第七章 四肢X线图像

图7-1 肩关节正位DR平片
1 肩峰端 acromial end 2 肩锁关节 acromioclavicular joint
3 喙突 coracoid process 4 锁骨 clavicle
5 关节盂 glenoid cavity 6 肱骨 humerus
7 外科颈 surgical neck 8 解剖颈 anatomical neck
9 大结节 greater tubercle 10 肩峰 acromion

图7-2 肘关节正位DR平片
1 肱骨 humerus 2 内上髁 medial epicondyle
3 肱骨滑车trochlea of humerus 4 尺骨冠突 coronoid process of ulna
5 尺骨 ulna 6 桡骨 radius
7 桡骨颈 neck of radius 8 桡骨小头 capitulum radii
9 肱骨小头 capitulum humeri 10 外上髁 lateral epicondyle
11 鹰嘴窝 olecranon fossa

图7-3 肘关节侧位DR平片
1 肱骨 humerus 2 尺骨冠突 coronoid process of ulna
3 桡骨小头 capitulum radii 4 桡骨 radius
5 尺骨 ulna 6 尺骨鹰嘴 ulnar olecroanon

图7-4 手腕正位DR平片
1 远节指骨 distal phalanx 2 中节指骨 middle phalanx
3 近侧指间关节 proximal interphalangeal joint
4 掌指关节 metacarpophalangeal joint 5 第5掌骨 5th metacarpal bone
6 钩骨 hamate bone 7 豌豆骨 pisiform bone
8 三角骨 triquetrar bone 9 月骨 lunate bone
10 舟骨 scaphoid bone 11 大多角骨 trapezium bone
12 小多角骨 trapezoid bone 13 头状骨 capitate bone
14 籽骨 sesamoid bone
15 第2掌骨头 head of 2nd metacarpal bone
16 近节指骨 proximal phalanx
17 远侧指间关节 distal interphalangeal joint

图7-5 骨盆正位DR平片
1 髂骨翼 ala of ilium 2 骶髂关节 sacroiliac joint
3 股骨头 femoral head 4 耻骨上支 superior ramus of pubis
5 耻骨联合 symphysis pubis
6 股骨小转子 lesser trochanter of femur
7 坐骨结节 ischial tuberosity 8 闭孔 obtur ator formamen
9 股骨大转子 greater trochanter of femur 10 髋关节 hip joint
11 骶骨 sacrum 12 骶骨翼 sacral wing

图7-6 膝关节正位DR平片
1 股骨 femur 2 股骨内侧髁 medial condyle of femur
3 髁间隆突 intercondylar eminence
4 胫骨 tibia 5 腓骨 fibular
6 腓骨头 fibular head 7 胫骨平台 tibial plateau
8 股骨外侧髁 lateral condyle of femur

图7-7 膝关节侧位DR平片
1 股骨 femur 2 股骨内侧髁 medial condyle of femur
3 腓肠豆 fabella 4 腓骨头 fibular head
5 腓骨 fibula 6 胫骨 tibia
7 胫骨粗隆 tibial tuberosity 8 胫骨平台 tibial plateau
9 股骨外侧髁 lateral condyle of femur
10 髌骨 patella

图7-8 踝关节侧位DR平片
1 腓骨 fibula 2 踝关节 ankle joint
3 距跟关节 talocalcaneal joint 4 跟骨 calcaneus
5 跟骰关节 calcaneocuboid joint 6 骰骨 cuboid
7 第5跖骨 fifth matatarsal bone
8 跗跖关节 tarsometatarsal joint
9 距舟关节 talonavicular joint
10 距骨 talus 11 胫骨 tibia

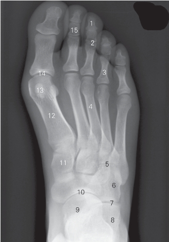
图7-9 足正位DR平片
1 远节趾骨 distal phalanx 2 趾间关节 interphalangeal joint
3 近节趾骨 proximal phalanx
4 第3跖骨 third matatarsal bone
5 跗跖关节 tarsometatarsal joint 6 骰骨 cuboid
7 跟骰关节 calcaneocuboid joint 8 跟骨 calcaneus
9 距骨 talus 10 距舟关节 talonavicular joint
11 内侧楔骨 entocuneiform 12 第1跖骨 first matatarsal bone
13 籽骨 sesamoid
14 跖趾关节 metatarsophalangeal joint 15 中节趾骨 middle phalanx