1
创新方法TRIZ 解读改进补充完善
1.9.7 附录2 新编创新40法(40个创新原理)
附录2 新编创新40法(40个创新原理)

无论是技术矛盾,还是物理矛盾,最终都需要用40条创新原理解决问题。所以,40条创新原理(创新40法)是TRIZ很重要的内容,被称之为创造性解决技术问题的TRIZ诀窍。几十年来,这40条创新原理为苏俄及许多发达国家解决了无数看似无法解决的技术难题。所以,认真学习、熟悉40条创新原理,是非常必要的。

为了提高读者解决问题的能力,使读者更深入、更全面地理解40条创新原理,为了使40条创新原理内容更加丰富,特编写了《新编创新40法》。一方面,它是在TRIZ创始人阿奇舒勒原著《创新40法》一书的基础上,对“分割原理”、“抽取原理”、“组合原理“、“多维化原理”、“逆向思维原理”等创新原理的细则,进行了补充完善;另一方面,又对每一条创新原理重新编入或补充了大量的案例,采用实物图片1千多张(原著只有129张手绘图片),并编入部分创新原理的应用练习。本来40条创新原理是从大量的专利中总结出来的,现在回到原本,给每一条创新原理编入一些实际案例,通过这些实际案例,来加深对每一条创新原理的理解。

把很多看起来毫不相干的东西摆在一起,其实它们之间有联系,这正表现了事物属性的普遍性和特殊性。这正是我们特别要学习、要理解、要掌握的东西,即关于一个事物的特殊性与普遍性,将特别有助于提高我们的联想能力和联系能力。

创新原理1:分割

1.把一个物体分成相互独立的部分

(1)窗式空调可分解成室外机、室内机、遥控器3部分。

(2)冰箱内部可分隔成若干独立部分。

(4)单管大炮炮筒也可一分为N(图1)。

(5)把油罐车的油罐和车头做成两个独立部分。

(6)把房车的房子和车子分开,车子可以灵活运用(图2)。

(7)把鸡肉分割成独立部分,按部位销售。

(8)双体船——把船体一分为二(图3)。

练习:列举自己熟知的将物体分割的例子。

图1 单管大炮与多管炮

图2 房车

图3 双体船

2.将物体分成容易组装和拆卸的部分

(1)装配式活动房屋。

(2)组合家具——床、柜都是可组合的。

(3)组合机床、组合音响、机床组合夹具(图4)。可组合出机床上需要的各种夹具。

(4)组合拖把。

3.提高物体的可分性

(1)提高窗帘的可分性(图5~图7)。

图4 机床组合夹具

图5 两分窗帘

图6 百页窗帘

图7 塑料条窗帘

(2)提高消防水柱的可分性(图8)。

(3)提高垃圾箱的可分性(图9~图11)。

图8 消防水柱

图9 单一垃圾箱

图10 两分垃圾箱

图11 三分垃圾箱

(4)提高火箭弹头的可分性(图12、图13)。这个世界上有什么东西是不可分的呢?

图12 俄国多弹头洲际导弹

图13 分导弹头

(5)提高颗粒材料的可分性。

颗粒材料的尺寸越来越小,现已制成各种纳米材料(1纳米等于10万分之一毫米),由于纳米材料具有很多优异的性能,已在各个领域得到广泛应用。

4.分割变换重组

这是笔者为“分割原理”补充的一个细则。这是一条强劲有效的创新原理。一是用于遇到困难的时候,用这条创新原理克服困难,二是用于对一个已有系统进行改进。具体的方法,首先按需要把研究对象分割成若干部分,把每一部分进行各种变换,如在材料、结构、功能、形状、颜色、尺寸、方向等等方面进行选择,然后可颠倒顺序重新组合起来,克服了原有的困难,或是树立了一个更优秀的新形象。

5.分割的练习

①对桶进行分割变换重组(图14);②对鞋进行分割变换重组;③对喷气式飞机分割变换重组(图15)。

图14 桶

图15 飞机

创新原理2:抽取(分离)

对这条“抽取原理”笔者进行了细致的整理和补充。

1.从物体中抽出产生有害功能或负面影响的部分放入超系统,以减少影响

(1)将窗式空调中产生噪声的压缩机抽出(分离)放到室外,做成分体式空调。

(2)机场将吸烟者抽出放到吸烟室。

2.从物体中抽出受到危害或受到负面影响的部分放入超系统,以减少影响

(1)潜艇或军舰内固有的噪声大,影响声纳正常工作,于是将声纳放到潜艇军舰后面1000米的海水中,用电缆连接。

(2)汽车中收音机天线信号受金属壳体的屏蔽,将天线抽出放到车外。

(3)打印机体积不大,使墨盒体积受到限制,不能装多的墨水。为了增大墨盒的体积多装墨水,把墨盒从打印机中抽出放到机个。

(4)飞机中的油箱体积也受到飞机体积的限制,不能多装油,于是将油箱从飞机中抽出,放到机外,形成空中加油机。

3.从物体中抽出必要的、有用的部分

(1)从拖鞋中抽出鞋底——无面拖鞋。

(2)从眼镜中抽出镜片——隐形眼镜。

(3)从自行车中抽出——独轮车。

(4)从摩托车中抽出——独轮摩托。

(5)从四轮滑板抽成两轮滑板。

(6)抽取惊鸟叫声帮助机场驱鸟。

(7)从红苕叶(图16)中把茄尼醇提出来(图17)。

图16 红苕叶

图17 茄尼醇产品

在农村红苕叶喂猪、烧火或是扔掉。在香港100港元1公斤,是盛宴上的名菜,是美日认定的长寿抗癌食品。从中提出的茄尼醇是很贵的制药中间体,我国只能粗加工,要送到美日精加工。

事实上,可以从很多植物中抽取利用价值很高的成分。能举一些例子吗?

(8)将药片包装的铝膜和塑料片分离,回收铝材和塑料。

(9)从各种矿石中抽取各种金属。

4.从物体中抽除有害的或不必要的、多余的部分

(1)从盐中抽出(分离)钠元素,利于高血压患者降压。

(2)抽油烟机将厨房油烟抽出。

(3)从拖鞋鞋底中抽出部分材料,洗澡专用。

(4)从身体中抽出肿瘤。

(5)利用避雷针将打到建筑物上的雷电抽引到地下。

5.从物体中抽除最重要的部分,以产生新机理、新产品

抽去物体中最重要的部分,是催生高水平创新成果的重要手段。事实上,科学技术发展到今天,许多事物就是沿着这条创新原理发展,往往产生阶跃性的成果。

下面列举一些“从物体中抽出最重要的部分”而创新的案例。

例1:从白炽灯泡中抽除灯丝,产生无灯丝灯泡——LED。

例2:从照相机中抽去胶卷,产生无胶卷照相机——数码照相机。

例3:从电视机中抽去显示屏幕产生无屏电视机——投影电视机。

例4:从电风扇中抽去叶片,产生无叶片电风扇。

例5:从鞋中抽去鞋面,产生无鞋面拖鞋。

例6:从汽车中抽去燃油发动机,产生电动汽车。

例7:从洗衣机抽去水,产生不用水的洗衣机。

例8:把针管注射器的针头抽除,成为无针头注射器。

6.抽取的练习

画草图,从摇椅、桶、衬衣、帽子、热水瓶中进行抽取,得到什么结果?

创新原理3:局部质量

1.将均匀的物体结构或外部环境改为不均匀的(图18~图25)

图18 不倒翁

图19 羽毛球拍部要重

图20 棒球棍

图21 好钢用在刀刃上

图22 补丁裤

图23 柴油机飞轮蓄能稳速

图24 与飞轮类似的空竹

图25 局部质量突显

机械零件表面淬火以提高硬度、表面涂层、表面辊花等都是使得表面获得不同的局部质量。

增加建筑物下部墙的厚度,使其能承受更大的负载。

台湾101大楼中上部悬挂一个可以摆动的大钢球,一个局部质量,镇住大楼的晃动。

2.让物体的不同部分各具不同功能

(1)钉锤(图26)4部分各有功能。

(2)瑞士军刀(图27)各有用处。

(3)键盘分区(图28),各有职能。

(4)橡皮头铅笔。

3.让物体的各部分处于各自的最佳状态

(1)分隔饭盒,冷热干稀各得其所。

(2)冰箱冷藏温度为5℃,冷冻温度为-18℃。

(3)外挂墨盒打印机(连续供墨打印机)(图29、图30)。

图26 钉锤

图27 瑞士军刀

图28 键盘

图29 外挂墨盒打印机

图30 外挂墨盒

4.局部质量的练习

对下列物品:手镯、袜子、裤子、自行车等如何进行局部质量的创新(图31~图34)。

图31 手镯

图32 袜子

图33 裤子

图34 自行车

创新原理4:增加不对称度

1.将对称的物体变为不对称(图35~图45)

图35 不对称伞

图36 留一个缺口

图37 墙角花盆

图38 翻边碟

图39 不对称耳环

图40 U盘插口不对称

图41 对称与不对称齿轮

图42 不对称裁剪

图43 不对称鱼缸

图44 不对称手镯

图45 不对称混料筒

2.已经是不对称的物体,增强其不对称的程度(图46~图49)

图46 不对称风扇

图47 对称O型密封圈

图48 不对称Y型密封圈

图49 插头

生活中不对称的现象很普遍,自己再举几例。

3.不对称应用:煤气罐煤气用完报信

煤气什么时候烧完?没数。装压力表或称重太复杂。最好是快用完罐子出状态报信。采用创新原理4:增加不对称。罐下底做成部分斜面并加一重块,没气倾斜(图50),有气站直。

4.不对称的练习:把这个锥形桶(图51)做成不对称

图50 斜底煤气罐

图51 桶

创新原理5:组合

所谓组合,就是把两种或两种以上的技术、理论、产品进行简单的叠加,以形成新的技术、新的理论、新的产品。20世纪的后半叶,世界重大创新发明成果,80%以上是组合成果,可见,组合法在创新活动中,占有重要地位。组合的可能性无穷无尽,因此,运用组合法,可以形成无数的新设想、新产品。

“组合即创造”,这是日本人的观点。日本靠外来技术,组合出许多世界一流产品。如领先的合成纤维,钢铁技术。采用组合,是要使组合体得到更强的功能,更好的性能。掌握组合原理,我们就可以在创新的路途上独行其事。

为了使组合原理的内容更为完善,笔者补充了3个细则:异类物体组合、主体添加组合、系统组合。下面介绍用各种组合法实现的创新案例。

1.在空间上将同类物体或相关操作加以组合(图52~图69)

图52 两人自行车

图53 箱包带椅

图54 人字齿轮两斜齿

图55 风力太阳能组合

图56 摇椅组合

图57 座的组合

图58 魔方的组合

图59 支努干双桨直升机

图60 收录放组合

图61 沙发与床组合

图62 刀刃组合

块规,一组尺寸精密的金属块,可以拚接组合成精密的尺寸,作为尺寸标准,供机械制造中作比较测量用。

美国著名的“空中之鹰”。101空降师是美国陆军的精锐之师,但长期被一个问题所困惑:缺少一种能够配合空降使用的大型运输直升机,传统直升机起飞重量有限,不能运输重型装备,有人设想,在现有螺旋桨上再叠加一个螺旋桨,效果不大,又有人设想,把直升机加长,前后各装一个螺旋桨,这就是现在的直升机巨无霸——“支奴干”运输机,起飞载重160吨,它是螺旋桨的组合(图59)。

图63 床桌子书架组合

图64 组合机床

图65 组合刀具

图66 形形色色的自行车组合

图67 组合柜

图68 吊灯

图69 LED彩灯

日本农学家通过杂交研究出“萝卜洋白菜”,在萝卜的上面长洋白菜。

2.在时间上将同类物体或操作加以组合,并列进行或连续化(如图70~图77)

图70 冷热水阀

图71 摄像机声像组合

图72 望远镜照相机

图73 望远摄像机

图74 古老电话话筒听筒分开

图75 话筒听筒组合在一起

图76 组合音响

图77 集成电路板

材料的组合是同类物体组合的一大门类。如双金属片、钢心铝导线、铝塑管、轧辊在铸铁辊外包优质钢、表面镀铬等等。

3.异类物体组合(图78~图80)

图78 CT是电脑与X光机的组合

图79 墙、床组合

图80 机电一体化柔性制造系统用于多品种小批量生产

上面两个细则都是同类物体的组合,这里笔者补充一个细则:异类物体组合。异类组合是功能更强大,应用更广泛的组合形式。铅笔与橡皮组合在一起是一个典型。

机电一体化就是机械技术与电子技术组合。特别是现在把微处理器、电脑同机械组合,更具优越性能。如机器人、绣花机、线切割机、电梯等等。

把激光与超声波组合在一起对溶液灭菌,有声光效应,比任一种单一的方法都好,灭菌率为100%。

日本索尼山田敏之把“霍尔效应”与“磁阻效应”两种物理现象进行组合,发明了磁半导体二极管。用于无刷直流电机,无触点开关,无接触电位器。

亚硫酸锌具有白天吸收光线夜间发光的特性。于是,人们根据这一特点,将其加入塑料之中,得到了夜光塑料。用于制造电器开关和夜光工艺品。

4.主体添加组合

(1)主体添加原理

主体添加就是给一个选定的比较大的事物添加一个比较小的东西,也是一种组合形式。这个东西是已有的,或是从来就没有的。如给照相机加闪光灯,给电视机加遥控器等等。一般情况下要确定添加的目的,确定添加体以及添加方式。也有不确定的试探添加。

(2)主体添加组合实例

1)导电塑料:1977年,白川教授在实验中偶发奇想,如果在聚乙炔塑料中添加碘杂质,会出现什么情况呢?实验结果让他大吃一惊:添加碘杂质后的聚乙炔能像金属那样具有导电性。从而发明导电塑料,获得诺贝尔化学奖。导电塑料将可能使个人电脑小型化和高速化。

2)滚动螺旋传动(滚珠丝杠):螺旋传动是一根螺杆在螺母中转动,使螺杆与螺母之间产生相对运动,带动与螺母相连的工作部件移动。由于是滑动摩擦,摩擦力大,效率低,磨损大。在螺杆与螺母之间添加小滚珠,把滑动摩擦变成滚动摩擦,摩擦力小,效率高,寿命长。这就是滚珠丝杠(螺杆)。广泛应用于机床、汽车、航空等许多领域里的传动系统中。

3)汽车挡风玻璃上加雨刷——主体添加。早期挡风玻璃上没有雨刷。

4)飞机上加“黑匣子”——主体添加。

5)将百货公司大门的气幕添加到炼钢炉上。

日本从国外引进发明专利,然后加以改进和提高,搞成比原来更好的新发明,反过来再卖到国外,下面讲的就是一例。

日本从国外引进氧气顶吹转炉炼钢法,但其顶部会溢出大量对人体有害的一氧化碳气体,将其回收是个令人头疼的问题。关键是要将转炉的开口与回收罩之间的间隙封住。由此人们联想到进出百货公司大门遇到的气幕密封。气幕是用鼓风机自上而下地吹出强风而形成的密封。于是就将气幕添加到转炉上,封住一氧化碳,使一氧化碳气体顺利回收,只是气幕采用的是氮气而不是空气。商店的大门与炼钢炉毫无关系,会联想,这是把普通商店门上的东西,移植到先进的炼钢炉上,获得成功。这项技术输出到美国、英国、西德、奥地利等国的钢铁公司,在国际上获得很高的评价。

