-
1 章节要点
-
2 章节测验
第二节 口腔黏膜的分类及结构特点
口腔黏膜根据其所在的部位和功能可以分为三类:咀嚼黏膜、被覆黏膜和特殊黏膜。
一、咀嚼黏膜(masticatory mucosa)
包括(硬)腭黏膜和牙龈。在咀嚼时承受压力和摩擦。其特点如下:
①上皮有角化(正角化时有明显的颗粒层、不全角化时颗粒层不明显。)
②棘层细胞间桥明显。
③固有层厚,乳突多而长,与上皮嵴呈指状镶嵌,形成良好的机械附着。
④胶原纤维束粗大并排列紧密。
⑤固有层深部或直接附着于骨膜上,形成黏骨膜;或借黏膜下层与骨膜相连。咀嚼黏膜与深部组织附着牢固,不能移动。
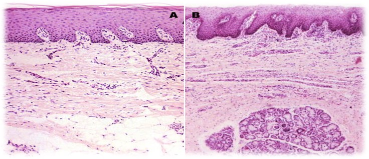
1.(硬)腭黏膜:由两部分组成,前2/3为硬腭,后1/3为软腭。两者相延续,有明显的分界。
①硬腭黏膜:呈浅粉红色,表面角质层较厚。根据有无粘膜下层可将其分为四部分(牙龈区、中间区、脂肪区、腺区)(图5.2-1)。牙龈区和中间区没有粘膜下层,固有层与骨膜紧密相连;脂肪区和腺区有粘膜下层,有很多胶原纤维将脂肪和腺体分成若干大小不一、形状各异的小隔(图5.2.2左)。腺区内的腺与软腭连为一体,为纯黏液腺。

图5.2-1 硬腭黏膜
②软腭黏膜:无角化、固有层乳头少而短、粘膜下层疏松、含腭腺(图5.2-2右)。

图5.2-2 硬腭黏膜和软腭黏膜
2. 牙龈:见牙周组织。
二、被覆粘膜(lining mucosa)
口腔黏膜中除咀嚼黏膜和舌背黏膜以外均为被覆黏膜。其表面平滑、粉红色,无角化。固有层含胶原纤维、弹力纤维和网状纤维。与咀嚼黏膜相比较,有以下特点:
① 胶原纤维束不如咀嚼黏膜粗大。
② 上皮与结缔组织交界比较平坦。
③ 结缔组织乳头较粗短。
④ 有较疏松的黏膜下层。
⑤ 被覆黏膜富有弹性,有一定的活动度。
1.唇
皮肤:无角化复层鳞状上皮,中间层较厚,固有层为致密CT。有皮肤附属器
唇红:上皮薄、有角化、黏膜下层无小唾液腺和皮脂腺(故易干裂)(图5.2-3)。

图5.2-3 唇红
黏膜:下方有唇腺。
2. 颊粘膜:颊黏膜借黏膜下层附着于颊肌上,有一定的张力。在咀嚼活动时不会出现皱褶。在口角后方有时出现轻微角化,称为白线(linea alba)。颊黏膜组织结构与唇黏膜相似,其特点如下:
①固有层结缔组织较致密。
②黏膜下层较厚。
③脂肪较多。
④有较多的小唾液腺,称为颊腺。
颊黏膜有时可出现成簇的粟粒状淡黄色小颗粒,为异位的皮脂腺,称为福代斯斑(Fordycespot)。
3.口底黏膜:薄而松弛、固有层乳头短、黏膜下层含有脂肪组织。在舌下皱襞处有舌下腺。口底黏膜与下颌侧牙龈相连,两者有明显的界限;向后与舌腹黏膜相延续。
4. 舌腹黏膜:薄而光滑、上皮无角化、结缔组织乳头多而短。黏膜下层不明显,黏膜紧接舌肌束周围的结缔组织。
5.软腭黏膜:与硬腭黏膜相延续,颜色较深、固有层血管较多、与黏膜下层以弹力纤维分隔、黏膜下层含有唾液腺。
三、特殊黏膜(specialized mucosa):即舌背粘膜。
它与口腔任何部位的黏膜都不相同。具体变现为:①功能上属于咀嚼黏膜,但又有一定的延伸性,属于被覆黏膜的特点。②舌背黏膜表面有许多不同类型的乳头(每一个乳头内部都有一个固有层形成的轴心,称为初级乳头;初级乳头的固有层继续向上皮延伸,形成的大小不等、数目不定的更小的突起,称为次级乳头。)。③黏膜上皮有味觉感受器---味蕾。④复层鳞状上皮,无黏膜下层。⑤固有层分布有许多舌肌、血管、胶原纤维和弹力纤维。

