-
1 章节要点
-
2 章节测验
第一节 牙源性囊肿
牙源性囊肿是指牙齿形成器官的上皮或上皮剩余发生的一组囊肿。一般可分为发育性和炎症性两大类。牙源性囊肿的衬里上皮主要来源于牙板上皮剩余、缩余釉上皮和Malassez上皮剩余。
(一)发育性牙源性囊肿
★一、含牙囊肿
又称滤泡囊肿,是指囊壁包含一个未萌芽的牙冠并附着于该牙牙颈部的囊肿。
1)组织来源:
缩余釉上皮。
2)临床表现:
多发生于10~39岁患者,男性多见,以下颌第三磨牙最常见,多为恒牙,囊肿生长缓慢、早期无自觉症状,X线表现为圆形透射区,边界清楚,囊腔内含一个未萌芽的牙冠(图13.1-1)。

图13.1-1 含牙囊肿(X线)
3)病理变化:
肉眼观:囊壁较薄,附着牙颈部,囊腔内含有牙冠(图13.1-2),囊液多呈黄色。

图13.1-2 含牙囊肿(肉眼)
光镜下:囊壁内衬复层鳞状上皮,较薄,仅2~5层,扁平或矮立方细胞,无角化,无钉突。纤维性囊壁内炎症不明显(图13.1-3)。

图13.1-3 含牙囊肿(光镜)
★二、牙源性角化囊肿
是一种内衬不全角化的复层鳞状上皮,具有潜在侵袭性的牙源性囊肿。
1)临床表现:
多见于10-29岁,男性多见,最常累及下颌骨磨牙及升支部,多为单发,其生长方式特殊,主要沿颌骨前后方向生长,因此多数患者无明显症状,有症状者主要表现为颌骨膨大,继发感染可出现疼痛、瘘管形成等。X线表现单房或多房性透光区,边缘有扇形切迹(图13.1-4),但总体上其X线表现多样,缺乏特异性,需要组织病理学诊断。

图13.1-4 牙源性角化囊肿(X线)
2)病理变化:
肉眼观:囊壁较薄,囊腔内有黄白色片状或干酪样物质(图13.2-5)。

图13.1-5 牙源性角化囊肿(肉眼)
光镜下:牙源性角化囊肿具有独特的组织学特点(图13.1-6)。1.衬里上皮厚度一致、常由5-8层复层鳞状上皮构成、无上皮钉突;2.上皮表面呈波浪状或皱折状,表层呈不全角化;3.棘细胞层较薄、移行较突然、常呈细胞内水肿;4.基底细胞层界限清楚,呈柱状或立方状、核远离基底膜、呈栅栏状排列;5.纤维性囊壁较薄,一般无炎症;6.纤维囊壁内有时可见微小子囊或上皮岛。

图13.1-6 牙源性角化囊肿(光镜)
3)复发率(>20%):
主要于囊壁薄易碎手术难以完整摘除,且残留上皮具有高度增殖能力有关,此外囊壁含有微小子囊或卫星囊;囊肿生长具有局部侵袭性;口腔黏膜上皮的基底细胞增殖也与复发有关。
4)组织来源:
多数认为来自牙板上皮剩余或Serres上皮岛、还有可能来自口腔黏膜。
三、发育性根侧囊肿
发生于活髓牙根侧或牙根之间的牙源性发育性囊肿,与炎症刺激无关。
1)临床表现:
可见于任何年龄,平均年龄为50岁,70%发生于下颌,以尖牙和前磨牙最多见,临床多无症状。X线表现为圆形、卵圆形边界清楚的透射区,一般有硬化边缘,直径多小于25cm(图13.1-7)。

图13.1-7 发育性根侧囊肿(X线)
2)病理变化:
光镜下:发育性根侧囊肿衬里上皮为较薄、无角化的鳞状或立方状上皮,1~5层细胞,核小,固缩状。局灶性上皮增厚形成上皮斑(图13.1-8),由梭形或椭圆形透明细胞构成,囊壁为成熟的胶原纤维,炎症不明显。