5.系统组合

(1)系统组合原理

这也是笔者补充的一个组合细则。上面介绍的都是两个物的组合。把两个以上不同事物组合起来,成为一个比较复杂的事物或系统,可称为系统组合。通常人们在构思一个比较复杂的系统的时候,就会把许多事物连串起来,成为一个比较复杂的系统,这就是系统组合。

(2)系统组合应用实例

1)爱迪生发明留声机就是一个非常优秀的系统组合。1877年的一天,爱迪生画了一张图。图上画的是,一个锡纸圆筒,一根螺旋杆以及带有针尖的薄膜圆头等几样东西,没有一件稀奇的。他的包工克西照图施工,就这么几件平凡的东西,组合成世界上第一台留声机。

组合的应用:玻璃磨角。

要生产大量矩形薄玻璃板,四角磨成小圆角。由于薄,磨削中大量破碎。这是一个既要薄又要厚的问题。采用创新原理5:组合。将薄玻璃组合叠厚,磨削后再分开。两块玻璃之间加少许的水即贴合在一起。

组合的练习(图81~图88):

图81 球

图82 摄像机

图83 手枪

图84 帽子

图85 弹簧

图86 树

图87 灯泡

图88 照相机

张开你想象的翅膀,把下列物品(可进行种种变换如微型化等等)进行任意的若干组合,完成一定功能。

创新原理6:多用性

使物体具有多种功能以代替其他物体的功能。

以下列出部分具有多功能多用途的产品(图89~图98)。

图89 万用表

图90 多用螺丝刀

图91 录像录音笔

图92 插头带插座

图93 多用插座

图94 车钻铣多用机床

图95 多用木工机床

图96 多功能刀

图97 打印复印扫描传真多用机

图98 多功能手机

多用性的练习:

(1)如何使鞋具有更多的用途?

(2)如何使帽具有更多的用途?

(3)设计一把多用呆扳手,画草图。

创新原理7:嵌套

1.一物套一物,再套一物,形成多层(图99~图105)

图99 伸缩杯

图100 剑

图101 警棍

图102 钓鱼杆

图103 俄罗斯套娃

图104 套盒

图105 时间嵌套:边看电视边锻炼

2.一部分可收入另一部分的空腔中(图106~图117)

图106 木工刀

图107 相机

图108 伸缩门

图109 指套

图110 液压伸缩油缸

图111 天线

图112 床嵌套在墙内

图113 安全带

图114 抽屉

图115 壶中杯中套过滤网

图116 拉杆箱

图117 双节棍

3.嵌套的练习

对桶、帽子、杯子、筷子、牙刷牙膏、平板桌桌面桌腿进行嵌套练习。

创新原理8:重量补偿

1.加一个能产生升力的物体补偿第一个物体的重量(图118)

图118 形形色色的升力补偿重量

2.通过介质(气、液动力、弹簧力)平衡物体的重量(图120~图125)

图119 打捞南海1号沉船

图120 用液压千斤顶把车顶起来

图121 车用承载钢板弹簧

图122 气垫船

图123 喷气气垫搬运

图124 充气气垫救援

图125 液压自卸车

3.重量补偿的应用:运走迫降飞机(图126)

图126 用充气橡胶袋顶起机翼

飞机起飞不久出现故障,迫降在一块空地上。没有大型起重机,如何将飞机运到维修部?可用以下简单方法,在飞机两机翼下用橡胶气垫充气将飞机抬起,大型平板车开到机身下,将迫降飞机拉走。

4.重量补偿的练习

(1)请举出1~2个重量补偿的例子。

(2)一个人如何用一条扁担,把一筐菜挑到菜场去(只有一个筐子,没有别的容器)?

(3)有一个长10米宽3米的大横幅,要临时悬挂在广场上方18米高的地方。可用什么简单的方法?

创新原理9:预先反作用

1.事先施加反作用,用来消除不利影响(图127~图130)

图127 铁轨留缝

图128 桥梁也要留伸缩缝

图129 卷尺加卷簧自动缩回

图130 弹簧门

2.如果一个物体处于或将处于受拉状态,要预先施加压力(图131、图132)

图131 预应力钢筋混凝土管桩

图132 浇注前拉伸钢筋浇注后管桩受压

3.预先反作用应用

(1)回避暴风雨。一条挖泥船把挖出的泥混着海水通过管道抽到岸上。管道和一溜浮桶绑在一起浮在海面。预报有暴风雨。

为了防止管道损坏,船长命令停工把管道拉到岸边。这将造成损失。有别的好办法吗?

采用创新原理9:预先反作用。

把管道埋入海水中,回避暴风雨的直接袭击。

(2)如何防止吃大量安眠药自杀?

采用创新原理9:预先反作用。在安眠药外覆盖微量催吐剂,如果吞服大量安眠药就会发生呕吐,把药吐出来。

创新原理10:预先作用

1.事先完成部分或全部的动作或功能

(1)邮票(图133)预先扎孔,好撕;

(2)木工刀(图134)预先压出细沟纹,好折断出新刀尖;

(3)打石膏前安上锯条(图135);

图133 邮票

图134 木工刀

图135 预先置入锯条

图136 不干胶标签

(4)先上胶的不干胶标签(图136);

(5)果树都是将茎种植在土壤里,会因为缺少营养而不能生根。应该在种植之前,先把树茎浸泡在装有营养液的盆里,以储存一些养分(图137)。

2.在方便的位置预先安置物体,使其在适当的时候发挥作用而不浪费时间(图138~图141)

图137 果树苗先泡营养液

图138 停电应急灯

图139 停车咪表

图140 消防栓

图141 消防柜

3.预先作用练习

(1)把不成材的树叉树枝,打成碎片。但树皮要清理出来。用手工去捡是不可可能的。如何能快速把树皮清理出来?

(2)侦探都破不了的案你能破。

一粮油公司每天用油罐车运3000升食用油,但每次回来都少了30升,中途也没有停车,找不到原因。侦探也束手无策。你知道其中原因吗?

创新原理11:事先防范

1.采用事先准备好的应急措施,补偿物体相对较低的可靠性(图142~图150)

图142 保险杠

图143 超市商品带磁条报警

图144 拐弯处

图145 备用救生衣

图146 保险丝

图147 备用轮胎

图148 备用降落伞

图149 公交车砸窗锤

图150 救生圈

图151 滑雪者被埋如何被发现

2.事先防范的练习(图151)

滑雪场里的滑雪者,遭遇到雪崩就会被掩埋在很深的雪底下,自己出不来。如何能快速搜寻找到他们被掩埋的位置呢?

创新原理12:等势

1.在重力场中,等势也是等高的意思。靠改变工作状况,去和一个高度相等,以减少另一方物体直接升降的需要。这是等势的要点(图152~图157)

图152 传送带与机器等高工件无需升

图153 地沟修车人下沟车不升降

图154 扶梯等势人不上下

图155 电梯等势人不动

图156 滑下等势人不走下

图157 三峡5级船闸

三峡5级船闸(图157)每一级靠进、排水使船升降,等高等势,将上水位的船只降到下水位,或将下水位的船只升到上水位。

2.等势的应用:挂上永乐大钟

(1)重46吨的永乐大钟(图158)是如何挂上钟楼的大梁上的呢?就是采用等势创新原理。先在大梁下造一座山,把大钟放在滚子上推上山顶,钟正好吊在大梁上。再把山挖掉。这里的等势概念是让钟的上端去与钟楼上的挂钩等高(等势)。当时没有举升机,只好用这种办法。

(2)汽车修理中的举升机(图159),将汽车举高到适合工人修理的高度。举升机就是根据等势原理而产生的一个创新。让汽车升高到工人手好操作的高度(等势),人的位置不变。

(3)城市中有一座古塔在下沉,要进行观测,首先要找一个不和塔一起下沉的基准。于是在100米之外找到一个可靠的建筑物作为基准。可是两者之间还有很多建筑物相隔,不能直接观测。于是就应用了等势原理。在古塔和建筑物上各装一根玻璃管,用橡胶管连接起来,就成为一个很大的U型管。再往其中灌水,两玻璃管中的水位应该等高(等势),把标尺的零位对准水位。如果古塔下沉,玻璃管就会跟着下沉,玻璃管中的水位就会离开标尺零位上升,以保持和建筑物上玻璃管中的水位等高(等势),并可从标尺上看出下沉了多少。这也是用一种简单的方法——等势,解决了一个观测的难题。

3.等势原理的练习(图160)

如何应用等势原理用车运输直径为4米、长3米的水泥管?如果需要,稍微抬起是可以的。

图158 永乐大钟

图159 举升机将汽车举高

图160 巨大的水泥管

创新原理13:逆向思维

反过来想,倒过来想,就是逆向思维。逆向思维一般体现在下述3个方面。逆向思维总以一个已有的事物作为参照物。

1.用相反的动作,产生新的概念、新的事物

(1)与拖拉机相反的动作就是推,变拉为推,于是产生了推土机(图161)。

(2)雷达朝向天空,探索空间信息;相反的动作,让雷达朝向地下,探索地下的信息,就成为探地雷达(图162)。

图161 从拖拉机的拉想到推土机的推

图162 从探天雷达想到探地雷达

(3)一个伟大的逆向思维。

1819年奥斯特发现给导线通电产生磁场——电生磁。法拉第由此产生逆向思维:反过来,磁也一定能生电——磁生电。磁生电——法拉第发明了第一台发电机,开创了人类现代文明,是一个伟大的贡献。

算术运算都是从低位向高位运算。相反,史丰收发明了从高位向低位运算的速算法。

(4)红苕的缺点:红苕长在地下,要挖。要是长在地上,就不用挖,该多好。现在就可以让红苕长到地面上,而且让红苕挂着长,产量还高。

(5)到了剪羊毛季节,草原上有大量羊要剪毛,工作量很大。一个逆向思维:不剪,让毛自己掉。怎么让毛自己掉呢?吃药,吃激素代替剪毛。

(6)一般电风扇都是摇头的。能不能让它不摇头?这就是不摇头的鸿运扇。

(7)不用洗衣粉的洗衣机,一个逆向思维。洗衣机都是要用洗衣粉的,否则衣服就洗不干净。人们对此进行逆向思维:洗衣机是否可以不用洗衣粉也能把衣服洗干净呢?正是在这种逆向思维的驱动下,现在世界上已经开发出基于不同原理的各种不用洗衣粉的洗衣机。

(8)不用水的洗衣机,也是一个逆向思维。

三星首创的不需用水,也不需要任何洗涤剂的洗衣机,其原理是使高温气流穿透衣物,分解气味粒子,杀灭藏在衣物深处的有害微生物。但不能去除可见污渍,只能对衣物进行有效的除臭和杀菌、除湿、防皱。特别适合处理日常难以清洗的物品,比如软垫、枕头等。当然此款洗衣机也可用水洗涤。

新加坡国立大学工业设计专业的两名学生发明的无水洗衣机,是通过负离子、压缩空气和清洁剂来清理衣物,快的只需要几分钟,洗完马上就穿。

(9)不拖电线的电熨斗——无绳熨斗。让熨斗不拖电线,一个逆向思维。

图163 人造太阳

(10)人造太阳(图163)。目前核电站是应用核裂变产生的能量发电。

相反,氢弹爆炸是应用核聚变释放出极大的能量,那么是否可以用核聚变发电呢?一个逆向思维。正是在这种思想指导下,科学家希望发明一种装置,可以有效地控制“氢弹爆炸”的过程,让能量持续稳定地输出。这一装置被喻为“人造太阳”,因为它可以像太阳一样为人类提供一种近乎无限的、清洁的和安全的能源。中科院等离子物理研究所正在试验世界上第一个核聚变“人造太阳”实验装置,2003年9月在安徽合肥进入总装。自然界最容易实现核聚变反应的是氢的同位素——氘和氚,氘在海水中储量丰富,释放出来的能量够人类用几百亿年,这就是许多国家竞相研究开发核聚能的原因所在。这也是从核裂变到核聚变逆向思维的结果。

(12)可飞行的汽车(图164)。当你驾着小车正被堵在马路中间,一堵好长时间,真是心急火燎,这时你可能会想到,这汽车要是能跳起来向前飞去该有多好。一个逆向思维。现在已经开发出多种飞行汽车。

图164 各种飞行汽车

(13)公交车取消售票员。

2.使物体的运动部分不动,不动部分运动

(1)跑步机。让机器履带移动,人在原地不移动(图165)。

图165 跑步机

图166 人不动水动

(2)一个类似的逆向思维问题,游泳非要到大游泳池去吗?在家里可游泳吗?也是采用了逆向思维得到解决。人在小水池里,让水流动冲击,人则游而不动。水流由泵产生。人不动水动(图166)。

(3)车床让工件旋转刀具不转,镗床让工件不转刀具转。

(4)坐地铁看窗外电影。

眼睛随车移动,窗外一幅幅画面不动。

(5)电梯、扶梯。电梯在动,人未动。

(6)微波炉食物转微波不转,现在的微波炉是食物不转转微波转。

3.使物体内外或上下颠倒

(1)机器零件孔与轴的过盈配合装配时,将外面的带孔件加热膨胀扩大孔的直径。倒过来,也可以将里边的轴冷冻以缩小直径再装配。

(2)两面衣,里面也可以穿到外面。

(3)到动物园看动物,动物关在笼子内,人在笼子外;到野生动物园看动物,人被关在车子内,动物在车子外。

(4)公元16世纪,日本战国后期统一全国的著名武将丰臣秀吉,为了在大坂修筑坚固的城堡,需要从濑户的海内岛搬运来一些巨石。这些巨石每块都重达百吨以上。没有能装这么大石头的船,装上去船就会沉。正在无计可施之际,一工匠提出一个“位置颠倒”的建议:将船捆绑在巨石的上面,使船在上,石头在下,产生浮力,然后再以足够的人力划船前行。就这样,变“船载石”为“石载船”,果然将巨石顺利地运到了目的地。

(5)电冰箱以前是冷冻在上,冷藏在下。现在上下颠倒,冷藏在上,冷冻在下。

逆向思维可以广泛应用到任何事物,因为任何事物都存在方方面面相反的东西。可以应用在结构、状态、功能、原理、过程、因果、运动、朝向、动作、动静、形状、位置、方向、有无等等一切方面,反过来想,倒过来想。

下面是笔者为逆向思维补充的几个细则。

把接触的搞成不接触、把断续的搞成连续、把连续的搞成断续、把不变的搞成可变的、把变化的搞成不变的、把看得见的搞成看不见的、把看不见的搞成看得见的、把直的搞成弯的、把弯的搞成直的。

