![]()

牙周组织包括牙周膜、牙槽骨、牙骨质和牙龈。上述组织共同完成支持牙的功能,所以牙周组织又可称为牙支持组织。


牙龈(gingiva)是包围和覆盖在牙颈部和牙槽嵴的口腔黏膜,呈浅粉红色,坚韧而不活动。在前庭和下颌舌侧面,与红色的牙槽黏膜连续,它们之间有明显的分界线。在上腭与硬腭黏膜连续,无明显分界线。牙龈可分为游离龈、附着龈和牙间乳头三部分。


【游离龈】
游离龈(free gingiva)是指牙龈边缘不与牙面附着的部分,其牙冠方为牙龈边缘,根尖方为游离龈沟,内侧为釉质表面,外侧为口腔。它游离可动,呈连续的半月形弯曲,色泽比附着龈稍红。其与牙面之间有一环状狭小的空隙,称为龈沟(gingivalsulcus),正常深度约0.5~3 mm,平均深度1.8 mm。龈沟深超过3 mm时,通常认为是病理性的,称为牙周袋。龈沟底部为结合上皮冠方,内壁为釉质,外壁衬以龈沟上皮。龈沟底的位置因年龄而异,年轻时位于釉质面上,成年后位于釉质牙骨质界,老年时则达牙骨质。


龈沟内含有龈沟液,其成分与血清相似,含有电解质、氨基酸、免疫球蛋白,溶菌酶等,具有清除异物,增进上皮与牙贴附的作用,还有抗菌和增强牙龈免疫的能力,但同时又是微生物的培养基。所以,龈沟又有利于菌斑和牙石的形成,从而刺激机体免疫系统的反应,阻止来自细菌的毒性物质进入牙龈。在许多情况下,上皮和结缔组织细胞的这种功能受到影响,而引起牙龈和牙周组织疾病。
【附着龈】
附着龈(attached gingiva)在游离龈的根方,紧密附着在牙槽嵴表面,它与游离龈相连处常有一浅的凹沟称为游离龈沟(freegingival groove)。附着龈色粉红,质坚韧,表面呈橘皮状,有许多点状凹陷称点彩。点彩可增强牙龈对机械摩擦力的抵抗,但在炎症水肿时,表面点彩可消失而变为光亮。
【牙间乳头和龈谷】
牙龈呈锥体状充填于邻近两牙的牙间隙部分称牙间乳头(interdentalpapilla),也称龈乳头。在后牙,颊侧和舌(腭)侧龈乳头顶端位置高,在牙邻面接触点下相互连接处低平凹下,像山谷故称龈谷(gingivalcol)。在前磨牙区龈谷底形如楔形,在后牙区变为低平。由于该处不易清洁,易形成菌斑和牙石。龈谷易受到炎症刺激,牙间区牙龈炎的发生率明显高于其他部位。在老年和疾病情况下,牙间乳头退缩而将牙间隙显露出来,可引食物嵌塞,导致牙周炎的发生。


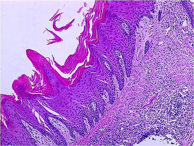
牙龈是口腔黏膜的一部分,由上皮层和固有层组成,无黏膜下层。其中上皮又分为三种功能部分:牙龈上皮,龈沟上皮和结合上皮。它们与结缔组织一起将牙龈附着在牙上。这种特殊的解剖特征称为牙龈结合(dentogingivaljunction)。


【上皮层】
1.牙龈上皮(gingivalepithelium) 上皮层为复层鳞状上皮,表面明显角化或不全角化。上皮钉突多而细长,较深地插入固有层中,使上皮与深层组织牢固地连接。上皮基底细胞生长活跃,偶见黑色素细胞,或含有黑色素颗粒,所以牙龈有时出现黑色斑块。


2.龈沟上皮(salcularepithelium) 牙龈上皮在游离龈的边缘,转向内侧覆盖龈沟壁,形成龈沟上皮。该上皮是复层鳞状上皮,无角化,有上皮钉突,在龈沟底与结合上皮有明显分界。上皮细胞浆少,含少量粗面内织网和许多张力细丝。龈沟上皮丧失其角化是因上皮下结缔组织的炎症引起的。结缔组织的炎症可影响上皮的成熟,如去除这些炎症,龈沟上皮仍可角化。

