感染是NS的常见并发症,由于应用糖皮质激素,其感染的临床征象常不明显,尽管目前已有多种抗生素可供选择,但若治疗不及时或不彻底,感染仍是导致NS复发和疗效不佳的主要原因之一,甚至造成死亡,应予以高度重视。
(二)血栓、栓塞并发症
由于血液浓缩(有效血容量减少)及高脂血症造成血液黏稠度增加。此外,因某些蛋白质从尿中丢失,及肝代偿性合成蛋白增加,引起机体凝血、抗凝和纤溶系统失衡;加之NS时血小板功能亢进、应用利尿剂和糖皮质激素等均进一步加重高凝状态。因此,NS容易发生血栓、栓塞并发症,其中以肾静脉血栓最为常见(发生率约10%~50%,其中3/4病例因慢性形成,临床并无症状);此外,肺血管血栓、栓塞,下肢静脉、下腔静脉、冠状血管血栓和脑血管血栓也不少见。血栓、栓塞并发症是直接影响NS治疗效果和预后的重要原因。
(三)急性肾衰竭
NS患者可因有效血容量不足而致肾血流量下降,诱发肾前性氮质血症。经扩容、利尿后可得到恢复。少数病例可出现急性肾衰竭,尤以微小病变型肾病者居多,发生多无明显诱因,表现为少尿甚或无尿,扩容利尿无效。肾活检病理检查显示。肾小球病变轻微,肾间质弥漫重度水肿,肾小管可为正常、或部分细胞变性、坏死,肾小管腔内有大量蛋白管型。该急性。肾衰竭的机制不明,推测与肾间质高度水肿压迫肾小管和大量管型堵塞肾小管有关,即上述变化形成肾小管腔内高压,引起肾小球滤过率骤然减少,又可诱发肾小管上皮细胞损伤、坏死,从而导致急性肾衰竭。
(四)蛋白质及脂肪代谢紊乱
长期低蛋白血症可导致营养不良、小儿生长发育迟缓;免疫球蛋白减少造成机体免疫力低下、易致感染;金属结合蛋白丢失可使微量元素(铁、铜、锌等)缺乏;内分泌素结合蛋白不足可诱发内分泌紊乱(如低R综合征等);药物结合蛋白减少可能影响某些药物的药代动力学(使血浆游离药物浓度增加、排泄加速),影响药物疗效。高脂血症增加血液黏稠度,促进血栓、栓塞并发症的发生,还将增加心血管系统并发症,并可促进肾小球硬化和肾小管一间质病变的发生,促进肾脏病变的慢性进展。
五、诊断和鉴别诊断
(一)西医诊断
诊断包括三个方面:①确诊NS;②确认病因:必须首先除外继发性的病因和遗传性疾病(参见表5-4-1),才能诊断为原发性NS;最好能进行肾活检,作出病理诊断;③判定有无并发症。
需进行鉴别诊断的继发性NS病因主要包括以下疾病:
1.过敏性紫癜肾炎 好发于青少年,有典型的皮肤紫癜,可伴关节痛、腹痛及黑便,多在皮疹出现后1~4周左右出现血尿和(或)蛋白尿,典型皮疹有助于鉴别诊断。

2.系统性红斑狼疮肾炎 好发于青少年和中年女性,依据多系统受损的临床表现和免疫学检查可检出多种自身抗体,一般不难明确诊断。


3.乙型肝炎病毒相关性肾炎 多见于儿童及青少年,以蛋白尿或NS为主要临床表现,常见的病理类型为膜性肾病,其次为系膜毛细血管性肾小球。肾炎等。国内依据以下三点进行诊断:①血清HBV抗原阳性;②患肾小球肾炎,并可除外狼疮性肾炎等继发性肾小球肾炎;③肾活检切片中找到HBV抗原。我国为乙型肝炎高发区,对有乙型肝炎患者,儿童及青少年蛋白尿或:NS患者,尤其为膜性肾病,应认真排除之。
4.糖尿病肾病 好发于中老年,NS常见于病程10年以上的糖尿病患者。早期可发现尿微量白蛋白排出增加,以后逐渐发展成大量蛋白尿、NS。糖尿病病史及特征性眼底改变有助于鉴别诊断。
