-
1 理论知识
-
2 微课视频
-
3 PPT
-
4 思维导图
第一节 食管的炎症

1.急性食管炎(acute esophagitis) 不多见。可由细菌(如白喉、伤寒杆菌等)、病毒(单纯疱疹病毒、巨细胞病毒等)、真菌(念珠菌等)引起,多伴发于全身感染、肿瘤、糖尿病及免疫功能异常。也可由机械损伤(如插管)或化学性损伤(腐蚀性试剂或药物)引起。病变主要为粘膜充血、水肿、糜烂及溃疡形成,伴不同程度的嗜中性粒细胞浸润。白喉、白色念珠菌感染可见由纤维素构成的白色膜状物。
2.慢性食管炎(chronic esophagitis) 多因急性未治愈迁延所致。亦可由于长期喜食刺激性食物、吸烟等不良习惯引起。病变主要为粘膜上皮的增生,伴或无不典型增生,形成肉眼可见的白斑,并见不同程度的淋巴细胞、浆细胞浸润。长期且严重者,食管全层受累,纤维组织明显增生可致食管狭窄。
3.返流性食管炎(reflux esophagitis) 属慢性食管炎,较多见,多伴慢性胃炎。多由于胃和/或十二指肠内容物返流入食管,引起食管粘膜充血、水肿、糜烂、溃疡、化生和纤维化等病变。食管下段括约肌功能障碍、食管裂孔疝、腹内压增加、残胃、幽门梗阻等均可导致胃液返流。正常人也可有胃食管返流,但非持续性,常见于白天,进餐或餐后,每天少于1小时。胃液中的胃酸和胃蛋白酶长期持续作用于食管鳞状上皮可引起各种病变。

(1)肉眼观,食管下段粘膜出现长短不等、条状发红的糜烂面。

(2)镜下见粘膜充血、水肿和嗜中性粒细胞和嗜酸性粒细胞浸润,继而粘膜糜烂、脱落,累及粘膜下层常出现溃疡。相邻鳞状上皮的基底细胞增生,上皮脚下延和固有膜乳头上伸。长期胃液返流刺激,病变经久不愈,由于肉芽组织增生,纤维化及至瘢痕形成,可导致食管缩短、变形和狭窄。

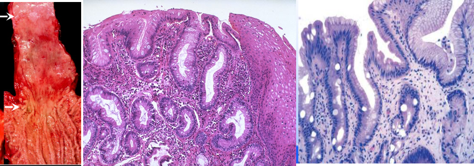
4.Barrett食管(barrett’s esophagus) 长期的胃-食管返流,食道鳞状上皮被柱状上皮取代。有人称之为胃贲门粘膜上移,也有人称之为化生。常出现在食管—贲门粘膜上皮齿状交界线3cm以上的粘膜。柱状上皮为贲门粘膜上皮或胃底粘膜上皮,常伴不完全性肠上皮化生。现认为其是一种癌前病变,可恶性转化,发生腺癌。








