唾液腺的分布及其组织学特点
-
1 章节要点
-
2 章节测验
上一节
下一节
第二节 唾液腺的分布及其组织学特点
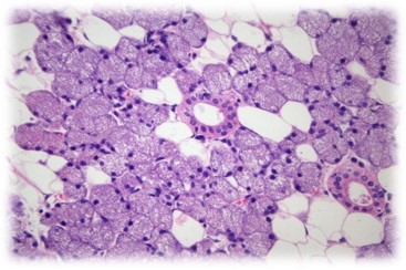
一、腮腺(parotid gland)
组织学特点(图6.2-1):纯浆液腺、闰管长、分泌管多;大量脂肪;少量淋巴结分布。
导管开口位置:上颌第二磨牙相对颊粘膜。

图6.2-1 腮腺
二、下颌下腺(submandibulargland):大部分位于颌下三角内。
组织学特点(图6.2-2):混合腺,以浆液性腺泡为主;少量黏液性腺泡和混合性腺泡。闰管短,分泌管最长。
导管开口位置:舌系带两侧肉阜。

图6.2-2 下颌下腺
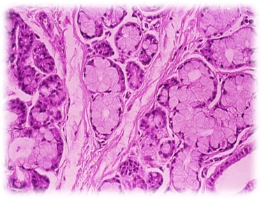
三、舌下腺(sublingual gland):是一对较大和若干个较小的腺体所组成。是三对大唾液腺中最小的一对。
组织学特点(图6.2-3):混合腺,以黏液性腺泡为主;纯浆液细胞少,只见混合性腺泡,导管系统不发达。
导管开口位置:下颌下腺导管。

图6.2-3 舌下腺
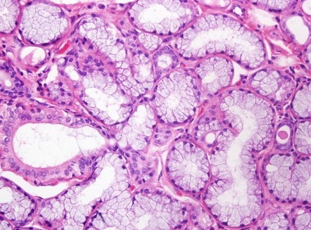
四、小唾液腺(minor salivarygland):包括唇腺、颊腺、舌腺、腭腺、舌腭腺和磨牙后腺。位于黏膜固有层和黏膜下层。
组成:唇、颊、舌、腭、舌腭、磨牙后腺。
特点:唇(图6.2-4)、颊、磨牙后腺为混合性腺体,以黏液腺为主;舌腭、腭腺为纯黏液腺;舌腺含多种腺。

图6.2-4 唇腺
表1 各唾液腺组织学特点


