正常-病理对照图
-
1 肺
-
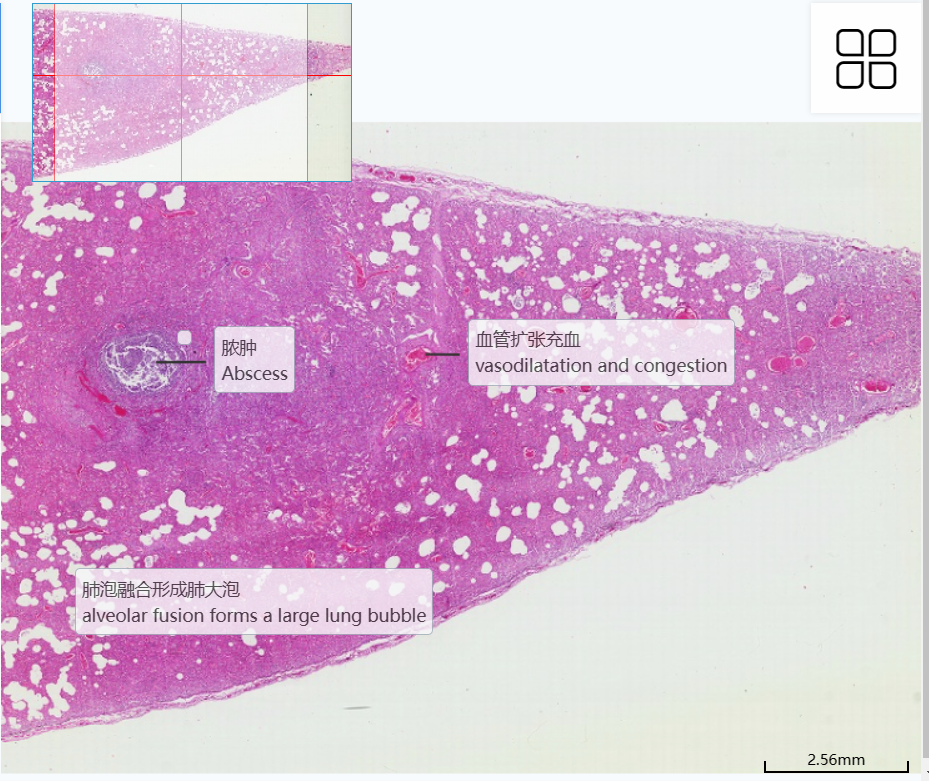
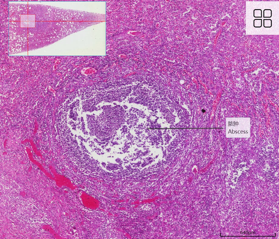
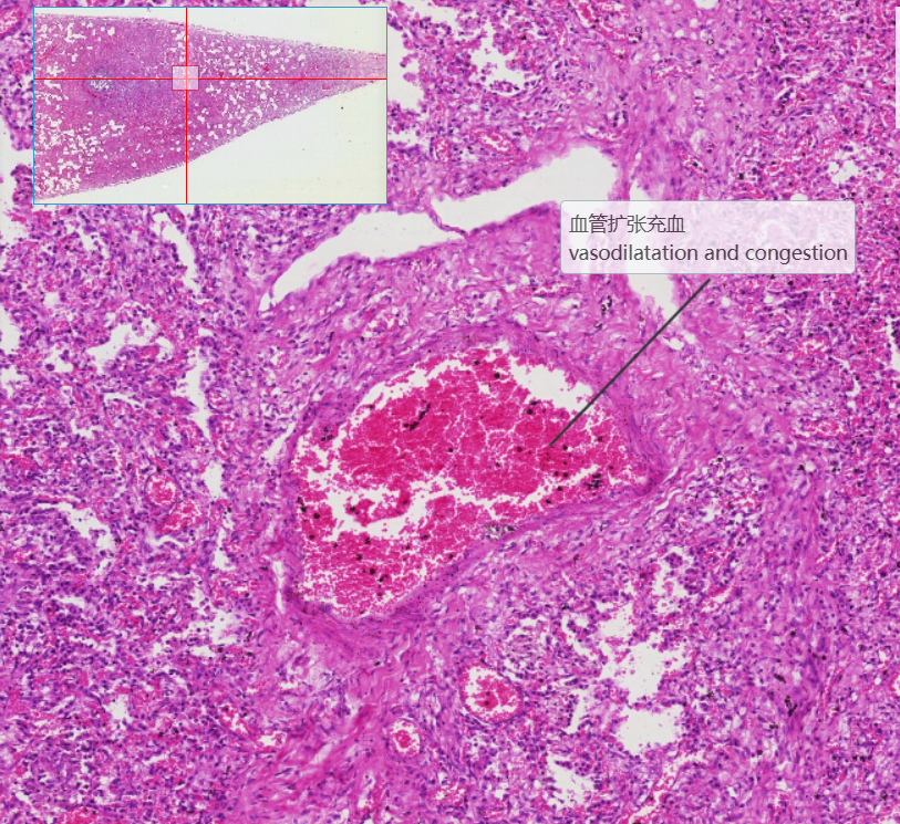
2 肺脓肿
-
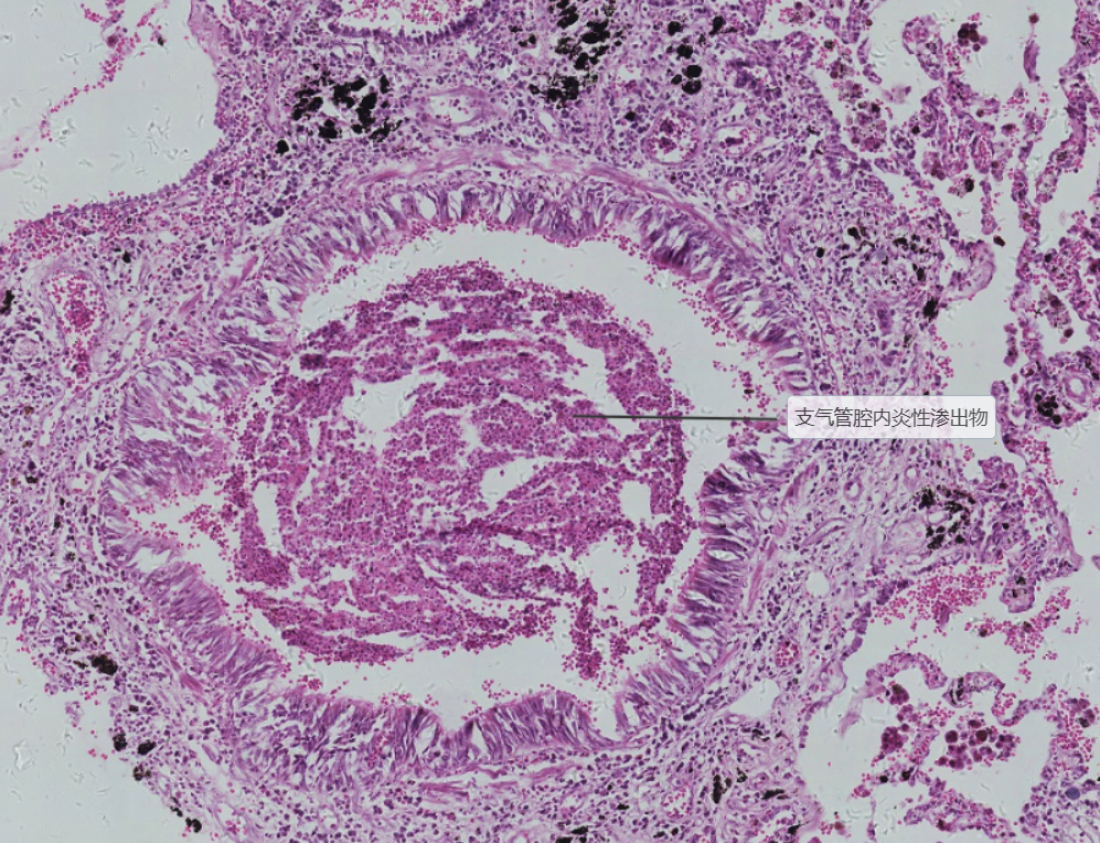
3 小叶性肺炎
上一节
下一节
