-
1 理论知识
-
2 微课视频
-
3 PPT
-
4 思维导图
第三节 消化性溃疡

消化性溃疡(peptic ulcer) 指发生于胃和十二指肠的溃疡。急性或慢性过程,以慢性最多见,故又称慢性消化性溃疡。该病多见于青壮年,胃溃疡较十二指肠溃疡发病年龄晚约10年。十二指肠溃疡较胃溃疡多见,两者之比约3∶1,两个部位均有者称复合性溃疡。
(一)病因及发病机制
目前认为,胃、肠粘膜防御屏障的破坏是导致酸性和酶性消化而形成溃疡的主要原因。正常的胃粘膜防御屏障包括:①粘液-碳酸氢盐屏障,其隔离和中和作用,避免胃液对粘膜的自我消化;②粘膜上皮屏障,其完整和较强的再生能力构成第二道防线;③丰富的粘膜血流可清除损伤因子,提供分泌和再生的营养物质,以保证屏障功能。

在某些因素长期作用下导致屏障的破坏,如:①HP感染,其通过分泌的酶(尿素酶、蛋白酶、磷脂酶等)和炎症介质(白细胞三烯、趋化因子等)等而导致粘膜上皮和血管内皮的损伤。②胃酸分泌过多,尤对于十二指肠溃疡而言。其与壁细胞的数量增多和反应性增强密切相关。如副交感神经的长期兴奋而持续产生乙酰胆碱、胃泌素细胞分泌增多等均可使胃酸分泌增多。③胃排空延缓和胆汁返流,尤对于胃溃疡而言。④解热镇痛药、抗癌药、非甾醇类抗炎药如消炎痛、布络芬等均可导致胃粘膜损伤。研究较多的如阿斯匹林,可破坏胃粘膜屏障,抑制保护胃粘膜的前列腺素的合成。⑤环境因素如吸烟、受寒和不良饮食习惯等。⑥遗传因素,十二指肠溃疡中O型血者较多,其发病与ABO血型和血型物质ABH分泌状态的基因特性有关。

(二)病理变化
好发部位:十二指肠溃疡多发生于球部的前壁或后壁,直径一般<1cm。发生于球部以下的溃疡称球后溃疡,球部前、后壁同时有称对吻溃疡。胃溃疡多发生于胃小弯近幽门处,尤胃窦部,直径一般<2cm。胃和十二粘肠均有溃疡时称复合性溃疡。
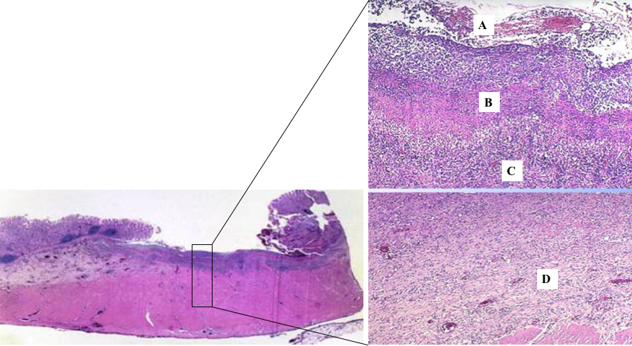
大体:典型的溃疡呈圆形或卵圆形,边缘整齐,底部平坦,深浅不一。浅者仅累及粘膜下层,深者可达肌层或浆膜层。切面呈漏斗状或潜掘状(如下图),溃疡表面常覆以纤维素性膜或伴化脓而呈灰白或灰黄,溃疡周围粘膜皱襞呈轮辐状向溃疡处集中。


镜下,活动性溃疡的底部由表面至深层分四层:①渗出层(A):由不等量的急性炎性渗出物如嗜中性粒细胞和纤维素等构成;②坏死层(B):由坏死的细胞,组织碎片和纤维蛋白样物质构成的凝固性坏死;③肉芽组织层(C);④瘢痕层(D)。瘢痕层内可见中、小动脉管壁增厚、管腔狭窄及血栓形成 (增生性动脉炎)。另可见神经节细胞和神经纤维变性或增生,有时可形成创伤性神经瘤。溃疡壁处可见粘膜肌层和肌层的粘连或融合。

(三)结局和并发症
1.愈合(healing) 渗出、坏死组织被吸收排除后由肉芽组织填充及瘢痕形成,相邻粘膜上皮再生,覆盖表面而愈合。
2.出血(hemorrhage) 最常见的并发症,发生率20—25%。大便潜血检测阳性。少数因大血管破裂后大出血,可表现为呕血或柏油样大便,严重者因失血性休克而死亡。
3.穿孔(perforation) 发生率5%。溃疡穿透浆膜达游离腹腔致急性穿孔,引起急性弥漫性腹膜炎,导致剧痛、板状腹,甚至休克。如溃疡穿透较慢,且穿透前已与相邻器官和组织粘连、包裹,则称慢性穿孔,可形成局限性腹膜炎。
4.幽门梗阻、狭窄(pyloric obstruction or stenosis) 溃疡周围组织充血、水肿或反射性痉挛可形成功能性梗阻。由溃疡愈合、瘢痕形成和组织收缩形成器质性梗阻即狭窄。临床可出现胃潴留、呕吐,长期可致水、电解质失衡和代谢性碱中毒。
5.癌变(malignant transformation) 发生率1%,多与胃溃疡相关。十二指肠溃疡通常不发生癌变。

(四)临床病理联系
上腹部长期性、周期性和节律性疼痛是溃疡病的主要临床特征。可呈钝痛、烧灼痛或饥饿样痛。剧痛常提示穿孔。十二指肠溃疡常表现空腹痛、饥饿痛和夜间痛,胃溃疡常表现为进食后痛。疼痛常因精神刺激、过度疲劳、饮食不规则、气候骤变等诱发或加重。