4.把接触的搞成不接触

(1)用水银温度计(图167)量体温是与人接触的,放在腋下,冬天要脱衣,很麻烦。有更好的办法吗?红外测温仪(图168)对着额头一照数值显示温度,不接触。非典时期对大量人群测体温,方便快速准确。

(2)老式电唱机(图4-169),是与压电晶体连接的钢针,在唱盘的纹路中摩擦摆动发声放大。双方都容易磨损使声音失真。怎么办?当然最好是唱针不要与唱盘接触。怎样才能做到不接触呢?显然,只有用光线代替唱针,才可能不接触。于是,发明了激光唱盘(图170)。激光唱机就是VCD、DVD(图171)。

(3)气垫船。船在水面上飘浮,不接触水,减少水的阻力。

(4)钳流表。像一把钳子,套在电线外,通过电磁感应,就可以显示电线中的电流大小,而不必接触电线。

(5)磁力轴承、液压轴承、气动轴承。轴与轴承不接触,减少磨损,奉命长(图172)。

图167 水银温度计

图168 红外测温

图169 电唱机钢针与唱盘接触

图170 DVD用激光代替钢针

图171 分档齿轮变速箱

图172 锥盘无极变速箱

5.把断续的搞成连续

(1)原来汽车用齿轮变速箱把车速分成断续的几档,现在用无极变速器使车速连续改变。

(2)打印机原来是一个方向打印,断断续续,现在来回都打印,连续打印。

图173 路灯

6.把连续的搞成断续

(1)为了省电,不让路灯(图173)连续点亮,而是交叉间断点亮。

(2)间断供电、间断供气,在一些情况下往往是节能的方法。

7.把不变化的搞成可变化的

(1)电动机带动的齿轮减速器转速是不能变的。通过变频器(改变供电频率)给电动机供电,调频使电动机转速连续可变。

(2)给电风扇装上调速器,改变转速。

(3)给灯装上调光器,改变亮度。

(4)变色镜。

8.把变化的搞成不变的

让摇头的电风扇不摇头。

9.把看得见的搞成看不见的

隐形飞机、隐形眼镜、隐形魔术。把架空的电力线电话线放到地下的电缆沟中。把家中的电线埋进墙内。

10.把看不见的搞成看得见的(图174~图177)

图174 可视电话

图175 军用夜视镜

图176 胃镜检查

图177 看到胃里

可视电话、红外夜视仪、胃内窥镜。打针往往看不见找不着血管。把这个看不见的搞得看得见,打针就方便了。

11.把直的搞成弯的(图178~图181)

图178 巷战用弯把步枪

图179 把键盘卷起来

图180 把直蜡烛盘成螺旋

181 烫发直的搞弯

在光线示波器中,为了增加光路(光杠杆)的长度,让光线在两平行镜子之间多次反射,即把直的光线变成折线,把直的搞弯。

12.把弯的搞成直的(图182~图185)

图182 把圆瓜种成方西瓜

图183 把圆电机搞成直线电机

图184 有秦岭隧道不翻秦岭

图185 方网球方球拍

6.逆向思维的练习

(1)对塑料、陶瓷进行一个逆向思维。

(2)果汁巧克力。女孩过生日时客人送来一盒果汁巧克力,中心是液体果汁,大家都感到奇怪,这果汁是如何装进去的呢?

创新原理14:曲面化

1.将直线、平面用曲线或曲面代替(图186~图189)

图186 弯曲电筒

图187 卷起来的应急桥

图188 悉尼歌剧院

图189 国家大剧院

在上面创新原理13:逆向思维中,把直的搞弯的内容都属于这一条。另外再列出如下的内容。

大量的建筑物将直线、平面用曲线或曲面代替。

2.使用滚筒、球状、螺旋状的物体(图190~图197)

图190 滚筒扫描仪

图191 滚筒洗衣机

图192 滚筒输送

图193 水上滚筒

图194 螺旋灯

图195 螺旋齿轮提高接触面积

图196 滚筒搅拌机

图197 无轴螺旋输送

圆珠笔、钢笔的笔尖都是球形的。下墨均匀,书写流畅,不划破纸张。

3.改直线运动为旋转运动,利用离心力(图198、图199)

图198 直线往复式发动机

图199 三角转子发动机

(1)将往复活塞变为旋转活塞。

(2)将钻杆提出的直线运动转为旋转运动。

用直径80~90米的大转轮将钻井的钻杆提出、卷起,而不必在现场一根根拆卸,节省时间。

(3)利用离心力(图200~图204)。

图200 洗衣机离心甩干

图201 塑料离心脱水

图202 蔬菜离心脱水

图203 离心铸造原理

图204 离心铸造的钢管

4.曲面化的应用:莫比乌斯圈(图205)

哲人格里尔手里拿着一张纸条问同伴布里尔:这纸条有两个面,能把它变成一个面吗?布里尔惊奇地回答:这是不可能的。

格里尔说:把纸条的一端转180度,再连接起来,就成了一个连续的面。这就是以德国数学家命名的“莫比乌斯圈”。

这是平面曲面化的一个典型。有100多项专利是基于这个奇妙的圈。如磁带、传输皮带、磨削砂带(图206、图207),两个面都利用上了。

图205 莫比乌斯圈

图206 莫比乌斯圈的应用

图207 磨削砂带

创新原理15:动态化

1.调整或自动调整物体,使其在各动作、各阶段的性能最佳

要能调整,当然首先就是要能活动。能动,也就是先要动态化,然后才可能调整。看下面的例子。

(1)车身动态化可自动调整穿越坎坷之地(图208)。

(2)收音机调台靠可变电容器(图209)。

(3)机翼动态化——可变机翼。

超音速飞机在低速起飞时,升力要大,这时机翼应该是平直的。在高空高速飞行时,为了突破音障减少阻力,机翼就要后掠,成所谓的“喷气式”。这就要求机翼是活动可变的。这种可变机翼,是航空史上的一大进步。

图208 车身动态化

图209 收音机的内部

2.将物体分割成既可变化又可相互配合的数个组成部分

(1)折叠自行车——自行车动态化。

(2)日常用品动态化——折叠床、折叠椅、折叠桌、折叠杯、折叠门。

(3)将健康锤分割成两个可动的部分——健康锤的动态化。

3.使不动的物体可动或可自适应(图210、图211)

(1)发电机的定子是不动的,让它也反转起来,以提高导线切割磁力线的速度,发电效率可提高4倍。

(2)让鞋子动起来。在鞋子下面装滑轮——旱冰鞋。

图210 让电话动起来

图211 让电脑动起来

(3)让台灯柱子随意弯曲。

(4)让椅子摇动起来。

(5)让枪杆可弯折(图212)。

(6)让车箱动起来(图213)。

(7)把龙门刨床上固定不动的刨刀,做成刀盘转动起来,就成了龙门铣床。

图212 枪杆子伸曲

图213 让车箱动起来

4.动态化的练习(图214)

对图214中的物品进行动态化,可以给出现成的已知的结果。

图214 动态化的练习题

创新原理16:不足或过度的作用

1.不足或过度的意义

当一个精确的数量难以达到时,可以使其多一些或少一些,这就是不足或过度,意义在于这样会使问题大大简化。机器制造中给零件尺寸规定公差是一个典型。因为存在各种影响因素,要准确加工出一个规定的尺寸是做不到的,允许有一定的误差(即允许小一点或大一点,即不足或过度)。这种情况普遍存在。

这条原理可以理解为,为了达到期望的目的,可能有3种情况:

(1)可以多做一点,但不可少做,以免出问题,如浇口;

(2)可以少做一点,但不可多做,如灌装;

(3)或是可以多做一点,也可以少做一点,如机器的轴类零件尺寸。

1)铸造铸件(图215)留有浇口和冒口,就是要多浇一些铁水,即“过度”,但不可少浇,以保证铸件质量。铸成铸件再去掉浇冒口。同样,塑料件注塑的浇口也是多用的料,成型后再去掉。

图215 铸件和注塑件

2)任何瓶装液体都不能灌满,都要少一点,不可多装,留有余地。

2.不足或过度的应用

有大量金属筒外表要刷漆。简单的方法是将筒的孔堵上,将筒整体浸入油漆中,再提出。当然,这样油漆过多了。然后,使筒高速旋转,使多余的漆甩掉。这是一个应用“过度”的好例子。

3.不足或过度的练习(图216)

将一根轴装进一盘状零件的孔中,不允许出现间隙,而且要求轴带动盘状零件旋转传动扭矩。如何实现?如何实施?

图216 将轴装入孔中

创新原理17:多维化

1.将一维直线变成二维平面、二维平面变成三维空间,以满足需要(图217~图220)

图217 齿条推动齿轮平面旋转

图218 螺旋梯代替直梯

图219 两色笔压下旋转换色

图220 立起放

这是从低维到高维的变化。

3D打印机,是将普通打印机打印出来的二维平面纸张,变成三维立体实物。它是运用粉末状金属或塑料等可粘合材料,通过逐层打印的方式来构造物体的技术。过去常在模具制造、工业设计等领域被用于制造模型,现正逐渐用于一些产品的直接制造。应用范围日益扩大,可打印复杂的结构(图221~图223),甚至打印食品。下图是用砂子打印建筑物品的打印机。

立体车库(图224)。城市拥挤,停车困难。于是向空间发展,建立立体车库。

图221 3D建材打印机

图222 3D打印枪支

图223 3D打印鲜肉

图224 立体车库

牛头刨床加工平面,刨刀走直线往复运动;铣床加工平面,铣刀盘旋转作二维平面运动;五轴数控机床铣刀做三维空间运动,加工复杂曲面,如螺旋桨(图225~图227)。

图225 牛头刨床

图226 铣床

图227 五轴数控机床

2.单层排列的物体变为多层排列(图228~图238)

图228 双层巴士

图229 双面铣床

图230 双面印机

图231 双层百页窗

图232 双层床

图233 玻璃双面擦

图234 双面胶带

图235 双层印刷电路板

图236 把平面农业变成立体农业

图237 拟建中的摩天大楼农场

图238 多层立交桥

在5平方毫米的硅片上怎样排列27000个元件呢?一张邮票大小的硅片上怎么集成几亿个电子元件?答案是,变平面思维为立体思维,让元件在超薄的基础上层层重叠。

3.将物体倾斜或侧向放置(图239~图242)

图239 倾斜式书架

240 倾斜滚筒洗衣机

图241 斜罐混凝土搅拌车

图242 音箱倒相孔在侧面

4.利用给定表面的反面(图243~图246)

图243 两面穿的衣

图244 双面胶带

图245 两面加热电饼铛

图246 插座的对面是插头

上面多维化原理讲的是从低维到高维的变化。反过来,下面笔者给多维化原理补充一个细则是从高维到低维的变化。

5.将物体从三维空间状态变到二维平面状态,或从二维平面状态变到一维直线状态

(1)将物体从三维空间状态变到二维平面状态。

例1:可折叠桌椅。

有一些可折叠物品,就是“将物体从三维空间状态变到二维平面状态”。可折叠桌椅就是一个典型(图247)。

图247 可折叠平面桌椅

例2:笔记本电脑(图248、图249)。

图248 台式立体电脑

图249 可折叠笔记本电脑

例3:液晶平板电视(图250、图251)。

图250 显像管电视机

图251 液晶平板电视

例4:平板音响(图252、图253)。

图252 立体喇叭音箱

图253 平板音响就是一幅画

例5:平板音响家庭影院(图254、图255)。

图254 音箱家庭影院

图255 平板音响家庭影院

例6:电路板从分立元件到片式元件(图256~图258)。

图256 电路板电阻电容

图257 片式电阻、片式变压器

图258 片式电感、电容、三极管

例7:从实木家具到板式组装家具(图259、图260)。

例8:把立体水杯压缩到平面——便携式水杯(图261)。

图259 实木家具

图260 板式组装家具

图261 平面杯子

例9:平板电池(图262、图263)。

图262 笔记本电池

图263 平板电池

笔记本电脑平板电池覆盖笔记本电脑整个底面。

例10:可叠成片的红灯笼(图264、图265)。

图264 大红灯笼

图265 可叠成片的灯笼

例11:将三维立体状态的拖鞋变成二维平面状态的拖鞋(图266、图267)。

图266 拖鞋

图267 平面拖鞋便携

例12:将桌子平板化——一种新颖的平面折叠桌(图268、图269)。

图268 立体桌子

图269 平板桌子

多维化,向高维发展是一个方向,向低维发展也是一个方向。通过上面这些案例可以看到,将立体的物体平面化、平板化,也是一个重要的创新原理,也得到广泛应用。

(2)将物体从二维平面状态变到一维直线状态。

常用的方法是卷起(卷闸门、字画)、折叠(如扇子、雨伞)、螺旋(如螺旋梯)(图270~图275)。

图270 斜楼梯

图271 螺旋楼梯

图272 卷闸门

图273 字画

图274 扇

图275 伞

图276 餐桌桌面如何多维化

6.多维化的练习(图276)

餐桌桌面实质就是一个平面,可以提出几个多维化的发展?

