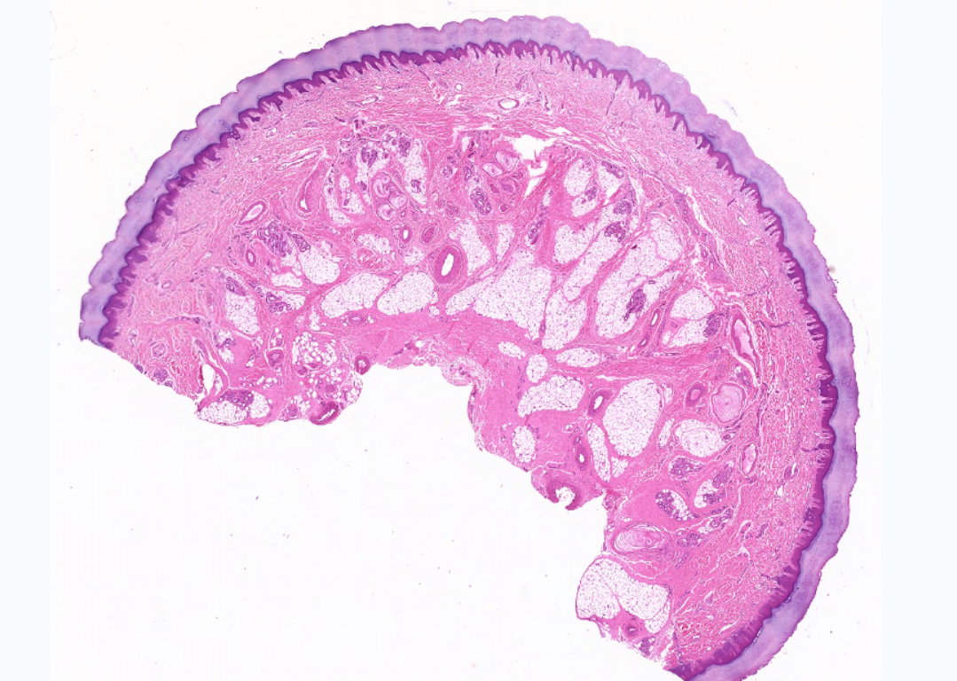
正常-病理对照图
-
1 皮肤
-
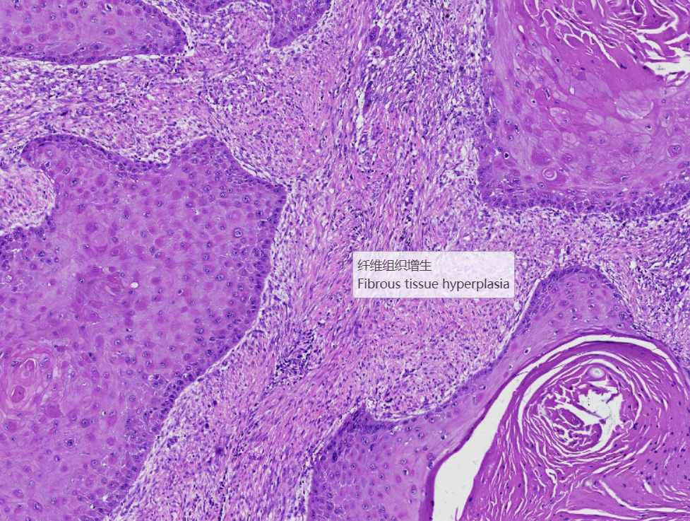
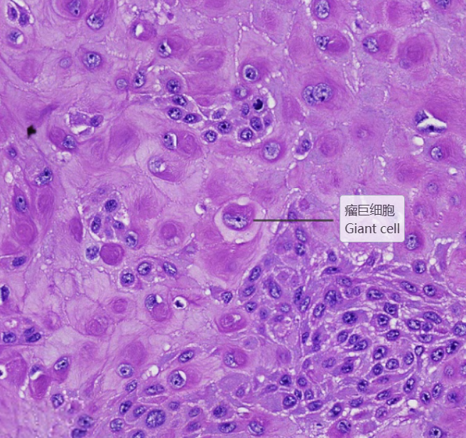
2 皮肤鳞状细胞癌
上一节
下一节
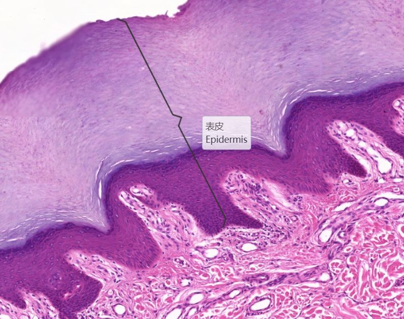
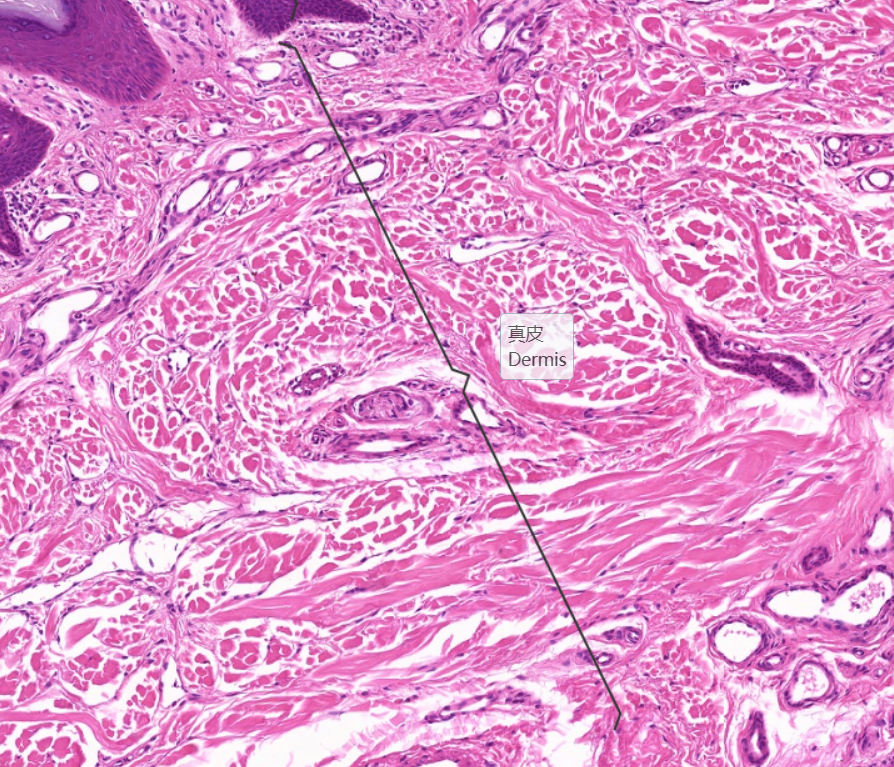
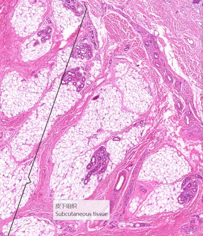
低倍镜观察:表皮:为角化的复层扁平上皮,表层红色为角化层,蓝紫色色的为表皮其他各层。真皮:为结缔组织,两者交界处凹凸不平,真皮靠近表皮部分由疏松结缔组织构成,称乳头层,结缔组织向表皮深面形成乳头状隆起为真皮乳头。有些可见触觉小体。乳头层下方较厚的致密结缔组织为网状层。网状层深面是脂肪组织或少量疏松结缔组织为皮下组织,两者无明显界限,皮下组织内可见成团的汗腺导管和分泌部、血管、神经及环层小体。高倍镜观察:表皮:典型的结构自基底至表面可分为五层。
全景图


表皮



3.真皮



4.皮下组织




3.角化珠

