气管与主支气管为肺外的气体通道,管壁结构相似,由内向外依次分为黏膜、黏膜下层、外膜层。
一、气管
气管管壁模式图
(一)黏膜层 由上皮和固有层构成。
1.上皮 假复层纤毛柱状上皮,由纤毛细胞、杯状细胞、刷细胞、基细胞和小颗粒细胞组成。
(1)纤毛细胞:最多,柱状,游离面有密集的纤毛,纤毛向咽部快速摆动,将黏液及其黏附的尘埃、细菌等推向咽部咳出,净化吸入的空气。
(2)杯状细胞:较多,分泌黏蛋白与混合性腺的分泌物在上皮表面构成黏液性屏障,可黏附空气中的异物颗粒,溶解吸入的SO2等有毒气体。
(3) 刷细胞:呈柱状,游离面有排列整齐的微绒毛,形如刷状。刷细胞的功能尚未定论。有报道,在刷细胞基部有与感觉神经末梢形成的突触,故认为该细胞可能有感受刺激的作用。
(4)小颗粒细胞:数量少,锥形,单个或成团分布在上皮深部,胞质内有许多分泌颗粒,含5-羟色胺等物质,可调节呼吸道平滑肌的收缩和腺体的分泌。
(5)基细胞:呈锥形,位于上皮深部,为干细胞,可增殖分化为上皮中其他各类细胞。
2.固有层
以富含弹性纤维的细密结缔组织为基础,有较多的弹性纤维,常见淋巴组织,具有免疫防御的
功能。其中浆细胞与上皮细胞联合分泌sIgA,释放入管腔,对细菌、病毒有杀灭作用。
(二)黏膜下层 疏松结缔组织,与固有层和外膜无明确界限,富含气管腺。
(三)外膜
较厚,主要由16-20个“C”形软骨环和疏松结缔组织构成;软骨环缺口处为气管膜性部,内含弹性纤维组成的韧带、平滑肌束和气管腺。咳嗽反射时平滑肌的收缩可使气管腔缩小从而清除痰液。
二、主支气管
主支气管管壁结构与气管相似,随着管径变小,管壁变薄,三层分界不明显;环状软骨逐渐变为不规则的软骨片,而平滑肌纤维逐渐增多,呈螺旋形排列。
•管壁薄
•三层分界不明显
•不规则软骨片
•平滑肌纤维增多,呈螺旋状走形
(一)导气部

肺结构模式图
肺导气部分三部分:叶支气管至小支气管、细支气管、 终末细支气管
肺导气部的各段管道随支气管分支,管径逐渐变小,管壁变薄,结构趋简单
1、叶支气管—小支气管
管壁结构与主支气管相似,但管径更细,管壁渐薄,三层分界不明显,管壁主要结构变化:
① 上皮:假复层纤毛柱状上皮,且由厚变薄,杯状细胞逐渐减少;
② 固有层:变薄,外侧出现少量环形平滑肌束;
③ 黏膜下层:腺体逐渐减少
④ 外膜:软骨片逐渐减少。
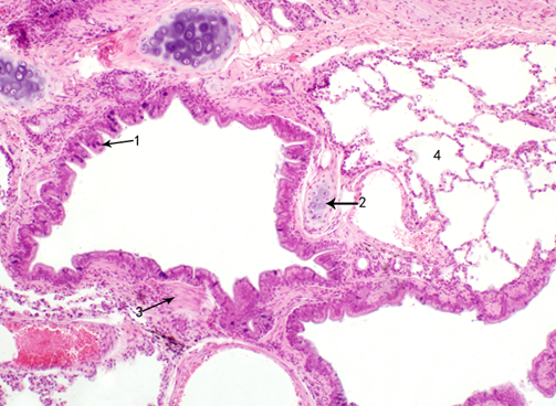
小支气管 小支气管光镜图
杯状细胞 ①平滑肌束 ② 软骨片
2、细支气管
① 上皮逐渐变为单层纤毛柱状上皮,杯状细胞很少或消失;
② 腺体少或消失;
③ 软骨片少或消失;
④ 环行平滑肌完整成层,黏膜形成皱襞。


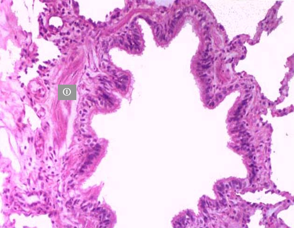
细支气管 细支气管光镜图
1.单层纤毛柱状上皮 2.软骨片 3.平滑肌束 4.肺泡 ①平滑肌束
3、终末细支气管
① 上皮为单层柱状上皮,上皮中杯状细胞消失且Clara细胞较多;
② 腺体消失;
③ 软骨片消失;
④ 完整的环行平滑肌层,黏膜皱襞更明显。
细支气管和终末细支气管管壁内的环形平滑肌可在自主神经的支配下收缩和舒张,调节进入肺小叶的气流量。此时,肺内导气部由软骨为支架的管道逐渐变为肌性管道,以适应肺功能的需求。


终末细支气管光镜图 Clara细胞
Clara细胞(克拉拉细胞):分布于细支气管和终末细支气管,这种细胞在小支气管就已经出现,之后逐渐增多。
结构: 功能:
内分泌细胞 分解管腔内的黏液,利于其排出;
柱状,顶圆凸向管腔,无纤毛, 有解毒和生物转化的功能;
胞质浅染,顶部胞质分泌颗粒。 分裂分化为纤毛细胞。
(二)呼吸部

