大唾液腺
大唾液腺有腮腺、舌下腺及颌下腺三对,位于口腔周围,其导管开口于口腔。

(一)大唾液腺的一般结构
大唾液腺均为复管泡状腺,唾液腺的表面覆有结缔组织被膜,被膜结缔组织伸入其内将腺实质分隔为许多大小不等的小叶(lobuk),小叶间结缔组织中含血管、神经、淋巴管。腺实质由分泌部(腺泡)和排泄部(导管)组成。
1. 分泌部:分泌部又称为腺泡,呈泡状或管泡状。腺泡上皮由单层立方或锥体形腺细胞构成。腺细胞与基膜之间有肌上皮细胞,肌上皮细胞收缩有利于分泌物的排出。根据腺细胞的结构及分泌物的性质,腺泡可分为三种类型:浆液性腺泡、黏液性腺泡和混合性腺泡。

2.排泄部:由各级分支的导管(duct)组成,管道由上皮构成,按其结构和所在部分可分为如下几段。
(1)闰管:是导管的起始部,与泡腔相连,管径细,管腔小,管壁由单层扁平立方上皮构成。
(2)分泌管:与闰管相连,管壁由单层高柱状上皮组成,胞核位于细胞上部,基底可见纵纹故又称纹状管。电镜下细胞基部含质膜内褶及纵行分布的线粒体,有利于细胞与组织液之间水和电解质的转运。
(3)小叶间导管及总导管:小叶间导管由分泌管汇集而成,位于小叶间结缔组织内,管壁由单层柱状上皮或假复层柱状上皮构成。小叶间导管汇合成一条或几条总导管,在口腔开口处移行为复层扁平上皮。
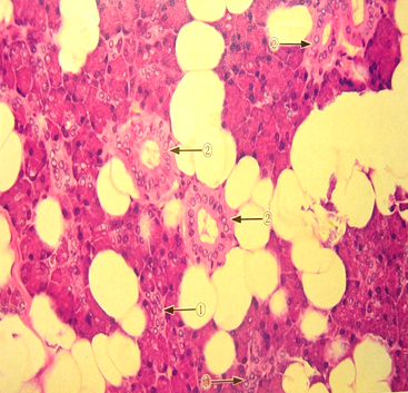
(二)三种大唾液腺的结构特点
1.腮腺:为浆液腺,闰管较长,有纹状管,分泌物为唾液淀粉酶等。
2.舌下腺:为混合腺,以黏液性腺泡为主,无闰管,纹状管短,分泌物为黏液。
3.下颌下腺:为混合腺,浆液性腺泡较多,黏液腺和混合性腺泡少,闰管短,分泌管长,分泌物含黏液和唾液淀粉酶。
腮腺 舌下腺 颌下腺
胰腺
胰腺(pancreas):是人体内起主要消化作用的消化腺,胰腺表面覆有薄层结缔组织被膜,结缔组织伸入腺内将实质分为许多小叶,腺实质由外分泌部和内分泌部组成。

胰腺 ( HE染色 →胰岛)
(一) 外分泌部
胰腺外分泌部占胰腺的大部分,为复管泡状浆液腺。
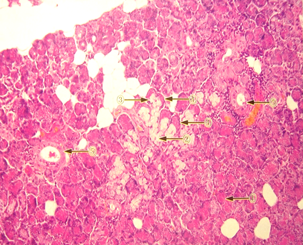
1. 腺泡:每个腺泡由40~50个锥体形腺细胞构成,腺细胞与基膜之间无肌上皮细胞。腺腔内有一些扁平或立方形细胞称泡心细胞(centroacinar cell),是延伸入腔内的闰管起始部上皮细胞。泡心细胞较小,胞质染色浅,核圆形。胰腺腺泡分泌多种消化酶,腺细胞还分泌一种胰蛋白的抑制因子,可阻止胰蛋白酶原在胰腺内激活,防止胰腺自溶。

1.闰管 ;2.小叶内导管; 3.浆液性腺泡
2. 导管:闰管较长,起于泡心细胞,管径细,汇合形成小叶内导管。小叶内导管由单层立方上皮构成,出小叶后移行为由单层柱状上皮构成的小叶间导管。主导管由小叶间导管汇合而成,由单层高柱状上皮和少量杯状细胞构成。胰腺导管上皮分泌的水和电解质与腺泡分泌的消化酶共同组成胰液。
黄色、蓝色箭头:闰管 ;黄色箭头:小叶内导管;D:小叶间导管
(二) 内分泌部
胰腺的内分泌部即胰岛(pancreatic islet),为分散在外分泌部之间的大小不等、形状不规则的细胞团,HE染色浅。胰岛细胞之间有丰富的毛细血管。胰岛主要有A、B、D、PP四种细胞。

