病因病理
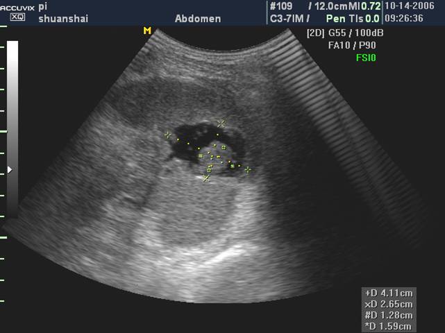
脾囊肿少见,可分寄生虫性和非寄生虫性囊肿,后者又分为真性囊肿和假性囊肿两类。真性囊肿的囊壁衬有分泌细胞,包括单纯性囊肿、表皮样囊肿、包虫囊肿、内膜异位症性囊肿 。假性囊肿的囊壁无内衬的分泌细胞,多由脾损伤血肿演变而来。
临床表现
1、单纯性脾囊肿一般无自觉症状
2、假性脾囊肿常有外伤史和左季肋部胀痛不适。
3、表皮样囊肿和包虫囊肿多表现为左上腹包块。
超声检查
二维超声图像
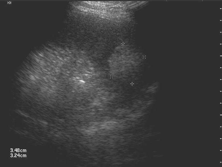
1、单纯性脾囊肿 有一般囊肿的特点
2、表皮样囊肿 (脾囊性畸胎瘤) 一般较大可显示畸胎瘤特点
3、脾包虫囊肿 多与肝包虫或其他脏器包虫囊肿并发
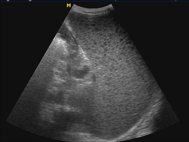
4、假性脾囊肿 血肿吸收机化后的囊肿 壁形态可不规则,内可见强回声斑点及条索
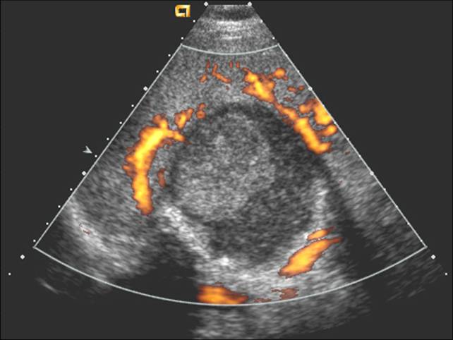
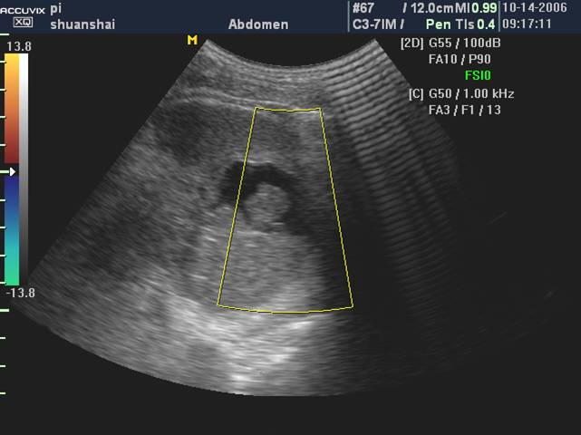
彩色多普勒
无血流信号
超声造影
无增强
单纯性脾囊肿:

假性脾囊肿:

脾血管瘤(Splenic Hemangioma)
病理及临床
海绵状血管瘤相对多见
一般无明显临床症状
二维超声图像
一个或数个
圆形或椭圆形
边界清晰规整
多呈高回声,亦可低回声或混合回声,极少呈无回声

脾淋巴瘤(Splenic Lymphoma)
病理
较少见
恶性淋巴瘤在脾居首位
分为弥漫型和局限型
声像表现
1、弥漫性脾肿大
脾脏增大,实质为均匀性中等回声或低回声
2、局限性病变
小结节型<1cm,大结节型1~3cm,大块型> 3cm
结节一般圆形或椭圆形,境界清晰
低回声,类囊肿回声




病理
腹部闭合性损伤中,脾外伤居于首位。
分为以下三种类型:
1、真性脾破裂
2、中央型破裂
3、包膜下破裂
中央型破裂(脾挫伤)
破裂发生在脾实质内,引起实质挫伤出血。
声像表现:实质内片状或团块状回声增强,或强弱不均,发展为局限性低或无回声区,也可发展成多发片状低回声区。


包膜下脾破裂(脾包膜下血肿)
脾包膜下血肿常伴有包膜一表浅部位的脾实质挫裂伤。
声像表现:该处包膜隆起,呈弧形凸出,包膜下为梭形无回声或低回声区。血肿内可有低回声团块和沉淀物,也可有条索状分隔样结构。


真性脾破裂
脾破裂累及包膜,引起不同程度出血
声像表现:脾包膜连续性中断、脾周积液、腹腔游离积液:少量出血,表现为左上腹积液;大量出血,弥漫整个腹部。
彩色多普勒
脾挫伤和血肿内无血流信号
超声造影
显示优于常规检查
脾动脉多支被堵塞后即引起脾梗死。
病因
左心内膜或心瓣膜血栓的脱落。
脾动脉内膜由于白血病细胞的浸润及内膜局限性纤维化。
镰刀型红细胞贫血时,脾内出现局灶性的梗死。
治疗门静脉高压时向脾动脉分支内注人碘油或明胶海绵致其血管闭塞而形成脾梗死。
临床表现
主要为剧烈上腹痛
声像表现
1、脾大
2、急性期脾梗死
单发或多发,大小不一
单发者楔形,基底宽,凸面向包膜,尖端指向脾门
内部回声呈大片回声减低区
中央发生坏死液化出现无回声区
CDFI梗塞区缺乏血流灌注因而不显示彩色血流信号。


3、陈旧性脾梗死
纤维化瘢痕化为不均匀分布的增强斑片状回声,钙化时出现圆形或不规则形强回声,伴声影




