正常-病理对照图
-
1 卵巢
-
2 子宫
-
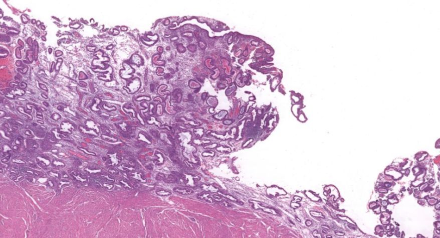
3 子宫内膜异位症
-
4 卵巢黏液腺癌
上一节
下一节
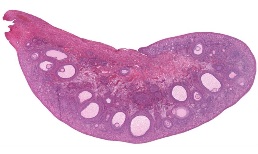
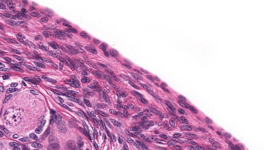
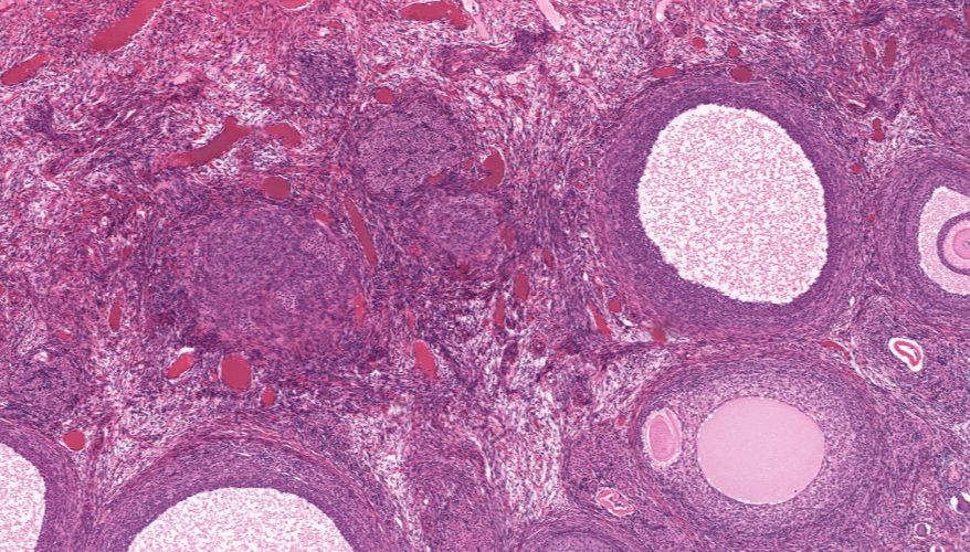
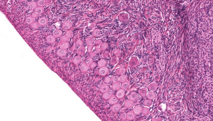
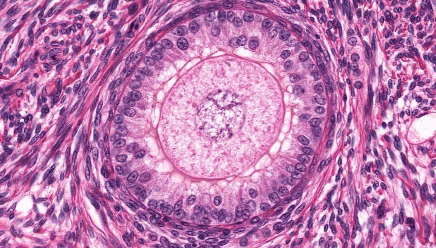
低倍镜:区分卵巢的皮质及髓质,皮质有不同时期发育的卵泡分布于其中,髓质为结缔组织及丰富的血管构成。着重观察皮质内不同发育阶段的各级卵泡及闭锁卵泡、黄体和卵泡间的结缔组织。高倍镜:重点观察各级卵泡。
1.全景图