5.肾淀粉样变性 好发于中老年,肾淀粉样变性是全身多器官受累的一部分。原发性淀粉样变性主要累及心、肾、消化道(包括舌)、皮肤和神经;继发性淀粉样变性常继发于慢性化脓性感染、结核、恶性肿瘤等疾病,主要累及肾脏、肝和脾等器官。肾受累时体积增大,常呈NS。肾淀粉样变性常需肾活检确诊。
6.骨髓瘤性肾病 好发于中老年,男性多见,患者可有多发性骨髓瘤的特征性临床表现,如骨痛、血清单株球蛋白增高、蛋白电泳M带及尿本周蛋白阳性,骨髓象显示浆细胞异常增生(占有核细胞的15%以上),并伴有质的改变。多发性骨髓瘤累及肾小球时可出现NS。上述骨髓瘤特征性表现有利于鉴别诊断。
(二) 中医辨证分型
中医辨证治疗依据中医望、闻、问、切四诊诊断手段及八纲、病因、脏腑等辨证方法,我们常归纳为以下几种证型。
(1)脾肾阳虚:
证候:症见一身皆肿,小便不利,身瞩动,恶寒无汗,四肢清冷,甚则沉重疼痛,舌质淡,舌体胖大,苔薄白脉沉紧。
证候分析:脾肾阳虚,水湿不化,开阖失司,水液不能正常运行而停于体内,溢于肌肤,故见水肿、小便不利;脾肾阳虚,水湿内动,故见身闰动;脾肾阳虚,阳气不能达于肌肤四肢,故见恶寒无汗,四肢清冷,舌质淡,体胖大。苔薄白、脉沉紧,均为脾肾阳虚,水湿内阻之象。
(2)肝肾阴虚:
证候:素禀阳盛的患者,面部及下肢皆肿,伴见口渴欲饮,口苦纳呆,大便干结,手足心热,舌质偏红,苔薄自,脉见细数或弦细。
证候分析:由于素禀阳盛或过用激素及中药温补,导致肝肾阴虚,影响水液代谢,致水湿内停,溢于肌肤,故可见面部及下肢浮肿;肝肾阴虚,易生内热,加之水湿内停,湿热相合,产生湿热,故见口渴欲饮,口苦纳呆等证。其余舌脉均为肝肾阴虚之象。
(3)气阴两虚:
证候:全身浮肿,下肢尤甚,伴神疲短气、腹胀纳差,手足心热,口咽干燥,腰酸腰痛,头晕头痛,口渴喜饮,舌质淡红有齿痕,苔薄,脉沉细或弦细。
证候分析:本证多由脾肾气虚或肝肾阴虚日久,气损及阴,阴损及气发展而来;气虚不能化水,阴虚不能化气,均可致水湿内停而引起水肿、神疲乏力,腹胀纳差,均为气虚所致;手足心热,口咽干燥多为阴虚所为;其余脉证多为气阴两虚所致。
(4)风热犯肺:
证候:一身悉肿,面目尤甚,或伴有恶寒发热,头痛身痛,脉浮苔薄,或多见反复感染性病灶。
证候分析:由于体虚感受风邪,邪客肌表内舍于肺,肺失宣降,水道不通,风水相搏,风遏水阻,泛滥肌肤而发为水肿。伴见恶寒发热、头痛、身痛等外感症状。
(5)气滞水停:
证候:全身浮肿较重,反复发作,腹胀明显,胸闷短气,恶心呕吐,尿少,尿黄,舌质红,苔薄黄,脉弦滑等。
证候分析:由于水停三焦日久,阻滞气机,或因肝郁气滞,肝失疏泄,皆可使气机不畅,水道不通,终致气滞水停而形成水肿,且反复发作。由于气机阻滞,故伴见腹胀、胸闷短气等症。水湿内停,气机阻滞,胃失和降,胃气上逆,故见恶心呕吐;气机不畅,水液不能排泄,故尿少、尿黄。水湿内停不化津,故舌质红;脉弦滑为气机阻滞之象。
(6)湿热壅滞:
证候:全身浮肿,面红气粗,口苦口粘,口干不欲饮水,或痤疮感染,或继发疮疖,小便短涩。大便不畅,舌尖边红,苔薄黄腻,或苔黄,脉滑数或弦数。
证候分析:由于上壅木郁,三焦气化不利,水湿内蕴,积久化热,热蒸湿郁,湿热壅滞形成水肿;湿热上扰,津不上承,故见面红气粗、口苦口粘,口干不欲饮水等;湿热壅盛肌肤外发,故见颜面痤疮或皮肤疮疖;湿热下注,则见小便短涩,大使不畅;其余舌脉均系湿热壅滞之象。
六、治疗
(一)西医治疗
一)一般治疗
凡有严重水肿、低蛋白血症者需卧床休息。水肿消失、一般情况好转后,可起床活动。
