肝脏的形态、轮廓
肝脏的膈顶部向下至肝门的横切面呈楔形。右叶大而厚,为楔底,钝圆。左叶小而薄,为楔尖。肝左叶后面为胃区强回声,下腔静脉、腹主动脉在肝尾叶的深部。肝脏的矢状切面近似三角形,底在膈下。肝膈面贴于前腹壁,脏面凹凸不平。
包膜与边缘
肝包膜因含有纤维结缔组织, 肝膈面包膜光滑呈纤细的强回声。肝左叶边缘锐利左下缘角在35~45°之间,右下缘稍钝圆,80°以内。肝与右肾之间有明显的强回声分界。


肝实质
正常肝实质显示中等回声,光点稀疏、细微、分布均匀,肝内管道系统走行正常,纹理清晰。

肝内血管
1、肝动脉 宽约0.3cm左右,峰值流速<50cm/s,占肝脏总血流量25%。
2、门静脉 主干宽0.8-1.4cm,血流速15-26cm/s,血流方向向肝,流速并非恒定
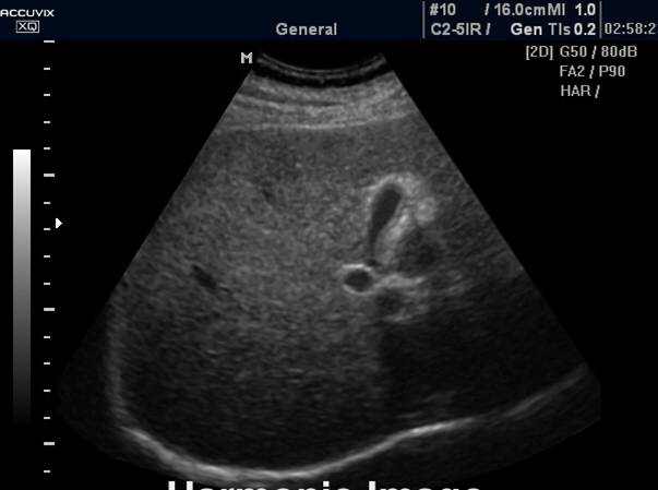
3、肝静脉 肝静脉与门静脉走行呈双手十指交叉状,肝静脉壁不易显示,直而柔软,管腔内血液显示清晰,血流频谱呈“W”形。

肝脏的韧带
1、肝圆韧带
横切面,左内外叶之间,门静脉左支矢状部与肝表面之间,强回声条索状,横断面呈强回声斑。

2、镰状韧带
通常不易看到
3、静脉韧带
高位肝脏横切面 肝左外叶与尾状叶之间,静脉韧带呈条索状强回声作为这两叶的分界。

肝脏各径线正常测值
━━━━━━━━━━━━━━━
径线 数值(cm)
━━━━━━━━━━━━━━━
左叶厚度 <6
左叶长度 <9
右叶厚度 <10
右叶斜径 <14
━━━━━━━━━━━━━━━
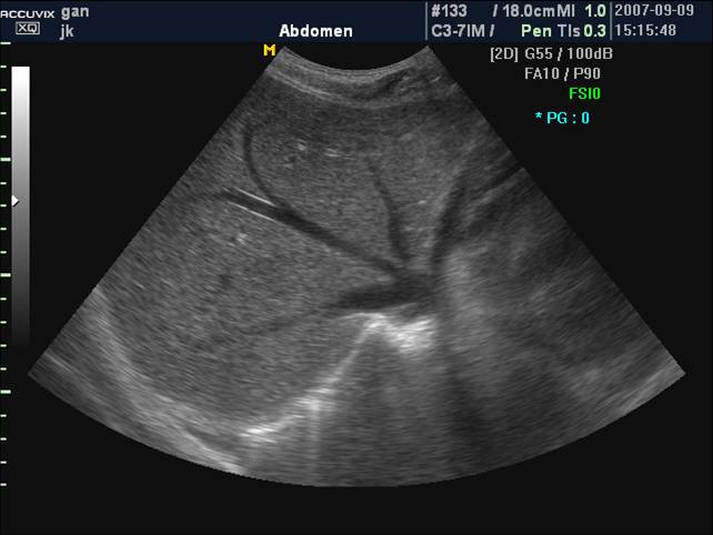
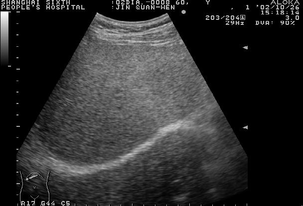
正常肝脏声像图:左图为肝右叶肋间切;右图为肝左叶剑下纵切

正常肝脏声像图:M型超声(右图)示靠近第二肝门附近的肝实质随心动周期变化而有伸缩,提示肝质地柔软

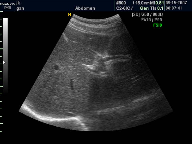
正常肝脏声像图:肝右肋缘下斜切
