1
实用超声诊断手册
1.27.6 六、肝囊肿
六、肝囊肿

肝囊肿是发展缓慢的良性病变,大多数为先天性,可以单发或多发,以多发者较常见。临床多数无症状。

(一)超声表现

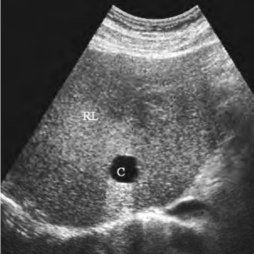
1.肝内见圆形或椭圆形无回声区,边界清楚,壁薄,内部极清晰,后方回声增强(图23-10)。

2.多发者可见肝内散在多个无回声区,特点同上,其余肝组织回声正常。

3.有的表现为轮廓略不规则,多较小,其周围有小血管似与无回声区相通或紧邻其囊壁。

(二)鉴别诊断

1.多发性肝囊肿与多囊肝鉴别,见多囊肝节段。

图23-10 肝囊肿声像图

肝脏右叶囊肿(C),圆形无回声区,边界清楚,壁薄

2.关于肝血池:有上述第3项超声表现者,有人提出诊断为肝内血池或血池样血管瘤,因超声不能鉴别其液性内容是血液还是囊液,且多数较小,不需手术或抽吸治疗,其鉴别意义不大,故现仍将此项表现者归于肝囊肿内。至于肝内血管的囊样扩大,则应根据其来源、部位、彩色多普勒及脉冲多普勒特征作出相应诊断。

(三)临床意义

超声诊断肝囊肿简便、正确,可确诊3mm直径的囊肿,优于其他影像学诊断方法。近年来,介入性超声的开展,对肝囊肿进行超声引导下穿刺抽吸注入硬化剂治疗有良好治疗效果,痛苦少,创伤小。