参考文献
-
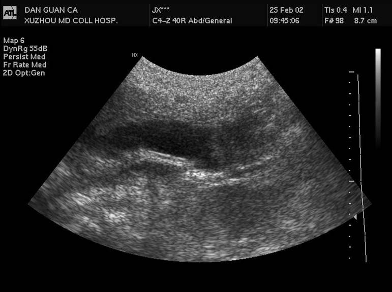
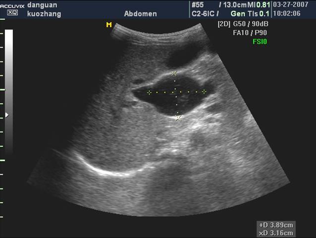
1 胆管结石
-
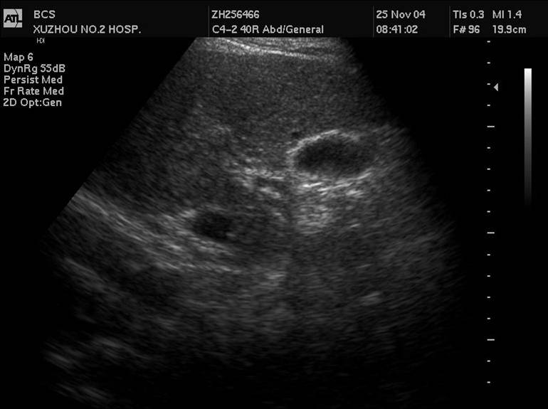
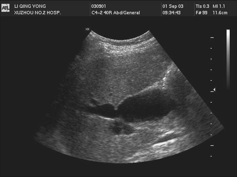
2 肝外胆管癌
-
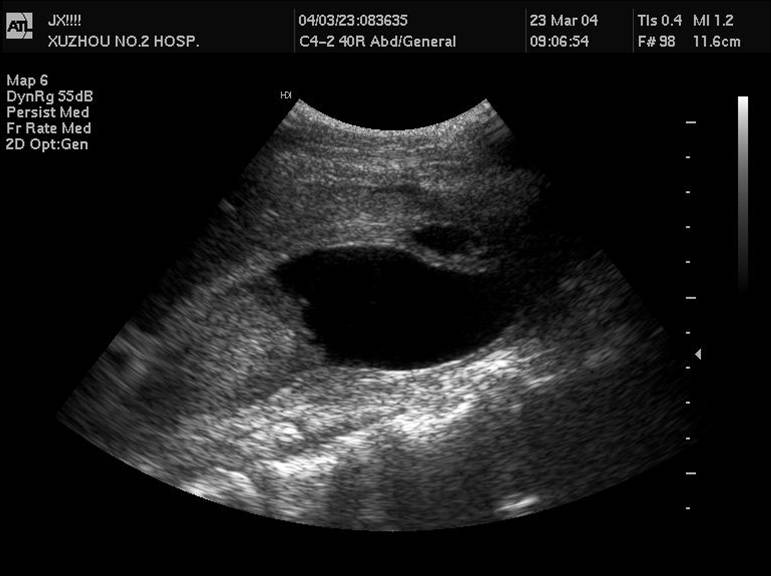
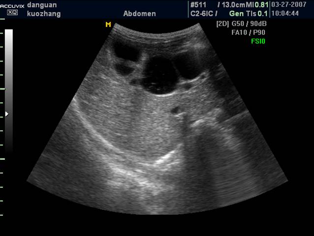
3 先天性胆管囊状扩张症
-
