1
改变心理学的40项研究
1.8.3 研究23 观察你的情绪了吗

研究23 观察你的情绪了吗

Ross, P.(2003, August 11).Mind readers.Scientific American, 289(3), 74-77.

这篇研究报告与本书中的其他研究相比不尽相同,但将之收录进来似乎很合适。如你所知,本书涉及那些意义非凡、改变心理学的传统研究。本节的研究也不例外,然而,或许你已注意到,该研究完成于近期。目前,有一类研究正以一种极具说服力的方式改变着心理学,这项研究正是它们的代表。这类研究涉及新兴的、具有高度技术性的方法,该方法可以通过无创的方式真正窥视你的大脑,“看见”大脑中正发生什么,以及大脑如何执行诸如情绪、思考和感受等功能。好吧,这也许并非货真价实的“读心术”,但如今心理学与神经科学的研究技术,其令人震惊的程度并不亚于“读心术”。

大多数人都听说过核磁共振成像(MRI),很多人也许还接受过扫描。与X光和CT扫描相比,MRI是一项重大进步,它不发出放射线,因此对人体无害,并且它能比CT扫描更清楚地显示软组织异常(它的图像通常是三维的,这对大脑结构的可视化尤其关键)。因此,如果你膝盖受伤,CT扫描未见任何明显损伤时,下一步就极有可能进行MRI扫描,以便确切查看是否发生了软骨或其他组织损伤,从而对症治疗。

从20世纪70年代开始,MRI就已经被运用于医疗领域,然而在过去40年间,这项技术发生了极大的演变。开发MRI成像技术的先驱是伊利诺伊大学的保罗·劳特布尔(Paul Lauterbur)和英国诺丁汉大学的彼得·曼斯菲尔德(Peter Mansfield)(Lauterbur,1973;Mansfield,2007)。鉴于在这项技术上的杰出工作,他们共同获得了2003年的诺贝尔医学奖。

图6—1 fMRI扫描舱(Juan Manuel Silva/Glow Images,Inc)

在此展示菲利普·罗斯(Philip Ross)的一篇早期研究报告,该报告探索了如何将MRI用于医学用途以外,比如,探测涉及人类思维、情绪、动机和行为的大脑结构。具体来说,罗斯进行了一项研究,探索MRI是否能判断人在说谎——它是否有可能成为一台高科技测谎仪!

运用MRI“读取”大脑的基础是,在扫描过程中的某一时刻,它能显示大脑的哪些部分正在运转。MRI的这一探测大脑功能运转而非仅作诊断工具的用途,被称为fMRI(功能性核磁共振成像,如图6—1所示)。换言之,当某人的大脑被MRI扫描时,研究者可以让他进行诸如回答问题、观看图片、阅读文段等活动。随后,研究者能准确地了解大脑中的哪些部分参与了上述活动。这是如何做到的呢?其实,MRI是通过探测大脑激活区周围血流中的氧含量和葡萄糖消耗量的变化,来了解大脑是如何工作的。研究者通过扫描仪的监视器,观察大脑中某些部分的活动变化,他们能大致看出大脑中哪些部分在完成任务时被激活了。从某种程度上说,这些脑区被“点亮”了。

理论假设

试着回答一下,当人讲真话或撒谎时(人人都会撒谎;有些人撒谎比别人多),真话和谎言是否“来自”大脑中不同的部分?个人感受显然不能帮助我们回答这一问题。你的大脑并未感到任何不同。但如果我们能观察大脑在讲真话和撒谎时的运转情况,看看针对每一项活动,哪些区域激活了,我们就能回答这个问题。

fMRI能做到这点,并且它比多导生理记录仪(即测谎仪)更胜一筹,因为多导生理记录仪主要测量除大脑以外的且由焦虑引起的身体反应,而人们产生焦虑可能出于各种各样的原因,不仅是由于撒谎。因此,科学上并不认为多导生理记录仪是有效的,法庭上也不允许其作为呈堂证据。fMRI脑成像并不从研究焦虑出发,而是揭示思考过程。