呼吸部包括: 呼吸性细支气管、肺泡管、肺泡囊、肺泡

肺结构模式图
1、呼吸性细支气管(respiratory bronchiole) 管壁上出现少量肺泡,故具有了换气功能。管壁上皮为单层立方,有克拉拉细胞和少许纤毛细胞,上皮下有少量环行平滑肌纤维。在肺泡开口处,单层立方上皮移行为单层扁平上皮
2、肺泡管 管壁上有许多肺泡,管壁自身结构很少,仅在相邻肺泡开口之间保留少许,故切片上呈现为相邻肺泡开口间的结节状膨大: 表面为单层立方或扁平上皮,内为环行平滑肌纤维束横切面。
3、肺泡囊 是若干个肺泡共同开口而围成的囊腔。相邻肺泡开口间无平滑肌,故无结节状膨大。
4、肺泡 为半球形的小囊,直径约200μm,开口于肺泡囊、肺泡管或呼吸性细支气管,是肺进行气体交换的部位,构成肺的主要结构。成人肺约有3亿~4亿个肺泡,吸气时总表面积可达140m2。肺泡壁很薄,由单层肺泡上皮组成。相邻肺泡之间的组织称肺泡隔。

肺泡模式图
(1)肺泡上皮:由I型和II型肺泡细胞组成

肺泡光镜图
1.II型肺泡细胞 2.I型肺泡细胞
I型肺泡细胞( type I alveolar cel) 覆盖约95%的肺泡表面积,进行气体交换的部位。细胞除含核部略厚外,其余部分扁平菲薄,厚约0.2μm,于光镜下难辨认。电镜下,胞质中可见较多的小泡,内有细胞吞人的微小粉尘相表面活性物质,小泡能将它们转运到间质内清除。肺泡上皮细胞之间均有紧密连接和桥粒,以防止组织液向肺泡内渗人。1型上皮胞无增殖能力,损伤后由Ⅱ型肺泡细胞增殖分化补充。
结构: 功能:
细胞扁平,含核部分略厚,余薄; 参与气体交换
细胞器少,吞饮小泡多; 转运(微小尘埃、表面活性物质)
细胞间有紧密连接和桥粒 防止组织液渗入肺泡腔
II型肺泡细胞( ype l alveolar cell) 散在于I型肺泡细胞间,覆盖肺泡约5%表面积。细胞呈立方或圆形,散在凸起于1型肺泡细胞之间,覆盖肺泡约5%的表面积。细胞核圆形,胞质着色浅。电镜下,其胞质富含线粒体和溶酶体,有较发达的粗面内质网和高尔基复合体,核上方有较多高电子密度的分泌颗粒,因颗粒内含同心圆或平行排列的板层状结构,故称板层小体( lamellarbody),其内容物多为磷脂(主要是二棕槟酰卵磷脂)。细胞将颗粒内容物释放后,在肺泡上皮表面铺展形成一层薄膜,称表面活性物质( surfactant),有降低肺泡表面张力,稳定肺泡大小的重要作用。呼气时肺泡缩小,表面活性物质密度增加,降低了表面张力,可防止肺泡塌陷;吸气时肺泡扩大,表面活性物质密度减小,肺泡回缩力增大,可防止肺泡过度膨胀。某些早产儿其Ⅱ型肺泡细胞尚未发育完善,不能产生表面活性物质,致使婴儿出生后肺泡不能扩张,呼吸困难,以致早天。
结构: 功能:
圆形或立方形,顶部凸入肺泡腔,
LM 胞质着色浅,泡沫状; 可增殖、分化为I型肺泡细胞
EM 细胞器丰富,嗜锇性板层小体(分泌颗粒) 分泌表面活性物质

II型肺泡细胞电镜结构模式图
(2)肺泡隔:相邻肺泡间的结缔组织,属于肺间质,内有密集的连续型毛细血管网和丰富的弹性纤维,后者可起到回缩肺泡的作用。此外还有肺巨噬细胞、淋巴管和神经纤维。
肺巨噬细胞:由单核细胞而来,广泛分布于肺间质,于肺泡隔最多,也可游走入肺泡腔。具有活跃的吞噬功能,吞噬尘粒、细菌等,发挥免疫防御作用。吞噬了较多尘粒的肺巨噬细胞称尘细胞。吞噬了异物的肺巨噬细胞可沉积在肺间质内,也可经呼吸道随黏液排出,或进入肺淋巴管迁至肺门淋巴结。

肺巨噬细胞转变的尘细胞
(3)肺泡孔 相邻肺泡间相通的小孔,一个肺泡上有1至数个,肺泡孔可平衡肺泡间的气体含量,当某个终末细支气管或呼吸性细支气管堵塞时,起侧支通气作用;感染时也易使炎症扩散蔓延。
(4)气血屏障 肺泡与血液之间进行气体交换所经过的结构
构成:•肺泡表面液体层
•I型肺泡细胞及基膜
•肺泡隔薄层结缔组织(有的部位消失)
•连续毛细血管内皮及基膜

肺泡模式图