黑色箭头示胰岛;1.腺泡;2.小叶内导管
1. A细胞:约占胰岛细胞总数的20%左右,细胞体积较大,多分布于胰岛周边,Mallory染色胞质呈鲜红色。A细胞分泌胰高血糖素,可使糖原分解,血糖升高。
2. B细胞:占胰岛细胞总数的70%,细胞较小,多分布于胰岛中央,分泌胰岛素,促进肝细胞、脂肪细胞、肌细胞等将血液中的葡萄糖吸收并转化为糖原或脂肪贮存,使血糖降低。
3.D细胞:分布于A细胞和B细胞之间,与其有缝隙连接,分泌生长抑素,抑制它们的分泌活动。
4.PP细胞:数量很少,于胰岛周边,分泌胰多肽,抑制胃肠运动、胰液分泌及胆囊收缩。

胰岛光镜图
免疫组织化学染色(辣根过氧化物酶标记)示B细胞含胰岛素,呈棕黑色)
一、 肝小叶
肝小叶(hepatic lobule)呈不规则的多面棱柱体,长约2 mm,宽约1 mm,是肝脏的基本结构和功能单位。成人肝大约有50万~100万个肝小叶。肝小叶的基本结构包括中央静脉、肝板或肝索、肝血窦、窦周隙及胆小管五部分。

1.中央静脉:位于肝小叶中央,是肝血窦在肝小叶中轴汇集成的一条多孔静脉,管壁不完整,血窦中血液均流向中央静脉。
2.肝板或肝索:由肝细胞单层排列形成的凹凸不平的板状结构,称肝板(hepatic plate),其断面呈索状,故又称肝索(hepatic cord)。
肝细胞(hepatocyte):是肝小叶的主要组成部分,细胞呈多边形,胞体积大,直径达20~30μm,胞核圆,位于中央,染色较浅,有1~2个核仁,部分肝细胞有双核,说明肝细胞的功能活跃。胞质嗜酸性,当蛋白质合成旺盛时,胞质出现散在的嗜碱性物质,电镜下胞质内含丰富的细胞器和内含物。
电镜下,肝细胞有三种不同的功能面,即血窦面、肝细胞邻接面和胆小管面。肝细胞邻接面含有紧密连接、桥粒和缝隙连接等。血窦面,胆小管面则有许多微绒毛,使该面表面积扩大5~6倍,有利于物质交换。

3.肝血窦(hepatic sinusoid):位于肝板之间,相互吻合形成网状管道,血液从肝小叶的周边经肝血窦流向中央静脉,窦壁由多孔的内皮细胞组成,内皮之间不连续,间隙较宽,内皮外无基膜,仅有少量网状纤维附着。故肝血窦内皮具有较大的通透性,有利于肝细胞和血液间的物质交换。
在肝血窦的内表面,附着有肝巨噬细胞,又称库普弗细胞(kupffer cell)。其形态不规则,胞质嗜酸性,以突起附着于内皮细胞上。肝巨噬细胞具有变形运动和较强的吞噬能力,可吞噬和清除血窦中的细菌、异物和衰老死亡的细胞器,并有免疫监督等功能。

4. 窦周隙:为血窦内皮与肝细胞之间的间隙,宽约0.4μm,窦周间隙内充满血浆,肝细胞微绒毛浸泡在血浆中,是肝细胞与血浆进行物质交换的场所。窦周隙内有贮脂细胞(fat-storing cell),贮脂细胞具有贮存维生素A和合成网状纤维的功能。慢性肝炎,慢性酒精中毒,贮脂细胞增殖过快,肝内纤维增多,都将导致肝硬化。
5. 胆小管(bile canali culus):是相邻肝细胞之间的细胞膜局部凹陷形成的微细管道,以盲端起自于中央静脉周围的肝板内,互相吻合成网,用银浸染片或ATP酶组化法可清晰显示。电镜下,形成胆小管的肝细胞膜表面有少数微绒毛突入管腔内,可扩大胆汁分泌的表面积。胆小管附近相邻的肝细胞彼此贴近形成紧密连接和桥粒,严密封闭胆小管周围的细胞间隙,防止胆汁外溢。当肝细胞炎性改变或胆道阻塞时,胆小管结构遭到损坏,胆汁经窦周隙进入血液,出现黄疸。

二、 门管区
相邻肝小叶之间的结缔组织区域称为门管区(portal area)。门管区主要有小叶间动脉、小叶间静脉、小叶间胆管。小叶间动脉是肝固有动脉的分支,管腔较小,管壁较厚而完整;小叶间静脉是门静脉的分支,管腔较大而不规则,管壁薄;小叶间胆管管腔小,管壁由单层立方上皮围成。