这篇文章的基本观点是,在扫描仪中对大脑进行观察,如果被试说了真话,其大脑的一个部分将“点亮”:这个部分负责真实内容的陈述。然而,如果此人撒谎,大脑中的两个部分将显现出来:一部分制造谎言,另一部分抑制被谎言所掩盖的真话。换句话说,谎言是掩盖真话的,否则它就无法存在,这两个过程处于大脑中的不同部分(见Langleben et al.,2002)。使用fMRI应当可以探测这些脑区。

方法

文中描述的这项关于说真话和撒谎的研究,是在被试和研究者都清楚哪些是真话、哪些是谎话的情况下进行的。换言之,这并非用fMRI来检查某个人——如被控犯罪或被质疑失德和行为不端者——是否撒谎的测试。这其实是一项用以检验理论的探索性研究(Langleben et al.,2002)。

方法非常简单。要求被试从三只信封中选择一个信封,每只信封内都装有梅花5扑克牌和20美元钞票(被试并不知道信封中的物品都是一样的)。随后,要求被试记住牌,并将牌和钱放回信封,将信封藏在他们的衣袋里。他们被告知,有一台“电脑”能分析人的想法,如果被试能在电脑前成功隐瞒自己所持有的牌,就能获得信封里的20美元(实际上,除了fMRI设备以外,并未使用所谓的电脑)。另一些被试拿到了红心2,他们被指示要说真话,不要隐瞒他们持有的牌。

随后,每名被试都被置于fMRI扫描仪中,可使用是/否按键。他们被问道:“你有这张牌吗?”被试并不知道研究者清楚他们持有哪一张牌(这一点无关紧要,因为被试“欺骗”研究者不是本研究的重点)。

结果

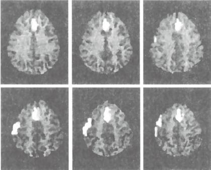
fMRI扫描的发现是清楚的。如你所见,在图6—2中,讲真话的被试只运用了一个脑区(前扣带回)。然而,在撒谎条件下,两个区域(前扣带回和背侧前额叶皮层)活动了起来。

研究意义

这些发现之所以意义重大,主要是基于两个原因。

图6—2 讲真话和撒谎被试的fMRI扫描结果

注:上图:讲真话(红心2)被试的脑扫描;下图:撒谎被试的脑扫描(梅花5)。

资料来源:见Langleben et al., 2002。

第一,它们证实了MRI扫描可能具有医学诊断之外的重要用途(它确实如此,很快会讨论到),并且也许能成为一架“傻瓜式”测谎仪,其结果最终可能被法庭承认,正如DNA证据在证明或证伪某些犯罪方面,已经变为一个可被接受的方法。

第二,这项研究扩宽了我们对于人类大脑那不可思议的特异性的认识。如果你直视一个人的大脑,它看起来不外乎是一团又软又稠的细胞和组织。但事实上,你的大脑高度特异化,它为具体的任务备有具体的区域。你的大脑拥有为数众多的特异性脑区,它们被“分派”了从面孔识别到说话、计划和问题解决等具体工作。在这项研究中,你看见了一个致力于讲真话的脑区和另一个致力于撒谎的脑区。

近期应用

自21世纪初这篇文章发表以来,心理学在“读脑”方面有何进展?我们如今能把fMRI用作测谎仪吗?fMRI还能让我们做别的什么事?就第二个问题而言,答案似乎是“可能”。一项研究发现,fMRI测谎比传统的生理多导测试显然更加可靠。不过,反对者指出,法律允许窥视大脑可能引起严肃的伦理学问题(Simpson,2008)。

