-
1 章节要点
-
2 章节测验
第一节 口腔黏膜病基本病理变化
★1)过度角化( hyperkeratosis)
①概念
黏膜或皮肤的角化层过度增厚。
②临床表现
乳白色或灰白色。
③病理改变(图11.1-1)
过度正角化-核消失、粒层明显;
过度不全角化-核未消失、粒层不明显。

图11.1-1 过度角化
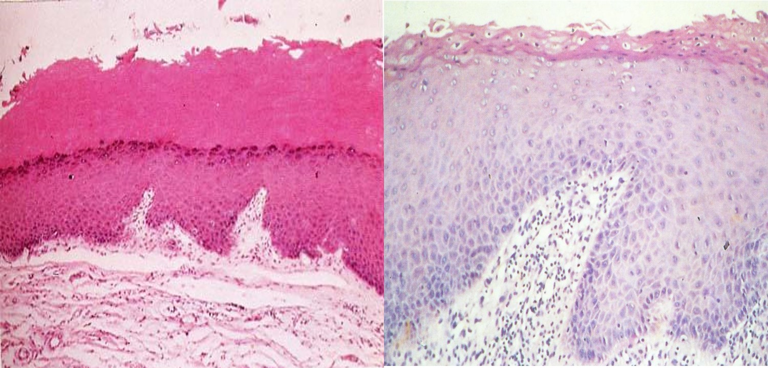
★2)角化不良( dyskeratosis)
①概念
上皮棘层/基底层内,个别/一群细胞的角化。
②病理变化
良性角化不良(图11.2-2):高度增生的上皮钉突内,细胞无异形性。

图11.1-2 良性角化不良
恶性角化不良(图11.1-3):异常增生的上皮内,可见胞核,细胞有异形性。

图11.1-3 恶性角化不良
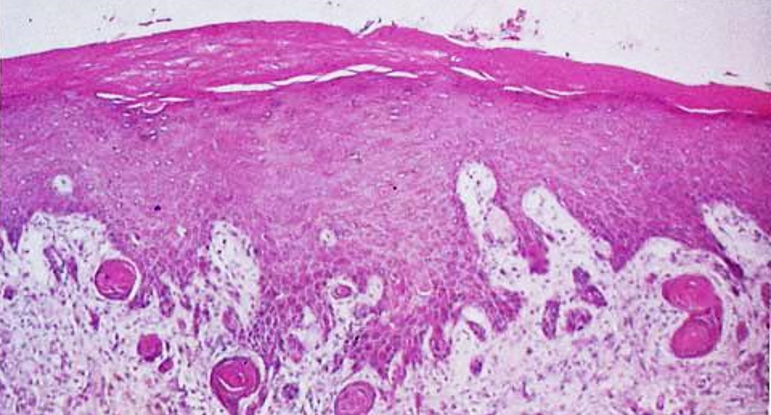
3)棘层增生( acanthosis)
①概念
棘细胞层增厚,常伴钉突延长或增宽。
②病变
为细胞数目增多,伴有细胞体积增大。