图13.1-8 发育性根侧囊肿(光镜)
四、龈囊肿
是指发生于牙槽黏膜的牙源性囊肿,可发生于成人和婴儿。
1)组织来源:
牙板上皮剩余。
2)病理变化
成人龈囊肿:的衬里上皮厚薄不一,较薄的区域只有1~2层扁平或立方细胞,较厚的区域为复层鳞状上皮,无钉突,无角化,可形成上皮斑,细胞透明,类似发育性根侧囊肿。
婴儿龈囊肿:多位于紧贴牙龈上皮下方的固有层内,其衬里上皮为较薄的角化鳞状上皮,囊腔充满脱落的角化物。
五、腺牙源性囊肿
又称牙源性产黏液囊肿或唾液腺牙源性囊肿,是一种罕见的颌骨囊肿。
病理变化:
衬里上皮内形成囊性小腔隙(图13.1-9),内含黏液或分泌物,衬里上皮表层细胞及内衬小腔隙细胞,呈嗜酸性立方或柱状。衬里上皮可局灶性增厚,形成类似发育性根侧囊肿和成人龈囊肿所见的上皮斑。

图13.1-9 腺牙源性囊肿(光镜)
★六、牙源性钙化囊肿
是一种单纯囊肿,其内衬上皮含类似于成釉细胞瘤的上皮成分和影细胞,后者可发生钙化。
1)临床表现:
任何年龄,平均年龄30岁,好发部位为颌骨前份,有时也可发生于颌骨外的软组织,X线表现为界限清楚的放射透光区,单房或多房(图13.1-10),有时可伴有牙瘤发生。

图13.1-10 牙源性钙化囊肿(X线)
2)病理变化:
光镜下:病变呈囊性,衬里上皮的基底细胞呈立方状或柱状,胞核远离基底膜,其浅层由排列疏松的星形细胞构成,类似于星网状层,衬里上皮和纤维囊壁内可见数量不等的影细胞灶,并有不同程度的钙化(图13.1-11)。影细胞呈圆形或卵圆形,境界清楚,胞质红染,胞核消失而不着色,在胞核部位形成阴影(图13.1-12)。

图13.1-11 牙源性钙化囊肿(光镜)

图13.1-12 影细胞
(二)炎症性牙源性囊肿
★一、根尖周囊肿
是颌骨内最常见的牙源性囊肿,常发生于死髓牙的根尖部。其发展过程历经牙齿龋坏、牙髓炎症和坏死、根尖周组织炎症和免疫反应、Malassez上皮剩余增殖以及上皮团块中央液化、囊性变等一系列病理过程。
1)临床表现:
多见于20~49岁,男性多见,60%发生于上颌,以上颌切牙和单尖牙最为多见,伴有死髓牙,X线显示圆形或卵圆形透射区,边缘整齐,界限清晰(图13.1-13)。

图13.1-13 根尖周囊肿(X线)
2)病理变化:
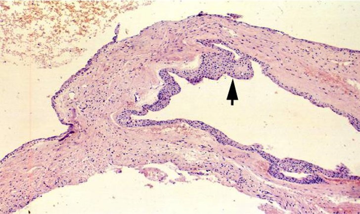
肉眼观:囊肿大小和囊壁厚薄不一。
光镜下:囊壁内层由无角化复层鳞状上皮构成,呈网状增生,厚薄不一,部分区域上皮缺如,伴有大量的炎细胞浸润(图13.1-14)。囊腔和囊壁内有胆固醇晶体沉积,呈针状裂隙(图13.1-15),裂隙周边伴有多核巨细胞反应。衬里上皮内可见透明小体(图13.1-16)。透明小体为弓形线状或环状的均质性小体,呈嗜伊红紫色,可位于衬里上皮和纤维囊壁内。

图13.1-14 根尖周囊肿(光镜)

图13.1-15 根尖周囊肿(胆固醇结晶)

图13.1-16 根尖周囊肿(透明小体)
二、炎症性根侧囊肿
发生于部分萌出或刚刚萌出牙根颊侧的炎症性囊肿,常有冠周炎反复发作史。受累牙为活髓。
1)分类:
牙旁囊肿:多见(60%),发生于下颌第三磨牙颊侧(图13.1-17左)。
下颌颊侧根分叉囊肿:发生于下颌第一或第二磨牙颊侧。
2)病理变化:
镜下囊壁内衬无角化复层鳞状上皮,厚薄不一,结缔组织囊壁有大量炎症细胞浸润,部分囊壁可见胆固醇结晶和异物巨细胞(图13.1-17右)。

图13.1-17 炎症性根侧囊肿