创新原理18:机械振动

机械振动在很多场合是一个有害的因素,特别是与机械振动相伴随的令人讨厌的噪声,是要与振动一起被消除和抑制的。但是,任何事物都具有两面性,这里是把机械振动作为创新的原理,使机械振动成为很多机器的工作原理,完成一些特殊的功能而具有更高的效率。

1.使物体处于振动状态(图277~图288)

振动电机(图289)可以一般振动机械作为激振源,如:振动破碎机、振动研磨机(图289)、振动筛分机、振动打包机、振动落沙机、振动造型机、振动打桩机、振动提升机、振动填充机、料仓振动防闭塞装置。振动电机是电动机与偏心振动源合为一体的激振源,其激振力可以无级调节。

振动测试是现代一个重要的试验研究领域。一般的振动测试方法:由正弦信号发生器(图291)产生各种频率的正弦电流信号供给激振器(图292),与被测物品连接在一起的激振器,迫使被测物品在各种频率下进行振动。与被测物品某些位置相联系的传感器(图293),将振动信号(位移、速度、加速度)传给信号处理仪,从而获得被测物品的各种信息,如各阶自然频率、振动的形态及各种力学属性。

图277 振动压路机

图278 振动压实工具

图279 振动按摩锤

图280 振动按摩椅

图281 冲击钻

图282 风镐

图283 振动夯

图284 小零件振动上爬上料

285 粉料仓壁振动器

图286 直线振动筛

图287 圆振动筛

图288 对地毯振动拍打吸尘

图289 振动电机

图290 振动研磨机

图291 正弦信号发生器

图292 激振器

图293 传感器

图294 信号采集处理仪器

2.已振动的物体,提高其振动的频率

蛙式夯(图295)工作频率很低,效率很低,已经被淘汰,取而代之的是振动频率较高的振动夯(图296)。此外还有别的应用(图297~图299)。

图295 蛙式夯

图296 振动夯

图297 振动刻刀

298 电动振动牙刷

图299 电动振动推子

图300 人体结石超声碎石机

3.利用共振现象(图300)

(1)测固有频率就是利用共振。

以不同的频率对测试对象激振,产生最大振幅的频率就是共振频率。

(2)超声波人体体外碎石也是利用共振。

人躺在治疗台上,让超声波聚焦在人体有结石的器官的结石上,振动的超声波使结石产生强迫共振,结合各种效应,将结石击碎。

(3)医学核磁共振成像检查疾病。

(4)核磁共振找水仪是前苏联高科技首创。

(5)振动时效是使零件振动起来产生共振,以消除零件中的内应力。传统的时效方法是加热冷却零件,以消除零件中的内应力。这将造成环境污染。

4.用压电振动代替机械振动

(1)钟表用压电晶体机芯代替机械机芯。

(2)压电加速度传感器(图301)。

是振动测量常用的传感器。连接在振动物体上测量振动加速度(加速度的积分是速度,再积分是位移)。因为它结构简单。如图302,主体是两片压电片。质量块由弹簧压在压电片上,感受振动加速度产生的力压在压电片上压出电荷,测量压电片输出的电荷,就是振动加速度的大小。

图301 压电加速度传感器

图302 传感器原理图

(3)晶体喇叭(图303、图304)。

图303 压电晶体片

图304 压电晶体喇叭

在压电晶体片上焊接两根导线,通上音频电流,晶片就会振动,这是“电致伸缩效应”。

将晶片装进喇叭盆内,就成为晶体喇叭,没有活动件。汽车广泛使用这种晶体喇叭。还有大量使用的蜂鸣器也是这种晶体喇叭,结构简单。

(4)喷墨打印机由压电晶体振动控制喷墨。

喷头内由小型压电晶体振动,控制微小墨滴喷出。

如图,给晶体(红色)通电,晶体向外弹性变形(电致伸缩);断电,晶体向内弹性恢复到原位挤压墨水,并挤出一滴墨水。再给晶体通电,晶体又向外变形,墨水回缩与墨滴脱离。如此循环,控制墨水一滴一滴喷出(图305)。

图305 喷墨打印机喷头喷墨过程

图306 音叉式液位限位开关

(5)音叉式液位限位开关(图306)。

这是一种新型的液位限位开关。音叉由晶体激励产生振动,当音叉被液体浸没时振动频率发生变化,这个频率变化由在一起实在是奇思妙想。其实,音叉和液位是有关系的。让音叉在空气中振动起来,然后把音叉放入液体中,由于阻尼加大,显然音叉振动频率降低。这就是关系,这就感知了液体的存在,感知了液体的位置。

如何让音叉振动起来呢?如果设计一个机械系统与之联接产生机械振动,结构就复杂庞大了。把音叉与压电晶片绑在一起,给晶片通电振动,音叉也随之振动。这种结构就简单多了。创新要求有宽广的知识面,更需要有广泛的联想能力。

5.超声波振动

超声波在工业、农业、医疗、军事等各方面获得越来越广泛的应用。

(1)超声波清洗(图307~图312)。

图307 小件清洗设备

图308 大型超声清洗设备

309 全自动超声洗碗机

图310 家用洗碗机

311 投入式超声波震板

312 超声波洗衣机

由超声波发生器发出的高频振荡电流信号,输入压电晶体换能器,转换成高频机械振荡的超声波而传播到清洗液中,超声波在清洗液中使液体震动而产生无数微小气泡,在这种空化效应过程中,微小气泡闭合时可产生超过1000个大气压的瞬间高压,就像一连串小爆炸一样不断冲击物件表面,使物体表面及缝隙中的污垢迅速剥落,从而达到清洗物体的目的。超声波清洗效果好,效率高。

另外单独有一种配件——投入式超声波震板与超声波发生器,放入液槽中,即可实现清洗等超声波功能。

(2)超声波测量与探测(图313~图316)。

图313 超声测厚仪

图314 超声测距仪

图315 超声波水深仪

图316 数字超声波水表

由于超声波的传播速度一定,有关距离、速度的测量,就是测量超声波发射、接收,或发射、反射、接收来回之间的时间,经过换算就可得到距离等结果。

超声波混凝土检测仪对混凝土的强度和缺陷进行检测,(裂疑、空洞、蜂窝、夹渣、离析、均匀性)。

此外,还有超声鱼群探测器、舰艇拖曳探测声纳、超声波金属探伤仪等等。超声波探伤仪探测显示零件内部的缺陷。

(3)医疗超声波诊断治疗。

典型的应用有B超肝胆胰检查、超声波体外碎石、超声波手术刀等。

加湿器采用压电晶体超声波高频振荡,把水雾化成1~5微米的水珠,再吹出,增加空气湿度。超声波驱蚊器驱鼠器以特定频率驱赶雌蚊老鼠。

(4)超声波加工。

超声波加工得到广泛应用。超声波缝合机、花边机、超声波塑焊机、超声波金属点焊机、超声波宝石打孔机、超声波振动筛、超声波模具抛光机超声波振动切削:把超声波振动加在刀具上,使刀具产生微小高频振动。减少切削力、切削热。用于难切削材料和精密加工。

超声波还可以应用在许多加工领域。如超声波空泡炼油、超声波制药、油墨乳化、白酒催陈等等。

创新原理19:周期性动作

1.用周期性动作或脉冲替代连续动作

(1)农业滴灌替代连续流水。

(2)路灯交替周期点亮。

(3)轿车刹车系统防抱死使刹车片周期动作。

(4)间歇式润滑给油器——给机器摩擦部分周期性加润滑油。

(5)脉冲布袋除尘器。

随着过滤的不断进行,滤袋外侧滞留的尘粒越来越多,除尘器阻力也随之上升,当阻力达到一定值时,清灰控制器发出清灰命令向脉冲电磁阀发出信号,随着脉冲阀把用作清灰的高压气流送入袋内,滤袋迅速鼓胀,并产生强烈抖动,导致滤袋外侧的粉尘抖落,达到清灰的目的。如此周期动作,以保证除尘器正常工作。

(6)脉冲步进电机、直线步进电机。

一般电机是连续旋转,步进电机是一步一步走。广泛应用于数控机床等数字设备上,精确控制旋转和直线位移的量。

(7)最新打印机是一点一点地周期性喷墨,不是连续喷墨。

(8)打吊针也只能是一滴一滴地周期性输入,不能一直流入。

(9)电冰箱、空调都是周期性通电,把温度控制在在一定范围内。电风扇周期性的摇头运动。汽车挡风玻璃上雨刷来回周期摆动。

2.已是周期性动作,改变其运动频率

(1)用调频广播代替调幅广播(图317、图320)。

图317 调频波的形成

图318 变频器

图319 交流电动机

图320 调频广播发射机

调幅广播频率是固定的,幅值随声音变化;调频广播幅值固定不变,频率是变化的,随声音而变。(如图317)调频波图形。

(2)电子变频器(图318、图319)。

电子变频器的输出电压可以改变输入电压的频率。把调频器与交流电动机相连,就改变了电动机输入电压的频率,以改变电动机的转速。这样,就用小巧的电子变频器代替了庞大笨重的机械减速器,而且可以用手调旋扭实现无级变速。

3.在脉冲周期中利用暂停来执行另一动作

(1)急救:压胸5次暂停,人工呼吸1次。再压胸5次暂停,再人工呼吸1次。

(2)一个工人看管操作多台机床。

在脉冲周期中,也就是在两次动作之间,执行者可执行另一个动作。工人在第一台机床上卸下已加工工件,装上未加工工件,开动机床;在第一台机床完成加工前,周期内,在第二台机床上完成同样的动作,就是执行另一动作。

创新原理20:有效作用的连续性

1.持续工作,使物体的各个部分能同时满载工作

(1)使削铅笔变成连续工作(图321、图322)。

(2)汽车临时停车时用飞轮蓄能,别闲着(图323)。

(3)和剁肉比绞肉机连续工作(图324)。

图321 铅笔刀

图322 铅笔转刀

图323 发动机

图324 绞肉机

2.消除空闲或停止间歇性动作

(1)日本油轮从阿拉伯运回石油,去时运去日本雨水,不空着跑,那里也需要水。

(2)打印机回程也打印,来回打,无空程。

(3)连续不停把石油钻井钻杆抽出卷起,直径达90米。抽出后挪到一边再拆卸,而不必就地一根一根拆卸,节省了时间。

(4)练习。

牛头刨床(图325)和龙门刨床(图326)的回程都不工作,如何能消除它们的空闲?

图325 牛头刨床

图326 龙门刨床

3.用旋转运动代替往复运动

(1)用转子发动机旋转活塞代替往复式发动机直线运动活塞。

(2)用转子压缩机旋转转子代替往复压缩机直线运动活塞。

创新原理21:减少有害作用时间

将危险或有害的作业在高速下进行。

图327 快速切断塑料管

(1)打针插入针头速度要快,拔牙速度要快,以减轻痛苦。

(2)把机器零件加热到通红,快速进入冷却液中快速冷却淬火,改善性能。

(3)把土豆种用500~850℃火焰短时间烤4~8秒,将表面细菌杀死。

(4)一种切割大直径薄壁塑料管的设备,其独特之处在于,切割速度非常快,来不及变形就被切割下来(图327)。

(5)高温瞬时灭菌机:如牛奶需要灭菌,但时间长了就破坏了营养,所以要瞬时灭菌,减少有害作用时间。

(6)照相机的闪光灯只在照相机爆光的瞬间发出短促的强光。

创新原理22:变害为利

1.利用有害因素,得到有益的结果

(1)沼气池就是利用了垃圾等各种废料获得沼气。

(2)对西红柿放噪声产量剧增。

(3)把垃圾做成纪念品。

自由女神翻修后留下200吨垃圾没地扔、难处理。一犹太人承包。把破铜烂铁做成各种纪念品,朽木泥巴都装进精美小盒。全卖光了。

(4)蟑螂制药。

令人讨厌的蟑螂身上有使伤口快速愈合的物质。养蟑螂制药使千万人致富。

(5)养苍蝇生蛆喂鸡。

养苍蝇生蛆喂鸡产高质蛋,并进行生态循环。

(6)摩擦焊。

前苏联一车工正进行高速切削,突然停电,车刀与工件高速摩擦,停下以后,车刀竟与工件粘连在了一起,也就是焊在了一起。这本是一件有害的事情,车工由此联想到摩擦焊接。摩擦焊由此发展起来。

摩擦焊方法:两金属零件焊接面高速摩擦发热乃至溶化,在压力作用下焊接在一起。

(7)高频淬火,歪打正着。

苏联院士沃罗格丁著文说他20世纪20年代研究用高频电流加热金属。但只能加热金属表面,电流进不到金属内部。研究失败。而是后来有人把他的失败变成了成功,变害为利。用高频电流加热零件表面,进行表面淬火,提高表面硬度。这正是零件的需要,零件内部不要硬度而要韧性。于是,高频淬火得到广泛应用。

(8)伟大的发明电火花加工就是变害为利。

各种电路中的刀闸开关、继电器的开关触头等,会产生电火花,对开关产生电腐蚀形成缺损,致使开关报废,经济损失很大。苏联拉轧连科夫妇在20世纪30年代研究电腐蚀问题。他们用硬质合金做开关,还是难免被腐蚀。认识到电腐蚀是不可避免的,是自然现象。同时也看到电火花好利害,连硬质全金都能啃动,用来搞加工不是很好吗?于是转向研究电火花加工。获得成功,变害为利。应用广泛,现在的模具材料很硬,就是采用电火花加工。

下图是电火花加工原理图(图328)。金属丝和工件各为一电极,在金属丝和工件之间放电加工。工件由XY两方向进给机构驱动,于是就可切割出种形状的工件(图329)。

图328 电火花加工原理

图329 切割样件

图330 数控电火花线切割机床

电火花切割加工现在已发展到电火花穿孔加工与电火花成型加工(图330~图332)。

图331 电火花穿孔机床

图332 电火花成型机床

图333 垃圾发电厂

(9)变害为利,垃圾发电。

全国各地已经建成很多垃圾发电厂。图333是华中地区最大的垃圾发电厂——汉阳垃圾发电厂。

(10)治理沙漠,变害为利。

沙漠也是土地,治理得好就成宝。在沙漠里修公路,办旅游,种植耐旱植物甘草、沙棘等药材,都取得丰厚的经济效益。特别是沙漠太阳能发电,不知要顶多少三峡,前景可观。

(11)轮胎翻新,蓄电池翻新,再次利用。

(12)从废塑料中提取汽油,从尿液中提取抗癌药物。

(13)皮革碎片可制蛋白质和塑料。

(14)白蚁制药。

2.已有一有害因素,通过与另一有害因素相结合,以消除有害因素

(1)发电厂利用炉灰的碱性中和废水的酸性,循环用水(图334)。

(2)爆破前周围挖深沟反射爆破冲击波(图335)。

(3)噪声被引入的另一个噪声消除。引入的另一个噪声,幅值与原噪声的幅值相同,相位相反,这样,两种噪声叠加起来就抵消掉了,没有噪声了。方法是用了一台倒相的仪器。把噪声收进仪器变成电信号,并把电信号倒相,幅值相反,再用扬声器放出来,与原有噪声叠加以消除原有噪声(图336)。

图334 发电厂如何循环用水

图335 爆破前挖沟

图336 相位相反幅值相同叠加抵消

图337 把球头断开

3.增大有害因素的幅度直到有害性消失

(1)在森林大火的外围伐出或烧出一个隔离带防止大火蔓延。

(2)给红色胎记注入绿色颜料。

(3)破碎机上的工作部件是由一铸铁柱塞上的球头推动,如图337所示。这个球头的颈部经常断裂,是一件伤脑筋的事。增大有害因素!干脆就把这个球头做成一个独立的球,与柱塞断开,再用球面连接,彻底解决了问题。

创新原理23:反馈

反馈是控制论的一个概念,俗称信息反馈。笼统地说,反馈就是一个环节把其输出端获得的信息、情况,经过一个反馈环节反馈到输入端(图338),经过判断,再决定这个环节该如何行动。如盲人用探杆探到前面有一块很大的石头,这个信息反馈到脑子里,作出决定,不能往前走了,要拐弯。

1.引入反馈,改善、提高性能

(1)盲人用竹杆探地,竹杆把探测到的地面高低状况反馈给盲人,再判断如何走步。没有反馈盲人就不敢前行(图339)。

图338 反馈原理图

图339 盲人走路靠反馈

(2)收音机及各种音响设备的音频电路中,采用反馈电路实现音量自动控制。即不管前面的信号受什么影响忽高忽低,经过反馈以后,使音量总是保持在一个水平上,放出来的声音不是忽高忽低。否则,就很难听了。

2.如果已经引入了反馈,则改变其大小和作用

(1)摩擦焊接过程中的压力,是由焊接表面摩擦力形成的扭矩大小控制。

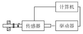
由一个扭矩传感器把实际的扭矩大小反馈给计算机,计算机算是一个反馈环节。它把实际扭矩与一标准扭矩比较,如果小了,就通知驱动器加大压力,反之就减小压力。反馈起重要作用(图340)。

图340 摩擦焊反馈控制

(2)温度自动控制在工业生产及日常生活中,都得到广泛应用。

如空调、冰箱等都要自动控制温度,都有检测反馈环节。当检测到温度高于或是低于设定温度时,进行反馈,断开开关或是闭合开关。如此循环,把温度控制在一个水平上。

创新原理24:借助中介物

1.使用中介物实现所需动作

(1)吃饭不能用手抓,要借助中介物——碗筷;喝水要借助中介物——杯子、吸管。其实,碗筷就是工具,在很多情况下,中介物就是工具。

(2)在两齿轮之间加一个齿轮,称之介轮或惰轮,用以改变后一轮的转向。

(3)机械手(中介物)把物从A地搬到B地。

(4)喷砂用的砂子,研磨用的研磨膏,都是中介物,还有药物胶囊。

(5)要用一根筷子把杯子提起来,就要用中介物冰把筷子和杯子冻在一起。

(6)举升机、升降机改变物体的位置(图341)。

图341 各种举升机、升降机

(7)澳洲千米“太阳塔”(高烟囱)发电站靠风力发电,不是直接用太阳能。风就是中介物。

2.把一物体与另一容易去除物体暂时结合在一起

(1)卫星与火箭、托盘与所托之物、打包带与其捆绑的东西等都属于暂时结合,火箭、托盘、打包带都是中介物。

(2)把直径较小的麻花钻头的锥柄暂时装入锥套的锥孔中,锥套再装入机床主轴的锥孔中才能旋转钻孔。然后再把麻花钻从锥套中退出,锥套就是一个中介物。

3.借助中介物的练习

需要在一根5米长的胶管上每隔50毫米钻一个径向孔,因为胶管很软,不好钻。采用什么中介物能比较好地解决这个问题呢?

