镰状红细胞贫血
—— 蛋白质一级结构与功能的关系
患者,女性,16岁,因发病、间歇性上下肢关节疼痛3个月余就诊。体格检查:体温38.5℃,贫血貌,轻度黄疸,肝脾略肿大。实验室检查:血红蛋白80g/L,血细胞比容9.5%,红细胞总数3×1014/L,白细胞总数6×108/L,白细胞分类正常。网织红细胞计数0.12,血清铁21μmol/L,次亚硫酸氢钠实验阳性;血红蛋白(Hb)电泳产生一条带,所带正电荷较正常HbA多,与HbS同一部位。红细胞形态:镰型。患者呈现明显的贫血症状(红细胞缺乏)、严重感染及重要器官损伤。
诊断:镰状红细胞贫血
1. 背景知识:
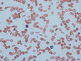
1904年,美国纽约, 一位黑人大学生 Smark(18岁),找James Herrick 看病,自觉头昏、发烧、呼吸困难。 James Herrick 对 Smark 进行了检查,发现病人眼睛有黄疸,心跳有杂音,没有发现寄生虫,血常规检查红细胞低于正常值,诊断病人为贫血症。James Herrick的助手 Ernest Irons又对病人取血,镜检,发现病人的红细胞的是半月型的,形状象镰刀(图1)。James Herrick改善Smark的营养状况,但几个月后,Smark的红细胞仍然呈镰刀形。James Herrick跟踪调查6年后,于1910年在《Archives of Internal Medicine》(内科学档案)把此病例发表,并命名为镰刀形红细胞贫血症。然而,91年之后,也就是2001年,《Yale Journal of Biology and Medicine》(耶鲁大学生物医学杂志)重新刊登了JamesHerrick的全文,这在学术界是非常罕见的事情。

图1 显微镜下血细胞图像(1000倍)
2. 相关文献:
(1) James Herrick. Peculiar elongated andsickle-shaped red blood corpuscles in a case of severe anemia. Archives of InternalMedicine. 1910; 6 (5): 517–521.
(2) Pauling L, Itano HA. Sickle cell anemia, amolecular disease. Science. 1949; 110 (2865): 543–548.
(3) Vernon Ingram. Sickle-Cell AnemiaHemoglobin: The Molecular Biology of the First “Molecular Disease”—The CrucialImportance of Serendipity. Genetics. 2004; 167: 1-8.
(4) Serjeant GR. One hundred years of sicklecell disease. British journal of haematology. 2010; 151 (5): 425–429.
二、思考题
1. 镰状红细胞贫血患者的细胞学特征是什么?
2. HbS与 HbA的一级结构有什么区别?
3. 正常血红蛋白的空间结构是什么?
4. HbS结构变化对其功能有何影响?