1
腰椎间盘突出症康复指南
1.8.8 腰椎间盘突出为什么要做CT?

腰椎间盘突出为什么要做CT?

CT,又叫计算机体层扫描,是1969年由Hounsfield首先设计成功,在1979年Hounsfield获诺贝尔医学生物学奖。由于CT对腰椎间盘突出症的检查方便、迅速、安全、无痛苦,图像清晰,密度分辨力高和解剖关系清楚等优点,得到广泛的临床应用,为骨科提供了重要的影像学检查。

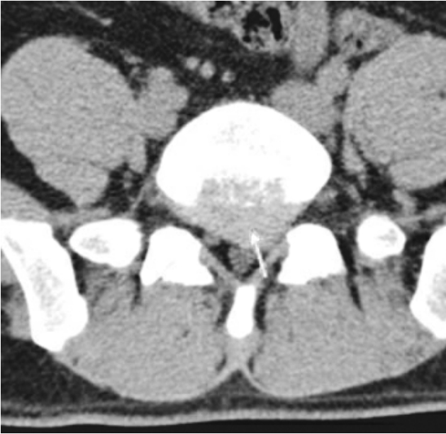
CT是将我们不能肉眼识别的软组织包括腰椎间盘,通过计算机对扫描数据的处理,变成能够被我们肉眼所识别的图像,它的成像技术可以显示骨骼和周围软组织,能清晰地显示纤维环是否破裂及髓核突出的位置,突出的程度,是否压迫脊髓和神经根,所以腰椎间盘突出症的病人要做CT,才能更好地了解突出情况(图21)。

img23

图21 CT断层扫描下突出的椎间盘