暂无搜索结果
-
1 课程文件
-
2 绪论
-
3 项目一 动物的接近与保定
-
3.1 家畜的接近与保定
-
3.2 犬猫接近技术
-
3.3 犬猫保定技术
-
3.4 章节测试
-
4 项目二 临床诊断技术
-
4.1 临床基本检查方法
-
4.2 临床一般检查
-
4.2.1 整体状态的观察
-
4.2.2 被毛及皮肤的检查
-
4.2.3 可视黏膜的检查(眼结膜检查)
-
4.2.4 浅表淋巴结及淋巴管的检查
-
4.2.5 体温、脉搏及呼吸数的测定
-
4.3 系统检查
-
4.3.1 消化系统
-
4.3.2 呼吸系统
-
4.3.3 泌尿生殖系统
-
4.4 章节测试
-
5 项目三 实验室检查技术
-
5.1 血液检查
-
5.1.1 血液的采集与保存
-
5.1.2 血常规检查
-
5.1.3 血涂片检查
-
5.1.4 血液生化检查
-
5.2 尿液检查
-
5.3 粪便检查
-
5.4 影像学检查
-
5.5 章节测试
-
6 项目四 临床治疗技术
-
6.1 投药疗法
-
6.2 灌肠技术
-
6.3 气管插管技术
-
6.4 章节测试
-
7 实训
-
7.1 实训一 家畜的接近保定和临床一般检查
-
7.2 实训二 犬的接近与保定
-
7.3 实训三 临床一般检查和生理指标测定
-
7.4 实训四 血涂片检查
-
7.5 实训五 尿常规检查和粪便检查
-
7.6 实训六 影像学检查
-
7.7 实训七 家畜的采血和治疗技术
-
7.8 实训八 禽类的采血技术
-
7.9 实训九 小动物的采血和治疗技术
-
8 复习资料
-
1
课前讨论
-
2
课件
-
3
教案
-
4
视频
-
5
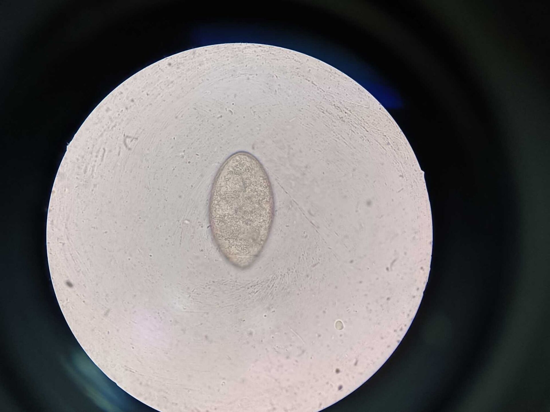
粪便检查病例图片
-
6
测试
1.蛔虫卵

2.球虫卵

3.绦虫卵


4.蛲虫卵

5.贾第鞭毛虫

6.钩虫

选择班级