创新原理25:自服务

1.让物体具有自补充、自恢复功能

(1)饮水机自动补水(图342)。

(2)不倒翁倒了自己爬起来(图343)。

(3)冰箱自动去霜。

(4)银行自动取款机——操作有自恢复功能,钞票自动补充。

(5)自行车内胎预先灌一小勺滑石粉,可自动修补内胎微小泄漏。

(6)机床导轨、发动机汽缸磨损自动修复润滑油能自动修复磨损。

(7)红外线感应水龙头。手一伸一离,它就自己开自己关。

图342 饮水机自动补水

图343 不倒翁

2.灵活运用废弃的材料、能量与物质,使其成为中介物

(1)草地喷灌龙头靠喷出的水的冲力旋转。喷出的水就是废弃的水。

(2)公交车频繁刹车能源浪费要回收。

(3)13亿人1年吃多少鸡啊!无数的鸡毛要回收。鸡毛都能做些什么?

最近,一组美国科学家开发了一种新技术,将鸡毛变成高级造纸材料,还可以用鸡毛做原料生产出强度大,密度小的塑性材料,应用在船体外舷和汽车仪表板。鸡毛纤维滤纸的空洞更小,可以将空气中更多的植物花粉和孢子过滤掉,降低空气污染综合症的发生率。此外,将鸡毛纤维滤纸用在真空吸尘器中,吸尘效果也优于使用常规滤纸。美国农业研究服务实验室开发一项新专利,可以将清洁的鸡毛粉末加工成纺织纤维布、容器、塑料膜、塑料包和其他由塑料制成的任何特殊产品,非常结实、轻便和可生物降解,对环境没有一点白色污染的痕迹。科学家测试了由鸡毛制成的农用塑料地膜。结果显示,由传统塑料制成的地膜当庄稼长高时,不得不揭开才行,这需要花费人力。而鸡毛地膜就用不着了,它会自然降解,变成植物可吸收的氮。再次种植新的农作物时,这些地膜就变成了氮肥,肥沃了土壤。鸡毛纺织品如棉花般舒适,又像羊毛一样的质地。也许不久之后,我们喜爱的羊毛运动衫可能会由鸡毛做成。

(4)发电厂堆成山的煤渣现在都做成了建筑材料。

创新原理26:复制

1.用简单、廉价的复制品替代复杂、高价、易损、不易获得的物体

(1)廉价复制品:兵马俑、人造宝石、纸花、光碟、录音带、布柜子。

(2)人体器官的复制——人造器官。

(3)模拟汽车驾驶系统。

(4)模型试验。

有很多大型的复杂的结构,如大坝、水利、飞机、车辆、建筑等,许多性能如抗风能力、抗震能力、破坏强度等是计算不出来的,只有通过试验获得。因为被试对象庞大,不可能用实物进行试验,只能按相似理论按一定比例复制模型,进行模型试验。

(5)计算机数值仿真。

一般的复制都是复制实物的外形。计算机数值仿真,是用数学模型描述结构或系统内部的动态状况,是一种内部的动态复制,可用动态的形式表现出来。例如,汽车的刹车阀,内部有阀口和开关阀口的阀门、弹簧、压缩空气通道等等。问题是,对刹车阀踩一脚,阀门就要打开阀口,它需要多长时间?阀门是如何动作的?过度过程有没有振动?这样的问题做实物试验是不可能的,只有用计算机数值仿真,建立系统数学模型,再用计算机数值求解,就可以获得阀门运动的规律,并能用运动曲线表示。

2.用图像替代实物,可按一定的比例放大或缩小图像

(1)列车即将离去,如何能量出这一车圆木有多少立方?长度是一定的。时间很紧迫,拿尺子一根根量是来不及了。用照相的方法,也就是复制。贴一标尺,对圆木照相。然后用尺子在照片上量每一根圆木的直径,按标尺比例换算出真实直径。经实际应用,误差不大(图344)。

(2)X光机透视拍照(图345)。头颅CT片(图346)。

图344 这车圆木多少立方

图345 X光机透视拍照

图346 头颅CT片

3.用红外线、紫外线、X射线替代可见光拷贝

(1)用红外体温计代替玻璃水银体温表(图347)。

(2)紫外线灯用于机器零件荧光磁粉探伤(图348)。

(3)X射线探伤仪自动检测汽车轮毂裂纹(图349、图350)。

图347 红外测温

图348 紫外线灯探伤

图349 X光安检机

图350 X射线探伤汽车轮毂裂纹

创新原理27:廉价替代品

用廉价的物体替代昂贵的物体,实现同样的功能。

(1)一次性产品。

宾馆一次性用品、一次性照相机、一次性塑料鼠笼、一次性打火机、杯子、注射器、筷子等。

(2)人造仿真产品。

人造宝石、人造大理石、人造革、人造皮毛、人造卫星等等。

(3)在工程技术中用廉价材料代替贵重材料,完成同样功能。例子很多。

创新原理28:机械系统替代

1.用光学、声学、热学、视觉、听觉、味觉、嗅觉系统替代机械系统

(1)抛光过程好没好听声音变化(图351)。

(2)加热膨胀产生显微镜下的微小移动(图352)。

(3)在天然气中加微量极臭的乙硫醇泄漏就能闻出,不用传感器(图353)。

图351 抛光听声音

图352 热膨胀产生小位移

图353 化工原料乙硫醇

(4)红外控制自动门(图354)。

(5)楼道路灯声光控制开关(图355)。

(6)红外遥控器(图356)。

图354 红外控制门

图355 声控开关

图356 红外遥控器

(7)深井钻头(图357)在地下很深的地方,工作条件恶劣,有时会钻上岩石。如何检测钻头上的齿是否破损?显然不可能装传感器。这里就用了一个简单的方法,代替复杂的机械传感器系统。就是在钻头的齿内事先放入一个装有乙硫醇的胶囊。如果钻头齿破损,乙硫醇的臭气就会泄漏出来。

(8)一工厂生产成千上万的瓷器。烧制的好坏,要靠工人用锤子一个个敲打听声音判断。一发明家模仿人也用敲打的方法设计了一台机器人,不好用。最后借用了陶瓷电阻检测的方法。把光线照射到瓷器上,接收反射光线的多少,就可以判断瓷器烧制的好坏。不用敲了,用光线代替。

(9)遥控锁(图358~图360)。

图357 深井钻头

图358 遥控玩具汽车

图359 遥控窗帘

图360 遥控车位锁

2.使用与物体相互作用的电场、磁场、电磁场(图361~图368)

图361 磁疗项链

图362 磁疗枕

图363 磁疗腰带

图364 矩形磁力吸盘

图365 圆形磁力吸盘

图366 起重电磁铁

图367 体外电场热疗机

图368 体外短波治疗机

静电喷漆:见图369~图373,喷头中心有一旋转喷漆杯,接负高压(60~120千伏),周围工件接正高压,于是在喷杯与工件之间形成一个高压电场。由于喷杯高速旋转,喷出的油漆被雾化。雾粒子都带负电而相互排斥散开。同时在电场力的作用下,雾粒子向带正高压的工件飞去,被吸附在工件表面形成油漆层。与人工喷漆相比具有效率高,浪费少,质量好,有利于工人健康等优点。

手动静电喷涂(图369)与静电喷漆(图370)的原理是一样的。有高压发生器、手持喷枪。可喷室外设施如护栏等。

高压静电除尘(图371):将含尘埃的烟气引进除尘器。除尘器外层金属管A接高压电源的正极,内容金属丝B接负极,B附近的空气分子被强电场电离为电子和正离子,正离子被吸到B上得到电子又成为分子,而电子在向正极A运动过程中,遇上烟气中的煤粉,使煤粉带负电,被吸附到正极A,最后在重力作用下落入下面漏斗。

静电植绒(图372):与静电喷漆同理,只是喷出的不是油漆而是绒毛。喷头式植绒——植绒机产生的数万伏高压静电,负极接喷头,喷头中的绒毛带上负电荷,然后在被植物体表面喷涂上胶粘剂,被植物处于正极一端。移动喷头靠近被植绒物体,绒毛在高压电场的作用下从喷头中飞升到被植绒物体表面,呈垂直状植在涂有胶粘剂的物体表面上。

静电复印机(图373):静电复印机是利用静电正、负电荷能互相吸引的原理制成的。首先通过光学系统把原件复制到硒鼓上,形成一个与原件对应的静电图象。墨粉末被吸附在静电图像上,再转印到复印纸上,成为文字图画的复印品。

图369 手工静电喷漆

图370 自动静电喷漆流水线

图371 高压静电除尘器

图372 静电植绒

图373 静电复印机

3.用可变场替代恒定场,随时间变化的可动场替代固定场,随机场替代恒定场

(1)变频器给电动机变频调速替代庞大的机械减速器。变频器的输入电压就是电网电压,输出电压加到三相电动机上,并可连续改变输出电压的频率,因而改变了电动机的旋转磁场,改变了电动机的转速,而且是无极变速。

(2)变频空调器。

变频,就是改变电压的频率,改变了磁场,用变化的磁场代替固定的磁场。

变频空调器的主要特点:

1)自动适应负荷能力强,制冷、制热速度快。

2)节能性好。启动性能好。自动低频维持。避免了压缩机的频繁启动,节电达30%以上。

4.把磁场与铁磁粒子组合使用

(1)过滤间隙可以小也可以大。

燃气过滤器采用多层金属过滤网。清洗时要一层层拆开而且很难清理。用小钢球代替网,在磁场作用下钢球靠紧间隙很小起过滤作用;取消磁场,钢球松开间隙很大,便于清理。这里是磁场与铁磁粒子结合起来代替机械过滤器。

(2)理顺火柴头。

火柴装进火柴盒头都在一端。如果装之前火柴是杂乱无章一大堆,要用手工理顺效率太低。如何能快速将火柴头理顺呢?这里就要用上“磁场与铁磁粒子组合”的方法。在配火柴头料的时候加进少量铁粉,做成火柴以后,用一个磁铁放在火柴堆上,火柴头被吸在磁铁上而理顺。

(3)要让上万座小金字塔的尖顶朝上。

要做一种金刚石研磨工具。一颗颗金刚石就像一座座金字塔,要保证尖顶朝上,要用手工将金刚石一粒粒摆放在研磨工具的平面基材上,显然很困难。有什么好办法很快就将金刚石尖顶朝上地摆好?就应用“磁场与铁磁粒子组合”。将金刚石与铁粉混合放在基材上,基材的下面用磁铁吸引金刚石。

(4)自动装苹果,苹果前后从高处落入箱中发生碰撞会损伤苹果,于是往箱中放入一些乒乓球缓解碰撞。装完了,乒乓球轻都浮在了面上,要把这些乒乓球一个个用手取出来,太麻烦了。于是,又应用了“磁场与铁磁粒子组合”。在乒乓球中装入一小铁片,最后用一电磁铁把所有乒乓球一下子都吸了出来,再放进另一箱中。

(6)练习:一些不成材的树枝和歪扭树干,不能弃之不用造成浪费,要把它打碎,再进行加工成纸浆。问题是打碎以后如何把树皮去掉?怎么办?

创新原理29:气压与液压结构

将物体的固体部分用气体或液体代替,如利用气垫,液体静压、气液压缓冲、液压传动。共同点:都是以气或液等流体作为介质(图374~图382)。

图374 展会充气拱门

图375 用充气塑料支架代替石膏

图376 充气床

图377 植绒充气沙发

图378 充气游泳池

图379 充气浴缸

图380 气动扳手

图381 液压焊接机器人

液压注塑机(图384):现有的一切塑料器具都是由注塑机注塑出来的。

液压传动(图383~图385):与气动传动都是流体传动技术,简单灵活,广泛应用。由液压泵站泵出的高压油,经由管道、各种阀进入油缸推动活塞运动,活塞杆与执行件连接在一起,执行件跟着运动完成各种功能。

图382 矿井坑道液压支架

图383 液压传动挖土机

图384 液压注塑机

图385 液压制砖机

气压与液压结构的练习:如何在没有风的情况下,使旗杆上旗子一直飘起来?