2.被膜

3.皮质

4.原始卵泡

5.初级卵泡

6.次级卵泡

8.成熟卵泡

9.卵母细胞





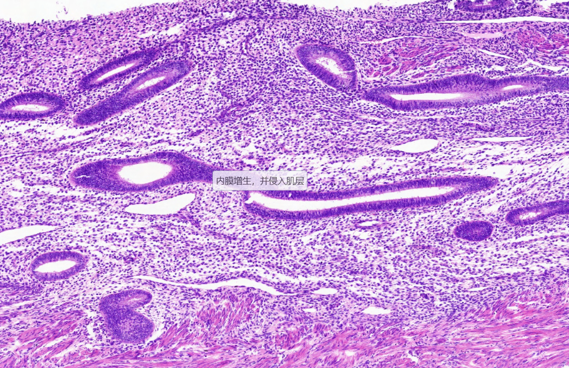
2.子宫内膜增生
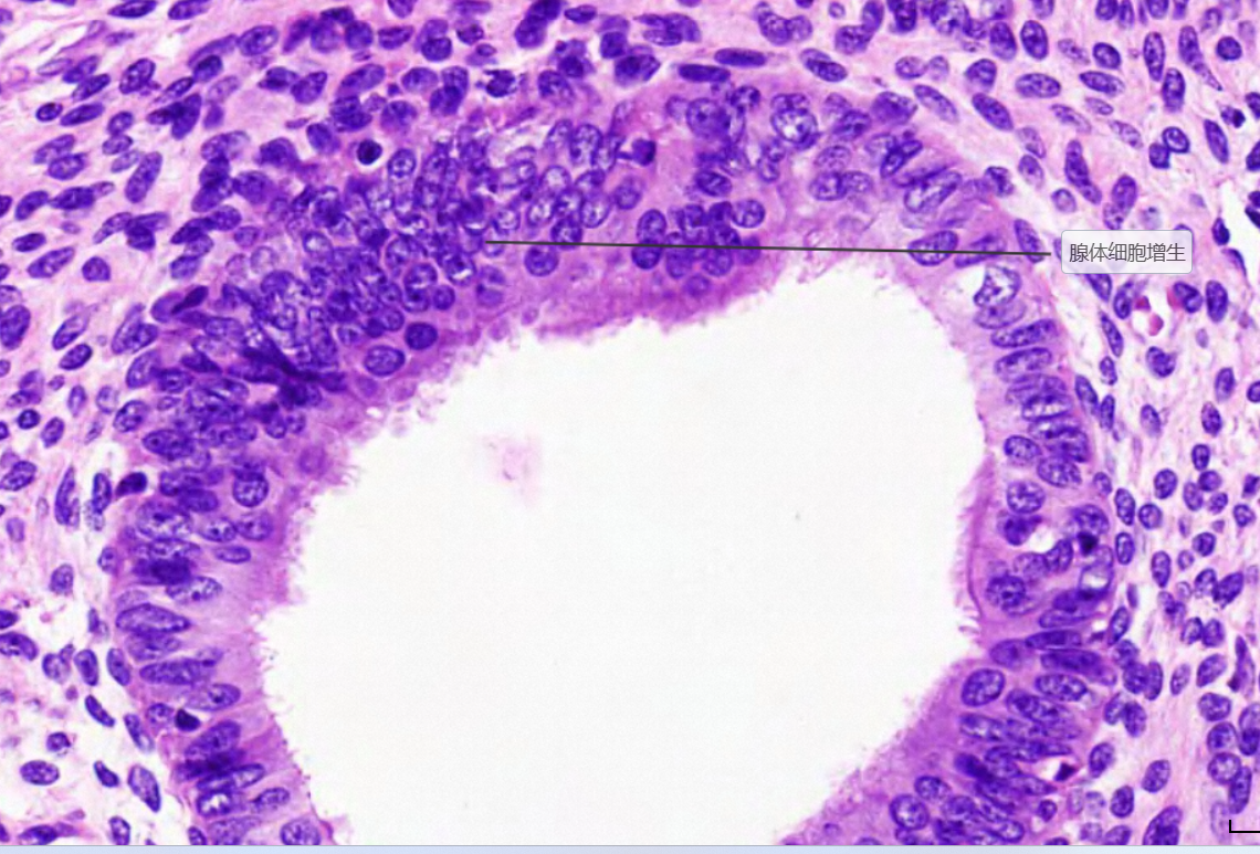
3.子宫腺细胞增生

3.癌细胞

