1.13 第10章 神经系统——中枢神经
第10章 神经系统——中枢神经

The nervous system——the central nervous system

img

图10-1 神经系统概况(前面观)
The general situation of the nervous system(Anterior view)

img

图10-2 中枢神经系统(后面观)
The central nervous system(Posterior view)

img

图10-3 脊髓节段与椎体的对应关系(正中矢状切面)
The corresponding relationship between spinal cord and vertebral body(Median sagittal section)

img

图10-4 脊髓的被膜
Meninges of the spinal cord

img

图10-5 马尾和终丝(后面观)
The cauda equina and the filum terminale(Posterior view)

img

图10-6 脊髓的动脉(前面观)
The arteries of the spinal cord(Anterior view)

img

图10-7(1) 脊髓横切面——颈部(HE染色)
The transverse section of the cervical spinal cord(HE staining)

img

图10-7(2) 脊髓横切面——胸部(HE染色)
The transverse section of the thoracic spinal cord(HE staining)

img

图10-7(3) 脊髓横切面——腰部(HE染色)
The transverse section of the lumbar spinal cord(HE staining)

img

图10-7(4) 脊髓横切面——骶部(HE染色)
The transverse section of the sacral spinal cord(HE staining)

img

图10-8 脑外侧面(侧面观,右)
The latral surface of the brain(Lateral view,right)

img

图10-9 脑底面(下面观)
The basal surface of the brain(Inferior view)

img

图10-10 大脑(上面观)
Superior surface of the brain(Superior view)

img

图10-11 脑正中矢状切面(内侧面观)
The median sagittal section of the brain(Medial view)

img

图10-12 脑冠状切面(经内囊)
The coronary section of the brain(Through the internal capsule)

img

图10-13 脑的水平切面(经内囊)
The horizontal section of the brain(Through the internal capsule)

img

图10-14 脑干(腹侧面)
The brain stem(Ventral view)

img

图10-15 脑干(背侧面观)
The brain stem(Dorsal view)

img

图10-16 脑干(侧面观,右)
The brain stem(Lateral view,right)

img

图10-17 脑干与脑神经
The brainstem and the cranial nerves

img

图10-18 延髓横切面(经锥体交叉,Weigert染色)
The transverse section of the medulla oblongata(Through the pyramidal decussation,Weigert's staining)

img

图10-19 延髓横切面(经内侧丘系交叉,Weigert染色,HE复染)
The transverse section of the medulla oblongata(Through the decussation of medial lemniscus,Weigert's and HE staining)

img

图10-20 延髓横切面(经橄榄中部,Weigert染色,HE复染)
The transverse section of the medulla oblongata(through the middle part of the olive,Weigert's and HE staining)

img

图10-21 延髓横切面(经橄榄上部,Weigert染色,HE复染)
The transverse section of the medulla oblongata(through the upper part of the olive,Weigert's and HE staining)

img

图10-22 脑桥横切面(经三叉神经运动核,Weigert染色,HE复染)
The transverse section of the pons(through the motor nucleus of trigeminal nerve,Weigert's and HE staining)

img

图10-23 脑桥横切面(经脑桥上部,Weigert染色,HE复染)
The transverse section of the pons(through the upper part of the pons,Weigert's and HE staining)

img

图10-24 中脑横切面(上丘水平,Weigert染色,HE复染)
The transverse section of the midbrain(through the superior colliculus,Weigert's and HE staining)

img

图10-25 小脑和脑干(下面观)
The cerebellum and the brain stem(Inferior view)

img

图10-26 小脑和脑干(上面观)
The cerebellum and the brain stem(Superior view)

img

图10-27 小脑和脑干(前面观)
The cerebellum and the brain stem(Anterior view)

img

图10-28 小脑和脑干(后面观)
The cerebellum and the brain stem(Posterior view)

img

图10-29 小脑脚(上面观,左)
The cerebellar peduncles(Superior view,left)

img

图10-30 小脑脚外(侧面观,左)
The cerebellar peduncles(Lateral view,left)

img

图10-31 小脑的内部结构
The inner structure of the cerebellum

img

图10-32 小脑水平切面(Weigert染色)
The horizontal section of the cerebellum(Weigert's staining)

img

图10-33 岛叶(外侧面观,右)
The insular lobe(Lateral view,right)

img

图10-34 间脑(内侧面观,右)
The diencephalon(Medial view,right)

img

图10-35 侧脑室
The lateral ventricle

img

图10-36 脑室系统铸型
The cast of the ventricular system of brain

img

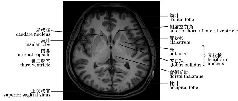
图10-37 经基底核区的横断层MRI(T 1 WI)
The MRI Cross section of the basal ganglia(T1 WI)

img

图10-38 穹隆与海马结构(上面观)
The fornix and the hippocampal formation(Superior view)

img

图10-39 脑联络纤维
The associative fibers of brain

img

图10-40 脑投射纤维
The projection fibers of brain

img

图10-41 内囊与基底核模式图
The schema chart of the internal capsule and the basal ganglia

img

图10-42 大脑髓质(上面观)
The cerebral medulla(Superior view)

img

图10-43 硬脑膜
The cerebral dura mater

img

图10-44(1) 硬脑膜矢状切面——大脑镰(左)
The sagittal section of the cerebral dura mater—the cerebral falx(Left)

img

图10-44(2) 硬脑膜正中矢状切面(右)
The median sagittal section of the cerebral dura mater(Right)

img

图10-45 硬脑膜(颅底内面)
The cerebral dura mater(Internal surface of the skull base)

img

图10-46 颅顶软组织(上面观)
The soft tissues of the calvaria(Superior view)

img

图10-47 脑底动脉(下面观)
The arteries at the base of the brain(Inferior view)

img

图10-48 大脑动脉环(下面观)
The cerebral arterial circle(Inferior view)

img

图10-49 大脑半球内侧面的动脉(内侧面观,左)
The arteries of the medial surface of the cerebral hemisphere(Medial view,left)

img

图10-50 大脑半球外侧面的动脉(外侧面观,右)
The arteries of the lateral surface of the cerebral hemisphere(Lateral view,right)

img

图10-51 大脑半球底面的动脉(下面观,左)
The arteries of the basal surface of the cerebral hemisphere(Inferior view,left)

img

图10-52 大脑外静脉(外侧面观,左)
The external cerebral veins(Lateral view,left)

img

图10-53 大脑外静脉(上面观)
The external cerebral veins(Superior view)

img

图10-54 大脑大静脉及其属支
The great cerebral vein and its attributed branches

img

图10-55 蛛网膜粒(上面观)
The arachnoid granulations(Superior view)

img

图10-56 视束及视辐射(下面观)
The optic tract and the optic radiation(Inferior view)