给予正常量0.8~1.0g/(kg·d)的优质蛋白(富含必需氨基酸的动物蛋白)饮食。热量要保证充分,每日每公斤体重不应少于126~147kJ(30~35kcal)。尽管患者丢失大量尿蛋白,但由于高蛋白饮食增加肾小球高滤过,可加重蛋白尿并促进肾脏病变进展,故目前一般不再主张应用。 水肿时应低盐(<3g/d)饮食。为减轻高脂血症,应少进富含饱和脂肪酸(动物油脂)的饮食,而多吃富含多聚不饱和脂肪酸(如植物油、鱼油)及富含可溶性纤维(如燕麦、米糠及豆类)的饮食。
二)对症治疗
1.利尿消肿
(1)噻嗪类利尿剂:主要作用于髓袢升支厚壁段和远曲小管前段,通过抑制钠和氯的重吸收,增加钾的排泄而利尿。常用氢氯噻嗪25mg,每日3次口服。长期服用应防止低钾、低钠血症。
(2)潴钾利尿剂:主要作用于远曲小管后段,排钠、排氯,但潴钾,适用于低钾血症的患者。单独使用时利尿作用不明显,可与噻嗪类利尿剂合用。常用氨苯蝶啶50mg,每日3次,或醛固酮拮抗剂螺内酯20mg,每日3次。长期服用需防止高钾血症,对肾功能不全患者应慎用。
(3)袢利尿剂:主要作用于髓袢升支,对钠、氯和钾的重吸收具有强力的抑制作用。常用呋塞米(速尿)20~120mg/d,或布美他尼(丁尿胺)1~5mg/d(同等剂量时作用较呋塞米强40倍),分次口服或静脉注射。在渗透性利尿药物应用后随即给药效果更好。应用袢利尿剂时需谨防低钠血症及低钾、低氯血症性碱中毒发生。
(4)渗透性利尿剂:通过一过性提高血浆胶体渗透压,可使组织中水分回吸收入血。此外,它们又经过肾小球滤过,造成肾小管内液的高渗状态,减少水、钠的重吸收而利尿。常用不含钠的右旋糖酐40(低分子右旋糖酐)或淀粉代血浆(706代血浆)(分子量均为2.5万~4.5万),250~500ml静脉点滴,隔日1次。随后加用袢利尿剂可增强利尿效果。但对少尿(尿量<400ml/d)患者应慎用此类药物,因其易与肾小管分泌的Tamm-Horsfall蛋白和肾小球滤过的白蛋白一起形成管型,阻塞肾小管,并由于其高渗作用导致肾小管上皮细胞变性、坏死,诱发“渗透性肾病”,导致急性肾衰竭。
(5)提高血浆胶体渗透压:血浆或白蛋白等静脉输注均可提高血浆胶体渗透压,促进组织中水分回吸收并利尿,如继而用呋塞米60~120mg加于葡萄糖溶液中缓慢静脉滴注,有时能获得良好的利尿效果。但由于输入的蛋白均将于24~48小时内由尿中排出,可引起肾小球高滤过及肾小管高代谢造成肾小球脏层及肾小管上皮细胞损伤、促进肾间质纤维化,轻者影响糖皮质激素疗效,延迟疾病缓解,重者可损害肾功能。故应严格掌握适应证,对严重低蛋白血症、高度水肿而又少尿(尿量<400ml/d)的NS患者,在必需利尿的情况下方可考虑使用,但也要避免过频过多。心力衰竭患者应慎用。
对NS患者利尿治疗的原则是不宜过快过猛,以免造成血容量不足、加重血液高黏倾向,诱发血栓、栓塞并发症。
2.减少尿蛋白 持续性大量蛋白尿本身可导致肾小球高滤过、加重肾小管一间质损伤、促进肾小球硬化,是影响肾小球病预后的重要因素。已证实减少尿蛋白可以有效延缓肾功能的恶化。 血管紧张素转换酶抑制剂(ACEI)(如贝那普利)或血管紧张素Ⅱ受体拮抗剂(ARB)(如氯沙坦),除可有效控制高血压外,均可通过降低肾小球内压和直接影响肾小球基底膜对大分子的通透性,有不依赖于降低全身血压的减少尿蛋白作用。用ACEI或ARB降尿蛋白时,所用剂量一般应比常规降压剂量大,才能获得良好疗效。
