第三章 腰椎、骶尾椎CT与MR图像

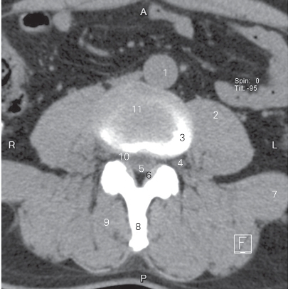
图3-1 经第2腰椎椎体的横断层CT图像(骨窗)
1 腹主动脉 abdominal aorta 2 腰大肌 psoas major
3 第2腰椎椎体 2nd lumbar vertebral body
4 椎体静脉 basivertebral veins 5 横突 transverse process
6 竖脊肌 erector spinae 7 多裂肌 multifidi
8 腰椎棘突 spinous process of lumbar vertebra
9 上关节突 superior articular process 10 侧隐窝 lateral recess
11 右肾 right kidney 12 下腔静脉Inferior vena cava

图3-2 经第3/4腰椎间盘的横断层CT图像(软组织窗)
1 腹主动脉 abdominal aorta 2 腰大肌 psoas major
3 第3腰椎椎体 3rd lumbar vertebral body
4 第3腰神经 3rd lumbar nerve
5 蛛网膜下隙 subarachnoid space 6 黄韧带 ligamenta flava
7 腰方肌 quadratus lumborum 8 棘突 spinous process
9 竖脊肌 erector spinae
10 腰椎间孔 intervertebral foramen
11 第3腰椎间盘 3rd lumbar intervertebral disc

图3-3 经第5腰椎椎体的横断层CT图像(骨窗)
1 第5腰椎椎体 5th lumbar vertebral body 2 腰大肌 psoas major
3 髂肌 iliacus
4 第5腰椎间盘 5th lumbar intervertebral disc 5 侧隐窝 lateral recess
6 关节突关节 zygapophysial joint 7 棘突 spinous process
8 多裂肌 multifidi 9 髂骨 ilium
10 骶髂关节 sacroiliac joint
11 第5腰神经 5th lumbar nerve

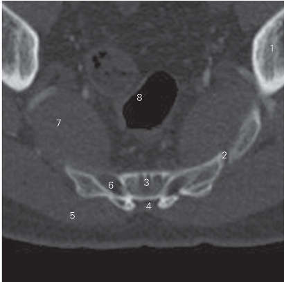
图3-4 经第4骶椎的横断层CT图像(骨窗)
1 髂骨 ilium 2 骶髂关节 sacroiliac joint
3 第4骶椎 4th sacral vertebrae 4 骶管 sacral canal
5 臀大肌 gluteus maximus 6 骶孔 sacral foramen
7 梨状肌 piriformis 8 直肠 rectum

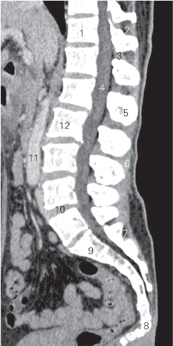
图3-5 经腰段脊柱正中矢状断层CT图像(软组织窗)
1 第11胸椎椎体 11th thoracic vertebral body
2 胸棘间肌 thoracic interspinal muscle 3 黄韧带 ligamentum flavum
4 硬膜囊 dural sac
5 第1腰椎棘突 1st lumbar spinous process
6 棘上韧带 supraspinous ligament 7 骶后孔 posterior sacral foramina
8 第1尾椎 1st caudal vertebrae
9 第1骶椎椎体 1st sacral vertebral body
10 第4腰椎间盘 4th lumbar intervertebral disc
11 腹主动脉 abdominal aorta
12 第2腰椎椎体 2nd lumbar vertebral body

图3-6 经脊柱的旁正中矢状断层CT图像(软组织窗)
1 第10胸椎间盘 10th thoracic intervertebral disc
2 第11胸椎椎体 11th thoracic vertebral body
3 竖脊肌 erector spinae 4 上关节突 superior articular process
5 下关节突 inferior articular process 6 关节突关节 zygapophysial joints
7 关节突间部 intermediate part of articular process
8 椎间孔 intervertebral foramen 9 骶中间嵴 intermediate sacral crest
10 尾骨 coccyx
11 第1骶椎椎体 1st sacral vertebral body
12 下腔静脉 inferior vena cava 13 右膈脚 right crus of diaphragm

