![]()

腮腺(parotidgland)是唾液腺中最大者,分深浅两叶,其间有面神经穿过。浅叶位于皮下、外耳前方,深叶位于下颌后凹。腮腺分泌物的排出管称腮腺导管(Stensen’s duct)。在成年人,此导管开口于上颌第二磨牙相对应的颊黏膜上,开口处呈乳头状。沿腮腺导管有时还可见副腮腺。
腮腺全部由浆液性腺泡组成,故属纯浆液腺,但在新生儿腮腺中可见少量黏液细胞。腮腺闰管长,有分支;分泌管多,染色浅,与深色的腺泡形成鲜明的对照。腮腺内常见大量脂肪组织,这是腮腺的特征之一。面神经穿行于腮腺,流行性腮腺炎可损伤面神经。

正常腮腺组织内,尤其近表面部分经常出现小的淋巴结,此淋巴结结构正常,其中,5%~10%淋巴结的髓质内出现导管和腺泡样结构;有时淋巴组织呈壳样包绕在腮腺腺叶外围。颈上区淋巴结虽说与腮腺组织有明显分隔,但其髓质内亦含有腺组织。可能与胚胎期唾液腺围绕颈静脉淋巴囊发育有关。这也是唾液腺发生良性淋巴上皮病变、Warthin瘤和恶性淋巴瘤的组织学基础。
在腮腺闰管与分泌管交接处,可见典型的皮脂腺结构或含脂肪之导管上皮细胞团;在大导管上皮细胞间亦见有少数含黏液的杯状细胞(goblet cell),此细胞因腺体慢性炎症而增多。
晶样体(crystalloids)多出现在腮腺导管中,呈针状、指状或板状,嗜伊红着色。它既可引起周围组织的炎症,又可形成结石中心的核,一般认为它是导管上皮细胞的产物,因为在无腺泡的唾液腺肿瘤中,亦可见此晶样体结构。

下颌下腺(submandibulargland)腺体大部分位于颌下三角内,但是也有一部分在下颌舌骨肌游离缘的后上
方,因此下颌下腺包绕着下颌舌骨肌的后缘。下颌下腺主导管(Wharton’s duct)向前行走,开口于舌系带两侧的肉阜,开口处呈乳头状。
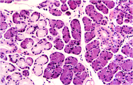
下颌下腺是混合腺,以浆液性腺泡为主,并有少数黏液性腺泡和混合性腺泡。混合性腺泡外周所覆盖的新月形浆液细胞比较小而少。电镜下,下颌下腺浆液性细胞较腮腺者小,底部和侧面细胞膜有许多折叠,与相邻细胞的折叠呈指状交叉。其分泌颗粒除核大于腮腺和舌下腺者外,尚有新月形结构位于颗粒周边部,并紧贴于颗粒膜。此外,闰管比腮腺短,难以辨认。分泌管则较腮腺者长。在下颌下腺导管周围常伴有弥散淋巴组织。皮脂腺亦见于下颌下腺,但较腮腺少。

舌下腺(sublingualgland)由一对较大和若干个较小的腺体所组成,是三对大唾液腺中最小的一对,呈杏
仁状,位于口底黏膜和下颌舌骨肌之间。通过舌下腺主导管(Bartholin’s duct)开口于下颌下腺导管,也偶有直接开口于口腔者。较小的舌下腺其导管或与舌下腺主导管联合,有的与下颌下腺导管联合,或开口在舌下皱襞处。
舌下腺也是一种混合腺,唯其中黏液性腺泡占主要部分,纯浆液细胞很稀少,只见于混合性腺泡的新月形细胞群中。这些细胞的分泌颗粒也与腮腺、下颌下腺者不同,不仅其颗粒基质明显少于腮腺和下颌下腺,且核的电子密度中等,有时形成单个团块,偏心位,有时形成若干碎块,分散于颗粒基质中。这些结构上的不同可能反映其各自分泌物性质之间的差异。闰管和分泌管发育不良,腺泡可直接连接于排泄管的远侧小管。
小唾液腺(minorsalivary gland)包括唇腺、颊腺、舌腺、腭腺、舌腭腺和磨牙后腺等,位于黏膜固有层和黏膜下层。其中唇腺、颊腺、磨牙后腺均属混合性腺体,但以黏液性腺泡为主。
电镜下,唇腺仅见有黏液细胞,其间有细胞间小管,闰管长度各异,小叶间导管也很短,细胞基底部有纹管。在唇腺纤维结缔组织中,浆细胞分泌IgA,并与腺细胞分泌的分泌片结合形成分泌型IgA,排入口腔,具有免疫作用。唇腺是唾液分泌型IgA的主要来源,其浓度比腮腺高4倍。此外,唇腺活检是诊断舍格伦综合征(SjÖgren syndrome)的一种简便方法。
舌腭腺、腭腺均属纯黏液腺。前者位于舌腭皱襞的咽侧,但也可从舌下腺后部延伸至软腭;腭腺位于硬腭的腺区、软腭和腭垂(又称悬雍垂)。
舌腺可分成几组。舌前腺位于舌腹面舌系带两侧近舌尖处黏膜下,以黏液性腺泡为主,仅有少数混合腺泡;舌根部和舌边缘区有舌后腺,是纯黏液腺;轮廓乳头环沟下方的味腺是纯浆液腺,亦称von Ebner腺,位于轮廓乳头下方的舌肌纤维之间,导管开口在轮廓乳头的沟内和叶状乳头之间的沟内。唇、颊、磨牙后区、腭、舌等处,是小唾液腺主要的分布部位。因此,这些部位也是黏液囊肿和唾液腺肿瘤的好发部位。
---------------------------------------------------------------------------------