三)主要治疗——抑制免疫与炎症反应
1.糖皮质激素(简称激素) 可能是通过抑制炎症反应、抑制免疫反应、抑制醛固酮和抗利尿激素分泌,影响肾小球基底膜通透性等综合作用而发挥其利尿、消除尿蛋白的疗效。424
使用原则和方案一般是:①起始足量:常用药物为泼尼松1mg/(kg·d),口服8周,必要时可延长至12周;②缓慢减药;足量治疗后每2~3周减原用量的10%,当减至20mg/d左右时症状易反复,应更加缓慢减量;③长期维持:最后以最小有效剂量(10mg/d)再维持半年左右。激素可采取全日量顿服或在维持用药期间两日量隔日一次顿服,以减轻激素的副作用。水肿严重、有肝功能损害或泼尼松疗效不佳时,可更换为甲泼尼龙(等剂量)口服或静脉滴注。因地塞米松半衰期长,副作用大,现已少用。 根据患者对糖皮质激素的治疗反应,可将其分为“激素敏感型”(用药8~12周内NS缓解)、“激素依赖型”(激素减药到一定程度即复发)和“激素抵抗型”(激素治疗无效)三类,其各自的进一步治疗有所区别。
长期应用激素的患者可出现感染、药物性糖尿病、骨质疏松等副作用,少数病例还可能发生股骨头无菌性缺血性坏死,需加强监测,及时处理。
2.细胞毒药物 这类药物可用于“激素依赖型”或“激素抵抗型”的患者,协同激素治疗。若无激素禁忌,一般不作为首选或单独治疗用药。
(1)环磷酰胺:是国内外最常用的细胞毒药物,在体内被肝细胞微粒体羟化,产生有烷化作用的代谢产物而具有较强的免疫抑制作用。应用剂量为每日每千克体重2mg,分1~2次口服;或200mg,隔日静脉注射。累积量达6~8g后停药。主要副作用为骨髓抑制及中毒性肝损害,并可出现性腺抑制(尤其男性)、脱发、胃肠道反应及出血性膀胱炎。
(2)盐酸氮芥:为最早用于治疗NS的药物,治疗效果较佳。因可引起注射部位血管炎或局部组织坏死,及严重的胃肠道反应和甚强的骨髓抑制作用,目前临床上较少应用。
(3)其他:苯丁酸氮芥2mg,每日3次口服,共服用3个月,毒性较氮芥小,疗效差。此外,硫唑嘌呤亦有使用报道,但疗效也较弱。
3.环孢素 能选择性抑制T辅助细胞及T细胞毒效应细胞,已作为二线药物用于治疗激素及细胞毒药物无效的难治性NS。常用量为每日每千克体重3~5mg,分两次空服口服,服药期间需监测并维持其血浓度谷值为100~200ng/ml。服药2~3个月后缓慢减量,疗程半年至一年。副作用有肝肾毒性、高血压、高尿酸血症、多毛及牙龈增生等。价格较昂贵及上述副作用及停药后易复发,使其广泛应用受到限制。
4.麦考酚吗乙酯(mycophenolatemofetil,MMF)在体内代谢为霉酚酸,后者为次黄嘌呤单核苷酸脱氢酶抑制剂,抑制鸟嘌呤核苷酸的经典合成途径,故而选择性抑制T、B淋巴细胞增殖及抗体形成达到治疗目的。常用量为1.5~2g/d,分2次口服,共用3~6月,减量维持半年。已广泛用于肾移植后排异反应,副作用相对小。近年一些报道表明,该药对部分难治性NS有效,尽管尚缺乏大宗病例的前瞻对照研究结果,但已受到重视。因其价格较高,目前仍作为二线用药。已有导致严重贫血和伴肾功能损伤者应用后出现严重感染的个案报道,应引起足够重视。 应用激素及细胞毒药物治疗NS可有多种方案,原则上应以增强疗效的同时最大限度地减少副作用为宜。对于是否应用激素治疗、疗程长短以及应否使用细胞毒药物等应结合患者肾小球病的病理类型、年龄、肾功能和有否相对禁忌证等情况不同而区别对待,制定个体化治疗方案。
