1
基于MATLAB的数字图像处理研究
1.4.2.3 2.2.3 高通滤波图像增强

2.2.3 高通滤波图像增强

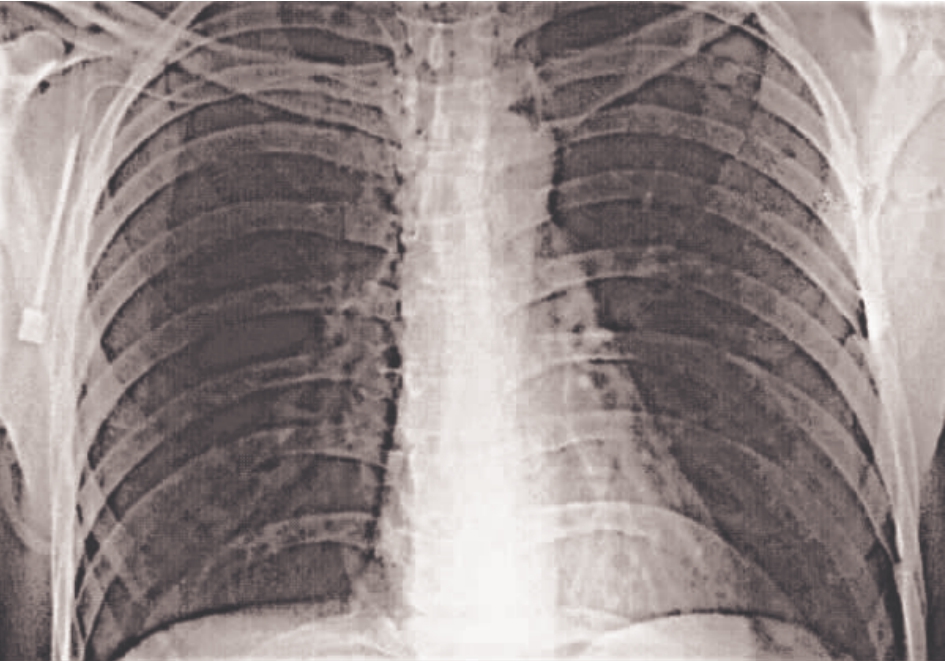
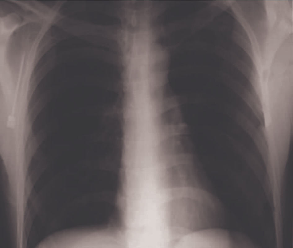
和低通滤波器相反,高通滤波器通过削弱傅里叶变换的低频而保持高频相对不变,会使图像变得更加清晰(锐化)。通常给高通滤波器加上一个偏移量,构成高频强调滤波,再和直方图均衡化结合起来使用,所得到的结果要好于单独使用任何一种方法所得到的结果。在work目录下,调用lpfilter.p、hpfilter.p和gscale.p函数可以实现高频强调滤波的效果。图2-53是一幅数字胸部X射线原图像,图2-54是高通滤波后的图像,模糊地显示出原图像的主要边缘。图2-55是高频强调滤波后的结果,低频部分成分引起的灰度级色调得以保持。图2-56是对高频强调滤波处理的结果,用直方图均衡化后的图像,可以清楚地看到骨骼结构。程序代码如下:

f=imread('chest.jpg');

imshow(f);

pq=paddedsize(size(f));

d=0.05*pq(1);

hbw=hpfilter('btw',pq(1),pq(2),d,2);

h=0.5+2*hbw;

gbw=dftfilt(double(f),hbw);

gbw=gscale(gbw);

figure,imshow(gbw);

ghf=dftfilt(double(f),h);

ghf=gscale(ghf);

figure,imshow(ghf);

ghe=histeq(ghf,256);

figure,imshow(ghe)。

img58

图2-53

img59

图2-54

img60

图2-55

img61

图2-56