1
腹部外科手术技巧(第4版)
1.7.21.2.4 (四)经皮穿刺引流术
(四)经皮穿刺引流术

在影像设备(目前常用者为CT和超声)的引导下经皮穿刺,对全身各部位的脓肿、囊肿、浆膜腔积液、胆道系统及泌尿系统梗阻、颅内血肿等进行置管引流,兼具诊断和治疗双重作用。

1.腹部外科适应证 ①梗阻性黄疸的姑息治疗;②腹腔异常积气、积液、积血、积脓;③肝、脾、胰等脏器脓肿或较大的囊肿。

2.腹部外科禁忌证 ①难以纠正的凝血功能障碍;②无安全的穿刺路径;③病人躁动不能配合。

穿刺引流未成熟或含有大量稠厚坏死组织的脓肿或肝包虫囊肿时应慎重(包虫囊肿渗漏可引起过敏反应或腹腔种植)。

3.经皮肝穿刺胆管引流(PTCD)

(1)适应证:①对于不能手术的晚期肿瘤引起的恶性胆道梗阻,行姑息性胆管引流;②良恶性病变致重度黄疸病人的非手术减黄或术前准备;③急性胆道感染,如急性梗阻性化脓性胆管炎,行急诊胆道减压引流,使急诊手术转为择期手术;④良性胆道狭窄,经多次胆道修补、胆道重建及胆肠吻合口狭窄等;⑤可通过引流管行造影、冲洗、抗生素滴注、化疗、放疗、溶石、细胞学检查及行经皮胆道镜取石等。

(2)禁忌证:①有出血倾向,经治疗不能纠正;②肝内胆管有多处狭窄和阻塞;③胆管内弥漫性肿瘤,或多支肝内胆管被转移瘤充满;④大量腹水。

PTCD分外引流、内引流和永久性涵管引流。外引流将胆汁引流至体外;内引流胆汁经引流导管之侧孔流入梗阻下端胆管或十二指肠内;永久性涵管引流目前多采用支架置入方法(图21-31至图21-35)。

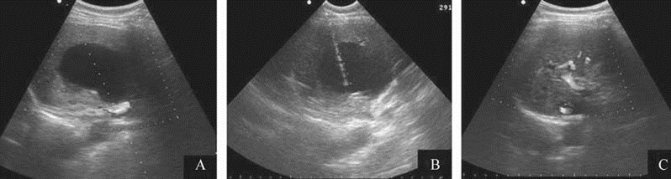
4.经皮囊肿抽吸引流 在影像(CT、超声)引导下,经皮穿刺放置引流管对肝、脾、胰腺囊肿进行引流、抽吸,抽吸液可做细胞学、生化等检查,进一步明确病变的性质,还可经引流管灌注硬化剂如无水乙醇(保留法或冲洗法)对囊肿进行硬化治疗,使囊壁上皮细胞脱水、变性、死亡,不再分泌囊液,并产生无菌性炎症使囊壁粘连,纤维组织增生,从而使囊腔闭合(图21-36)。

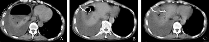
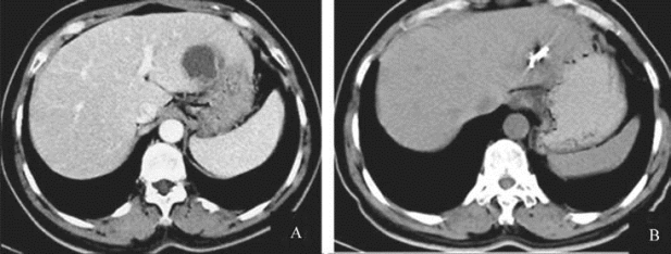
5.经皮脓肿抽吸引流 方法同经皮囊肿抽吸引流,可以行抽吸液的病原学检查,也可经引流管使用抗生素进行反复灌洗(图21-37,图21-38)。

图21-31 PTCD(外引流)示意

A.影像引导下穿刺针刺入肝内胆管;B.拔出针芯,注射器抽吸确认胆汁回流;C.插入导丝;D.退出穿刺针;E.通过导丝送入引流管;F.退出导丝,外接引流袋

图21-32 经皮肝穿刺胆管引流(PTCD)

A.导丝通过胆管闭塞段;B.球囊扩张;C.置入内引流涵管

图21-33 经皮肝穿刺胆管引流(PTCD)

A.胆管闭塞;B.开通闭塞段;C.置入支架

图21-34 经皮肝穿刺胆管引流(PTCD)

A.胆管闭塞;B.开通闭塞段;C.置入支架

图21-35 经皮肝穿刺胆管引流(PTCD)

A.肝内胆管扩张,肝总管及胆总管上段狭窄呈细线状,胆总管下段正常;B.同时行支架内引流和置管外引流;C.1周后复查,肝内胆管扩张情况已大为改善,外引流置管可拔除

图21-36 肝囊肿经皮抽吸引流+硬化剂治疗

A.肝右叶囊肿;B.超声引导下经皮穿刺硬化治疗;C.术后半年复查囊肿完全消失

图21-37 肝脓肿经皮抽吸引流

A.治疗前CT;B.治疗后复查脓腔基本消失

图21-38 膈下脓肿经皮抽吸引流

A.治疗前CT示右膈下巨大脓肿,内见气液平面;B.经皮穿刺置管冲洗引流术后1周,脓腔明显缩小;C.治疗后2周复查脓腔基本消失