![]()
口腔黏膜根据所在的部位和功能可分为三类,即咀嚼黏膜、被覆黏膜和特殊黏膜。

咀嚼黏膜(masticatory mucosa) 包括牙龈和硬腭黏膜,在咀嚼时承受压力和摩擦。咀嚼黏膜的上皮有角化,正角化时有明显的粒层;不全角化时粒层不明显。棘层细胞间桥明显。固有层厚,乳头多而长,与上皮嵴呈指状镶嵌,形成良好的机械附着;胶原纤维束粗大并排列紧密。固有层深部或直接附着在骨膜上,形成黏骨膜;或借黏膜下层与骨膜相连。咀嚼黏膜与深部组织附着牢固,不能移动。

【硬腭】
腭黏膜由两部分组成,前2/3为硬腭,后1/3为软腭。硬腭黏膜呈浅粉红色。表面角化层较厚,以正角化为主。固有层具上述咀嚼黏膜特征。根据有无黏膜下层可将其分为牙龈区、中间区、脂肪区和腺区四部分。牙龈区和中间区无黏膜下层,固有层与骨膜紧密相连;脂肪区和腺区有黏膜下层,其中有很多胶原纤维将脂肪和腺体分成若干大小不一,形状各异的小隔。腺区内的腺体与软腭的腺体连为一体,为纯黏液腺。
硬腭前方正中有切牙乳头,上皮下为致密的结缔组织,其中有退化的鼻腭管的口腔部分。这是一条盲管,长度不定,内衬假复层柱状上皮。上皮内还有许多杯状细胞,并有黏液腺体开口至此管腔内。硬腭前方侧部有黏膜皱襞,称腭皱襞(palatine rugae腭皱襞(palatine rugae),其隆起部分由固有层致密的结缔组织组成。
硬腭黏膜与软腭黏膜相延续,二者有明显的分界。软腭黏膜无角化,固有层乳头少而短,黏膜下层疏松,含腭腺。
◇硬腭黏膜:表层角化,钉突长,固有层纤维粗大而致密,黏膜下层为脂肪
◇软腭黏膜:表层无角化,钉突短而平,固有层纤维细而疏松,黏膜下层为小涎腺
【牙龈】
见牙周组织
黏膜部分下方有唇腺,皮肤部分有皮肤附属器,唇红部无腺体

口腔黏膜中除咀嚼黏膜和舌背黏膜以外者均为被覆黏膜(lining mucosa被覆黏膜(lining mucosa)。其表面平滑,粉红色,无角化。固有层含胶原纤维、弹力纤维和网状纤维。胶原纤维束不如咀嚼黏膜者粗大,上皮与结缔组织交界比较平坦,结缔组织乳头较短粗。有较疏松的黏膜下层。被覆黏膜富有弹性,有一定的活动度。
【唇】
唇可分为外侧的皮肤,内侧的黏膜及二者之间的移行部唇红。
唇黏膜上皮为无角化复层鳞状上皮,中间层较厚,固有层为致密的结缔组织。其乳头短而不规则。黏膜下层较厚,与固有层无明显界限,含小涎腺、脂肪,深部附着于口轮匝肌。

唇红的上皮有角化,细胞中含较多的角母蛋白,透明度较高;固有层乳头狭长,几乎达上皮表面,乳头中含许多毛细血管袢,血色可透过表面上皮使唇部呈朱红色。当贫血或缺氧时,唇红表现为苍白或发绀。唇红部黏膜下层无小涎腺及皮脂腺,故易干裂。

唇红部向外与唇部皮肤相延续。表皮有角化,真皮和皮下组织有皮肤附属器。
【颊黏膜】
颊黏膜的组织结构与唇黏膜相似。固有层结缔组织较致密,黏膜下层较厚,脂肪较多,有较多的小涎腺称颊腺。颊黏膜借黏膜下层附着于颊肌上,有一定张力,在咀嚼活动中不出现皱褶。在口角后方的颊黏膜咬合线区,有时出现轻微角化,称白线(linea alba白线(linea alba)。颊黏膜有时可出现成簇的粟粒状淡黄色小颗粒,为异位的皮脂腺,称福代斯斑(Fordyce spot)。

【口底和舌腹黏膜】
口底黏膜较薄,松弛地附着于深层组织上。固有层乳头短,黏膜下唇红的组织结构
箭头示近上皮表面的结缔组织乳头层含脂肪组织。在舌下皱襞处有舌下腺。口底黏膜与下颌舌侧牙龈相连,二者有明显的界限;向后与舌腹黏膜相延续。
舌腹黏膜光滑而薄,上皮无角化,结缔组织乳头多而短。黏膜下层不明显,黏膜紧接舌肌束周围的结缔组织。
【软腭黏膜】
软腭黏膜与硬腭黏膜相延续,色较硬腭深。固有层血管较多,固有层与黏膜下层之间有弹力纤维分隔。黏膜下层含黏液腺。

特殊黏膜(specialized mucosa) 即舌背黏膜。它与口腔任何部位的黏膜都不同。尽管它在功能上属于咀嚼黏膜,但又具有一定的延伸度,属于被覆黏膜的特点。舌背黏膜表面具有许多不同类型的乳头。黏膜上皮内还有味觉感受器即味蕾。

