
慢性根尖周脓肿 (chronic periapicalabscess)又称慢性牙槽脓肿(chronic alveolar abscess),常由于急性牙槽脓肿自行穿破引流后或经应急处理后未彻底治疗迁延而来。部分病例由根尖周肉芽肿发展而来。
【临床表现】
慢性根尖周脓肿多无明显的自觉症状,部分患者有咀嚼不适或咀嚼痛。患牙多伴有龋坏,多数患者有牙髓炎病史,如有反复牙疼痛史或反复肿胀史。脓肿自行破溃排脓者,常在患牙相对应的龈黏膜或皮肤上见到外观呈红色肉芽状的瘘口,时有脓液流出。检查患牙有轻叩痛。X线片示根尖周呈现边界模糊的不规则透射影,其周围骨质较疏松而呈云雾状。
【病理变化】
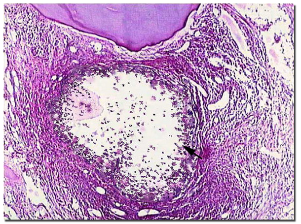
若拔除患牙,可见根尖有污秽的脓性分泌物黏附,根尖粗糙不平,根尖区牙周膜内脓肿形成,脓肿中央为坏死液化组织和脓细胞,脓肿周围为炎性肉芽组织,其中散在中性粒细胞、淋巴细胞、浆细胞、巨噬细胞和新生的毛细血管。肉芽组织外周包绕着纤维结缔组织。根尖牙骨质和牙槽骨呈现不同程度的吸收,破骨细胞位于吸收陷窝内,胞浆红染,单核或多个核。有研究证实,炎性介质中白细胞介素-1(IL-1)、肿瘤坏死因子(TNF)、前列腺素(PG)等均能刺激破骨细胞前体
细胞向破骨细胞分化而增强其活性,促进根尖周牙槽骨和牙骨质的吸收。
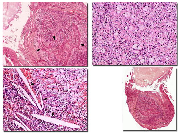
慢性根尖周脓肿表现有瘘和无瘘两种情况,有瘘者可见脓液穿破骨壁与口腔
或颌面部皮肤相通,瘘管壁被覆复层鳞状上皮。这些上皮可来自Malassez上皮剩余,也可来自肉芽组织内,也可由口腔黏膜或皮肤上皮经瘘道口长入,瘘管壁上皮下毛细血管增生扩张,结缔组织水肿,其中大量中性粒细胞、淋巴细胞、浆细胞等浸润。
-----------------------------------------------------------------------------------------


