-
1 章节要点
-
2 章节测验
第二节 唾液腺肿瘤
一、唾液腺上皮性良性肿瘤
★1)多形性腺瘤(pleomorphic adenoma)
①概念
包膜情况不一,以结构多形性为特征。
②病因
最常见的唾液腺肿瘤(71.6%);任何年龄,30-60岁最多见,女性略多于男性;
腮腺最多见(80%),小唾液腺(腭部),生长缓慢;大小不定;多呈不规则形,表面结节、软硬不一,可恶变。③临床表现
③病理变化
肉眼观察:
多为不规则结节状(图12.2-1)。剖面多为实性,灰白色或黄色;可见囊腔,内含透明黏液,有时见软骨样组织或角化物;多数肿瘤包膜完整。黏液样结构为主或小唾液腺不完整或无包膜。

图12.2-1 多形性腺瘤(肉眼)
光镜观察:
肿瘤细胞的类型多样,组织结构复杂。基本结构为腺上皮、肌上皮、黏液、黏液样组织和软骨样组织。
腺管样结构(图12.2-2):腺上皮呈立方或矮柱状,核圆形,主要为导管样结构形成细胞。腺管外围为梭形的肌上皮细胞或柱状的基底细胞。管腔内有粉染的均质性黏液。有的管腔扩张,形成囊腔,囊壁为扁平细胞。

图12.2-2 多形性腺瘤(腺管样结构)
肌上皮结构(图12.2-3):分为浆细胞样细胞、梭形细胞、透明肌上皮细胞和上皮样细胞四种形态。肌上皮结构中可见巢状鳞化,细胞间桥,角化珠。

图12.2-3 多形性腺瘤(肌上皮结构)
黏液样组织(图12.2-4):细胞呈星形或梭形,排列疏松,连成网状,为结缔组织性黏液。

图12.2-4 多形性腺瘤(黏液样组织)
软骨样组织(图12.2-5):似透明软骨,大小不一,空泡状。

图12.2-5 多形性腺瘤(软骨样组织)
④生物学行为
良性肿瘤。包膜内常有瘤细胞侵入,近黏液样成分包膜薄、不完整或无包膜,易复发;病程长者或多次复发易恶变。
恶变指征:生长突然加快、出现神经浸润症状、肿瘤与周围组织黏连、破溃等。
⑤组织发生
闰管或闰管储备细胞。
2)肌上皮瘤(myoepithelioma)
①病理变化
肉眼观察:
圆形或结节状;包膜完整或不完整;切面实性,灰白色或黄褐色,有时含有半透明胶冻状物。
镜下观察:
肿瘤细胞形态多样,包括梭形细胞、浆细胞样细胞、上皮样细胞、透明细胞。
②生物学行为
良性肿瘤,切除后很少复发;以透明细胞为主的肌上皮瘤属恶性肿瘤。病期长或多次复发可恶变。
③组织发生
与多形性腺瘤同源。
★3)Warthin瘤(Warthin tumor)
①概念
由腺上皮构成,具特征性双层腺上皮结构。
②临床特点
仅次于多形性腺瘤;50~70岁男性多见;绝大多数发生于腮腺和腮腺的淋巴结;生长缓慢的无痛性肿块。
③病理变化
肉眼观察:
圆形或卵圆形肿物,直径2~100px,质软;包膜完整,界限清楚;剖面常见大小不等囊腔,内含液体,囊腔内可有乳头状突起(图12.2-6);少数为实性,灰褐色或暗红色。