舌为肌性器官,有纵横和垂直交错的肌群,表面被覆以黏膜。舌的前2/3为舌体,后1/3为舌根,二者以人字形浅沟(界沟)为界。在舌背正中线有一不甚明显的正中沟,沟的后端与人字形界沟的顶点相汇合,在汇合点的稍后方,有一个凹陷,称舌盲孔,为胚胎时期甲状舌管始端的遗迹。
舌背黏膜呈粉红色。上皮为复层鳞状上皮,无黏膜下层,有许多舌肌纤维分布于固有层,故舌背黏膜牢固地附着在舌肌而不易滑动。舌体部的舌背黏膜表面有许多小突起,称舌乳头。每一个乳头内部都有一个由固有层形成的轴心,称初级乳头。初级乳头的固有层继续向上皮伸入,形成许多大小不等、数目不定的更小的突起,称次级乳头。固有层内有丰富的血管、胶原纤维和弹力纤维。
【丝状乳头】
丝状乳头(filiform papilla) 数目最多,遍布于舌背,舌尖部最多。丝状乳头体积较小,高约1~3 mm,尖端多向后方倾斜,末端具有毛刷样突起。乳头表面有透明角化上皮细胞。上皮的浅层细胞经常有角化和剥落现象。如角化上皮剥落延迟,同时与食物残渣、唾液、细菌等混杂,附着于乳头表面即形成舌苔。舌苔的色泽、分布、厚薄、干腻等变化可反映一些全身状况的改变,临床上是中医辨证施治的重要依据。除舌苔外,当丝状乳头萎缩时,舌面光秃。如在舌苔剥脱使舌背呈地图样时称地图舌。丝状乳头在青年时期最发达,至老年渐变平滑。

【菌状乳头】
菌状乳头(fungiform papilla) 数目较少,分散于丝状乳头之间,位于舌尖和舌侧缘,色泽较红,呈圆形头大颈细的突起状,高约0.7~1.5 mm,直径约0.4~1.0 mm,上皮较薄,表层无角化,固有层血管丰富,因而呈红色。有的菌状乳头的上皮内可见少数味蕾,有味觉感受作用。当多个菌状乳头增生、肿胀、充血时,舌表面似草莓状,称草莓舌。当菌状乳头、丝状乳头均萎缩,致使舌乳头消失呈光滑的片状、平如镜面时,称光滑舌或镜面舌。
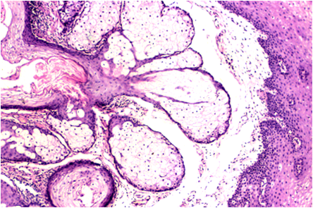
【轮廓乳头】
轮廓乳头(vallate papilla) 在舌乳头中体积最大,数目最少,约8~12个,沿界沟前方排成一列。该乳头呈矮柱状,高约1~1.5 mm,直径约1~3 mm,每个乳头的四周均有深沟(轮廓沟)环绕,轮廓沟外的舌黏膜稍隆起,形成乳头的轮廓结构。此乳头表面上皮有角化,但乳头的侧壁即轮廓沟壁上皮无角化,其上皮内有许多染色浅的卵圆形小体,称味蕾。在轮廓沟底附近的舌肌纤维束间有较多纯浆液腺,即味腺或称埃伯纳腺(Ebner gland)。味腺导管开口于轮廓沟底,其分泌物的冲洗可清除食物残屑,溶解食物,有助于味觉感受器发挥味觉感受作用。

【叶状乳头】
叶状乳头(foliate papilla) 位于舌侧缘后部,在人类此乳头为退化器官,呈5~8条平行排列的皱襞。正常时此乳头不明显,炎症时往往肿大,且伴疼痛。
【味蕾】
味蕾(taste bud) 是味觉感受器,为位于上皮内的卵圆形小体,长约80 μm,厚约40 μm。主要分布于轮廓乳头靠近轮廓沟的侧壁上皮,它处如菌状乳头、软腭、会厌等上皮内亦可见味蕾分布。

味蕾是上皮分化成的特殊器官。其基底部位于基底膜之上,表面由角质细胞覆盖,中央形成圆孔即味孔通于口腔。光镜下,构成味蕾的细胞有两种,即亮细胞和暗细胞。前者较粗大;后者较细长。细胞长轴与上皮表面垂直。近味孔处的细胞顶部有指状细胞质突起称味毛。电镜下味蕾由4种细胞构成。Ⅰ型为暗细胞,胞质电子密度大,顶端胞质含致密颗粒,约占味蕾细胞的60%。胞质顶端有 30~40个微绒毛;Ⅱ型细胞为亮胞质细胞,微绒毛少,顶端胞质终止在味孔内,占味蕾细胞的30%左右;Ⅲ型细胞约占味蕾细胞的7%,形态似Ⅱ型细胞,但无微绒毛。细胞顶端圆钝,近味孔;Ⅳ型细胞位于味蕾基底部,称基底细胞,占味蕾细胞的3%左右。神经末梢从味蕾基底部进入味蕾,可一直分布到近味孔处,与Ⅲ型细胞有化学突触形成,与其他细胞无化学突触形成,因此Ⅲ型细胞可能是味细胞。味蕾细胞与周围上皮细胞之间有连接复合体封闭。
舌根的淋巴组织味蕾的功能是感受味觉。其中舌体的菌状乳头主要感受甜、咸味;叶状乳头处味蕾主要感受酸味;轮廓乳头、软腭及会厌处味蕾主要感受苦味。
在舌背的Ⅴ形沟后方即舌根黏膜表面被覆非角化鳞状上皮。黏膜表面可见圆形或卵圆形小突起,称舌滤泡(lingual follicle舌滤泡(lingual follicle)。镜下见每个滤泡含1个或1个以上的淋巴小结,可含生发中心。多数舌滤泡的中心都有1个小凹陷,称舌隐窝(lingual crypt舌隐窝(lingual crypt),隐窝内衬复层鳞状上皮,含小涎腺的开口。舌根部的舌滤泡统称舌扁桃体。与腭扁桃体和咽扁桃体一起构成口咽部的淋巴环。
---------------------------------------------------------------------------------