另一项值得注意的重要研究,运用了和在此讨论过的玩牌研究相同的方法,但使用了数组真实的人类面孔(Bhatt等,2008)。向被试呈现数组面孔照片,随后在fMRI的扫描下,从他们刚才所看过的面孔照片中选出一些来呈现,要求他们或如实报告此前曾见过这些照片,或撒谎。结果与扑克牌实验基本相同。两个脑区在他们撒谎时被激活,但仅一个脑区在讲真话时被激活。

fMRI在“测谎仪”之外用途的一个例子和心因性疾病有关。在神经心理医学中,fMRI已经成为强大助力,它为精神分裂症患者脑中可能导致理性思维特征性缺失的脑区进行定位(Libby & Ragland, 2011)。这类定位信息或许能帮助研究者开发新疗法,以期应对精神分裂症这一最具毁灭性的疾病。神经心理学通过运用fMRI取得的另一项重大进步在于对自闭症谱系障碍个体脑功能认识的提升(Philipa et al., 2012)。这类障碍通常被清楚地标记为社交缺陷,即不能或难以与他人恰当地建立关系。一项针对自闭症患者的fMRI研究显示,负责社会化的脑区有异常活动,这一结果提示自闭症患者可能并非对社会化无能,而是对社交回避有一种偏好。该研究还揭示了当常规任务发生变化时,大脑如何进行反应调节,这也许能解释为什么与自闭症有关障碍患者在他们所遵循的习惯被改变后,会显得心烦意乱。

2012年,一项也许是最令人惊讶的fMRI结果出现了,它来自加州大学伯克利分校的加兰特fMRI实验室(Gallant fMRI Laboratory at U.C.Berkeley, California)。在fMRI扫描室中,给被试呈现电影片段。运用新的电脑软件,研究者得以重建扫描过程中被试所观看过画面的图片,图片虽然模糊却具有极为典型的特征。如图6—3所示,对照电影截图,你会发现这项技术和真正的读心术有多么接近。

图6—3 电影截图及其fMRI扫描下的重制图

注:左上和左下:AF archive/Alamy; 右上和右下:Vadym Drobot/Shutterstock。

结论

fMRI的效用——比如帮助我们明白大脑是如何工作的:它是否与测谎、心因性脑功能失调和脑损伤相联系,或者它是否能揭示个体或群体(例如男人和女人)的大脑是如何以不同方式进行连接的——在很大程度上尚未实现。但无论如何,在诸如MRI这类无创扫描技术之前,我们直接研究大脑的方法还局限于外科手术和尸体解剖。现在,神经学家可以运用fMRI和其他无创工具,比以往更加有效地研究、诊断、治愈脑部相关疾病,甚至还可能记录你的思想。这项技术究竟会被用于善意还是“邪恶”的用途,将取决于操控者的伦理观和价值观。

Bhatt, S., Mbwana, J., Adeyemo, A., Sawyer, A., Hailu, A.& VanMeter, J.(2009).Lying about facial recognition: An fMRI study.Brain and Cognition, 69, 382-390.

Langleben, D, Schroeder, L., Maldjian, J., Gur, R., McDonald, S.Ragland, J., O’Brien, C., & Childress, R.(2002).Brain activity during stimulated deception: An event-related functional magnetic resonance study.NeuroImage,15, 727-732.

Lauterbur, P.(1973).Image Formation by Induced Local Interactions: Examples Employing Nuclear Magnetic Resonance.Nature 242,190-191.

Libby, L.& Ragland, J.(2011).fMRI as a measure of cognition related brain circuitry in schizophrenia.Current Topics in Behavioral Neurosciences.Retreived from www.biomedsearch.com/nih/fMRI-as-Measure-Cognition-Related/22105156.html.

Mansfield, P.(1973).A personal view of my involvement in the development of NMR and the conception and development of MRI.Nature, 242,190-191.

Philipa, R., Dauvemanna, M., Whalleya, H., Baynhama, K.Lawrie, S., & Stanfield, A.(2012).A systematic review and meta-analysis of the fMRI investigation of autism spectrum disorders.Neuroscience & Biobehavioral Reviews, 36, 901-942.

Simpson, J.(2008).Functional MRI lie detection: Too good to be true? Journal of the American Academy of Psychiatry and Law, 36, 491-498.