科赫发现结核杆菌
1972年,我国考古工作者在湖南长沙的马王堆发掘了一座西汉古墓。这座深埋于地下深处的古墓,在层层密封的6层棺椁内,竟然还完整地保存着一具没有腐烂的女尸。医学工作者对这具2100年前埋葬的女尸进行了周密详尽的病理解剖,结果在肺组织中找到了清晰的肺结核的病变。

马王堆出土的女尸
在非洲的埃及,很久很久之前有着一种风俗,他们把死去的统治者——法老的尸体,用贵重的香料和树胶紧紧封缠起来,然后把他放进金字塔里。由于香料的防腐和树胶的隔绝空气作用,尸体会干化成“木乃伊”而保存下来。就在这些古老的木乃伊骨骼上,医学工作者发现了结核病侵袭的痕迹!
这些事实告诉我们:自古以来结核病就是人类的大敌。在这漫长的岁月里,不知有多少人丧生在结核病的手中。
结核病的病原菌是结核分枝杆菌,俗称结核杆菌,它可以侵犯全身各器官,但以肺结核为最多见。结核病至今仍为重要的传染病。估计世界人口中1/3感染结核分枝杆菌。据世界卫生组织(WHO)报道,每年约有800万新病例发生,至少有300万人死于该病。
结核分枝杆菌为细长略带弯曲的杆菌,大小(1~4)微米×0.4微米。牛分枝杆菌则比较粗短。分枝杆菌属的细菌细胞壁脂质含量较高,约占干重的60%。
近年来,科学家们发现结核分枝杆菌在细胞壁外还有一层荚膜,它对结核分枝杆菌有一定的保护作用。
结核分枝杆菌可通过呼吸道、消化道或皮肤损伤侵入易感机体,引起多种组织器官的结核病,其中以通过呼吸道引起肺结核为最多。因为肠道中有大量正常菌群寄居,结核分枝杆菌必须通过竞争才能生存并和易感细胞黏附。而肺泡中没有正常菌群,结核分枝杆菌可通过飞沫微滴或含菌尘埃的吸入,所以肺结核比较多见。

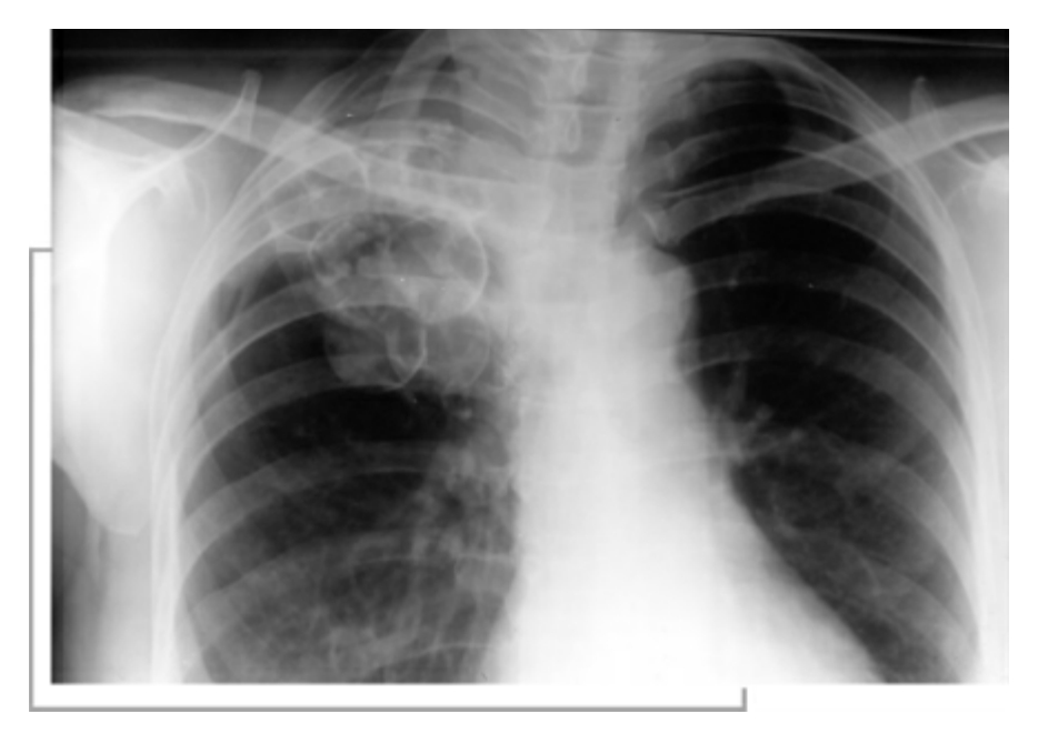
结核病患者胸部透视图
由于感染菌的毒力、数量、机体的免疫状态不同,肺结核可有分原发感染、原发后感染2类表现。
原发感染多发生于儿童。肺泡中有大量巨噬细胞,少数活的结核分枝杆菌进入肺泡即被巨噬细胞吞噬。由于该菌有大量脂质,可抵抗溶菌酶而继续繁殖,使巨噬细胞遭受破坏,释放出的大量菌在肺泡内引起炎症,称为原发灶。初次感染的机体因缺乏特异性免疫,结核分枝杆菌常经淋巴管到达肺门淋巴结,引起肺门淋巴结肿大,称原发综合征。此时,可有少量结核分枝杆菌进入血液,向全身扩散,但不一定有明显症状;与此同时,灶内巨噬细胞将特异性抗原递呈给周围淋巴细胞。感染4~5周后,机体产生特异性细胞免疫,同时也出现超敏反应。