图12.2-6 Warthin瘤(肉眼)
光镜观察:
肿瘤由上皮和淋巴样组织构成(图12.2-7)。

图12.2-7 Warthin瘤(光镜)
囊腔内衬上皮由双层细胞构成,腔面侧为大嗜酸粒细胞,柱状上皮细胞;排列呈栅栏状,基底侧细胞较小,呈扁平状或立方状。
囊腔内含嗜伊红性分泌物,偶有胆固醇结晶、变性上皮细胞和淋巴细胞。
肿瘤间质为不同程度的反应性淋巴样组织,常见淋巴滤泡形成。
④生物学行为:良性肿瘤,术后复发少。
⑤组织发生:多数认为来自腮腺内或腮腺周围淋巴结内异位唾液腺导管的纹管。
二、唾液腺上皮性恶性肿瘤
★1)黏液表皮样癌(mucoepidermoid carcinoma)
①概念
由黏液细胞、中间细胞和表皮样细胞构成的恶性唾液腺上皮性肿瘤。
②临床表现
为儿童和成人常见的唾液腺恶性肿瘤;30~50岁多见,女性多见;儿童唾液腺恶性肿瘤多为此瘤;临床表现与肿瘤细胞分化程度有关。
③病理变化
肉眼观:
高分化:常无包膜,形状圆形或不规则。切面灰白色或粉红色,其中可见大小不等的囊腔,内含黏液(图12.2-8)。

图12.2-8 高分化黏液表皮样癌(肉眼)
低分化:无包膜,分界不清。切面灰白色,实性,囊腔很少,常见出血、坏死。
镜下观:
肿瘤由表皮样细胞、黏液细胞和中间细胞构成。
根据三种细胞的比例和分化,可将其分为高、中、低分化三种(图12.2-9/10/11)。

图12.2-9 低分化黏液表皮样癌

图12.2-10 高分化黏液表皮样癌

图12.2-11 中分化黏液表皮样癌
④生物学行为:分化程度不同,恶性程度不同。
⑤组织发生:排泄管储备细胞。
★2)腺样囊性癌(adenoid cystic carcinoma)
①概念
一种基底细胞样肿瘤,由上皮细胞和肌上皮细胞排列成管状、筛状和实性巢等不同的形态结构。又称圆柱瘤。
②临床表现
唾液腺恶性肿瘤仅次于黏液表皮样癌(28% );多见于40~60岁,腮腺、腭腺居多,舌下腺肿瘤多为此瘤;肿瘤生长缓慢,病期较长,质地较硬。但呈浸润性生长,表面突出不明显,浸润周围神经。
③病理变化
肉眼观:
圆形或结节状,无包膜、呈浸润性生长,界不清;切面灰白,可见出血和囊性变(图12.2-12)。

图12.2-12 腺样囊性癌(肉眼)
镜下观:
肿瘤实质细胞:导管内衬上皮细胞和变异肌上皮细胞(图12.2-13)。
导管内衬上皮细胞:立方状,大小较一致,胞浆少,透明,胞核圆形,较大,深染。
变异肌上皮细胞:扁平状、梭形或不规则。