创新原理30:柔性壳体或薄膜原理

1.使用柔性壳体或薄膜构造代替传统结构(图387~图397)

图386 薄膜太阳能电池

图387 蚊帐

图388 薄膜开关

图389 飞艇

图390 覆一层橡胶膜抗压

图391 薄膜电容

图392 野营帐篷

图393 水上膜球

图394 覆膜

图395 复膜机

图396 气泡袋复膜

397 彩印无纺布复膜

复膜机(图395):各种各样的复膜机,给各种各样的材料表面复上一层塑料薄膜,如各种纸张、编织袋、织物、证件等等,取到防水、防潮、抗磨、保洁等作用。

薄膜太阳能电池(图386):由于薄膜太阳能电池具有便携、耐用、光电转换效率高等特点,可广泛应用于电子消费品、远程监控/通讯、军事、野外/室内供电等领域;也适合于农业大棚、建筑屋顶、以及水塔、车辆、船只顶部的安装,更加适合于在建筑南侧立面的安装,感觉就像粘纸一样。也由于使用塑料等质轻柔软的材料为基板,薄膜太阳能电池将广泛用于手表、计算器、窗帘甚至服装上。薄膜太阳能电池在光伏建筑一体化、大规模低成本发电站建设等方面将比传统的晶体硅太阳能电池具有更加广阔的应用前景。薄膜太阳能电池简单的制造工序以及能耗少的生产流程克服了光电转化效率相对较低以及寿命较短所带来的成本挑战。

2.使用柔性壳体或薄膜,将物体与环境隔离(图398~图405)

图398 地膜

图399 大棚

图400 医用手套

图401 一次性雨衣

图402 汽车贴膜

图403 手机覆膜

图404 防伪标签

图405 镀膜玻璃

为了减少树叶的水分损失,美国研究人员往树叶上喷洒聚乙烯“雨”。树叶上就形成一层非常薄的塑料膜。因为聚乙烯能让氧气和二氧化碳更好的通过,所以植物能正常生长,而且水分却不易挥发。

另外,光学薄膜及镀膜技术,是薄膜应用的重要部分,属于高新技术。主要应用在显示领域,如液晶显示器,以及太阳能光伏电池。也应用于光学元件如镜片的镀膜,以抗紫外线和红外线,并提高其他性能。还有钞票上的紫外线防伪也采用镀膜,也包括一些其他的防仿标签。

事实上,薄膜应用十分广泛。生成一层氧化薄膜,可以保护里面的材料;给皮鞋打上一层薄油,既美观又保护了皮革;化妆品、指甲油既是美化也是保护,等等。

创新原理31:多孔材料

1.使物体变为多孔或加入多孔性的物体

采用多孔是为了增强某种功能(图406~图414)。

图406 多孔砖

图407 蜂窝煤

图408 燃气灶用多孔陶瓷片

图409 粉末冶金多孔材料

图410 多孔陶瓷滤芯

图411 多孔管

图412 聚胺脂泡沫板

图413 聚胺脂发泡机

图414 聚胺脂发泡剂

粉末冶金多孔材料,可用于机动车(汽车、摩托车等)尾气净化载体、燃煤电厂废气脱硝净化处理载体、化工催化剂载体、以及污水净化处理载体等。粉末冶金多孔材料是利用其特有的过滤作用,净化含有各种固体粒子的气体或液体;广泛用于石油、化工、航空、冶金、机械、环保等工业。

2.若物体已有多孔结构,利用孔结构引入有用的物质或功能

(1)利用海棉孔隙储存液态氮。

(2)多孔棉纤维孔储存更多的空气保暖(图415~图422)。

图415 多孔棉

图416 泡沫金属

图417 泡沫塑料

图418 泡沫橡胶

图419 泡沫混凝土

图420 聚苯泡沫板

图421 沥青发泡机

图422 塑料泡沫管

这里普遍性就是多孔、泡沫,特殊性是形形色色的东西。

泡沫金属用于制造飞机机翼。中国超轻金属多孔材料正在研发之中。

创新原理32:改变颜色

1.改变物体及其周围环境的颜色(图423~图433)

图423 变色镜

图424 变色龙

图425 变色涂料

图426 彩色水泥

图427 电机变彩色打开市场

图428 斑马线

图429 彩色果蔬豆腐

图430 彩色棉花

图431 用彩色水帘隔开钢水

432 将黑色炉灰撒在冰面上化冰

图433 将冰山漆成红色易于观察

(1)黑色炉灰解了困船之难。

1903年,德国北极探险队的一艘轮船卡在冰面上不能移动,甚至使用炸药也不能解决问题。最后船员把黑色的炉灰撒在冰面上,吸收极地阳光的能量,沿着冰面就融出一条水路。

(2)水帘用在锻压和铸造车间、冶金工厂,或其他需要保护工人不受热的地方。可很好地保护不受红外伤害。但钢水的强光仍能穿过水帘产生伤害。所以要用彩色水帘,不仅阻隔红外热辐射,同时也削弱可见辐射的强度。

(3)棉花可种成多种颜色。乌孜别克大量种植红、黄、黑色棉花。养蚕也可以把蚕茧的颜色变成黄、淡红、浅绿色。农科院种出了红色的黄瓜。

(4)历史上有两次改变颜色打开销路的案例。一是库存了很多电风扇,早期的电风扇都是黑色的,改成颜色,打开了销路;二是早期的福特汽车也是黑色的,一度销路受阻,改变颜色,打开了销路。

(5)示温油漆,是温度敏感油漆,在达到或超出预选温度时颜色显著变化。示温/温变油漆在那些因为某种原因不能使用热电偶监控温度的场合非常实用。典型应用在:石化工业、高温消毒、电子设备的关键部件、观察烤箱温度、电路断路等。

这种变色油漆是系列产品,如一种油漆当温度达到65℃,10分钟后,颜色由红色变黑色。另一种当温度达到400℃,颜色由紫色变白色。

(6)十字路口的红绿灯,是改变颜色发出指令的典范。

(7)把化学试纸浸入液体,根据颜色判断液体的酸碱度。

2.改变物体及其周围环境的透明度或可视性(图434)

3.对难以看清的物体使用有色添加剂或发光物质

对不发荧光的物质用荧光染色,用荧光显微镜观察(图435~图437)。

图434 透明绑带观察伤口

图435 荧光标牌

图436 红外夜视镜

图437 验钞机

4.如果已经使用了有色添加剂或发光物质,则用紫外线追踪发光物质

例如,为了检查一些机器内的润滑油是否有泄漏,如冰箱压缩机,在润滑油中添加荧光粉,然后在可能泄漏的部位,用紫外光照射,如果有泄漏,就会发现荧光粉发出的荧光(如图438~图441)。

图438 荧光显微镜

图439 荧光棒

图440 冰箱压缩机

图441 夜光标牌

创新原理33:同质性相互作用的两物体用同种或相近材料制成

例1:焊接(图442-443)。不同材料的热膨胀系数要匹配,防止产生裂纹,所用焊条要与被焊材料相同。

把两件金属件焊接在一起,要选用同质量的焊条。如焊接不锈钢三通,就要用不锈钢焊条。

例2:网球鞋鞋底硬度与网球塑胶场地的硬度接近(如图444)。

例3:山西应县木塔千年木塔,高67米,全木结构,榫连接。没有一颗钉子,没有锈蚀(如图445)。

图442 焊接

图443 焊条同质性

图444 网球鞋与场地

图445 应县木塔

图446 蛋筒冰淇淋

例4:白血病人骨髓移植,需有与患者人类白细胞抗原(HLA)相匹配的同胞兄弟、姐妹以及极少数的无亲缘关系的供髓者所输入的异体骨髓,这种骨髓配型就是同质性,以防止排异反应。同样,人体肾移植也要求配型,以防止排异反应。

例5:蛋筒冰淇淋(图446)的蛋筒是可以吃的容器。

同质性的练习

例6:香肠(图447)里面是肉,外面包的是可吃的肠衣,同质性。

例7:糯米纸包在糖的外面和糖一起吃掉,同质性。

练习1:用一根输油管(图448)输送不同的油,在两种油之间就要用东西隔开。要防止串流,如果还要通过加压泵站的泵,怎么办?

练习2:猪肉检验盖章(图449),要不要考虑一个同质性问题?怎么解决?

练习3:氧化铝晶体只能在纯净熔化的情况下产生,用白金坩埚来熔化氧化铝都不行,因为白金原子会熔进去。怎么办?

图447 香肠

图448 输油管道

图449 猪肉上盖检验章

创新原理34:抛弃或再生

1.采用溶解、蒸发等手段抛弃已完成其功能的零部件,或改造其机能

例1:可降解塑料(图450)。

例2:用干冰清洗机喷干冰清理机器,不污染,喷后干冰自动挥发(图451~图456)。

例3:火箭逐级分离脱落抛弃(图453)。

图450 可降解塑料

图451 干冰制造机

图452 干冰

图453 多级火箭

例4:药品胶囊溶解(图457)。

例5:冲锋枪打过的子弹自动弹出抛弃。

例6:前面同质性练习1,用一根输油管输送不同的油,在两种油之间就要用东西隔开。这个东西就是氨水。油输送到站以后,流出来氨水就自动挥发掉了——抛弃。否则就不好处理了。

图454 干冰清洗机

图455 喷干冰清理

图456 舞台喷雾

图457 药品胶囊

2.在工作过程中迅速补充消耗或减少的部分,或恢复其功能、形状

例1:饮水机自动补水(图458)。

例2:自动铅笔有的是边写边伸出(图459)。

例3:带刻线的木工刀刀尖变钝后,顺刻线折断抛弃,露出新刀尖(图460)。

例4:打印机连续供墨(图461)。

例5:形状记忆合金可随意弯曲,在一定温度下恢复原形(图462~图463)。

图458 饮水机自动补水

图459 自动铅笔

图460 木工刀

图461 打印机连续供墨

图462 记忆合金

图463 胶卷照相机

创新原理35:物理或化学参数改变

1.改变物体的物理状态,让物体在气态、液态、固态之间变化

例1:将气体液化,减小体积便于保存、运输——气体变液体(图464、图465)。

例2:固体水(图466)——液体变固体。看上去像一块“皮冻”。它97%是水,另外的3%是从植物中提取的一种高分子聚合物,其作用是将水分子固化。适于干旱地区植树,缓慢释放。

图464 液化气球罐

图465 液化气罐运输车

图466 固体水

例3:干冰——气体变液体,液体再变固体。

干冰是固态的二氧化碳,在常温和高压下,把二氧化碳冷凝成无色的液体,再在低压下迅速蒸发,便凝结成一块块压紧的冰雪状固体物质,其温度是-78.5℃。它受热后不经液化,而直接气化,舞台喷雾就是一例。

干冰清理、清洁机器设备广泛应用在很多领域,其他应用也很广泛,如消防灭火、人工降雨、低温保鲜、冷冻医疗等等。此外还有一些特殊用途。如,仪器中一有限空间位置要装一根压缩弹簧,如果用手工把弹簧压缩了再往里装,非常困难。采用一个特殊的办法:把弹簧压缩到所需高度,再用冰冻结起来。冰冻好以后弹簧就保持被压缩的高度,这样就很容易装进仪器的有限空间了。问题是,用水结成冰,将来在仪器里化成水就会产生污染,显然不行。用干冰就解决了这个问题。弹簧装进以后,干冰会变成二氧化碳气体挥发掉。

例4:固体变液体——磁流体(图467)。

磁性材料一般是固体的。磁流体(又称磁性液体、铁磁流体或磁液),是由强磁性纳米粒子、基液(也叫媒体)以及界面活性剂三者混合而成的一种稳定的胶状溶液。该流体在静态时无磁性吸引力,当外加磁场作用时,才表现出磁性。

应用:1.磁流体发电,尚未成功实现;2.磁流体密封轴承,已有产品。

应用1:磁流体发电是一种还在研究中的新型的高效发电方式。磁流体中加碱性金属,高温高速形成导电等离子体通过磁场中的导电管道。根据霍尔效应,在管道两侧垂直磁场的电极电路中会有电流流过,顶上的小灯泡会发亮。

应用2:磁流体密封轴承

优点:无磨损寿命长、无泄漏、耐压差、温度范围宽(图468~图470)。

图467 磁流体发电机原理

图468 磁流体轴承原理

图469 磁流体轴承剖开

例5:液体变气体(图471)。

火力发电厂,用煤烧锅炉,把水变成高温高压的蒸汽,喷射气轮机的叶片,气轮机旋转带动发电机旋转发电。火力发电厂就是将液体变气体——水变蒸气。

例6:把空气变成水。

集水机每天从空气中吸取500加仑水。

2.改变物体的浓度或黏度

例1:洗手液(肥皂水),降低浓度,定量控制(图472)。

图470 磁流体轴承

图471 集水机从空气中集水

图472 洗手液(肥皂水)

例2:在船的水下部分外表面喷出气泡,降低水的密度,减小对船的阻力。

例3:高台跳水,运动员与水面接触冲击,可能会受伤。应使水面变软。

于是,给水中注入大量气泡,降低水的密度。防止运动员落水时受伤。

3.改变物体的柔度

例1:最早的橡胶很硬很脆没有弹性。只是固特异一个偶然机会发明了橡胶硫化技术,才使橡胶变得柔软有弹性,得到广泛应用。

例2:把电子琴卷起来,如此柔软(图473)。

例3:柔性手电筒、柔性霓虹灯(图474、图477)。

图473 电子琴卷起来

图474 柔性手电筒

图475 把桥卷起来

图476 伸缩门

图477 柔性霓虹灯

例7:把桥卷起来——12米长应急轻便桥可卷起,便于运输(图475、图476)。

例8:柔性升降、可弯折的柔性电路板(图478、图481)。

图478 柔性升降

图479 柔性制造系统中两台数控加工中心

图480 柔性制造系统

图481 可弯折柔性电路板

例9:柔性制造系统(图479、图480)。

制造业的生产线或自动线,一般都是针对一个特定的产品设计的。如果产品规格一变,生产线或自动线就不能用了,就报废了。当然很不经济。特别是产品规格多,批量又不大,但是为了提高生产率,又要用自动线,显然,这就要求自动线能快速改变,以适应产品规格的变化,这就是柔性制造系统,可以变化的制造系统。系统是由数控加工设备、物料运储装置和计算机控制系统等组成,它包括多个柔性制造单元,并能根据制造任务或生产环境的变化迅速调整。

4.改变物体的温度

升温:居里点(居里温度),是磁性材料保持磁性和失去磁性的一个临界温度点。如果使金属的温度升高到居里点以上,金属就会从铁磁体变为顺磁体(失去磁性)。居里点有很多用途。电饭锅锅底中间就有一个居里点105℃的磁性材料和一块磁铁。开始磁铁把磁性材料吸上,电路开关闭合。当水烧干以后,温度上升到105℃,磁性材料失去磁性,磁铁没有吸引力,在弹簧力的作用下,电路开关断开。饭做好了。

降温:超导体,就是电阻为零的导体。使超导材料的温度降低到-273℃,电阻消失。没有电阻就没有电能的损耗,用途当然很广。超导磁体可用于制作交流超导发电机、磁流体发电机和超导输电线路等。还有磁悬浮列车(图482)。

例1:改变温度将某些金属材料的温度降低到-273℃,电阻降为零,成为超导体。

例2:高温灭菌——高温瞬时灭菌机。如牛奶需要灭菌,但时间长了就破坏了营养,所以要瞬时灭菌。

例3:低温灭菌——先有高温灭菌,后来发现低温也可以灭菌,这才出现了制冷设备、冰箱、冰柜、冷库。

例4:居里温度——居里点。

将铁磁体的温度升高到居里点以上,铁磁体就会失去磁性。一般可以根据居里点做成温度传感器或温度开关。如一种干簧管磁性温控开关,广泛应用于电冰箱、汽车、家电等等需要控制温度的地方。当温度在居里点以下时,铁磁体有磁性,使干簧管触点打开,电路断开;当温度超过居里点,铁磁体失去磁性,干簧管触点动作,电路接通,如果是电冰箱,压缩机就工作制冷。

