正常-病理对照图
-
1 睾丸(成人)
-
2 睾丸(新生儿)
上一节
下一节
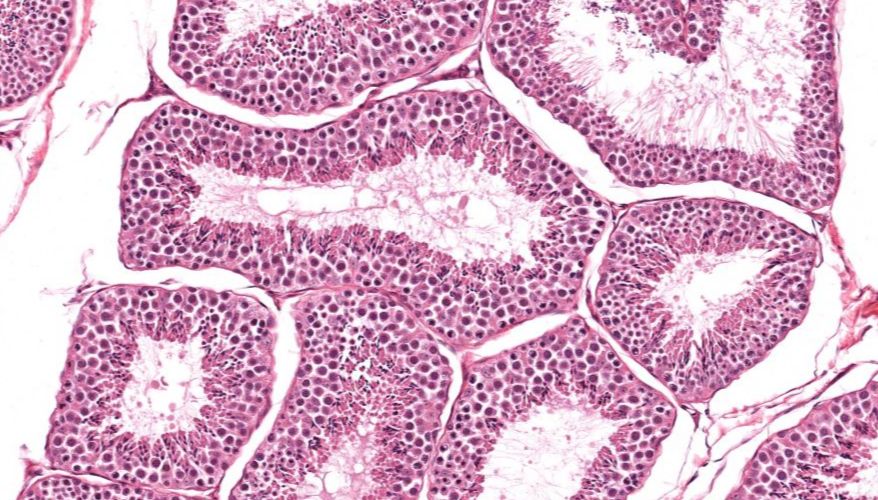
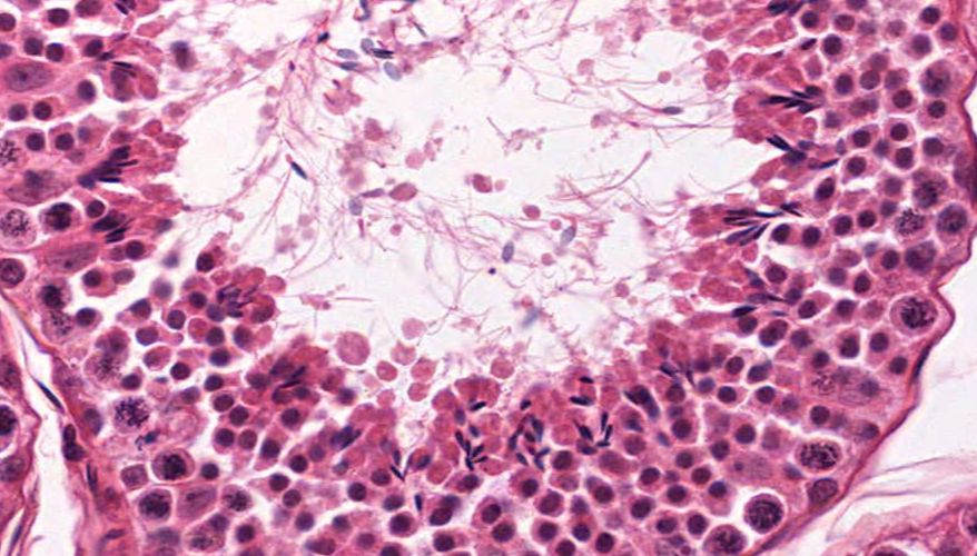
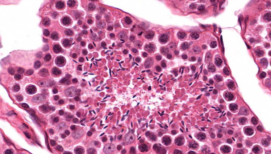
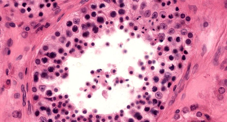
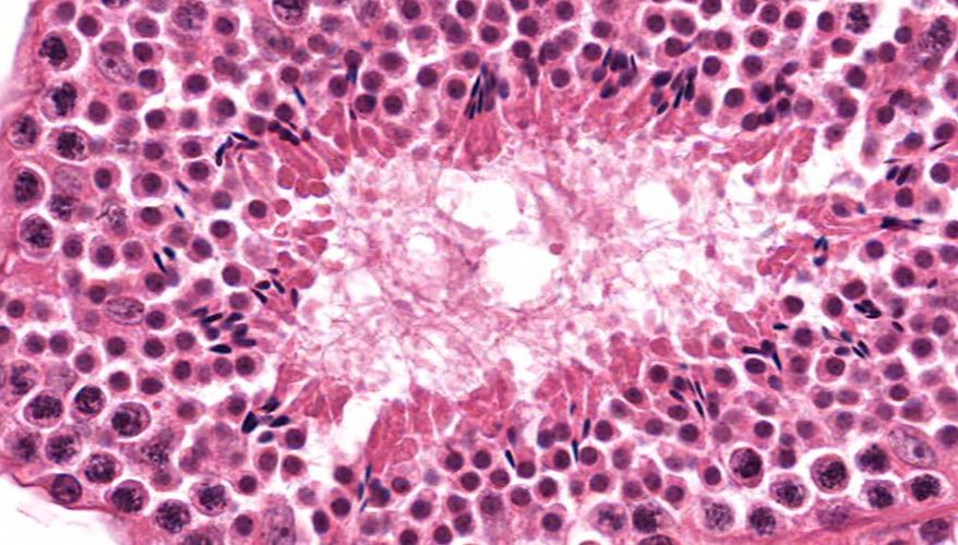
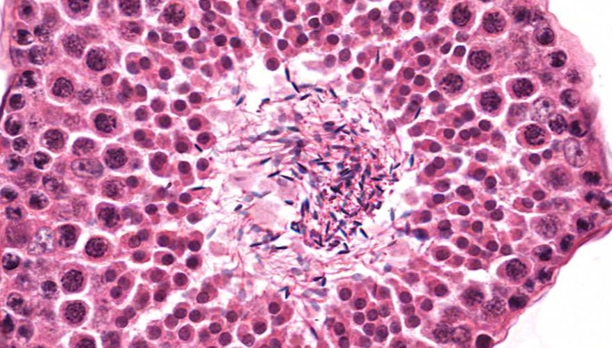
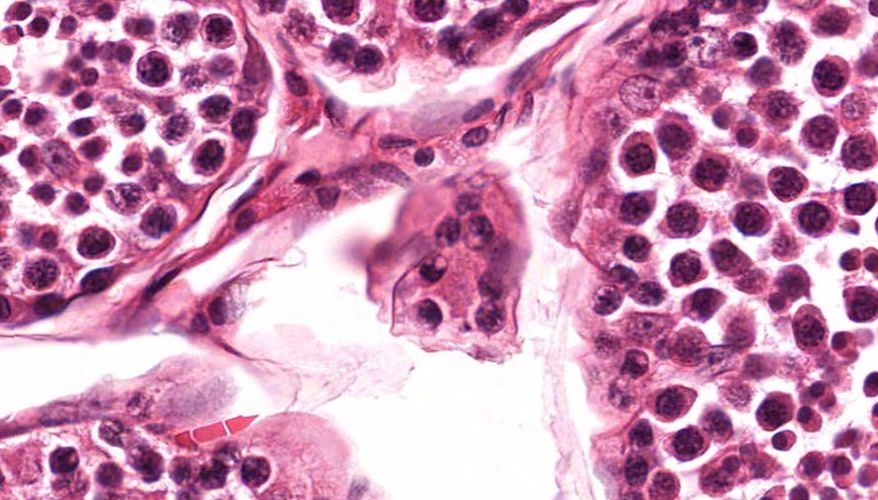
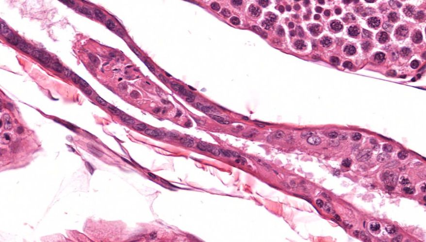