图11.1-4 棘层增生
③临床
见于白斑。
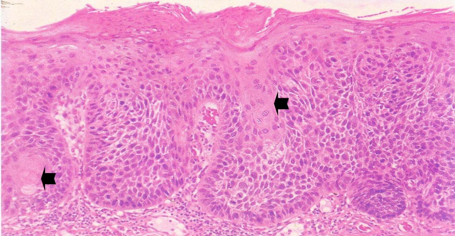
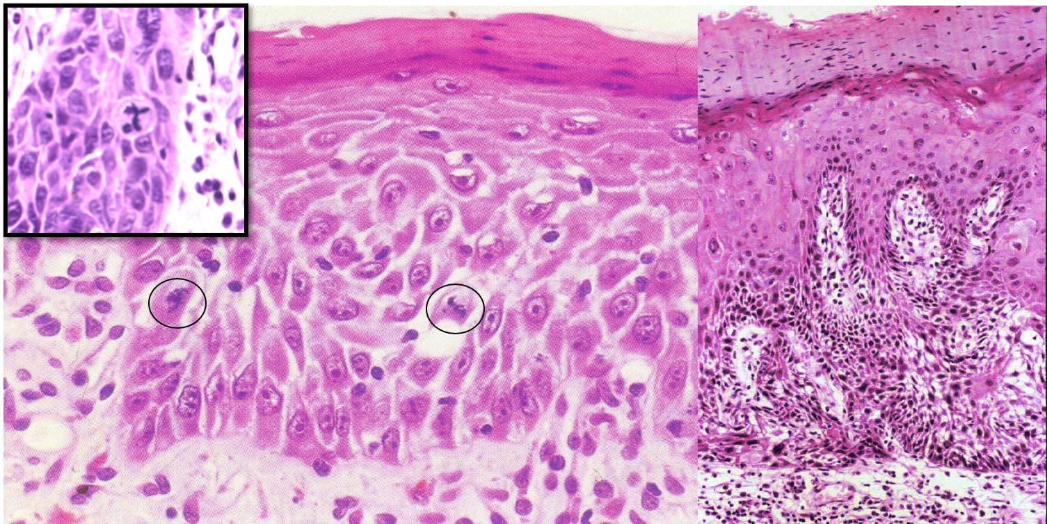
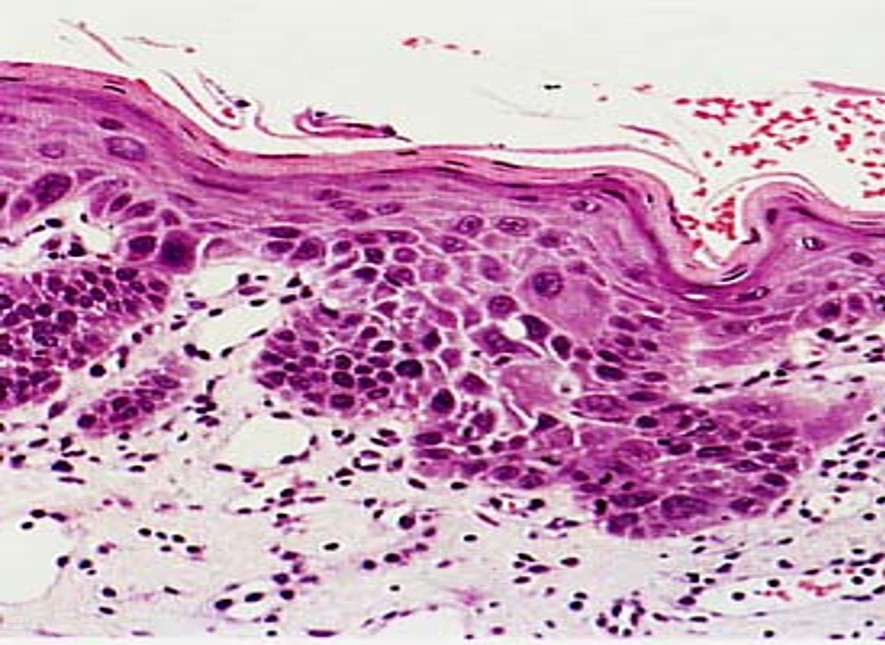
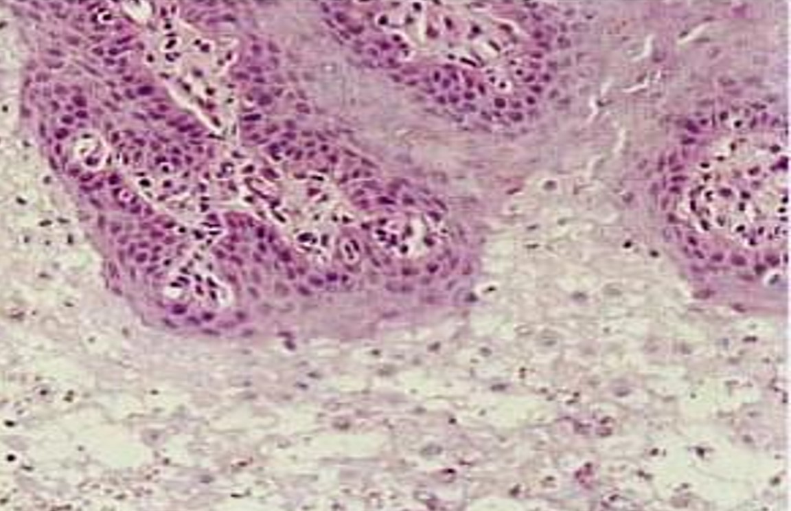
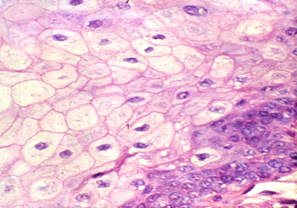
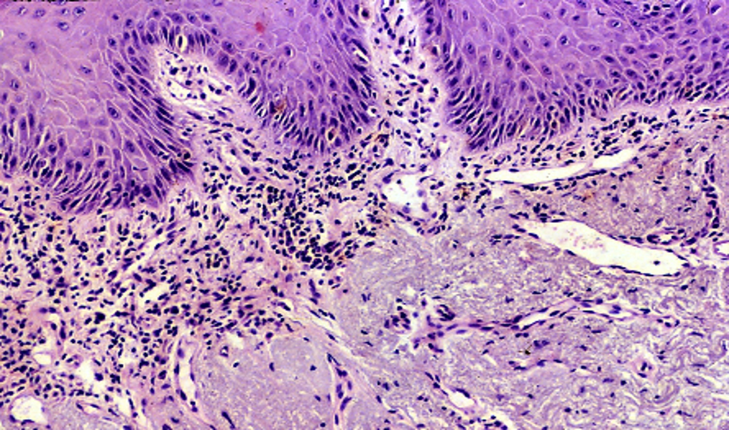
★4)上皮异常增生(epithelial dysplasia)
①概念
上皮总的紊乱,与非典型增生不同。
②根据严重程度
分轻、中、重度上皮异常增生。
③具体表现
上皮基底细胞极性消失;出现一层以上基底样细胞;核浆比例增加;上皮钉突呈滴状(图11.1-5);上皮层次紊乱(图11.1-6);有丝分裂象增加,可见少数异常有丝分裂;上皮浅表1/2出现有丝分裂;细胞多形性;细胞核浓染;核仁增大;细胞黏着力下降(图11.1-7);在棘细胞层中单个或成团细胞角化。