5.改变物体的压力

改变物体受压,可能出现异常效果。

给鸡蛋升压:鸡蛋一般放在常温常压之下。如果加温,生鸡蛋就变成熟鸡蛋,液体变成了固体。如果升压呢?会有什么结果?有人进行试验。改变鸡蛋受压状态。将鸡蛋放入密封的铁筒中,逐步加压,一直升到6000个大气压,发现“新大陆”。蛋壳是冷的,但完好无损。去壳,蛋已凝固熟了,味特鲜美。经化验,营养毫无破坏。由此发明了不用加热的“压力烹饪法”和“超高压食品”(图483)。

创新原理36:相变物质有固相、液相、气相

相变是物质系统不同相之间的相互转变。固、液、气三相之间转变时,常伴有吸热或放热以及体积突变。作为一种创新原理,就是利用物质相变时产生的某种效应(如:体积改变、吸热或放热)。

例1:相变热宝(发热包)(图484)。

塑料包中的晶体物质常温下是固体。在热水中煮几分钟吸热变成液体。使用中放热又恢复成固体。代替热水袋。

例2:空调、冰箱制冷就是液汽相变循环;蒸发器中的制冷剂吸收环境热量汽化成低压蒸汽,被压缩成高压蒸汽进入冷凝器散热,风扇吹走热量,制冷剂蒸汽凝结成高压液体,经节流喷入蒸发器,又吸收环境热量汽化成低压蒸汽,循环制冷。

图482 磁悬浮列车

图483 给鸡蛋加压

图484 相变热宝

例3:相变蓄能。

一种中央空调(图485),在用电低谷时间制冰,将能量以冰的形式蓄存起来。在用电高峰时由冰释放冷量,少开或不开制冷机。

例4:热管——高效传热的热管(图486、图487)。

这种传热元件由管壳及贴附在管壁的毛细多孔吸液芯和端盖组成。内部被抽成真空,充入沸点低容易挥发的液体并进行封闭。热管下端为蒸发端,上端为冷凝端。下端受热,热量快速高效传到上端。当热管下端受热时,毛细管中的液体迅速蒸发,流向上端释放出热量,重新凝结成液体,再沿多孔材料流回蒸发端。如此循环不止,热量由热管一端传至另外一端。热管的原理就是液汽相变循环。这种相变循环快速进行,传热速度比铜快100多倍。

图485 中央空调机

图486 高效传热热管

图487 制冷原理图

热管应用1:热管散热器——CPU、电路元器件热管散热器,高效散热(图488)。

图488 CPU等元器件热管散热器

热管应用2:相变取暖锅炉——锅炉与散热器之间用热管连接,不用水,即将锅炉热量传递给暖气片(图489)。

利用热管高效传导的性能。从锅炉到散热器的热管中加入复合介质(一经加入永不再加)封好作为传热工质,实现相变循环快速传热。本采暖系统不用水,直接从锅炉将热能通过热管快速传到散热器,省煤40%。

热管应用3:热管太阳能(如图490~图493)。

图489 热管快速传热原理图

图490 热管锅炉

图491 热管太阳能

图492 太阳能热管

图493 烟气余热回收炉

热管应用4:烟气余热回收。

火力发电厂、钢铁厂、化工厂等排出的烟气都有一定温度。要用热管回收烟气的余热。热管一头在烟气室中,一头在水箱中。热量由烟气室通过热管快速高效流到水箱——回收。

例5:热泵。是从空气、水或土壤中获取低品位热能,经过电力做功,实现蒸发和冷凝功能,使液气相变连续转换的制冷机。是能源再生的节能技术。热泵消耗1千瓦的能量,可以得到4千瓦以上的热量或冷量。是一个热能放大器。按照取热来源不同,一般分为水源、地源和空气源热泵3种。

热泵应用1:空气源热泵热水器(图494、图495)。

图494 空气源热泵热水器

图495 空气源热泵热水器原理图

热泵应用2:地源热泵室内冷热空调。

地源热泵室内冷热空调原理分三部分:室外地能换热系统、地源热泵机组和室内采暖空调末端系统。3个系统之间都靠水作为换热介质进行热量的传递(图496~图499)。

图496 夏天地下冷量抽到室内

图497 冬天地下热量抽到室内

图498 地源热泵可逆工作原理图

热泵应用3:水源热泵制冷(图500~图502)。

图499 地源热泵空调3部分

图500 水源热泵原理图

图501 水源热泵空调

图502 热泵机组

热泵应用4:重庆长江水空调节能1/4——热泵—液汽相变循环—热量放大(图503)。

图503 重庆长江水空调

例6:相变储能材料的广泛应用。

相变材料(PCM)包括无机、有机和复合3类。其中,无机类:结晶水合盐类、熔融盐类、金属或合金类等;有机类:石蜡、醋酸和其他有机物(图504、图505)。

相变储能材料广泛应用于建筑节能、太阳能储能、工业余热利用、电力调峰、纺织品调温、路面跑道防结冰。

应用1:建筑节能相变材料。

相变建筑材料——石腊沙浆具有超强的蓄热能力。当室外温度太高,石腊遇热熔融,延缓室温上升。当室温下降时,熔融的石腊向室内释放热量。

应用2:太阳能蓄能。

美国的太阳能公司利用Na2SO4·10H2O作相变材料有效地储存太阳能。

应用3:工业余热利用。

在冶金玻璃水泥陶瓷等部门都有大量的高温窑炉(图506),能耗非常大,但热效率通常低于30%,节能的重点是回收烟气余热(热损失达50%以上)。改用相变储热系统,则储热设备体积可减小30%~50%,同时节能15%~45%。

图504 相变蓄能墙体材料

图505 外墙涂层

图506 窑炉

应用4:相变储能电力调峰。

相变储能技术是利用电力低谷廉价的电力加热相变物质,吸热发生相变蓄热,如从固体变成液体,电力高峰期,又从液体变固体,放热。是促进低谷电力消费和调峰的可行方式。可有效解决电网高峰负荷紧缺状况。

应用5:纺织业(图507)。

把相变材料掺入纺织品后,利用相变材料可控温的特点,当外界环境升高温度时吸热,当外界环境温度降低时放热,从而降低外部环境对人体的影响,天津工大研制的熔纺纤维中相变材料试用于新型飞行服和通风服等。

应用6:采用相变材料的沥青路面或水泥路面广泛应用于公路、机场跑道、桥梁,可以有效防止路面在冬季深夜结冰(图508)。

图507 相变材料飞行服

图508 这是2008年雪灾中向路面撒盐化冰

图509 冰砂轮

应用7:冰砂轮——相变砂轮(图509)。

将研磨粉和水调成糊状,再冻成冰砂轮,进行研磨加工。一种简单制造砂轮的方法。

例8:利用水结冰爆破。水结成冰体积会膨胀变大。利用这一特性,可以进行无声爆破。

例9:加湿器就是把水变成雾气,把水从液态变成气态,以湿润空气。

创新原理37:热膨胀

1.使用热膨胀或冷(热)收缩材料

例1:金属零件冷、热装配。

机器零件过盈配合装配的时候,轴比孔略大,就装不进去。可加热外件或冷却内件,再行装配(图510)。

例2:使用热收缩膜包装产品(图511~图513)。

产品包上热收缩膜进入热收缩膜机加热,热收缩膜紧紧包在产品外表,充分显示产品外观。

例3:电缆接头热缩管(图514)。

电缆接头套上热缩管,加热收缩紧紧包住电缆,产生几百公斤压力,确保接头的安全。

例4:绝缘热缩塑料套管(图515、图516)。

例5:热气球(图517)。

热气球内空气受热膨胀,球内空气密度降低,产生上浮力。

例6:拔火罐。

拔火罐之前先用火烤罐内空气,空气受热膨胀排出罐外,罐内形成负压,即可将罐子吸附在人体皮肤上。

图510 轴装入小孔

图511 热收缩膜

图512 热收缩膜机

图513 啤酒热膜包装

图514 高压母线热缩绝缘保护套管

图515 套在电容器上

图516 电缆接头热缩管

图517 热气球

例7:用热膨胀获得微小移动(图518)。

显微镜下的标本只要移动1/1000毫米这么小的距离,用精密机械的方法复杂昂贵。用热膨胀就很简单。

例8:液体膨胀式温控器(图519)。

当被控制对象的温度发生变化时使温控器感温部内的工质产生相应的热胀冷缩的物理现象(工质体积变化),与感温部连通一起的膜盒产生膨胀或收缩。通过杠杆带动开关动作,达到恒温目的。主要用于家电行业、电热设备、制冷行业控温。

例9:水银温度计就是靠热胀冷缩(图520)。

例10:乒乓球瘪了怎么办(图521)?

放在热水中泡,瘪的地方就能鼓起来。为什么?原来乒乓球中是有空气的。空气受热膨胀,就能把瘪的地方顶起来。

图518 加热金属棒产生小位移

图519 液体膨胀式温控器

图520 水银温度计

图521 乒乓球瘪了

例11:以前铁路铁轨连接处,要留间隙,就是热胀冷缩的伸缩缝。桥梁板块连接处也要留有伸缩缝。

2.组合使用不同热膨胀系数的材料

例1:双金属片(图522、图523)。

图522 片状双金属片

图523 蝶状双金属盘

由两种膨胀系数不同的金属贴合在一起制成。当温度变化时,由于膨胀量不同,就会产生摆动,从而可以用在各种产品中进行操作。根据需要双金属片可以有各种形状。

例2:双金属片应用——双金属片在与温度控制相关的地方得到广泛的应用。温度升高或降低,引起双金属片来回变形,从而使电路开关的触点打开或闭合,自动开关电路(图524~图530)。

图524 双金属阀门温控开关

图525 双金片过热继电器

图526 冰箱冰柜去霜双金属开关

图527 双金属温控开关

图528 汽车双金属片温控开关控制各处温度

图529 双金属盘温度计

图530 电饭锅内有双金属片温控开关

典型例1:温室温度过高应该自动开启房顶窗户通风。用机电系统复杂成本高,维护也麻烦。用双金属片受热直接开启窗户是最简单的方法。具体用双金属螺旋盘,因为长变形大,需要大位移还可以用杠杆放大。温度升高,窗户打开,温度降低,又自动关上。

就靠室温的变化,而不必外加能源(图531~图532)。

典型例2:双金属片应用于日光灯起辉器(图533~图535)。

图531 温室

图532 双金属螺旋管

图533 日光灯工作原理

图534 起辉器

图535 日光灯管

当开关接通220伏电源电压立即通过镇流器和灯管灯丝加到启辉器的两极,使启辉器的惰性气体电离,产生辉光放电。其热量使双金属片受热膨胀两极接触。电流通过镇流器、启辉器触极和两端灯丝构成通路。灯丝很快被电流加热,发射出大量电子。这时,由于启辉器两极闭合,两极间电压为零,辉光放电消失,管内温度降低;双金属片自动复位,两极断开。

3.记忆合金

记忆合金,也是一种与温度、变形有关的材料。是一种在其他温度下可以改变形状,而在一特定温度下恢复到原来形状的合金。这个温度称记忆温度。各种记忆合金都有自己的记忆温度。镍钛记忆合金的记忆温度是40℃。记忆合金已经做成各种产品,特别是在医疗领域得到广泛应用(图536~图539)。

图536 记忆合金管

图537 记忆合金丝

图538 记忆合金板材

图539 记忆弹簧

应用1:自动控制。

(1)已制成室温自动开闭臂,能在阳光照耀下伸张打开通风窗,晚间室温下降时自动关闭。

(2)启动消防报警装置。

当发生火灾时,记忆合金制成的弹簧发生形变,启动消防报警装置。

(3)把记忆合金弹簧放在暖气的阀门内,当温度过低或过高时,自动开启或关闭暖气的阀门,用以保持暖房的温度。

应用2:恢复原形。

(1)用记忆合金制作的眼镜架,如果不小心被碰弯曲了,只要将其放在热水中加热,就可以恢复原状。

(2)如果汽车的外壳也用记忆合金制成,不小心碰瘪了,只要用电吹风加加温就可恢复原状,省钱方便。

(3)1969年宇航员登上月球,放置了一个直径数米的半球形天线。天线用极薄的记忆合金先在地面正常情况下按预定要求做好,然后降温把它压成一团,装进登月舱带上月球。放到月面上以后,在阳光下温度升高,达到记忆温度时,天线恢复巨大的半球形。同样卫星的太阳能板也采用记忆合金制成上天后自动展开。

应用3:医疗领域广泛应用。

(1)接骨(图540、图541)。

用镍钛记忆合金内包断骨,其生物相容性等性能优于不锈钢。

(2)扩张气管(图542)。

记忆合金支架放入喉气管狭窄部位迅速扩张,明显地改善呼吸困难。

图540 骨折

图541 记忆合金接骨板

图542 记忆合金气管支架

(3)用记忆合金封堵心脏房间隔缺损(图543、图544)。

图543 记忆合金封堵器

图544 用记忆合金封堵心脏房间隔缺损

记忆合金心脏房间隔缺损封堵器,双头,收成一条线。通过血管进入心脏房间隔缺损位置再张开,如图544所示。

热膨胀的练习:

在一个试验中,要用一个阀门精确控制气体流量的微小变化,一般阀门都没有这么高的精度。采用机械传动达到这样高的精度成本会很高。用什么简单的方法就能满足这个微量变化的要求?

