-
1 章节要点
-
2 章节测验
第一节 良性牙源性上皮性肿瘤
★一、成釉细胞瘤
是一种较常见的牙源性上皮性肿瘤,约占牙源性肿瘤的60%以上,肿瘤内主要含成釉器样结构,无釉质或其他牙体硬组织形成,大多数发生于颌骨内,导致颌骨膨大。
生物学行为:肿瘤为良性肿瘤,但具有局部侵袭性,可恶变。
成釉细胞瘤分实性或多囊型成釉细胞瘤、单囊型成釉细胞瘤、骨外或外周型成釉细胞瘤和转移性成釉细胞瘤。
1.实性或多囊型成釉细胞瘤
简称成釉细胞瘤,是经典的骨内型成釉细胞瘤。
1)临床表现
常见30~49岁,无性别差异,多见于下颌骨,尤其以下颌磨牙区和下颌升至部最常见。肿瘤生长缓慢,临床上表现为无痛性、渐进性颌骨膨大。压之有乒乓球样感,可出现牙松动、移位或脱落,肿瘤较大时引起面部变形。
X线表现为单房或多房性透射影,边界清楚,牙移位、牙根吸收,埋伏牙类似含牙囊肿(图14.1-1)。

图14.1-1 成釉细胞瘤(X线)
2)病理变化
肉眼:肿瘤大小不一,剖面有囊性和实性两种成分(图14.1-2)。

图14.1-2 成釉细胞瘤(肉眼)
光镜下:肿瘤上皮岛或条索由两类细胞成分构成。一种为瘤巢周边的立方或柱状细胞,核呈栅栏状排列并远离基底膜(类似成釉细胞),另一种位于瘤巢中央,排列疏松,呈多角形或星形(类似星网状层细胞)(图14.1-3)。

图14.1-3 成釉细胞瘤(光镜)
成釉细胞组织结构和细胞形态变异较大,可分为六种类型。
一是滤泡型。肿瘤形成孤立性上皮岛,上皮岛中心部由多角形细胞组成,类似成釉器的星网状层,常发生囊性变,周边围绕一层立方或柱状细胞,类似成釉细胞(图14.1-4)。

图14.1-4 成釉细胞瘤(滤泡型)
二是丛状型。上皮增殖呈网状连结的上皮条索,周边为一层立方或柱状细胞,中心部细胞类似星网状层细胞,间质囊性变(图14.1-5)。

图14.1-5 成釉细胞瘤(丛状型)
三是棘皮瘤型。肿瘤上皮岛内呈现广泛的鳞状化生,可见角化珠,常出现在滤泡型成釉细胞瘤内(图14.1-6)。

图14.1-6 成釉细胞瘤(棘皮瘤型)
四是颗粒细胞型。肿瘤上皮细胞发生颗粒样变性,部分或全部取代肿瘤的星网状细胞,颗粒细胞大,呈立方、柱状或圆形,胞质充满嗜酸性颗粒(图14.1-7)。

图14.1-7 成釉细胞瘤(颗粒细胞型)
五是基底细胞型。肿瘤细胞密集成团,小而一致,缺乏星网状细胞分化(图14.1-8)。

图14.1-8 成釉细胞瘤(基底细胞型)
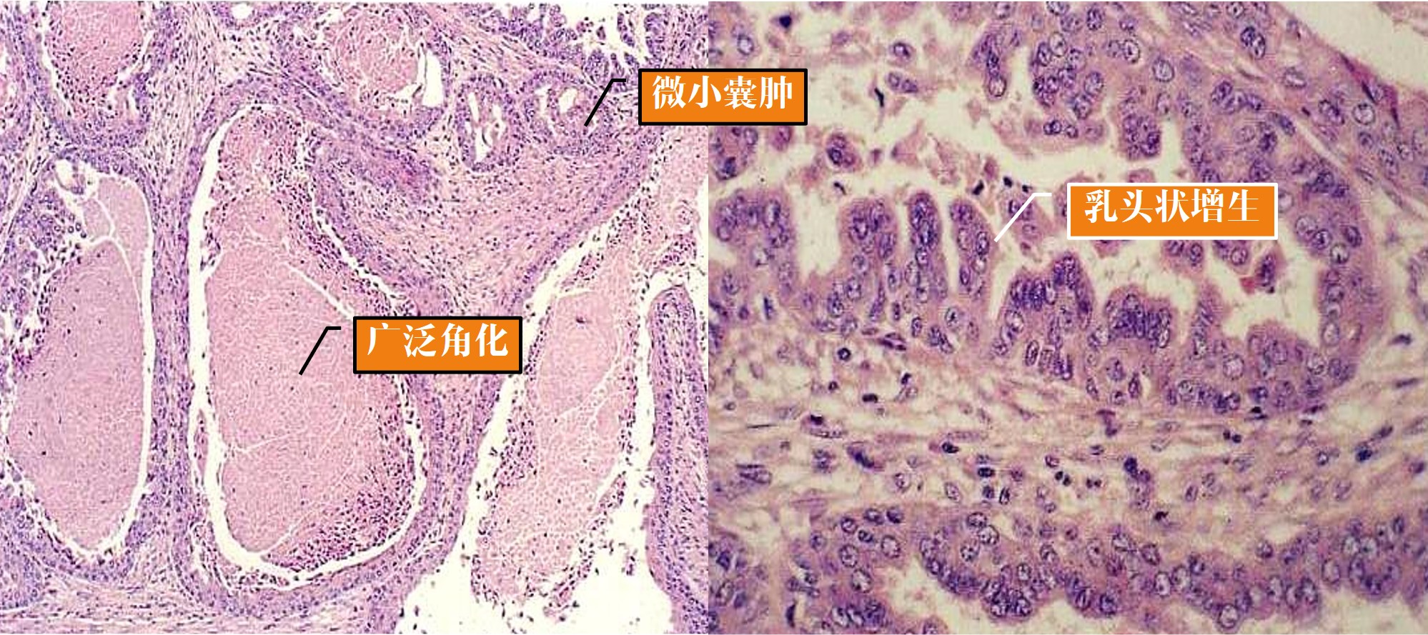
六是角化成釉细胞瘤。肿瘤内出现广泛角化,由多个充满角化物的微小囊肿构成,衬里上皮不全角化,伴有乳头状增生(图14.1-9)。