近年来根据循证医学(evidence-basedmedicine,EBM)的研究结果,针对不同的病理类型,提出的相应治疗方案为:
1.微小病变型肾病 常对激素治疗敏感,初治者可单用激素治疗。因感染、劳累而短期复发,去除诱因后仍不缓解者可再使用激素,疗效差或反复发作者应并用细胞毒药物,力争达到完全缓解并减少复发。
2.膜性肾病 对于本病的治疗目前有较大的争议,根据循证医学已有以下共识:①单用激素无效,必须激素联合烷化剂(常用环磷酰胺、瘤可宁)。效果不佳的患者可试用小剂量环孢素,一般用药应在半年以上;也可与激素联合应用。②早期膜性肾病疗效相对较好;若肾功能严重恶化,血肌酐>354μmol/L或肾活检示严重间质纤维化则不应给予上述治疗。③激素联合烷化剂治疗的对象主要为有病变进展高危因素的患者,如严重、持续性NS,肾功能恶化和肾小管间质较重的可逆性病变等,应给予治疗。反之,则提议可先密切观察6个月,控制血压和用.ACEI或(和)ARB降尿蛋白,病情无好转再接受激素联合烷化剂治疗。另外,膜性肾病易发生血栓、栓塞并发症,应予以积极防治。
3.局灶节段性肾小球硬化 既往认为本病治疗效果不好,循证医学表明部分患者(30%~50%)激素有效,但显效较慢,建议足量激素治疗[1mg/(kg·d)]应延长至3~4个月;上述足量激素用至6个月后无效,才能称之为激素抵抗。激素效果不佳者可试用环孢素。
4.系膜毛细血管性肾小球肾炎 本病疗效差,长期足量激素治疗可延缓部分儿童患者的肾功能恶化。对于成年患者,目前没有激素和细胞毒药物治疗有效的证据。临床研究仅发现口服6~12个月的阿司匹林(325mg/d)和(或)双嘧达莫(50~100mg,每日3次)可以减少尿蛋白,但对延缓肾功能恶化无作用。
5.IgA肾病 参见本篇第五章“IgA肾病”。 尽管上述EBM的研究结果绝大部分来自西方国家,但值得从中借鉴并结合我们自己的经验进一步实践,再加以科学地总结分析。
(二)中医药治疗
单纯中医、中药治疗NS疗效出现较缓慢,一般主张与激素及细胞毒药物联合应用。
1.辨证施治
(1)脾肾阳虚:治法:温补脾肾,通阳利水。
方药:真武汤合五皮饮加减。药用制附片、肉桂、茯苓、泽泻、白术、大腹皮、桑白皮、生姜皮、白芍、陈皮等。真武汤为温阳利水的代表方,方中制附片大辛大热,温肾壮阳,化气行水为主;水制在脾,故又配伍茯苓、白术健脾渗利为辅;配以白芍疏肝止痛,养阴利水,且能缓和附子之辛燥。五皮饮可健运脾气,以御水邪之泛滥,还有宣降调理中气、疏通水道之功,使水有去路。两者共奏温补脾肾,通阳利水之功。为增加利水消肿之功,可加牛膝、车前子、防己,一则活血利水,二则引水湿从下而去。若水肿重者,还可合用己椒苈黄丸,辛宣苦泄,导水从小便而去,攻坚决壅,逐水从大便而去,前后分消,以除水湿。
(2)肝肾阴虚:治法:滋补肝肾,育阴利水。
方药:知柏地黄汤加减。药用知母、黄柏、生地、丹皮、山萸肉、山药、茯苓、泽泻、车前子、牛膝等。方中知母、黄柏坚肾清火,兼清湿热;生地、山萸肉以滋补肝肾;配以丹皮清泻肝火,使水足火平,山药健脾益阴、茯苓、泽泻淡渗利湿;佐以牛膝、车前子活血利水。诸药合用、补泻结合,补中有泻,寓泻于补,补阴为主,阴与阳济,能制虚火,则诸症自除。若湿热盛者,可合用五味消毒饮以清热解毒,挟瘀者合当归芍药散加减。
(3)气阴两虚:治法:益气养阴。