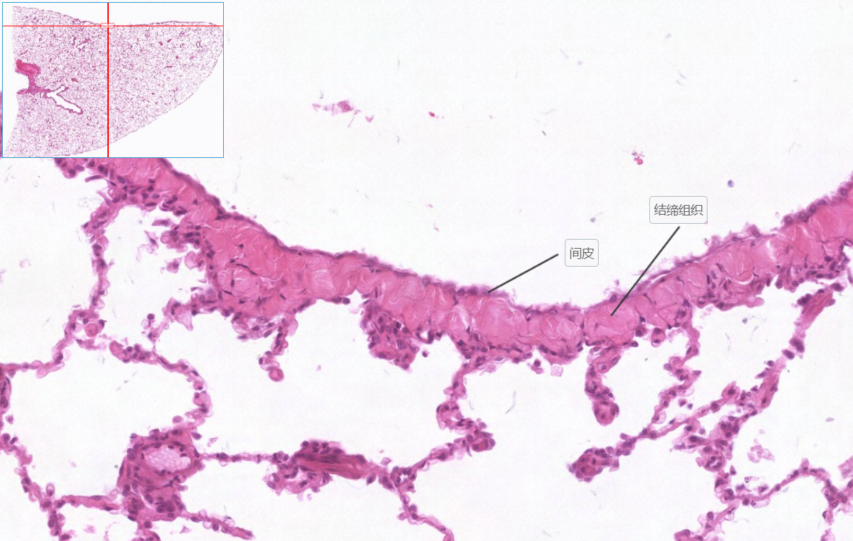
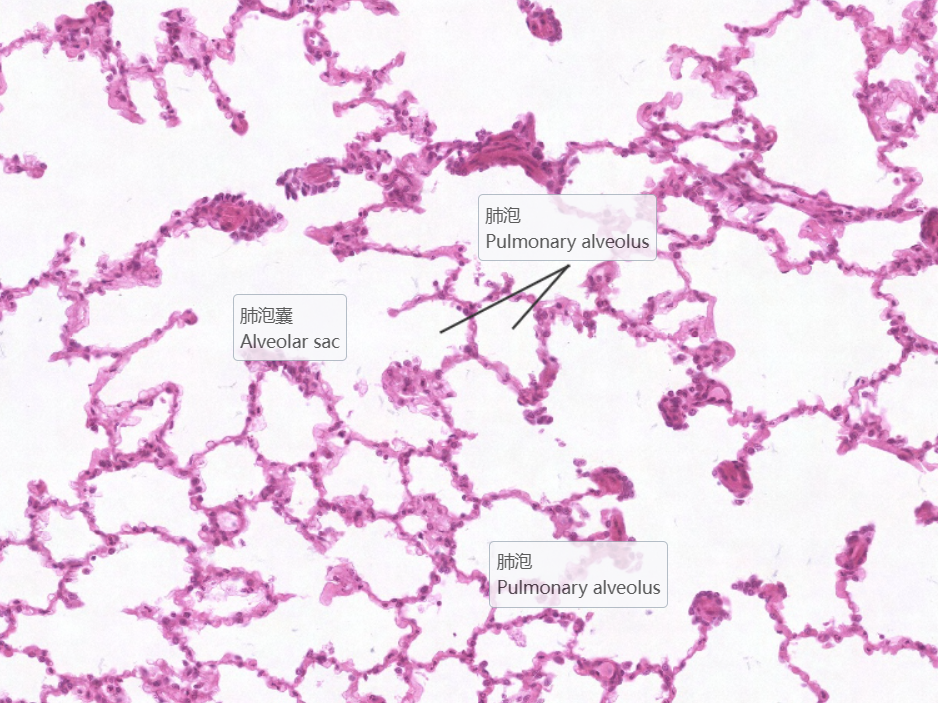
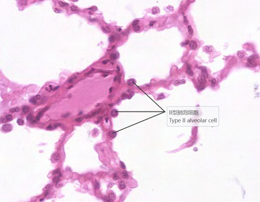
肺实质可区分为导气部(小支气管、细支气管及终末性支气管)和呼吸部(呼吸性细支气管、肺泡管、肺泡囊和肺泡)。低倍镜:覆盖在肺表面的浆膜是由一层间皮(单层扁平上皮)盖着结缔组织构成的。肺的组织由很多空泡状的结构(肺泡)组成,肺泡之间可见各级支气管。导气部高倍镜:(1)肺泡管:管壁结构少,呈一系列结节状膨大。(2)肺泡:肺泡壁很薄,为一层肺泡上皮,Ⅰ型肺泡细胞呈扁平状,Ⅱ型肺泡细胞散在分布,该细胞呈立方形,核大而圆,胞质着色浅。(3)肺泡隔:位于相邻肺泡上皮之间,有丰富的毛细血管及少量结缔组织(弹性纤维HE染色看不见)。
1.全景图

2.外膜


3.小支气管
4.终末细支气管

5.呼吸性细支气管

6.肺泡管
7.肺泡囊、肺泡

8.肺泡上皮细胞














