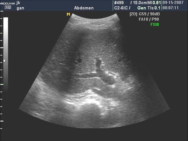
(一)肝静脉
肝静脉分三支即肝左静脉、肝中静脉和肝右静脉,三大肝静脉汇入下腔静脉位于膈肌下方约1cm处,称第二肝门。

分为主干型和分散型:
肝左静脉多为分散型,其主支位于左叶间裂内并进入左外叶上段和下段之间。
肝中静脉主干型多,一般主支大部分位于肝中裂内。
肝左静脉和肝中静脉可先合成短干,然后汇入下腔静脉。
肝右静脉多呈主干型,主干大部分位于右肝叶间裂中,单独汇入下腔静脉。

(二)门静脉
门静脉主干是由肠系膜上静脉和脾静脉在胰颈背侧汇合而成,居于胆总管和肝动脉之后。
门静脉从第一肝门开始,分左右两大支。左支沿横沟向左侧横行行走,名左支横段,待抵达左内、外叶交界处,折向足端走,与横段垂直,形成独特的“C”形结构称矢状段, 末端稍膨大称囊部,与肝圆韧带相连,后者为脐静脉闭锁后的残迹。


门静脉左干横部、矢状部及左内叶支和左外叶上、下段支的空间投影图像呈“工”字形:


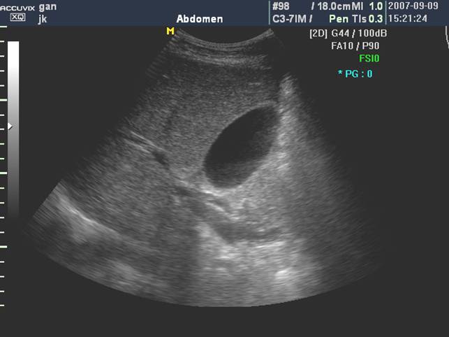
门静脉右支较短,约1.5cm左右,向右水平走行分成右前支和右后支,前支和后支分别再分成上段支和下段支:

门静脉右干及分支,当探头沿着门静脉主干右上方移动可显示右干,其远端“Y”型分叉:

门静脉主干及右支长轴和胆囊长轴呈空间"垂直",立体投影空间排列呈"飞鸟样":

(三)肝动脉
肝动脉位于门静脉的左前方。起源于腹主动脉第二腹侧支——腹腔动脉。在腹主动脉横切其分支显示最好,呈 “Y”型分叉,左支脾动脉,右支肝总动脉,肝总动脉向右分出胃十二指肠动脉,主干为肝固有动脉,在肝门分为左右两支。


(四)胆管系统
在肝内与门静脉走行基本一致。

(一)通过肝裂分叶
正中裂--左右两叶
左叶间裂(沿肝圆韧带和左纵沟)--左内叶和左外叶
左段间裂--左外叶上、下段
右叶间裂(由肝前缘胆囊切迹右侧部分的外中三分之一交界处,斜行至下腔静脉右缘)--右前叶和右后叶
右段间裂--右后叶上、下段



(二)通过肝静脉进行分叶
肝静脉主干在叶间裂或段间裂内行走,易于超声显示,最便于进行肝脏分叶、分段。
1. 肝右静脉行走于右叶间裂内-右前、后叶分界
2. 肝中静脉行走于正中裂的后半部和尾状叶内,右半肝与左半肝分界
3. 肝左静脉近端走行左叶间裂内-左内外叶分界
4. 肝左静脉远端位于左段间裂内-为左外叶上段和下段分界

肝左右叶的超声分界标志(肝中静脉)

肝左右叶的超声分界标志(胆囊切迹-下腔静脉左缘连线)

肝左内外叶的超声分界(肝圆韧带-门静脉左支矢状部-静脉韧带)

肝左外叶上下段的超声分界


肝右叶上下段的超声分界