图12.2-13 腺样囊性癌(光镜)
1.腺性(筛状)型:含有筛孔状囊样腔隙(12.2-14)。

图12.2-14 腺样囊性癌(腺性型)
2.管状型:形成小管状或条索状结构为主(图12.2-15)。

图12.2-15 腺样囊性癌(管状型)
3.实性型:团块状,排列成大小不等上皮团(图12.2-16)。

图12.2-16 腺样囊性癌(实性型)
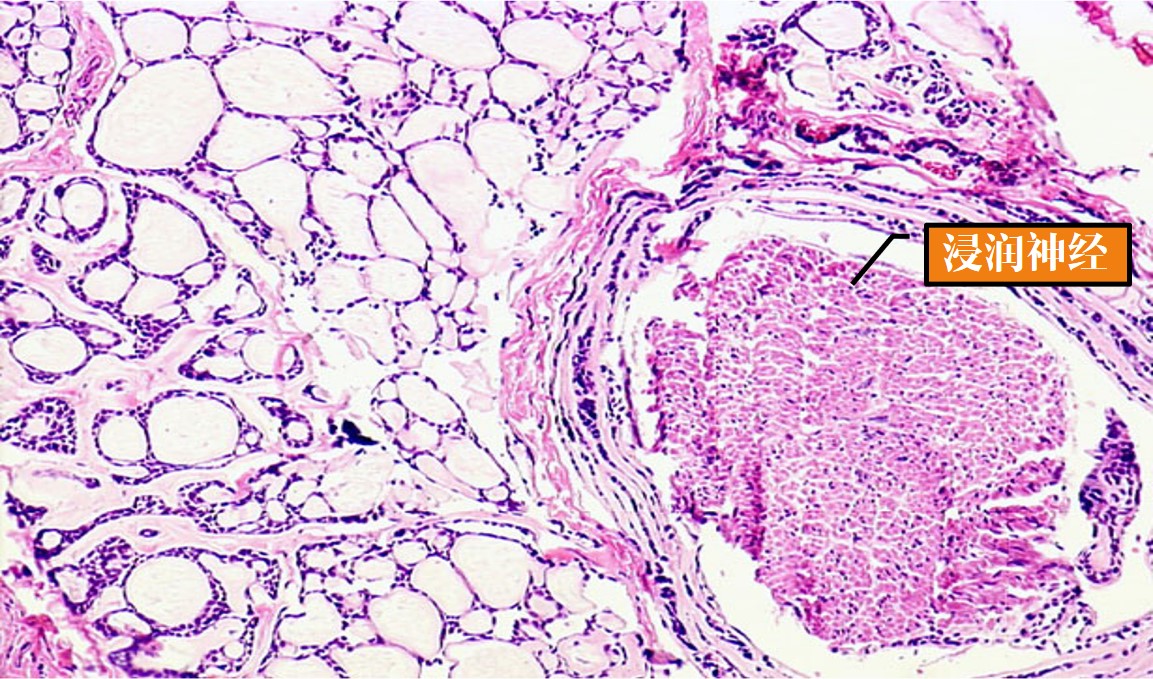
间质常有玻变,肿瘤细胞常浸润神经(图12.2-17)。

图12.2-17 腺样囊性癌(浸润神经)
④生物学行为:与细胞形态不一致(“is awolf in sheep clothing”)。复发、转移率较高,是唾液腺恶性肿瘤中恶性程度较高者。
⑤组织发生:唾液腺闰管的储备细胞或闰管、排泄管的基底细胞。
3)腺泡细胞癌(acinic cell carcinoma)
①概念
肿瘤中部分肿瘤细胞含有酶原颗粒,呈浆液性腺泡细胞分化,肿瘤中可含有闰管细胞,为低度恶性肿瘤。
②临床表现
80%以上发生于腮腺,生长缓慢,实质性,活动,可发生局部淋巴结转移或远处转移。
③病理变化
肉眼,圆形或卵圆形,质地较软,包膜薄大多不完整,剖面实性,分叶状,可见囊腔和坏死(图12.2-18)。

图12.2-18 腺泡细胞癌(肉眼)
镜下,含有腺泡样细胞,闰管样细胞,空泡样细胞,透明细胞和非特异性腺样细胞。
腺泡样细胞:圆形或多边形,含酶原颗粒,核小、偏位;
闰管样细胞:立方或矮柱状,均质状,核居中;
空泡样细胞:圆形或卵圆形,大小不一,空泡,核偏位;
非特异性腺样细胞:圆形或多边形,界限不清。
根据肿瘤细胞排列分成实体型,微囊型,滤泡型,乳头囊状型(图12.2-19/20/21/22)。

图12.2-19 腺泡细胞癌(实体型)

图12.2-20 腺泡细胞癌(微囊型)

图12.2-21 腺泡细胞癌(滤泡型)

图12.2-22 腺泡细胞癌(乳头囊状型)
④生物学行为:低度恶性肿瘤,彻底切除预后良好。
⑤组织发生:闰管细胞。
4)多形性低度恶性腺癌(polymorphous low-grade adenocarcinoma)
①概念
是以细胞形态的一致性、组织结构的多样性、浸润性生长和低转移潜能为特征的唾液腺上皮性恶性肿瘤。
②临床表现
小唾液腺,腭部(60%),主要表现为缓慢生长的无痛性肿块。
③病理变化
肉眼观:无包膜,浸润性生长,剖面实性,黄褐色分叶状。
镜下观:细胞形态的一致性,组织结构多样性及浸润性生长方式。

