本讲我们系统学习急性肾小球肾。包括概念、病因病机、临床表现、实验室及辅助检查、诊断与鉴别诊断、治疗。要求大家重点掌握急性肾小球肾的定义、临床表现、诊断与鉴别诊断则。
一、概述
(一)定义
急性肾小球肾炎是一组急性起病,以血尿、蛋白尿、少尿、水肿、高血压及氮质血症为主要临床表现的疾病,可由多种病因引起,以链球菌感染后为多见,其他尚可见于金黄色葡萄球菌、肺炎球菌、腮腺炎病毒、乙型肝炎病毒、coxsachieB4、ECHO9型及腺病毒3、4、7型病毒等感染后。
本病属于水肿、肾风、风水中医范畴。
(二)流行病学
男性发病率高,男女之比约2:1,以4—14岁儿童为多见。一年四季均可发病,但在1、2月及9、10月份有两个发病高峰。
二、病因病机
(一)西医病因

本病常继发于上呼吸道感染或皮肤链球菌感染之后。
己证实本病与B型溶血性链球菌甲组中的若干型有关,尤以第1、2型最常见,其他尚有4、1、49、41、6、23、25、18型与呼吸道感染后急性肾小球肾炎有关,49、2、55、50、60型与皮肤脓皮病后急性肾小球肾炎有关,这些型的链球菌称为“致肾炎菌株”。

本病多数为免疫复合物型肾炎,抗原来自致肾炎菌株,具有抗原性的部位一般认为是细菌包膜的M蛋白、亦有人认为是菌体内的成分。极大多数患者在抗原刺激机体产生抗体之后,于肾小球基膜局部或在血循环中形成抗原、抗体复合物沉积于肾小球,而引起免疫复合物型肾炎,极少数患者可引成抗肾抗体型肾炎。免疫复合物如何激活补体尚无定论,根据CH50及C3明显下降而C1q、C4下降,恢复亦很快,故趋向于旁路激活补体。某些菌株(特别是由脓皮病引起者)可分泌毒素,直接由旁路激活补体C3。

激活后的补体引起肾小球一系列免疫性损害及炎症。
(二)中医病因
1.风邪外袭:肺失通调由于风邪外袭,肺主皮毛,风邪内舍于肺,肺失宣降,通调失司,以致风遏水阻,风水相搏,流溢肌肤,发为水肿。
2.湿毒浸淫:内归肺脾肺主皮毛,疡疮湿毒浸于皮肤,内归于肺,则水道不通;脾主肌肉,疮疡痈毒于肌肉,内侵于脾,则运化失司,均可导致水液代谢受阻,溢于肌肤,而成水肿。
3.水湿浸渍:脾气受阻冒雨涉水、居住潮湿,水湿之气内侵,脾为湿困,失其健运,水湿不运,泛于肌肤,而为水肿。
4.湿热内壅:三焦阻滞湿热侵袭,或湿郁化热,或热久湿生,中焦脾胃不能升清降浊,三焦气机阻滞,水道不利,而为水肿。
5.风热内侵:下焦热盛风热内侵,亦可风去热存,热留下焦,脉络受损,血热妄行,以致出现血尿。
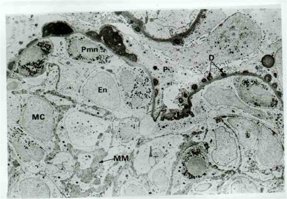
三、病理

病理改变:多为肾小球急性内皮系膜弥漫性增生,肾小球毛细血管内皮细胞及系膜细胞肿胀、增生、管腔内外有中性粒细胞浸润,偶有球囊新月体形成。
电镜下可见上皮下电子致密物呈驼峰状沉积,为本病之特征。
免疫荧光检查可见基膜上IgG、C3及备解素等呈颗粒状沉积。这些变化可使毛细血管腔狭窄,甚至闭塞,致使肾小球血流量减少,滤过率降低而致氮质潴留,肾小球滤过减少而远端肾小管对钠及水的重吸收相对正常,导致体内水钠潴留,出现少尿、水肿、高血压及循环淤血。此外,肾小球免疫损伤及炎症病变致使基底膜上唾液蛋白成分减少,基底膜阴电荷降低而致带有阴电荷的白蛋白分子易于逸出,形成蛋白尿。同时基底膜断裂加重蛋白尿并引起红细胞、白细胞及纤维蛋白自尿中逸出。部分病人可为膜增殖性肾小球肾炎,偶有呈新月体性肾小球肾炎者。
四、临床表现
(一)症状及体征