图11.1-5 上皮异常增生

图11.1-6 上皮异常增生

图11.1-7 上皮异常增生
5)上皮萎缩( epithelial atrophy)
①概念
上皮棘层细胞数量减少,上皮层变薄(图11.1-8)。

图11.1-8 上皮萎缩
②临床
见于慢性盘状红斑狼疮、扁平苔藓等。
6)海绵形成( spongiosis)
①概念
上皮细胞间由于水肿液聚积,细胞间隙加宽,棘细胞间桥拉长或断裂(图11.1-9)。

图11.1-9 海绵形成
②临床
见于黏膜炎症。
7)基底细胞空泡性变及液化(vaculation and liquefaction of basal cell)
①概念
基底细胞内水肿,细胞稍增大,胞浆呈空泡状,称空泡性变;水肿严重时,细胞发生液化溶解,细胞排列不齐,基底膜不清,甚至消失(图11.1-10)。

图11.1-10 基底细胞空泡性变及液化
②临床
见于扁平苔藓和红斑狼疮。
8)气球样变( ballooning degeneration)
①概念
上皮细胞内水肿,体积明显增大变圆色浅(图11.1-11)。

图11.1-11 气球样变
②临床
见于病毒性黏膜病。
9)网状变性( reticular degeneration)
①概念
上皮细胞由于严重细胞内水肿,部分细胞破裂,残存细胞壁相互连结成网状,网眼内充以水肿液,严重时形成多房性水疱(图11.1-12)。

图11.1-12 网状变性
②临床
见于病毒感染,如单纯疱疹,疱疹性口炎。
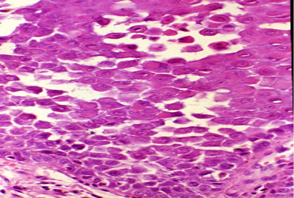
10)细胞凋亡( cell apoptosis)
①概念
是一种受基因控制的主动性细胞自杀过程,为生理性细胞死亡的一种形式。
②病理变化
细胞皱缩,胞浆嗜酸深染,细胞间失去连接,核碎裂后形成凋亡小体(图11.1-13)。

图11.1-13 细胞凋亡
★11)棘层松解( acantholysis)
①概念
棘层细胞间桥溶解、断裂,细胞解离,形成裂隙或疱(图11.1-14)。

图11.1-14 棘层松解
②临床
见于天疱疮。
★12)疱( vesicle)
①概念
黏膜或皮肤内贮存液体。
②临床
水疱、血疱及脓疱。
③病理改变(图11.1-15)
棘层内疱:位置:棘层内;成因:棘层松解;特点:浅,壁薄,易破。
基底下疱:位置:基底层下方;成因:基底细胞变性;特点:深,壁厚,不易破。

图11.1-15 棘层内疱和基底下疱
13)糜烂( erosion)
①概念
上皮浅层破坏,未侵犯上皮全层(图11.1-16)。

图11.1-16 糜烂
②病变特点
鲜红,表面平滑而湿润,愈后不留瘢痕。
14)溃疡( ulcer)
①概念
黏膜或皮肤表层坏死脱落形成凹陷(11.1-17)。

图11.1-17 溃疡
②病变类型
浅层溃疡:破坏上皮层,不留瘢痕。如复发性阿弗他溃疡;
深层溃疡:波及黏膜下层,遗留瘢痕。如复发性坏死性黏膜腺周围炎。
15)皲裂( rhagade)
①概念
粘膜或皮肤发生的线状裂口(图11.1-18)。

图11.1-18 皲裂
②原因
系由某些疾病或炎性浸润使组织失去弹力变脆而成,如核黄素缺乏时可引起。
16)假膜( pseudomembrane)
①概念
也叫伪膜,为灰白色或黄白色的膜。假膜由炎症渗出的纤维素形成网架,将坏死脱落的上皮细胞和各种白细胞聚集在一起而形成(图11.1-19)。

图11.1-19 假膜
②区别
黏膜的角化:白色但不能撕脱
17)斑( macule)
①概念
是黏膜或皮肤上的颜色异常,大小不等,不高起,不变厚,也无硬度改变。
②类型
红色斑:固有层血管增生、扩张及充血;
黑斑:基底层黑色素细胞/固有层噬黑色素细胞/含铁血黄素/黏膜内金属颗粒沉积。
18)丘疹( papule)
①概念
黏膜或皮肤上的小突起,1~5mm,较硬,色灰或红,消失后不留痕。基底为圆形或椭圆形,顶端有尖、圆、扁平各形不一。患麻疹早期,在颊粘膜出现。
②病理变化
上皮增厚;浆液渗出;炎症细胞浸润。
19)嗜碱性变( basophilic degeneration)
①概念
一种胶原纤维的变性、膨胀、断裂,形成无定形弱嗜碱性排列不规则的纤维团块或颗粒,HE染色呈浅灰蓝色(图11.1-20)。

图11.1-20 嗜碱性变
②临床
见于老年性角化病、红斑狼疮、日光性唇炎等。
20)痂( crusts)
通常发生于皮肤。口腔主要发生于唇红部,多为黄白色的痂皮,如伴有出血,则呈深红褐色。

图11.1-21 血痂
成分:纤维素性渗出+炎症性渗出。

