正常-病理对照图
-
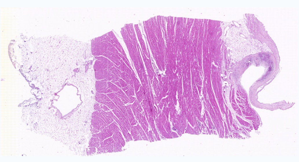
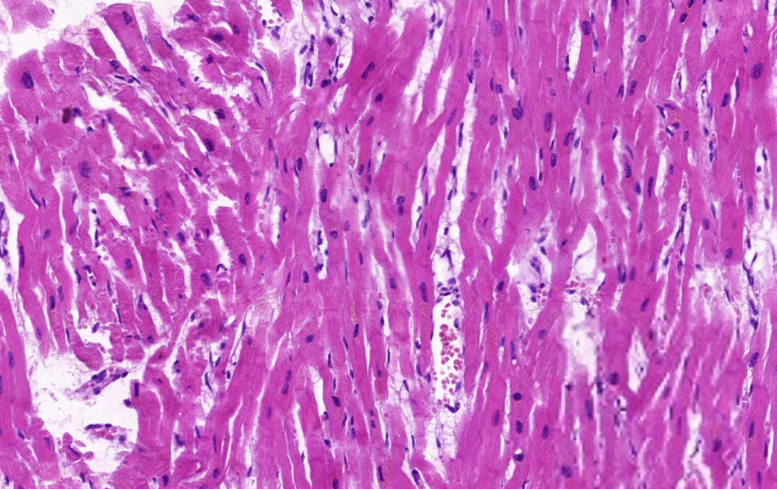
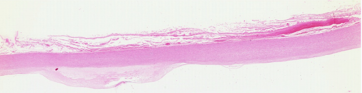
1 心脏
-
2 大动脉
-
3 心肌梗死
-
4 主动脉粥样硬化
上一节
下一节
低倍镜结合高倍镜观察心壁分三层,由内向外观察:1. 心内膜:(1)内皮:较薄,表面为扁圆形的内皮细胞核。(2)内皮下层:其薄层结缔组织中含有少量平滑肌纤维。(3)心内膜下层:紧靠心肌膜为结缔组织,内含浦肯野纤维,其直径较一般心肌纤维粗,染色较浅,肌浆丰富,肌原纤维少,横纹不太明显。2. 心肌膜:最厚,占心壁的绝大部分,主要由心肌纤维组成,其间有结缔组织及丰富血管。3. 心外膜:为薄层结缔组织,富含毛细血管、神经及脂肪组织。其外表面被覆一层间皮。
1.全景图

2.内皮

3.心内膜下层

4.心肌纤维

5.心外膜