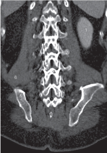
图3-7 经腰椎椎体的冠状曲面重建CT图像(骨窗)
1 第1腰椎椎体 1st vertebral body 2 左肾 left kidney
3 第1腰椎间盘 1st lumbar intervertebral disc
4 第3腰椎椎体 3rd lumbar vertebral body
5 第3腰椎间盘 3rd lumbar intervertebral disc
6 左侧腰大肌 left psoas major
7 第5腰椎椎体 5th lumbar vertebral body
8 骶翼 ala of sacrum
9 髂骨 ilium 10 第2骶骨 2nd sacrum
11 骶髂关节 sacroiliac joint 12 右侧腰大肌 right psoas major

图3-8 经腰椎椎弓板的冠状曲面重建CT图像(骨窗)
1 左肾 left kidney 2 横突 transverse process
3 椎弓板 lamina of vertebral body 4 棘突 spinous process
5 髂骨 ilium 6 腰大肌 psoas major
7 上关节突 superior articular process 8 关节突关节 zygapophysial joint
9 下关节突 inferior articular process

图3-9 经第4腰椎间盘的横断层MR T2加权图像
1 腹主动脉 abdominal aorta
2 第4腰椎间盘 4th lumbar intervertebral disc
3 腰大肌 psoas major 4 硬膜囊 dural sac
5 关节突关节 zygapophyseal joint 6 腰方肌 quadratus lumborum
7 多裂肌 multifidi 8 棘突 spinous process
9 竖脊肌 erector spinae
10 上关节突 superior articular process
11 腰神经 lumbar nerve 12 下腔静脉 inferior vena cava

图3-10 经第5腰椎间盘的横断层MR T2加权图像
1 髂总动脉 common iliac artery 2 腰大肌 psoas major
3 第5腰椎间盘 5th lumbar intervertebral disc
4 第5腰神经 5th lumbar nerve 5 髂骨 ilium
6 硬膜囊 dural sac 7 竖脊肌 erector spinae
8 多裂肌 multifidi 9 腰椎棘突 lumbar spinous process
10 骶髂关节 sacroiliac joint 11 骶翼 ala of sacrum
12 髂总静脉 common iliac vein

图3-11 经脊柱腰、骶尾段正中矢状断层MR T1加权图像
1 脊髓 spinal cord 2 脊髓圆锥 conus medullaris
3 后纵韧带 posterior longitudinal ligament
4 硬膜外脂肪 epidural fat 5 棘突 spinous process
6 棘间肌 interspinous muscle
7 终丝和马尾 filum terminal and cauda equina
8 第1骶椎1st sacral vertebrae 9 第5腰椎 5th lumbar vertebrae
10 第3腰椎间盘 3rd lumbar intervertebral disc
11 前纵韧带 anterior longitudinal ligament
12 第2腰椎椎体 2nd lumbar vertebral body

图3-12 经脊柱腰、骶尾段正中矢状断层MR T2加权图像
1 脊髓 spinal cord 2 终池 cisterna terminalis
3 脊髓圆锥 conus medullaris 4 棘突 spinous process
5 后纵韧带 posterior longitudinal ligament
6 椎基底静脉 vertebral basilar vein
7 终丝和马尾 filum terminal and cauda equina
8 第1骶椎椎体 1st sacral vertebrae 9 髂总动脉 common iliac artery
10 前纵韧带 anterior longitudinal ligament
11 第3腰椎椎体 3rd lumbar vertebral body
12 第2腰椎间盘 2nd lumbar intervertebral disc
13 第1腰椎椎体 1th lumbar vertebral body

图3-13 经脊柱腰、骶尾段的旁正中矢状断层MR T2加权图像
1 第12胸椎椎体 12th thoracic vertebral body
2 竖脊肌 erector spinae
3 第2腰椎椎体 2nd lumbar vertebral body
4 第2腰神经 2nd lumbar nerve 5 乳突 mastoid process
6 椎间孔 intervertebral foramen
7 第3腰椎间盘 3rd lumbar intervertebral disc
8 第1骶神经 1st sacral nerve
9 第5腰椎间盘 5th lumbar intervertebral disc
10 第2骶椎椎体 2nd sacral vertebral body
11 髂总动脉 common iliac artery