PBL案例
上一节
下一节
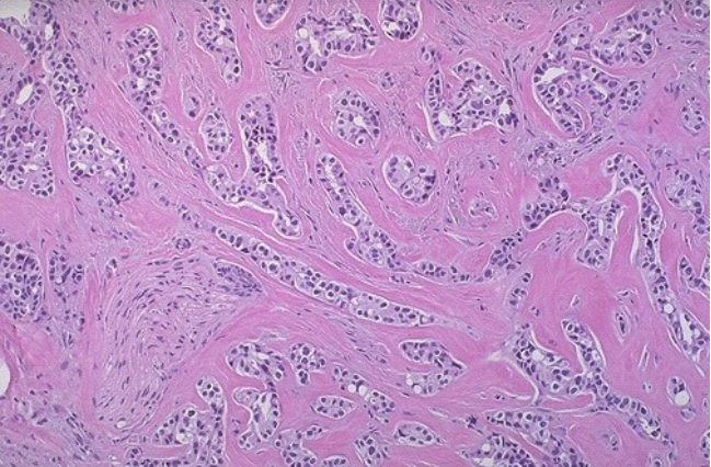
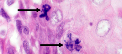
患者,女,35岁,发现右侧乳腺包块2个月,右侧腋窝淋巴结增大2天。肿块质地较硬,边界不清。活检组织学检查图像如图1所示。图2是高倍镜下的一个视野。患者有乳腺癌家族史。
问题1、乳腺最常见的良性肿瘤和恶性肿瘤是什么?
问题2、请给出与家族性乳腺癌有关的两种基因突变。
问题3、根据图1的组织学结构,请解释为什么肿瘤比较硬?
问题4、图2箭头所指的是什么病理学结构?
问题5、患者右侧腋窝淋巴结肿大,最可能的原因是什么?
图1:右侧乳腺包块活检组织学
图2:高倍镜下的一个视野