病灶中结核分枝杆菌细胞壁磷脂,一方面刺激巨噬细胞转化为上皮样细胞,后者相互融合或经核分裂形成多核巨细胞(即朗罕巨细胞),另一方面抑制蛋白酶对组织的溶解,使病灶组织溶解不完全,产生干酪样坏死,周围包着上皮样细胞,外有淋巴细胞、巨噬细胞和成纤维细胞,形成结核结节是结核的典型病理特征。感染后约5%可发展为活动性肺结核,其中少数患者因免疫低下,可经血和淋巴系统,播散至骨、关节、肾、脑膜及其他部位引起相应的结核病。90%以上的原发感染形成纤维化或钙化,不治而愈,但病灶内常仍有一定量的结核分枝杆菌长期潜伏,不但能刺激机体产生免疫也可成为日后内源性感染的渊源。
原发后感染的病灶也以肺部为多见。病菌可以是外来的或原来潜伏在病灶内。由于机体已有特异性细胞免疫,因此原发后感染的特点是病灶多局限,一般不累及邻近的淋巴结,被纤维素包围的干酪样坏死灶可钙化而痊愈。若干酪样结节破溃,排入邻近支气管,则可形成空洞并释放大量结核分枝杆菌至痰中。

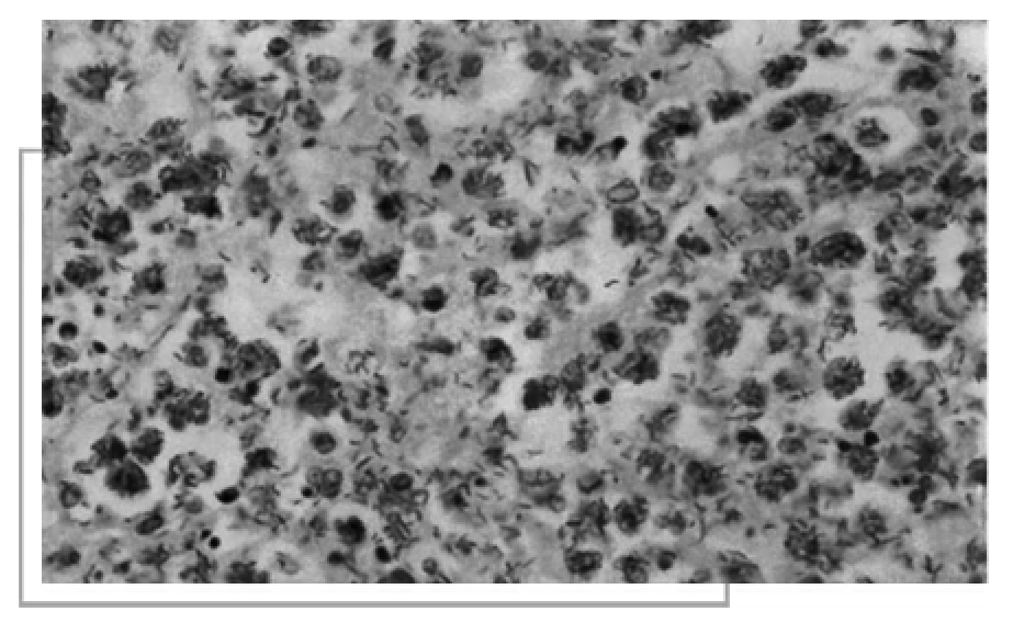
结核杆菌
另外,部分患者结核分枝杆菌可进入血液循环引起肺内、外播散,如脑、肾结核,进入消化道也可引起肠结核、结核性腹膜炎等。
由于结核病是悄悄地、在不知不觉中让人传染上的,同一家族中往往不止一个病人。所以,人们曾经以为它是一种遗传病。当然,也有人认为它很可能是一种传染病。但因为大家一直找不出病因,也就无法确证这一点,也无法给病人以有效治疗。
在征服结核病的道路上,德国的细菌学家科赫迈出了重要的第一步。
1876年,在找到炭疽杆菌后,科赫把注意力集中到了结核病人身上。与此同时,世界上许多科学家已经做过或正在做这项工作。著名教授科恩海姆把结核病人的病肺碎屑放进兔子眼睛中,使兔子染上了结核病,解剖病兔后却没找到细菌。
科赫第一次找到的结核病患者是一位强壮有力的工人,才36岁。3周前,这个人还非常健康,忽然咳嗽起来了,胸部有点痛,渐渐消瘦下来。这个可怜的人住了4天医院就死了。科赫解剖时发现其体内每一个器官全是星罗棋布的灰黄色米粒样颗粒。科赫取出一些颗粒,用两把加热过的小刀将其轧碎,再注射到许多兔子的眼里和一群豚鼠的皮下。他在等待动物出现结核病症时,开始用最好的显微镜观察死者遗体的病组织。但是许多天过去了,科赫一无所得。
“如果有结核病菌的话,那一定是非常狡猾的家伙,不让我看到它的真面目。”科赫一面观察,一面自言自语。
“看来常规方法有些问题,得改进一下。”科赫准备用一种染色剂把组织染上颜色,这样或许可将这种微生物显露出来。科赫交替用褐、蓝、紫以及彩虹七色中大多数颜色给组织染色,每次染色后他总把双手仔细地浸在杀菌的二氯化汞中,以至两手变得又黑又皱。
