1
实用超声诊断手册
1.28.7 七、脾外伤
七、脾外伤

脾脏质地柔软,脾外伤在腹部脏器闭合性损伤中最常见。左上腹或左腰部顿挫伤易累及而发生脾破裂,形成脾包膜下血肿、脾内血肿、脾破裂出血及腹腔积血。临床表现为左上腹疼痛,失血量大则有休克表现。

(一)超声表现

1.脾真性破裂 脾脏包膜回声明显不规则或连续性中断,或脾某一局部边缘不整,内部为低回声伴无回声区。

2.脾实质血肿 脾实质内见不规则形无回声或低回声区,有杂乱的分隔光带,病程长则血肿机化呈强回声条索。血肿边缘不整,无囊壁回声(图24-5)。

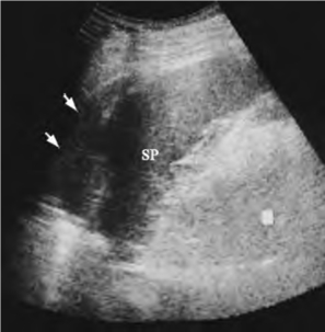
3.脾包膜下血肿 脾实质边缘与脾包膜之间出现条带状、梭形或不规则形无回声区或低回声区(图24-6)。

4.脾周围血肿 早期脾脏周围出现无回声区,血肿形成后呈不规则低回声区。

5.腹腔积血 少量积血最早在肝肾隐窝和(或)盆腔出现无回声区,或侧卧位在低位处见无回声区;大量积血则全腹腔探及无回声区。

(二)临床意义

超声可直观显示脾脏真性破裂及实质或包膜下的血肿。当出血量少、创伤较轻时,超声不易显示脾破裂处,但可根据脾周积液(血)及腹腔积液(血),结合外伤史判断脾外伤的存在,应在报告上注明检查时间,密切观察随诊。

图24-5 外伤后脾破裂(实质内血肿)声像图

脾大,脾实质内见不规则无回声或低回声区。SP:脾脏

图24-6 外伤后脾破裂(包膜下血肿)声像图

脾大,箭头所示为包膜下血肿。SP:脾脏