方药:参芪麦味地黄汤或大补元煎加减,药用党参(偏阴虚者用太子参)、黄芪、生地、丹皮、山药、山萸肉、茯苓、泽泻、牛膝、车前子等。 (4)风热犯肺:治法:辛凉解表,宣肺利水。
方药:越婢汤、越婢加术汤合五皮饮加减。药用炙麻黄、生石膏、白术、陈皮、茯苓皮、大腹皮(桑白皮、生姜皮、牛膝、车前子等。方中麻黄、桑白皮宣降肺气,复其肃降;重用石膏辛寒清热,和麻黄一辛寒。一辛温,以辛凉透邪外出;陈皮理所醒脾;白术、茯苓皮健脾渗湿利水;大腹皮、生姜皮行气消肿;生姜皮兼能辛透表邪;加牛膝、车前子以增强利水之功。若表热重者,可加菊花、连翘、芥穗等以清热解表。
(5)气滞水停:治法:行气利水。
方药:导水茯苓汤加减。药用茯苓、泽泻、白术、麦冬、陈皮、桑白皮、大腹皮、木瓜、槟榔、苏叶、广木香。砂仁等。本方是行气利水的代表方。方中桑白皮清肃肺气;大腹皮、槟榔宽中导滞;陈皮、木香、砂仁、苏叶斡旋中州气机;茯苓、泽泻淡渗利水;白术、木瓜燥湿醒脾;麦冬清热养阴,以防利水伤阴。
(6)湿热壅滞:治法:清热解毒,祛湿利水。
方药:程氏萆xie分清饮加减。药用萆xie、石菖蒲、茯苓、白术、黄柏、车前子、丹参、滑石、石苇、益母草、白茅根等。本方是清利湿热的常用方。方中萆薢、石菖蒲清利湿浊;黄柏、车前、石苇、滑石清利湿热;白术、茯苓健脾祛湿;丹参、益母草活血通络;加白茅根以增强清热利尿之功。诸药合用,使湿浊得分,湿热得去,脉络通畅,诸症得除。若兼有阴
虚者,可合用滋肾汤。
2.拮抗激素及细胞毒药物副作用 久用大剂量激素常出现阴虚内热或湿热,给予滋阴降火或清热祛湿的方剂,可减轻激素副作用;激素减量过程中辅以中药温补脾肾方剂,常可减少病情反跳、巩固疗效;应用细胞毒药物时配合补益脾肾及调理脾胃的中药,可减轻骨髓抑制及胃肠反应的副作用。
3.雷公藤总苷10~20rag,每日3次口服,有降尿蛋白作用,可配合激素应用。国内研究显示该药具有抑制免疫、抑制肾小球系膜细胞增生的作用,并能改善肾小球滤过膜通透性。主要副作用为性腺抑制、肝功能损害及外周血白细胞减少等,及时停药后可恢复。本药毒副作用较大,甚至可引起急性肾衰竭,用时要小心监护。
4.验方
(1)鱼腥草(干品): 100~150g,加开水1000m1,浸泡半小时后代茶饮,日1剂,3个月为一疗程,疗程间隔2~3日。用于肾病综合征各种证型。
(2)商陆3g、五花肉(猪颈肉)60g,加水400m1,用文火偎至300m1,一天分3次饮用(不吃肉)。适用于水肿及尿中有蛋白者。
(3)紫苏500g,煎汤,淋洗(要睡后发汗)。可用于水肿症者。
(4)玉米30粒/蝉衣3个,蛇蜕1个,加水适量煮粥吃。适用于水肿者。
(5)活田螺2~3只与盐3g,捣烂炒热,放于9*9薄膜塑料上,敷脐下气海穴,然后用绷带包扎,每日换1次。适用于有腹水症的患者。
(6)母鸡一只约900g,黄芪120g,共炖烂,喝汤吃肉,隔日或3日吃1只鸡,每只鸡分2日食完。适用于血浆自蛋白低下显著而水肿消失缓慢者。
(7)龙葵30g、白英30g、蛇莓30g、露蜂房9g,水煎取汁,一日分服。适用于肾病蛋白尿反复不愈者。
(8)梓树荚60g、炙甘草15g、大枣20枚,每日1剂水煎服。适用于水肿并有尿蛋白者。
(9)生黄芪、石苇各15~30g、玉米须、白茅根各30g、川穹9g,日1剂水煎服。适用于肾病综合征各个阶段。
(10)黑大豆250g、怀山药60g、苍术60g,共研细末,水泛为丸,每次6~9g,日2~3次。适用于肾病综合征的恢复期。