大部分病人起病前有急性咽喉炎、扁机体炎、猩红热或脓皮病史,于感染后7—21d发病。肾炎的严重程度并不取决于前驱感染的严重程度。约30%—40%的病例首先发现肉眼血尿,尿呈鲜红色或洗肉水样,或呈暗红色或浓茶色,持续数天至一二周。多伴少尿、水肿,水肿以颜面为主,严重者可波及全身,多数于2—4周内自行利尿消肿。约80%以上的病人有高血压,一般中等度增高,随利尿而恢复正常。
起病时可伴低热、疲乏、头晕、恶心、食欲减退、腰部钝痛等症状和暂时性肾功能减退。病情轻者症状可不明显,仅有尿镜检异常。重者可出现严重循环淤血、心力衰竭和急性肾功能不全。严重症状较多见于儿童,多发生于疾病初期第一二周内。大多数病例有蛋白尿,但罕见达肾病综合征程度。尿沉渣镜检可见红细胞及红细胞管型,亦可见少数白细胞、上皮细胞及颗粒管型。周围血象常示轻度贫血,与急性期血液稀释有关。血沉常增快。约65%患者有血肌酐及尿素氮增高,随利尿而恢复正常。总补体、C3下降,于6—8周内恢复正常。C1q、C4偶有轻微下降,3周内恢复正常。约70%—80%患者抗链球菌溶血素“O”滴度上升。
(二)并发症
1急性肾炎肾病综合征 急性肾炎肾病综合征的出现率约为22.1%,此型急性肾炎起病缓慢,高度水肿多见。症状持续时间较长,肾功能损害较严重,许多患者可演变为慢性进行性肾炎。
2急性充血性心力衰竭 由于急性肾炎水和钠的贮留,全身水肿,血容量增加,循环淤血,因而导致急性充血性心力衰竭,病人可见气急咳嗽,咯粉红色泡沫痰或少量咯血,两肺底有散在对称性湿罗音,X线可见两肺门阴影扩大,肺野昏暗,肺纹增力,心影扩大。心率增快,可有奔马律,心电图可有T波变平或倒置,偶有QRS或QT延长。还可见肝大、颈静脉怒张及静脉压增高等。
3高血压脑病发生率约5%~10%,多因血压急剧增高、脑血管痉挛引起脑缺血及水肿之故。常见剧烈头痛及呕吐,继之则出现视力障碍、意识模糊、嗜睡,或阵发性惊厥,或癫痫样发作。血压控制以后上述症状迅速好转或消失,无后遗症。
4急性肾功能衰竭急性肾炎急性期,肾小球内系膜细胞及内皮细胞大量增殖、毛细血管狭窄及毛细血管内凝血,病人尿量进一步减少,少尿或无尿,蛋白分解代谢产物大量滞留,则可出现尿毒症,血浆尿素氮增高较肌酐为著,尿比重在1.020以下,尿钠〈20mmol/L,经治疗后可迅速好转,如尿比重在1.020以下,尿钠〉40mm01/L,说明肾小管也受到严重损害或坏死,预后严重。
五、实验室检查
1.血:急性肾炎患者血沉常增快,一般在30~60mm/小时(Wcstcrgrcn法);轻度贫血,为正色正红细胞性贫血,血红蛋白约110~120g/L;血清白蛋白轻度下降,仅于大量蛋白尿较长期后才可引起低蛋白血症。 有的急性肾炎患者可有轻度的一过性氮质血症,经利尿数日之后,氮质血症即可恢复正常。
2.尿液检查

尿常规均可发现蛋白尿,一般24小时尿蛋白定量在1~3g,也有患者就诊时蛋白尿已转阴,尿沉渣可有红细胞,也可有白细胞,管型多为透明管型及颗粒管型,如果见到“红细胞或血红蛋白管型时,表明肾小球有出血渗出性炎症。