图14.1-9 角化成釉细胞瘤
2、单囊型成釉细胞瘤
是指临床和X线表现单囊性颌骨改变,类似于颌骨囊肿,组织学检查其囊腔的衬里上皮表现成釉细胞瘤样改变,增生的肿瘤结节可突入囊腔内和(或)浸润纤维组织囊壁。
1)临床表现
上多见于青年人,年龄在10-29岁,好发于下颌磨牙区。采取刮治术后复发率低(10%)。
X线表现为单房透射影(图14.1-10)。

图14.1-10 单囊型成釉细胞瘤(X线)
2)组织学亚型(图14.1-11左)
第I型为单纯囊性型(图14.1-11右),仅见上皮衬里,表现为典型成釉细胞瘤的形态特点。
第II型为伴囊腔内瘤结节型,瘤结节多呈丛状型成釉细胞瘤特点。
第III型为囊壁内浸润型,纤维囊壁内有肿瘤浸润岛,伴有或不伴有囊腔内瘤结节。

图14.1-11 单囊型成釉细胞瘤组织学亚型
3、骨外或外周型成釉细胞瘤
是指发生于牙龈(图14.1-12左)或牙槽黏膜而未侵犯颌骨的成釉细胞瘤亚型。约占所有成釉细胞瘤的1.3%~10%,平均年龄显著高于骨内型成釉细胞瘤,病理学表现与骨内型相同(图14.1-12右),易于早期发现和手术切除,无复发。

图14.1-11 外周型成釉细胞瘤
4、转移性成釉细胞瘤
原发瘤多为实性或多囊型,最常转移至肺部(60%),其次为淋巴结(28%)和骨(12%),原发瘤和转移瘤均表现良性成釉细胞瘤的组织学特点,如果组织学上存在异型性并发生转移考虑为成釉细胞癌。
成釉细胞瘤可能来源牙源性上皮或牙源性上皮剩余。
二、牙源性鳞状细胞瘤
由分化良好的鳞状上皮和纤维间质构成,通常发生于骨内,可能来自Malassez上皮剩余或牙板剩余。
组织学主要特点是分化良好的鳞状上皮岛位于成熟的结缔组织间质内,周边部细胞成扁平或立方状,中央区细胞缺乏星网状分化(图14.1-13)。

图14.1-13 牙源性鳞状细胞瘤
三、牙源性钙化上皮瘤
是指具有局部侵袭性的牙源性上皮性肿瘤,以肿瘤内出现发生钙化的淀粉样物质为主要特征,又称Pindborg瘤。
该肿瘤为良性肿瘤,但局部可浸润性生长,手术治疗有复发报道。可能来源埋伏牙的缩余釉上皮,或来自成釉器的中间层细胞。
1)临床表现
20~60岁之间,下颌多见,前磨牙和磨牙区最为常见,患者无特殊症状,仅见颌骨逐渐膨胀,X线显示不规则透射区内含大小不等的阻射性团块(图14.1-14)。

图14.1-14 牙源性钙化上皮瘤(X线)
2)病理变化
肉眼:颌骨膨大,剖面呈灰白或灰黄色,实性,可见埋伏牙(图14.1-15)。

图14.1-15 牙源性钙化上皮瘤(肉眼)
光镜:肿瘤由多边性上皮细胞组成,瘤细胞边界清晰,胞质微嗜酸性,细胞大小不一,瘤细胞的胞核有明显的多形性(图14.1-16),细胞间桥清晰可见,瘤细胞周边可见大量圆形淀粉样物质团块,部分发生钙化(图14.1-17)。

图14.1-16 牙源性钙化上皮瘤(光镜)

图14.1-17 牙源性钙化上皮瘤(淀粉样物质)
四、牙源性腺样瘤
因肿瘤内存在导管样或腺样结构,曾被称为腺样成釉细胞瘤。
1)临床表现
常见10-19岁,女性多见,肿瘤生长缓慢,无明显症状,好发上颌单尖牙区,骨内多见,常伴阻生牙。
X线显示边界清楚、单房性透射影,常围绕一个阻生牙牙冠(图14.1-18),类似于含牙囊肿。

图14.1-18 牙源性腺样瘤(X线)
2)病理变化
肉眼观:肿瘤较小,包膜完整。剖面呈实性或囊性,腔内可含牙(图14.1-19)。

图14.1-19 牙源性腺样瘤(肉眼)
光镜下:肿瘤上皮可形成不同结构(图14.1-20),一是结节状实性细胞巢,形成玫瑰花样结构,二是腺管样结构,形成环状的腺管样结构,三是梁状或筛状结构,四是多边形、嗜酸性鳞状细胞组成的小结节,又称牙源性钙化上皮瘤样区。肿瘤间质少。牙源性腺样瘤为良性肿瘤或错构瘤,刮治后不复发。


图14.1-20 牙源性腺样瘤(光镜)
3)组织来源:成釉器、缩余釉上皮或含牙囊肿的衬里上皮。