(三)并发症防治 NS的并发症是影响患者长期预后的重要因素,应积极防治。
1.感染 通常在激素治疗时无需应用抗生素预防感染,否则不但达不到预防目的,反而可能诱发真菌二重感染。免疫增强剂(如胸腺肽、转移因子及左旋咪唑等)能否预防感染尚不完全肯定。一旦发现感染,应及时选用对致病菌敏感、强效且无肾毒性的抗生素积极治疗,有明确感染灶者应尽快去除。严重感染难控制时应考虑减少或停用激素,但需视患者具体情况决定。
2.血栓及栓塞并发症 一般认为,当血浆白蛋白低于20g/L时,提示存在高凝状态,即应开始预防性抗凝治疗。可给予肝素钠1875~3750U皮下注射,每6小时1次(或可选用低分子肝素),维持试管法凝血时间于正常一倍;也可服用华法林,维持凝血酶原时间国际标准化比值(INR)于1.5~2.5。抗凝同时可辅以抗血小板药,如双嘧达莫300~400mg/d,分3~4次服,或阿司匹林40~300mg/d口服。对已发生血栓、栓塞者应尽早(6小时内效果最佳,但3天内仍可望有效)给予尿激酶或链激酶全身或局部溶栓,同时配合抗凝治疗,抗凝药一般应持续应用半年以上。抗凝及溶栓治疗时均应避免药物过量导致出血。
3.急性肾衰竭NS并发急性肾衰竭如处理不当可危及生命,若及时给予正确处理,大多数患者可望恢复。可采取以下措施:①袢利尿剂:对袢利尿剂仍有效者应予以较大剂量,以冲刷阻塞的肾小管管型;②血液透析:利尿无效,并已达到透析指征者,应给血液透析以维持生命,并在补充血浆制品后适当脱水,以减轻肾间质水肿;③原发病治疗。因其病理类型多为微小病变型肾病,应予以积极治疗;④碱化尿液:可口服碳酸氢钠碱化尿液,以减少管型形成。
4.蛋白质及脂肪代谢紊乱 在NS缓解前常难以完全纠正代谢紊乱,但应调整饮食中蛋白和脂肪的量和结构(如前所述),力争将代谢紊乱的影响减少到最低限度。目前,不少药物可用于治疗蛋白质及脂肪代谢紊乱。如:ACEI及血管紧张素Ⅱ受体拮抗剂均可减少尿蛋白;有研究提示,中药黄芪(30~60g/d煎服)可促进肝脏白蛋白合成,并可能兼有减轻高脂血症的作用。降脂药物可选择降胆固醇为主的羟甲戊二酸单酰辅酶A(HMG-CoA)还原酶抑制剂,如洛伐他汀(lovastatin)等他汀类药物;或降甘油三酯为主的氯贝丁酯类,如非诺贝特(fenofibrate)等。NS缓解后高脂血症可自然缓解,则无需再继续药物治疗。
七、预后
NS预后的个体差异很大。决定预后的主要因素包括:
①病理类型。一般说来,微小病变型肾病和轻度系膜增生性肾小球肾炎的预后好。微小病变型肾病部分患者可自发缓解,治疗缓解率高,但缓解后易复发。早期膜性肾病仍有较高的治疗缓解率,晚期虽难以达到治疗缓解,但病情多数进展缓慢,发生肾衰竭较晚。系膜毛细血管性肾小球肾炎及重度系膜增生性肾小球肾炎疗效不佳,预后差,较快进入慢性肾衰竭。对局灶节段性肾小球硬化影响预后的最主要因素是尿蛋白程度和对治疗反应,自然病程中无NS表现者10年肾存活率为90%,而表现为NS患者为50%;而:NS中激素能使之缓解者10年肾存活率达90%以上,对激素治疗无效者相应的存活率仅为40%。
②临床因素。大量蛋白尿、高血压和高血脂均可促进肾小球硬化,上述因素如长期得不到控制,则成为预后不良的重要因素。③存在反复感染、血栓栓塞并发症者常影响预后。
思考题:
1、肾病综合征定义?
2、肾病综合征的病理及临床特征?
3、肾病综合征中医病因病机?
4、肾病综合征中西医诊断与治疗?