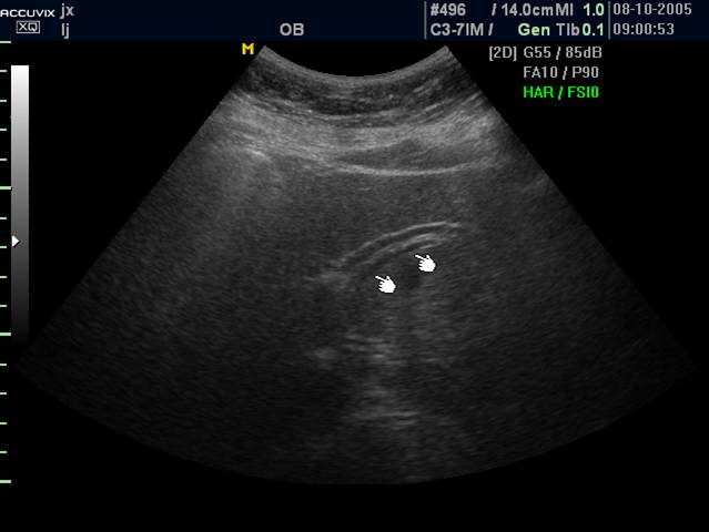
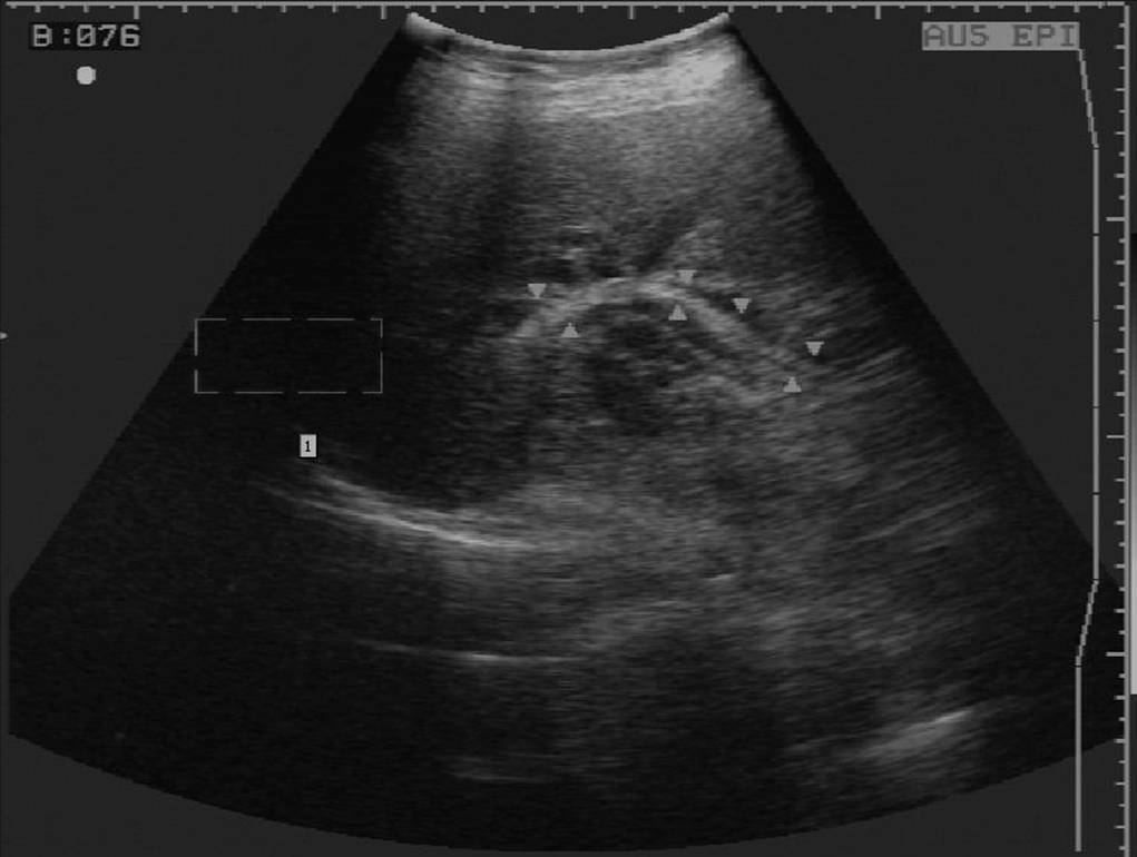
4 胆道蛔虫病
上一节
下一节
1任卫东,常才.超声诊断学.第3版.北京:人民卫生出版社,2017
2周永昌,郭万学.超声医学.第5版.北京:科学技术文献出版社,2006
3 李凤华,男性不育症超声动态图鉴.上海:上海交通大学出版社,2011
4 Rumack CM,Wilson SR,Charboneau JW.Diagnosticultrasound.4th edition.Mosby,2011:
















