目录

  • 1 口腔颌面部发育
    • 1.1 神经嵴、鳃弓和咽囊
    • 1.2 面部的发育
    • 1.3 腭的发育
    • 1.4 舌的发育
  • 2 牙的发育
    • 2.1 牙胚的发生和分化
    • 2.2 牙体组织的形成
    • 2.3 牙的萌出和替换
  • 3 牙体组织
    • 3.1 釉质
    • 3.2 牙本质
    • 3.3 牙髓
    • 3.4 牙骨质
  • 4 牙周组织
    • 4.1 牙龈
    • 4.2 牙周膜
    • 4.3 牙槽骨
  • 5 口腔黏膜
    • 5.1 口腔黏膜的组织结构
    • 5.2 口腔黏膜的分类及结构特点
    • 5.3 口腔黏膜的功能和增龄变化
  • 6 唾液腺
    • 6.1 唾液腺的一般组织学结构
    • 6.2 唾液腺的分布及其组织学特点
    • 6.3 唾液腺的功能与增龄性变化
  • 7 龋病
    • 7.1 龋病的概述
    • 7.2 龋病的病因和发病机制
    • 7.3 龋病的病理变化
  • 8 牙髓病
    • 8.1 牙髓炎
    • 8.2 牙髓变性和坏死
    • 8.3 牙体吸收
  • 9 根尖周炎
    • 9.1 急性根尖周炎
    • 9.2 慢性根尖周炎
  • 10 牙周组织病
    • 10.1 牙龈病
    • 10.2 牙周炎
    • 10.3 发生在牙周组织的其他病理改变
  • 11 口腔黏膜病
    • 11.1 口腔黏膜病基本病理变化
    • 11.2 口腔黏膜白色和红色病变
    • 11.3 口腔黏膜疱性和溃疡性病变
  • 12 唾液腺疾病
    • 12.1 唾液腺非肿瘤性疾病
    • 12.2 唾液腺肿瘤性疾病
  • 13 口腔颌面部囊肿
    • 13.1 牙源性囊肿
    • 13.2 非牙源性囊肿
    • 13.3 假性囊肿
    • 13.4 口腔、面颈部软组织囊肿
  • 14 牙源性肿瘤和瘤样病变
    • 14.1 良性牙源性上皮性肿瘤
    • 14.2 良性牙源性混合性肿瘤
    • 14.3 良性牙源性间叶性肿瘤
  • 15 口腔黏膜上皮肿瘤和瘤样病变
    • 15.1 恶性肿瘤
  • 16 口腔软组织和淋巴造血系统肿瘤与瘤样病变
    • 16.1 良性肿瘤和瘤样病变
  • 17 拓展资源
    • 17.1 口腔组织病理学教材PDF
    • 17.2 超星直播课(2020)
良性牙源性混合性肿瘤
  • 1 章节要点
  • 2 章节测验

第二节  良性牙源性混合性肿瘤

一、成釉细胞纤维瘤

一种较少见的牙源性肿瘤,其主要特征是牙源性上皮和间叶组织同时增殖,但不伴牙本质和牙釉质形成,因此它是一种真性混合性牙源性肿瘤。

1)临床表现

临床多见于儿童和青年人,平均年龄为15岁;男女性别无明显差异,最常的部位是下颌磨牙区,肿瘤生长缓慢,除颌骨膨大外,无明显症状。

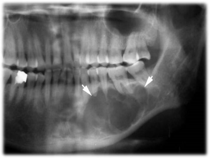
X线表现为界限清楚的放射透光区(图14.2-1),与成釉细胞瘤不易区别。

图14.2-1 成釉细胞纤维瘤(X线)

2)病理变化

肉眼观:肿瘤呈膨胀性生长,有包膜而无局部浸润(图14.2-2),切面呈灰白色。

图14.2-2 成釉细胞纤维瘤(肉眼

光镜下:肿瘤由上皮和间充质两种成分组成。肿瘤上皮呈条索状或团块状排列,类似于成釉细胞瘤,间叶成分由较幼稚的结缔组织组成,细胞丰富(图14.2-3)。上皮与结缔组织之间,有时可见狭窄的无细胞带,有时为呈玻璃样变的透明带。

图14.2-3 成釉细胞纤维瘤(光镜

3)生物学行为

成釉细胞纤维瘤不表现沿骨小梁间隙向周围浸润的特点,因此复发少见,预后较成釉细胞瘤好。

二、牙源性始基瘤

WHO2017年)新分类中新描述的一种牙源性混合性肿瘤,

1)临床表现

年龄3~19岁,下颌骨多见,影像学表现为境界清楚的放射透射影。本肿瘤预后较好,局部切除可治愈,暂无复发病例报道。

2)病理变化

光镜下,肿瘤由类似于牙乳头的、细胞多少不一、疏松排列的纤维组织和覆盖在周边的单层立方或柱状上皮构成(图14.2-4)。

图14.2-4 牙源性始基瘤

*三、牙瘤

成牙组织的错构瘤或发育畸形,不是真性肿瘤。其生长与牙发育类似,当牙瘤完全钙化后,肿物生长也随之停止。肿物内含成熟的牙釉质、牙本质、牙骨质和牙髓组织。

根据组织排列结构不同,牙瘤分为组合性牙瘤混合性牙瘤两种。

1)组合性牙瘤

临床:患者年龄较小,好发上颌切牙至尖牙区。

X线:形态及数目不一的牙样物堆积在一起(图14.2-5左)。

病变:见肿物由许多牙样结构组成,如同正常牙排列(图14.2-6)。

图14.2-5 组合性牙瘤

2)混合性牙瘤

临床:多见儿童和青年,好发部位为下颌前磨牙区和磨牙区。

X线:境界清楚的放射透光区,可见放射阻射性结节状钙化物(图14.2-6左)。

病变:牙体组织成分排列紊乱,相互混杂,无典型牙结构(图14.2-6右)。

图14.2-6 混合性牙瘤

四、牙本质生成性影细胞瘤

是一种具有局部侵袭性的肿瘤,术后易复发。

1)临床表现

发病年龄10~89岁不等,大多数发生于颌骨内。

X线显示界限清楚的放射透射或阻射混合影,多为单房性,邻近牙根吸收。

2)病理变化

光镜下,在成熟的结缔组织间质中可见成釉细胞瘤样上皮岛、影细胞和发育不良的牙本质形成(图14.2-7)。

图14.2-7 牙本质形成性影细胞瘤