图5.2-4 特殊黏膜
1. 丝状乳头(filiform papilla):数目最多、遍布于舌背、舌尖部最多。在青春期时期最发达,至老年渐平滑。其特点如下(图5.2-5):
① 体积较小、高约1~3mm、尖端多向后方倾斜,末端有毛刷样突起。
②乳头表面有透明角化上皮细胞。
③上皮的浅层细胞经常有角化和脱落现象。
若角化上皮剥落延迟,同时与食物残渣、唾液、细菌等混杂,附着于乳头表面,即成舌苔;在舌苔剥脱使舌背呈地图样时,称为地图舌。舌苔的色泽、分布、厚薄、干腻等变化可反应一些全身状况的改变,临床上是中医辨证论治的重要依据。

图5.2-5 丝状乳头
2. 菌状乳头(fungiform papilla):数目较少、分布于丝状乳头之间,位于舌尖和舌侧缘。其特点如下(图5.2-6):
①色泽较红,呈圆形头大颈细的突起状。高约0.5~1.5mm,直径为0.4~1.0mm。
②上皮较薄、表面无角化。
③固有层血管丰富,因而呈红色。
④有的菌状乳头的上皮内可见少数味蕾,有味觉感受作用。
当多个菌状乳头增生、肿胀、充血时,舌表面似草莓状,称为草莓舌;当菌状乳头、丝状乳头均萎缩,致使舌乳头消失呈光滑的片状、平如镜时,称为光滑舌或镜面舌。

图5.2-6 菌状乳头
3. 轮廓乳头(vallate papilla):体积最大、数目最少、约8~12个。沿界沟前方拍成一列。其特点如下(图5.2-7):
①乳头呈矮柱状,高约1~1.5mm,直径1~3mm。
②每个乳头的四周均有深沟(轮廓沟)环绕,轮廓沟外的舌黏膜稍隆起,形成乳头的轮廓结构。
③乳头的表面上皮有角化,侧壁即轮廓沟上皮无角化。
④上皮内有许多染色浅的卵圆形小体,称为味蕾。
⑤在轮廓沟底附近的舌肌纤维束间有较多的纯浆液腺,及味腺,或称为埃伯纳腺(Ebner gland)。
⑥ 味腺导管开口于轮廓沟底。

图5.2-7 轮廓乳头
4. 叶状乳头(foliate papilla):位于舌侧缘后部,在人类乳头为退化器官,呈5~8条平行排列的皱襞。正常状态下,此乳头不明显,炎症时往往肿大、且伴疼痛(图5.2-8)。

图5.2-8 叶状乳头
5. 味蕾(taste bud):是由上皮分化的味觉感受器,主要分布于轮廓乳头靠近轮廓沟的侧壁上皮。功能是感受味觉(舌体的菌状乳头处的味蕾主要感受甜、咸味;叶状乳头处感受酸味;轮廓乳头、软腭及会厌处主要感受苦味。)
LM:是位于上皮内的卵圆形小体,长约80um,厚约40um。基底部位于基底膜上、表面由角质形成细胞覆盖、中央形成圆孔即味孔通于口腔。由粗大的亮细胞和细长的暗细胞组成(图5.2-9)。近味孔处的细胞顶部细胞质有指状突起称为味毛。

图5.2-9 味蕾
EM:味蕾由四种细胞构成:
I型----暗细胞(60%):胞质密度大、顶端胞质含致密颗粒、胞质顶端有30~40个微绒毛。
II型---亮胞质细胞(30%):微绒毛少、顶部胞质终止在味孔中。
III型细胞(7%):形态似II型细胞,无微绒毛、细胞顶端钝圆,近味孔。
Ⅳ型细胞(3%):位于味蕾底部,称为基底细胞。神经末梢从味蕾基底部进入味蕾,可一直分布到近味孔处,与I型和III型细胞有化学突触形成,与其他细胞无化学突触形成,因此I型和III型细胞可能是味细胞。味蕾细胞与周围上皮细胞之间由连接复合体封闭。