3.免疫学检查急性肾炎绝大多数患者血清补体浓度降低,血清总补体活性(CH50)及C3下降。大部分患者循环免疫复合物试验阳性。
六、诊断
(一)西医诊断
1.诊断依据
链球菌感染后1—3周内出现典型临床症状者,结合相应检查,诊断多无困难。

(二)中医辨证分型
1)风水泛滥:证候:水肿以头面、眼睑、手为主,重则下肢及全身浮肿,恶寒腰痛,肢节酸楚,小便不利;或咽痛,腰痛乏力,小便短赤,舌苔薄白或薄黄,脉象浮紧或浮数。
证候分析:由于风邪外袭,肺失通调,故眼睑浮肿。如果仍有表证,偏于风寒者,可见恶寒腰痛、肢体酸楚、小便不利;偏于风热者,可见发热咽痛,腰痛乏力,小便黄少,舌苔薄白或薄黄,脉象浮紧或浮数。
(2)湿毒浸淫:证候:除面部水肿外,尚可见全身四肢水肿,小便不利,身发疮毒,甚则溃烂,舌苔薄黄,舌质较红,脉象滑数。
证候分析:湿热毒邪壅于肌肤,逆于膝理,发为痈脓,故见身发疮毒,甚则馈烂;湿热毒邪内归于肺脾,水液转输失司,故见水肿;舌红,苔薄黄,脉滑数为湿热内蕴之表现。
(3)水湿浸渍:证候:全身水肿,身体困重,胸闷纳呆,痞满不肌,舌苔白腻,舌质较淡,舌体胖大,脉象沉缓。
证候分析:水湿内停,困阻脾胃,脾失健运,故见运化无力之表现,纳呆不饥,身体困重,胸闷脘痞,舌苔白腻,舌淡,舌体胖大,脉象沉缓,均为脾虚湿困见证。
(4)湿热内壅:证候:全身水肿,尿少色黄,口苦口粘,痞满不饥,或大便干结,或大使粘滞不爽,舌苔黄腻,脉象滑数或儒数。
证候分析:湿热之邪内壅,困阻中焦,见痞满不饮,口苦口粘,舌苔黄腻;湿重于热,见大便粘滞不爽;热重于湿,见大便于结。
(5)下焦热盛:证候:心烦口渴,尿血鲜红或洗肉汤状,舌红少苔,脉象沉数。
证候分析:心火亢盛,或肾阴虚火旺,内伤血络,见心烦口渴,尿血鲜红,舌红少苔,脉象沉数之表现。
(三)鉴别诊断
1、急性感染发热性蛋白尿一般无水肿与高血压,热退后尿检查正常。
2、慢性肾炎急性发作一般潜伏期短于3~5天,尿比重降低,或有长期高血压引起的心脏改变,或有贫血,或在线平片、肾脏超声检查显示肾脏有缩小等。
3、急性泌尿系感染或急性肾孟肾炎有全身或局部的感染表现,如发热、尿道刺激症状,尿中大量白细胞、白细胞管型,尿培养阳性等。
4.IgA肾病潜伏期短,一般1~4天,甚至感染后数小时即发病,前驱感染是上呼吸道感染、感冒,而非链球菌感染,有反复发作的病史,肯定诊断依靠肾穿刺活检。
七、治疗
(一)西医治疗
1.休息急性肾炎发病后,必须基本卧床休息,直至利尿消肿或肉眼血尿消失,血压恢复正常、血肌酐恢复正常,可逐步增加活动。
2.饮食予低盐饮食,蛋白摄入量保持在40~70g/天,控制蛋白摄入不利于肾单位的修复,过高的蛋白质也会使肾小球硬化,对病情恢复不利。
3.感染灶治疗可用青霉素控制感染病灶,一般用青霉素40万~80万U肌肉注射,一日2次。扁桃体切除术对急性肾炎的病程无肯定的效果。如要做扁桃体切除术,以肾炎病情稳定、扁桃体无急性炎症时为宜。
4.对症治疗利尿可用噻嗪类利尿剂,成人剂量:如双氢克尿噻25mg,一日3次,至于速尿和利尿酸钠大剂量均可引起听力及肾脏的严重损害,一般速尿可用20~100mg/日,利尿酸钠可用25~50mg/日。降压药物,可用利血平1mg/12小时,肌肉注射,或与肼苯达嗪合用,20mg肌肉注射或25mg口服,一日2~3次。控制心衰:洋地黄类药物对急性肾炎合并心衰效果不肯定,可用速尿静注或口服,获得效果后改为每日两次口服,直至肺部淤血体征消失。
5.阿托品类药物有用654-2或阿托品以解除肾血管痉挛,以达到改善肾功能的目的,用法654一2 20~60mg/日,阿托品2~4mg/日,分次肌肉注射或静脉滴注。