无数次的染色、观察,科赫差不多快要失望了。“再试一下吧!”科赫自我鼓励着。终于在某一天的上午,科赫惊呼道:“我找到它了!”这次如同往常一样,他把染料中的样品取了出来,放到透镜下,调节好显微镜的焦点,在灰色的朦胧中,一幅奇特的画面展现了出来——破损的病肺细胞中间,躺着一堆堆奇异的杆菌,杆菌呈蓝色,非常细小,还有些小弯小曲。
“难怪不易找到,比炭疽杆菌小多了。不过长得还挺漂亮。”科赫抑制不住心中的喜悦,继续将这位工人遗体的许多部分的结核组织染上颜色,置于镜下观察,每次总能显示这些纤细弯曲的杆菌。
这时候,那些可怜的兔子和豚鼠也开始遭殃了。在笼子的角落里,豚鼠缩成一团,光滑的毛蓬松了,原先圆鼓鼓的小身体瘦成了皮包骨。兔子也不再跳来跳去了,发着烧,无精打采地看着新鲜的萝卜,一点食欲也没有。很快它们一只接一只地死去了。
科赫于是把兔子和豚鼠钉在解剖板上,极为小心地用消过毒的刀将它们切开。和那位工人一样,这些动物体内也有着许多灰黄色颗粒,科赫取出一些颗粒,浸在蓝色染料中,果然不出所料,显微镜下又一次看到那些熟悉的漂亮的弯曲杆菌。
“我终于抓住它们了,这些结核病的元凶!”科赫兴奋地将同事找来,指着显微镜说:“你们快看,就是这些漂亮的小杆子。”
科赫开始发疯般地穿梭于柏林各家医院的停尸房,寻找死于结核病的病人尸体,搜集各种有价值的病变组织,直到夜晚才回到自己的实验室。夜深人静,空荡荡的实验室只有豚鼠的吱吱怪叫声和急匆匆的奔跑声,听了使人毛骨悚然。科赫把白天取来的病变组织注射到几百只豚鼠、几十只兔子、3只狗、13只猫、10只鸡和12只鸽子身上。

柏林
一个星期又一个星期,科赫白天在停尸房,晚上在实验室,一天工作18个小时以上,那些小动物不断地死去,科赫一次又一次地证实这种小小的漂亮弯曲细菌的可怕作用。
“我要做成这些杆菌的纯菌落,单独培养后接种动物使它染病。”科赫想这样才能确切证明这种弯曲小杆菌是结核病的元凶。
科赫调好许多种味道不错,富有营养的汤汁,“人喜欢吃的牛肉汤,也许细菌也喜欢。”他把牛肉汤做成冻胶后巧妙地再把病肺残渣放在上面,绝对不让混上其他微生物。然后把这些试管放在室温、人体温度和发烧者温度下。忙完这些后,科赫像往常一样等待着结果。不过他失败了。科赫于是就寻找其他一些其他营养品供给这些细菌。
尽可能接近活的动物体的营养品自然是血液了。科赫到屠夫处要来了健康牛的淡黄色的血清,先仔细加热,将混杂在内的其他微生物消灭掉,然后灌进试管中去,斜斜地放在架子上,以便使冻胶面出现一个长平面,最后小心地抹上结核病患者的病组织。做完这些,科赫把这些试管放进了恒温的培养箱。