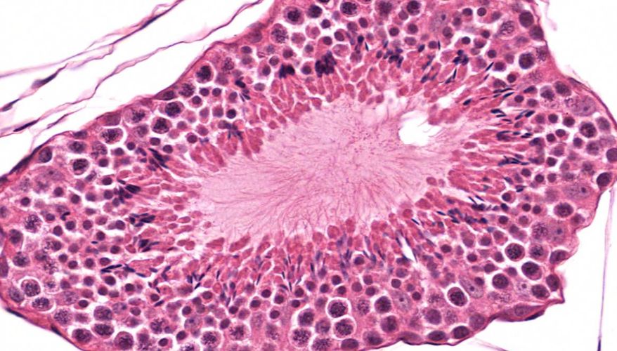
低倍镜:睾丸表面为鞘膜覆盖,其上皮为单层扁平上皮,鞘膜下是一层较厚的致密结缔组织,叫做白膜。白膜在睾丸后缘增厚,形成睾丸纵隔,其内可见不规则的腔隙,即睾丸网。睾丸内可见很多上皮性管道的切面,即生精小管的切面,呈圆形或椭圆形,管壁较厚,由生精上皮及其明显的基膜等组成。高倍镜:着重观察生精小管和其之间的睾丸间质。生精小管主要由生精上皮构成。生精上皮由生精细胞和支持细胞组成。生精细胞是一组细胞,依次自基膜向管腔面排列。
1.睾丸全景图

2.白膜

3.睾丸小叶

4.睾丸小叶间隔

5.生精小管

6.生精上皮

7.支持细胞

8.精原细胞

9.初级精母细胞

10.精子细胞

11.精子

12.睾丸间质细胞

13.直精小管

14.睾丸网

15.精子发生