(二)中医治疗
1.辨证论治
(1)风水泛滥:治法:偏于风寒,宣散风寒,利水渗湿;偏于风热,宣散风热,利水渗湿。
方药:偏于风寒用麻桂五皮饮加减。麻桂五皮饮由麻黄汤合五皮饮加减而来,方中以麻桂、杏仁宣散风寒;桑皮降肺利水;陈皮、腹皮行气利湿;共为宣肺解表利水之剂。可加苏叶、牛膝、车前子等以加强解表利水之力。 偏于风热可用越婢五皮饮加减。越婢五皮饮由越婢汤合五皮饮化裁而来,方中以麻黄、石膏、杏仁宣散风热;桑皮降肺利水;陈皮、腹皮行气利湿;茯苓渗利水湿,亦为宣肺利水之剂。可加牛膝、车前子等活血利水。
(2)湿毒浸淫:治法:宣肺解毒,利湿消肿。
方药:可用麻黄连翘赤小豆汤加怀牛膝、车前子、冬瓜皮之类。方中麻黄散寒解表,是为主药;连翘、生梓白皮清热解毒;杏仁降气平喘;赤小豆清热除湿,同为辅药;姜、枣调和营卫,监制诸药之偏,甘草和中解毒,是为佐使。 如湿毒甚者,可用五味消毒饮以清热解毒、利湿消肿。
(3)水湿浸渍:治法:健脾化湿、通阳利水。
方药:可用胃苓汤(即平胃散合五苓散)加怀牛膝、车前子。平胃散以厚朴、苍术、陈皮理气燥湿健脾,使湿邪内消;五苓散以桂枝、白术、茯苓、猪苓、泽泻通阳化气利水,使水湿自下而去。两方相合,健脾利水之力更著,再加件膝、车前子之类,使湿速去。
(4)湿热内壅:治法:分利湿热。
方药:可用己椒苈黄丸、使湿热从前后分消。方中防己、椒目利水消肿,葶苈子泻肺行水,大黄清热通利二便,合而使湿热从前后分消。如肿势较轻,亦可清热利湿,用萆xie分清饮。
(5)下焦热盛:治法:清热泻火,凉血止血。
方药:可用小蓟饮子去木通,加女贞子、旱莲草等。方中小蓟、生地凉血止血,清下焦结热,同为主药;滑石、淡竹叶、桅子清利下焦,使湿去热清,是为辅药;蒲黄、藕节止血消瘀,当归养血活血,是为佐药;使以甘草缓急止痛,调合诸药。诸药相伍,标本同治,正本清源、故对下焦湿热蕴结、迫血妄行之证有较好疗效。加女贞子、旱莲草以加强滋肾止血之力。
2.常用中成药
(1)雷公藤多甙片,每次20~30mg,日3次,用于蛋白尿为主者。(2)白茅根250g,水煎,代茶饮。(3)玉米须60g,水煎,代茶饮。(4)石苇30g,水煎服,日一剂。
八、预后及预防
预防链球菌感染,可使本病的发病率明显下降,如注意呼吸道隔离,防止猩红热、扁桃体炎发生,保持皮肤清洁,均有助于减少本病的发生。
思考题:
1、急性肾小球肾炎定义?
2、急性肾小球肾炎的病理分型?
3、急性肾小球肾炎中医病因病机?
4、急性肾小球肾炎中西医诊断与治疗?

