影像解剖学---继续教育

刘美英,刘志安,王玉兰,刘亚南,万法萍,马传响,张海锋,许海燕,于佳田。

目录

  • 1 教学材料
    • 1.1 教材-人体局部解剖学
    • 1.2 教学大纲
    • 1.3 教学日历
  • 2 绪论
    • 2.1 绪论
  • 3 背部
    • 3.1 背部导学单
    • 3.2 背部软组织
    • 3.3 脊柱和椎管
  • 4 下肢
    • 4.1 下肢导学单
    • 4.2 臀区
    • 4.3 股部
    • 4.4 膝部、小腿和踝部
  • 5 上肢
    • 5.1 上肢导学单
    • 5.2 胸前区和腋窝
    • 5.3 臂部、肘部和前臂
    • 5.4 四肢知识点测试题1
    • 5.5 腕管和手
    • 5.6 四肢知识点测试题2
  • 6 颈部
    • 6.1 颈部导学单
    • 6.2 颈部浅层、颈肌和肌间三角、颈深筋膜和筋膜间隙
    • 6.3 颈前区和胸锁乳突肌区
    • 6.4 颈外侧区和颈根部
    • 6.5 颈部临床案例
    • 6.6 颈部知识点测试题
  • 7 头部
    • 7.1 头部导学单
    • 7.2 面部浅层和腮腺咬肌区
    • 7.3 下颌支深区和舌下间隙
    • 7.4 颅顶
    • 7.5 头部知识点测试题
  • 8 胸部
    • 8.1 胸部导学单
    • 8.2 胸壁和膈、胸膜和胸膜腔
    • 8.3 心、肺
    • 8.4 纵隔
    • 8.5 胸部知识点测试题
  • 9 腹部
    • 9.1 腹部导学单
    • 9.2 腹壁
    • 9.3 腹膜和腹膜腔
    • 9.4 腹壁腹膜知识点测试题
    • 9.5 肝门静脉系
    • 9.6 十二指肠、胰
    • 9.7 结肠上区知识点测试
    • 9.8 肾、输尿管腹部、肾上腺
    • 9.9 腹主动脉、下腔静脉、乳糜池、腰丛、内脏神经
    • 9.10 结肠下区和腹膜后隙知识点测试题
  • 10 盆部会阴
    • 10.1 盆部和会阴部导学单
    • 10.2 盆壁、盆膈、盆筋膜和盆部血管神经
    • 10.3 盆腔脏器
    • 10.4 盆会阴部知识点测试题
  • 11 影解绪论、X线解剖
    • 11.1 X线部分导学单
    • 11.2 影解绪论
    • 11.3 头部X线解剖
    • 11.4 颈部X线解剖
    • 11.5 胸部X线解剖
    • 11.6 背部X线解剖
    • 11.7 四肢X线解剖
    • 11.8 腹部、盆会阴部X线解剖
    • 11.9 读片作业
  • 12 断层解剖绪论、头部断层影像解剖
    • 12.1 断层部分导学单
    • 12.2 断层解剖绪论
    • 12.3 头部应用解剖
    • 12.4 头部断层影像解剖
    • 12.5 读图作业
  • 13 颈部、胸部断层影像解剖
    • 13.1 颈部断层影像解剖
    • 13.2 胸部断层影像解剖
    • 13.3 读图作业
  • 14 腹部断层影像解剖
    • 14.1 腹部应用解剖
    • 14.2 腹部断层解剖
    • 14.3 读图作业
  • 15 盆部断层影像解剖
    • 15.1 盆部应用解剖
    • 15.2 盆部断层解剖
    • 15.3 读片作业
  • 16 四肢断层影像解剖
    • 16.1 四肢应用解剖
    • 16.2 四肢断层解剖
    • 16.3 读片作业
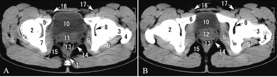
读片作业

下图为经耻骨体(A)和耻骨上支(B)的横断层CT(男),请写出图中数字标注的结构