1
实用超声诊断手册
1.33.13 十三、移植肾及其异常
十三、移植肾及其异常

肾移植有自体肾移植与异体移植。目前较常用的肾移植方法为把供肾者的左肾移植到受肾者的右髂窝,或供者右肾移植到受者的左髂窝,肾动脉与髂外动脉吻合。

异体肾移植术后的主要问题是移植肾的排异和各种并发症。

(一)检查方法

移植肾位于髂窝,较表浅,检查应选用高频率的探头,如5MHz以上的探头。

探查时患者仰卧位,探头从耻骨上向上至移植肾的上缘作一系列横切面及纵切面扫查,确定其上、下端及内、外缘位置。然后仔细观察移植肾的边界、轮廓、内部结构图形及周围有否异常图形,并测量。

应用彩色多普勒血流显像观察肾脏血流,注意观察主肾动脉及其各级分支CDFI特点,并测量其血流速度值。常用的血流参数有:最大血流速度(Vmax)、最小血流速度(Vmin)、平均血流速度(Vmean)、搏动指数(PI)、阻力指数(RI)。

(二)正常超声表现

1.正常移植肾边界清楚,表面光滑,轮廓规则,实质区、肾锥体、中央集合系统等结构图像与正常肾脏表现相同。

2.彩色多普勒血流显像:正常移植肾CDFI显示呈流线型图像,即当探头朝向肾门时,肾动脉血流显示为红色,并随血管分支走向形成连续的流线状。

3.脉冲多普勒血流频谱及血流参数:正常移植肾的肾动脉血流频谱与正常肾相同。肾动脉各项血流参数因测量部位不同而报告数值不一,其中有关肾动脉的RI及PI的报道较多。参照龚渭冰等报道,正常移植肾弓形动脉RI为0.63±0.102。

(三)移植肾异常的超声表现

1.移植肾排异

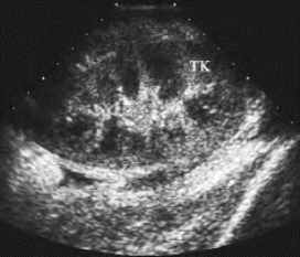
(1)肾脏肿大,锥体水肿,皮、髓质对比消失,分界不清(图29-14)。

图29-14 移植肾排异声像图

肾脏肿大,锥体水肿,皮、髓质对比消失,分界不清

(2)彩色多普勒显象肾脏内血流不能显示流线状信号,而仅见弥散分布的星点状或斑块状信号。

(3)脉冲多普勒显示血流为单一的收缩期血流频谱,而无舒张期血流。阻力指数显著升高。龚渭冰等报道,急性排异移植肾弓形动脉RI为0.91±0.16,慢性排异RI为0.75±0.126。

2.肾移植术后合并症

(1)肾周血肿:超声显示移植肾四周边界清楚、轮廓不规则的低回声区或无回声区。

(2)移植肾积水:超声显示肾盂分离达2cm以上。如因输尿管与膀胱吻合口狭窄引起,除肾积水表现外尚可见有扩大的输尿管无回声区与肾盂相连。

(四)临床意义

超声观察肾移植后有否并发症及其程度的评价,可为临床提供重要资料。尤其是应用彩色多普勒显像及脉冲多普勒对肾动脉血流频谱及反映血管阻力的RI及PI值的测定,对估价有无肾排异有重要价值。若以RI≥0.85诊断急性排异,敏感性和特异性分别为93.3%和90.9%。以RI≥0.75诊断慢性排异,敏感性和特异性分别为85.7%和80%。