第一章 颈椎CT与MR图像

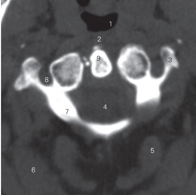
图1-1 经齿突的横断层CT图像(骨窗)
1 喉咽 laryngopharynx 2 咽下缩肌 inferior constrictor of pharynx
3 横突 transverse process 4 颈髓 cervical cord
5 多裂肌 multifidus muscle 6 颈夹肌 splenius cervicis
7 寰椎 atlas 8 横突孔 transverse foramen
9 齿突 odontoid process

图1-2 经第5颈椎椎体的横断层CT图像(骨窗)
1 第5颈椎椎体 5th cervical vertebral body
2 钩椎关节 uncovertebral joint 3 关节突关节 zygapophysial joint
4 上关节突 zygapophysis superior 5 黄韧带 ligamentum flavum
6 棘突 spinous process 7 颈半棘肌 semispinalis cervicis
8 颈髓 cervical cord 9 横突 transverse process
10 椎体钩 uncus of vertebral body

图1-3 经齿突的冠状断层CT图像(骨窗)
1 齿突 odontoid process 2 寰枢关节 atlanto-axial joint
3 横突孔 transverse foramen 4 椎体钩 uncus of vertebral body
5 钩椎关节 uncovertebral joint 6 第5颈椎体 5th cervical vertebral body
7 枢椎 axis 8 寰椎 atlas
9 寰枕关节 atlantooccipital joint

图1-4 经第4颈椎间盘的横断层MR T2加权图像
1 咽下缩肌 inferior constrictor of pharynx
2 第4颈椎间盘 4th cervical vertebral disc
3 椎动脉 vertebral artery
4 脊神经后根 posterior root of spinal nerve
5 头半棘肌 semispinal capitis 6 颈半棘肌 semispinal cervicis
7 棘突 spinous process 8 蛛网膜下隙 subarachnoid space
9 脊神经前根 anterior root of spinal nerve
10 颈长肌 longus colli
11 甲状软骨上角 superior cornu of thyroid cartilage

图1-5 经脊柱颈段正中矢状断层MR T2加权图像
1 头半棘肌 semispinalis capits 2 寰椎后弓 postrior arch of atlas
3 棘间韧带 interspinous ligament
4 颈棘间肌 interspinal muscle of neck 5 棘突 spinous process
6 蛛网膜下隙 subarachnoid space
7 第6颈椎间盘 6th cervical intervertebral disc
8 第6颈椎椎体 6th cervical vertebral body
9 颈髓 cervical cord 10 喉咽 laryngopharynx
11 枢椎 axis
12 寰枢正中关节 medial atlantoaxial joint
13 寰椎前弓 anterior arch of atlas

图1-6 经脊柱颈段旁正中矢状断层MR T2加权图像
1 头后小直肌 rectus capitis posterior minor
2 头后大直肌 rectus capitis posterior major
3 夹肌 splenius 4 斜方肌 cucullaris
5 颈半棘肌 semispinalis scervicis 6 头半棘肌 semispinalis capits
7 下关节突 inferior articular process 8 甲状腺 thyroid gland
9 关节突关节 zygapophyseal joint 10 椎动脉 vertebral artery
11 颈长肌 longus colli
12 头下斜肌 obliquus capitis inferior 13 头长肌 musculus longus capitis
14 寰枕关节 atlantooccipital joint