创新原理38:逐级加速氧化

用富氧空气替代普通空气→用纯氧替代富氧空气;

将空气或氧气用电离放射线处理→使用离子化氧气→用臭氧替代离子化氧气

1.用富氧空气替代普通空气

(1)增压增氧用在飞机上,通过增加机舱内的压力,使空气密度增加,达到增加氧的目的(图545)。

(2)水下呼吸器中储存压缩空气,以持久呼吸(图546)。

(3)给焊枪通入氧气,而不是空气,以获得更多的热量。

图545 机舱增压增氧

图546 水下呼吸器装压缩空气

图547 自发电富氧活水器

(4)自发电富氧活水器(图547)。

连接上各种水龙头,用自来水水压发电,以内藏之磁旋浮涡轮水力发电机组供电来产生电源,从而方便安全地把自来水变成了清洁杀菌的富氧水。集消毒杀菌、脱色除臭、保鲜、清洁皮肤、防病治病。

2.用纯氧替代富氧空气

(1)用纯氧—乙炔火焰作高温切割钢板(图548、图549)。

图548 氧气瓶

图549 氧乙炔切割钢板

(2)用纯氧杀灭伤口(厌氧)细菌。

(3)高压氧仓治疗煤气中毒、脑外伤、脑功能障碍、脑血栓、老年痴呆、小儿脑瘫等100种疾病。

(4)转炉顶吹纯氧炼钢。

(5)人体用家用制氧机吸氧,用医用吸氧器吸氧。

(6)火箭燃料:火箭用液体燃料——液氢,同时也采用液态氧作为助燃剂加速燃烧。

(7)在玻璃熔窑中使用氧气来助熔,可减少蓄热室的堵塞问题,并可提高玻璃的产量。

(8)具有杀菌作用的“84消毒水”就是依靠其强氧化能力。

3.将空气或氧气用电离放射线处理,使用离子化氧气

负氧离子对人体健康关系重大。

(1)各种负离子发生器,对神经系统起镇静作用,消除疲劳,并有抑制哮喘、降低血压的作用等等。

(2)负离子手表(韩国近期专利)。

采用硅胶加上韩国的负离子粉配置而成。释放的负离子浓度改变了个人身体周边的负离子含量,使人如身在郊外,长期戴用可以防止大气紫外线的辐射,缓解疲劳,促进血液循环等等。

(3)负离子粉、负离子涂料(图550~图552)。

图550 负离子粉

图551 负离子涂料内墙

图552 负离子涂料

图553 负离子球

负离子粉可添加到不同的产品上,使普通产品在自然状态下(不用电源)就能释放负离子。如衣服、床单及室内装潢用的壁纸、地毯等,都具有保健和环保双重功能。加入过滤材料用于饮水机过滤芯,能杀死水中细菌。

(4)负离子球(图553)。

用于饮用水处理和洗澡用水处理。

1)水分子团变小,容易渗透细胞膜,增加细胞活性,增加免疫力。

2)消除水的异味及余氯、消灭有害物质、致癌物质。

3)水质偏弱碱性,有助于人体酸碱平衡和营养平衡。

4)富含人体所需的钙、镁、纳、钾等微量元素和各种矿物质。

(5)各种负离子产品(图554~图558)。

图554 负离子项链

图555 负离子卫生巾

图556 负离子加湿器

图557 负离子地板

图558 负离子灯

(6)杀菌。

把高浓度的负离子和低浓度的臭氧混合在一起,其杀菌能力要比单独使用负离子或臭氧提高大约10倍。正研究应用于冰箱及冷藏的杀菌。对皮肤病,妇科病等的疗效比单独使用臭氧更好。

4.用臭氧替代离子化氧气

(1)臭氧灭菌对空气消毒(图559~图561)。

1)立式公共场所臭氧空气净化机;

2)壁挂式臭氧空气净化机;

图559 臭氧空气净化机

图560 壁挂式臭氧空气净化机

图561 金库臭氧消毒柜

3)银行金库专用臭氧消毒柜。

(2)臭氧消毒洗衣机(图562)。

用臭氧发生器将臭氧泵入洗衣机内的水中,臭氧分子可以分解衣服上的尘埃和污垢中的有机物分子,并将其溶入水中,将衣服洗净。

(3)潜艇发动机用臭氧作氧化剂充分燃料(图563、图564)。

(4)家用蔬菜、肉类臭氧清洗消毒机(图565、图566)。

图562 臭氧消毒洗衣机

图563 臭氧作氧化剂

图564 臭氧发生器

图565 蔬菜臭氧清洗消毒机

图566 肉类臭氧清洗消毒机

(5)臭氧治疗。

(6)游泳池用臭氧处理水,灭菌速度比氯快600~3000倍。氯导致pH值改变,臭氧不会改变pH值,不会使人感到不适。

(7)臭氧水——直接将自来水制成臭氧水。

臭氧水可对衣物等进行杀菌消毒处理,有特别明显的保健作用。对瓜果蔬菜、海产品、肉类进行杀菌消毒,防腐保鲜,清除异味。降解表面残留含磷农药。可以清洁皮肤、保养皮肤,减轻化妆品对皮肤的刺激。利用臭氧水冷敷、浸泡烫伤、割伤、撞伤,可加速伤口愈合,防止感染。

5.氧化物(图567)

图567 各种氧化物

采用各种氧化方法可以制成各种氧化物,一般作为原料发挥重要作用。如果这些氧化物制备成纳米级材料,能显示更优秀的性能。

(1)氧化淀粉。氧化淀粉使淀粉糊化温度降低,热糊粘度变小而热稳定性增加,产品颜色洁白,糊透明,成膜性好,抗冻融性好,是低粘度高浓度的增稠剂,广泛应用于纺织、造纸、食品及精细化工、医药等行业。

(2)氧化锌。氧化锌是橡胶和轮胎工业必不可少的添加剂。在化学工业中,用作催化剂、脱硫剂具有广泛的潜在应用市场。在涂料工业中,氧化锌除了具有着色力和遮盖力外,又是涂料中的防腐剂和发光剂。在医药卫生和食品工业中,氧化锌具有拔毒、止血、生肌收敛的功能,而且对于促进儿童智力发育具有帮助。在玻璃、陶瓷工业中,氧化锌用作助熔剂;在印染工业中,氧化锌用作防染剂。纳米氧化锌制备的陶瓷釉面更加光洁,而且具有抗菌、防酶、除臭等功效。在电子工业中,氧化锌既是压敏电阻的主原料,也是磁性、光学等材料的主要添加剂。

(3)氧化铝。纯净的氧化铝是白色无定形粉末,俗称矾土。高温烧结的氧化铝,称人造刚玉或人造宝石,可制机械轴承或钟表中的钻石。氧化铝也用作高温耐火材料,制耐火砖、坩埚、瓷器、人造宝石等。氧化铝也是炼铝的原料,90%炼铝。纯净的金属铝极易与空气中的氧气反应,生成一层薄的氧化铝薄膜覆盖在暴露于空气中铝表面。这层氧化铝薄膜能防止铝被继续氧化腐蚀。这层氧化物薄膜的厚度和性质都能通过一种称为阳极处理(阳极防腐)的处理过程得到加强。

氧化物种类很多,各有用途。如氧化铜、氧化铁、氧化钙、氧化镁、氧化锆等等。

创新原理39:惰性或真空环境

用惰性环境替代通常的环境

在物体中添加惰性或中性添加剂

在真空环境中完成某种操作

1.用惰性环境替代通常的环境

(1)泡沫隔离氧气灭火(图568)。

(2)船内部空间充满氮气防腐(图569)。

(3)保护焊,防止焊缝氧化,喷氩气罩在电弧上(图570)。

(4)充氮烘干机满足无氧化干燥的要求(图571)。

(5)真空充氮包装(图572)。

(6)棉花仓库充氮气防火(图573)。

用于包装食品、药品、化工原料、电子及贵重物品可有效防止各类化学氧化和好氧细菌繁殖而引起的物品腐败及变质;可防潮、防蛀,达到保鲜、保色,以利产品延长储存期。

(7)泡沫灭火(图574-576)。

(8)加工后的零件表面渗氮处理,提高表面硬度、耐疲劳、耐腐蚀(图577)。

图568 泡沫隔离氧气灭火

图569 内部空间充满氮气防腐

图570 保护焊

图571 充氮烘干机

图572 真空充氮包装机

图573 棉花仓库

图574 泡沫消防车

图575 喷泡沫

图576 轮船失火用泡沫盖

图577 离子渗氮炉

练习1:一块菜地长势很好。接气象台预报,后天有寒流,要骤然降温。这有可能使菜冻坏。有什么好办法可保这块菜地不受冻伤?

练习2:炼铁炉高达1000℃的熔化矿碴是很好的建材原料,乘热装进房子大小的吊桶内,由轨道运输车运到再加工厂趁热利用。由于上面接触冷空气结成硬壳,倒出前还要用设备砸开,只有2/3能得到利用。留下的硬废碴也难处理。要做一个很大的大盖子,开关那是很困难的。还有别的好办法吗?

图578 镀膜中空玻璃

2.在物体中添加惰性或中性添加剂

(1)中空玻璃(图578)其夹层亦即8毫米厚的间距空间必须填充惰性气体氩和氪,保温性能更好。

(2)用氩气等惰性气体填充灯泡做成霓虹灯。

(3)汽车轮胎充氮。

氮气是一种稳定性高的惰性气体,不易热胀冷缩能稳定胎压,不易有爆胎的危险。轮胎内铝合金钢圈或铁圈不致氧化生锈。氮气在轮胎的扩散比空气慢40%,故轮胎充氮气可节省汽车的油耗及轮胎的寿命增长5%。

(4)设备(容器)制造完成后充氮保护(图579)。

氮气是惰性气体。保护设备在制造完毕到投入使用期间不被污染或氧化腐蚀,特别是对于内部表面有抛光等特殊要求的设备。充氮保护可以了解设备状态,在运输和安装过程中有无受到损坏,检验是否在某些部位存在泄漏。充氮前各孔口要封死。

(5)电力变压器充氮灭火装置(图580)。

接收到变压器内部起火的火灾探测器报警信号后,排油阀打开,变压器油迅速排除。控制装置驱动充氮阀开启,氮气瓶内的氮气经过减压装置减压后注入变压器本体内灭火。

图579 充氮保护容器

图580 电力变压器充氮灭火

3.使用真空环境——越来越广

(1)大规模集成电路3/4的工序在真空下完成。

(2)钢水真空脱气处理,排除有害杂质。

(3)真空熔炼、真空热处理、真空浇注等等都提高了产品的品质。

(4)真空超导液采暖,节能高效。

用真空超导液代替传热管道中的水,是在密封真空环境中,一次加入,永久使用。优势明显:35℃就能传热,点火几分钟,散热器表面温度达70~80℃。比水暖系统节煤50%。可广泛用于蔬菜大棚、烘干、洗澡、陶瓷隧道加热等需要热能的领域。

下面是把真空超导用于太阳能热水器。

(5)电机定子、转子真空浸漆提高出力10%~15%。

(6)真空管道运输_可实现全面封闭,防止物料受到污染。

(7)真空干燥机。主要用于中药、食品、化工等领域中的易氧化,高浓度,高黏性液态物料的干燥,灭菌,适应大型中药厂商的生产需要。

(8)真空制砖机(图581)。

(9)真空吸污车(图582)。

(10)真空吸塑成型机(图583)。吸塑成型又叫热塑成型,是利用真空泵产生的真空吸力将加热软化后的热可塑性塑料片材经过模具吸塑成各种形状。

图581 真空制砖机

图582 真空吸污车

图583 真空吸塑成型机

(11)真空包装(图584~图585);

(12)真空电镀——提高电镀层质量(图586)。

图584 真空包装机

图585 真空包装产品

图586 真空电镀设备

(13)真空金属镀膜玻璃——阻断热辐射(图587)。镀膜中空玻璃窗,可比单层普通玻璃窗节能75%左右。每年通过玻璃窗损耗的能量相当于2.25亿吨标准煤,相当于21个三峡电站的年发电量。镀上厚度为纳米级的10多层金属和非金属薄膜,使玻璃对光谱具有选择性透过功能,能透过大部分可见光,不影响采光,又能阻挡红外、远红外、紫外光,阻断热辐射。

(14)真空洗衣机(图588)。试制阶段。这种洗衣机能在几秒钟内将洗衣机桶内的空气成真空状态,使水呈沸腾状、衣服在泡沫旋涡中反复搅动,产生的小气泡在衣物表面破裂,水泡爆破力可将衣物上的脏污微粒去掉。2分钟就洗净。洗衣机内没有旋转部件,不会损伤衣服,且无振动、噪声,也不需要洗涤剂,只用水。

图587 真空镀膜中空玻璃充氩气内装自动百页窗

图588 真空洗衣机

创新原理40:复合材料

用复合材料代替均质材料。是以一种材料为基体,另一种材料为增强体组合而成的材料。综合性能优于原材料。功能复合材料是能提供导电、超导、半导、磁性、压电、阻尼、吸波、透波、摩擦、屏蔽、阻燃、防热、吸声、隔热等功能。

(1)钢筋混凝土——用钢筋增强混凝土基体(图589~图591)。

图589 工地钢筋如林

图590 预制钢筋混凝土楼板

图591 只歪不倒

(2)玻璃钢:一般指用玻璃纤维增强不饱和聚脂、环氧树脂与酚醛树脂基体(如图592~图594)。

图592 玻璃钢管道

(3)芳纶纤维:是当今极为重要的国防军工材料。它具有超高强度、高模量和耐高温、重量轻、耐酸耐碱等优异性能,其强度是钢丝的5~6倍,韧性是钢丝的2倍,重量仅为钢丝的1/5左右,且绝缘性能良好,抗老化,有很长的使用周期。

目前美、英等发达国家的防弹衣均采用了芳纶材质。芳纶防弹衣和头盔的轻型化,大大提高了快速反应能力、战斗力和防护能力。除军事应用外,在宇宙飞船发射过程中,每减轻1公斤重量,意味着降低100万美元成本,所以芳纶民用市场前景广阔。

(4)碳纤维是一种含碳量高的人造纤维。与树脂、金属、陶瓷等基体复合,制成重量轻强度高的航空航天材料。一种垂直起落战斗机,所用碳纤维复合材料占全机重量的1/4,占机翼重量的1/3。航天飞机3只火箭推进器的关键部件都是用碳纤维复合材料制成的(如图595~图598)。

图593 玻璃钢罐

图594 玻璃钢冷却塔

图595 采用纤维复合材料的飞行器

图596 木塑复合材料

图597 碳纤维布样品

图598 用碳纤维复合材料

(5)纳米粉末制备的纳米钨铜复合材料,具有非常优越的物理力学性能极高硬度的一种纳米复合材料涂层,提高航空发动机性能。

(6)纳米塑木复合材料主要原料是废旧塑料和废弃农作物秸秆,是在PE、PP、PVC等塑料颗粒原料中添加一定比例的含有木质纤维填料(木粉)。纳米塑木复合材料成装修新时尚,可以替代木材和钢材,似木优于木,绿色环保无甲醛释放。它是用50%的PP、PE、PVC等树脂与50%的木质纤维(包括锯末、秸秆、稻壳、玉米杆等废弃物)通过专用设备制成。

(7)碳纤维布抗拉强度高于普通钢材的10~15倍,极适合混凝土工程的加固。使用改性环氧树酯胶粘剂。(图599)

1)在梁、板构件的受拉区粘贴碳纤维布进行受弯加固;

2)采用环形箍或U形箍对梁、柱构件进行受剪加固;

3)采用环向围束粘贴对柱进行抗震加固。

(8)GMT材料是采用连续玻璃纤维毡或连续玻璃纤维针刺毡作为芯材,然后与热塑性树脂——改性聚丙烯复合而成的一种片材(图600)。广泛应用于多种领域,全球GMT90%用于轿车上。轿车塑料零部件有800多种,发动机罩、仪表板骨架、蓄电池托架、座椅骨架、轿车前端模块、保险杠、行李架、备胎盘、挡泥板、风扇叶片、发动机底盘、车顶棚衬架等。还有GMT安全帽、建筑模板、军用箱、篮球架等。

图599 碳纤维布粘贴加固板结构

图600 连续纤维GMT片材

9.同类材料组合的复合材料(图601)。

图601 同类材料组合的复合材料

练习:列举几种自己熟知的复合材料。