每天早晨,科赫来到实验室的第一件事就是从培养箱中拿出试管,贴近金丝边眼镜旁认真地看上一番,一连10多天,什么也没有发现。
其他微生物只要培养两三天就大量繁殖了,但14天了,结核杆菌仍无动静。科赫只好耐心地等待着。
到了15天早晨,科赫从培养箱中取出试管时,终于在血清冻的光滑面上看到了亮晶晶的微细斑点!科赫颤颤抖抖地拿出小透镜,一管一管地细看,这些闪光的斑点,扩大成了干燥的小片。科赫轻轻地挑出一点,放到了显微镜下,一看果然和那位死去的工人体内的小杆子一模一样。
科赫现在深信自己获得了成功。在向全世界宣布这一新闻之前,他想到还有一件事情要做。
他做了一个大箱子,放进了豚鼠、老鼠和兔子,接着从窗户中通进去一根导管,管口是个喷嘴,连续3天,每天半小时,用一只吹风器向箱子内喷射杆菌毒素。10天后,3只兔子透不过气了,25天之内,豚鼠全部死于结核病。科赫的实验证明,结核杆菌可以附在空气微尘中向四处传播。
1882年3月24日,在柏林的一间小房子中举行了一次生理学会会议,会上科赫宣布了他的研究结果,他不善言辞,声调也极为平常,拿论文稿纸的手在微微颤抖。他告诉人们,每7个死亡者中,有1人就死于此凶手。结核杆菌是一种最为狠毒的人类敌人,这种纤弱的微生物隐匿在何处以及它们的毒力和弱点如何……
科赫的发现,当晚就从这间小房子中传了出来,第二天世界上许多地方的报纸刊登了这个消息。科赫的发明震动了世界,许多医生从各地赶往柏林,向科赫学习寻找结核杆菌的方法。
为了表彰科赫的贡献,德国皇帝亲手授给他有星的皇冠勋章,此时,他头上仍带着那顶乡气很足的旧帽子。他说:“我不过尽我所能罢了……如果我的成功有胜人之处……原因是我在踯躅医学领域时,遇上了一个遍地黄金的地方……而这并不是什么大的功绩。”
第二步是德国医学家贝林跨出的。
贝林在抗毒素血清治疗,特别是运用血清治疗法防治白喉和破伤风等病症方面有过出色的功绩。为此,他获得了1901年的诺贝尔生理学或医学奖,这是这一领域里首次颁发的诺贝尔奖。不幸的是,刚满50岁的贝林因劳累过度,染上了肺结核病。这种病在当时就如同今天的癌症一样,被视为是一种绝症。
然而,贝林并没有卧床休息,他又开始研究结核病了。他想把自己生命的最后时刻,用来征服这个千百年来一直折磨着人类的恶魔。不久,研究工作就有了进展,贝林发明的牛结核菌苗,效果良好,各国纷纷采用。可结核菌加快了它们的进攻,1917年3月31日,贝林因结核病而去世。全世界为失去这位伟大的学者而感到无比的悲痛和惋惜:他研究结核病已到了关键时刻,人们原寄希望于他取得重大突破的。