龈沟上皮不能抵抗机械力,而易破裂。结缔组织中常见不同程度的炎细胞浸润,这是由龈沟内食物分解产物和细菌的刺激所引起的。
3.结合上皮(junctionalepithelium) 是牙龈上皮附着在牙表面的一条带状上皮,从龈沟底开始,向根尖方向附着在釉质或牙骨质的表面。结合上皮是无角化的鳞状上皮,在龈沟底部约含15~ 30层细胞,向根尖方向逐渐变薄,约含3 ~ 4层细胞。结合上皮细胞呈扁平状,其长轴与牙面长轴平行,无上皮钉突。在与结缔组织的连接处细胞为立方状,类似基底细胞。但如受到刺激,可见上皮钉突增生,伸入结缔组织中。
在电镜下,结合上皮细胞含有丰富的高尔基复合体,粗面内质网和线粒体,胞浆中张力细丝较少并与细胞
表面平行。细胞间的桥粒比牙龈其他区域的上皮细胞少,细胞外间隙增大,因此,能使牙龈结缔组织中的炎细胞、单核细胞、大分子量的物质和整个细胞移动到龈沟中。在龈沟底部的细胞中含溶酶体较多,显示较强的磷酸酶活性。
上述形态学特点表明,结合上皮是一未成熟的分化低的上皮,属于简单上皮。从上皮和间充质之间的关系看,支持上皮的结缔组织在决定上皮的表型中起重要作用。上皮下结缔组织对于复层鳞状上皮的正常成熟有诱导作用。而结合上皮下结缔组织缺乏这种诱导作用,致使结合上皮仍保持其不成熟特征。上皮的这种不成熟性表现为,结合上皮形成许多半桥粒,使细胞与牙面紧密附着;结合上皮的表层不易脱落,其更新的细胞移动到牙表面,然后向牙冠方向脱落到龈沟中,而在牙龈上皮中,基底细胞分裂增生补充脱落的表层细胞。另外结合上皮细胞在牙表面产生一种基板样物质(包括透明板和密板两部分),并能通过半桥粒附着在这些物质上,使结合上皮紧密地附着在牙面上。这种结构很类似于上皮与结缔组织连接的方式。
结合上皮在牙面上的位置因年龄而异,年轻时附着在釉质上,随年龄增长而向根方移动,中年以后多在牙骨质上。

结合上皮紧密附着于牙表面,任何手术,例如牙周洁治或制作修复体等,都不应损伤结合上皮,以免上皮与牙的附着关系被破坏。另一方面,结合上皮增殖能力较强,外科手术切除牙龈后,新的上皮附着能很快形成。
4. 龈谷上皮 此上皮表面为薄的无角化上皮,有上皮钉突伸入到结缔组织中,乳头层中常有炎细胞浸润。曾经认为,在结合上皮形成过程中,除了龈谷区外,缩余釉上皮被口腔上皮代替,而龈谷区仍保留着缩余釉上皮的特征,成为牙龈的脆弱区,在牙周炎的发生中有重要作用。事实上龈谷上皮与结合上皮一都来自牙上皮。目前没有证据表明,龈谷上皮的结构可成为引起牙周炎的脆弱区。但由于解剖形态关系,龈谷区易使细菌和菌斑集聚而发生牙龈炎。
【固有层】
固有层则发育自早期神经嵴细胞迁移形成的间充质,由致密的结缔组织构成。高而长的结缔组织乳头使局部上皮隆起,隆起部分之间的凹陷处,相当于细长的上皮钉突,上皮钉突的表面形成浅凹即为点彩。
固有层含有丰富的胶原纤维,并直接附着于牙槽骨和牙颈部,使牙龈与深部组织稳固贴附。只有少量的弹
力纤维分布在血管壁。其中胶原纤维束呈各种方向排列,可分为下列几组。
1.龈牙组(dentogingivalgroup) 自牙颈部牙骨质,向牙冠方向散开,止于游离龈和附着龈的固有层,广泛地分布牙龈固有层中,是牙龈纤维中最多的一组。主要是牵引牙龈使其与牙紧密结合。
2.牙槽龈组(alveologingivalgroup) 自牙槽嵴向牙冠方向展开,穿过固有层止于游离龈和附着龈的固有
层中。
3.环行组(circular group) 位于牙颈周围的游离龈中,呈环行排列。纤维比其他组要细,常与邻近的其他纤维束缠绕在一起,有助于游离龈附着在牙上。
4.牙骨膜组(dentoperiostealgroup) 自牙颈部的牙骨质,越过牙槽突外侧皮层骨骨膜,进入牙槽突和前庭肌和口底。
5.越隔组(transseptalgroup) 是横跨牙槽中隔,连接相邻两牙
的纤维,只存在于牙邻面,起于结合上皮根方的牙骨质,呈水平方向越过牙槽嵴,止于邻牙相同部位。保持牙弓上相邻两牙的接触,阻止其分离。
牙龈中几乎没有弹力纤维,仅在大的血管壁中有弹力纤维。相反,牙槽黏膜的固有层中含有大量的弹力纤维。
牙龈没有黏膜下层,固有层含有多种细胞成分,主要是成纤维细胞,还存在一类具有干细胞特性以及显著组织再生和免疫调节能力的间充质细胞,称为牙龈间充质干细胞(gingiva mesenchymal stemcells)。还有少量淋巴细胞、浆细胞和巨噬细胞等。
【血液供给和神经】
牙龈的血管来自牙槽动脉分支:即①分布在牙槽骨颊舌侧的骨膜上动脉;②牙周膜的血管分支进入牙龈;③牙槽中隔动脉。
牙龈含丰富的淋巴管。起自牙龈固有层中的乳头层,汇合成牙槽骨骨膜淋巴网,回流到颏下和下颌下淋巴结中。
牙龈有丰富的神经,在上颌来自上牙槽和腭前神经,在下颌来自下牙槽神经和舌神经。有不同类型的神经末梢,如触觉小体,环状和球状小体,或很细的神经纤维进入上皮层中。
---------------------------------------------------------------------------------


