-
1 理论知识
-
2 微课视频
-
3 PPT
-
4 思维导图
-
5 临床病理讨论
第一节 动脉粥样硬化

一、概念
动脉硬化(arteriosclerosis)是指一组以动脉壁增厚、变硬和弹性减退为特征的动脉硬化性疾病,包括以下三种类型:
①动脉粥样硬化(atherosclerosis,AS)是最常见的和最具有危害性的疾病;
②动脉中层钙化(M nckeberg medial calcification)较少见,好发于老年人的中等肌型动脉,表现为中膜的钙盐沉积,并可发生骨化;
③细动脉硬化症(arteriolosclerosis,arteriolar sclerosis)常与高血压和糖尿病有关,其基本病变主要是细小动脉的玻璃样变(详见高血压病)。
其中,AS是一种与血脂异常及血管壁成分改变有关的动脉疾病,是心血管系统疾病中最常见,且危害最大的一类疾病,特点如下:
|
|
二、病因及发病机制
(一)病因
AS病因至今仍不十分清楚,下列因素被视为危险因素(risk factors)。
1.高脂血症(hyperlipidemia) 高胆固醇和高甘油三酯血症是AS的最主要危险因素。
血脂以脂蛋白(lipoprotein,LP)的形式在血液循环中进行转运,因此高脂血症实际上是高脂蛋白血症。低密度脂蛋白(low-density lipoprotein,LDL)是AS和CHD的主要致病因素。极低密度脂蛋白(VLDL)和乳糜微粒(CM)也与AS发生有密切关系。高密度脂蛋白(HDL)有抗氧化作用,防止LDL氧化,并可通过竞争机制抑制LDL与血管内皮细胞受体结合而减少其摄取,因此,HDL具有抗AS和CHD发病作用。
2.高血压 高血压时血流对血管壁的机械性压力和冲击作用较强;血压能直接影响动脉壁结缔组织代谢;高血压可引起内皮损伤和(或)功能障碍,使内膜对脂质的通透性增加;与高血压发病有关的肾素、儿茶酚胺和血管紧张素等也可改变动脉壁代谢,导致血管内皮损伤,从而造成脂蛋白渗入内膜增多、血小板和单核细胞粘附、中膜SMC迁入内膜等变化,促进AS发生和发展。
3.吸烟 大量吸烟导致内皮细胞损伤和血内一氧化碳(CO)浓度升高,碳氧血红蛋白增多。血中CO的升高刺激内皮细胞释放生长因子(growth factor,GF),促使中膜SMC向内膜迁入、增生,参与AS的发生。大量吸烟可使血中LDL易于氧化(oxidization),氧化LDL有更强的致AS的作用。烟内含有一种糖蛋白,可激活凝血因子Ⅻ及某些致突变物质,后者可引起血管壁SMC增生。吸烟可以增强血小板聚集功能、升高血中儿茶酚胺浓度及降低HDL水平。这些都有助于AS发生。
4.糖尿病和高胰岛素血症 是与继发性高脂血症有关的疾病。糖尿病患者血中TG、VLDL水平明显升高,而HDL水平降低,与AS和CHD关系极为密切。高血糖可致LDL糖基化和高甘油三酯血症,后者易产生sLDL并被氧化,有利于LDL促进血单核细胞迁入内膜而转为泡沫细胞。血中胰岛素水平越高,HDL含量越低,冠心病发病率和死亡率越高。
5.遗传因素 家族性高胆固醇血症、家族性脂蛋白脂酶缺乏症等患者AS的发病率显著高于对照组,提示遗传因素是AS的危险因素。
6.其它因素
(1)年龄:AS检出率和病变程度的严重性随年龄增加而增高,并与动脉壁的年龄性变化有关。 (2)性别:女性绝经前HDL水平高于男性,LDL水平低于男性,患冠心病几率低于同龄组男性。绝经后,两性间发病率差异消失。 (3)体重超重或肥胖。 (4) 感染:有实验报道某些病毒可能与AS发生有关。
(二) 发病机制
内皮细胞损伤的作用(损伤-应答学说):
内膜损伤 —> 脂质渗入 —> 单核细胞/SMC迁入内膜并吞噬脂质 —> 泡沫细胞 —>崩解 —> 粥糜样物:
三、 基本病理变化
AS主要发生于大、中动脉,最好发于腹主动脉,其次依次为冠状动脉、降主动脉、颈动脉和脑底Willis环。这些动脉分叉、分支开口、血管弯曲凸面为好发部位。AS的基本病变是在动脉内膜形成粥样斑块,主要有3种成分:
| ① 细胞,包括SMC、巨噬细胞和T淋巴细胞; |
| ② 细胞外基质,包括胶原、弹性纤维和蛋白多糖; |
| ③ 细胞内和细胞外脂质。 |
这三种成分的含量和分布随斑块的变化有所不同。典型病变的发生发展经过4个阶段,即:脂纹(fatty streak)---纤维斑块(fibrous plaque)---粥样斑块(atheromatousplaque),亦称粥瘤(atheroma)---继发病变 (complicated plaque )。
1.脂纹(fatty streak)
脂纹是AS的早期病变。脂纹最早可出现于儿童期,但并非都发展为纤维斑块,是一种可逆性病变。


(图3-1)
肉眼观:动脉内膜见黄色帽针头大小的斑点或宽约1~2mm、长短不一的条纹,平坦或略为隆起,在血管分支开口处更明显。
(图3-2)动脉内膜见黄色帽针头大小的斑点或宽约1~2mm、长短不一的条纹,平坦或略为隆起
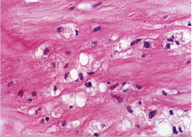
光镜下:脂纹处内皮细胞下有充满脂质的FC(泡沫细胞)大量聚集,FC体积较大,胞浆呈空泡状。FC(泡沫细胞)来源于从血中迁入内膜的单核细胞和由中膜迁入内膜的SMC(平滑肌细胞)吞噬脂质而形成的。此外,可见较多的基质,数量不等的合成型SMC(含大量粗面内质网,核蛋白体及线粒体),少量淋巴细胞,中性粒细胞等。
(图3-3)FC(泡沫细胞)大量聚集,FC体积较大,胞浆呈空泡状。
2.纤维斑块(fibrous plaque)
(图3-4)主动脉后壁见黄白色纤维斑块
脂纹进一步发展演变为纤维斑块。
肉眼观:纤维斑块初为隆起于内膜表面的灰黄色斑块,后因斑块表层胶原纤维的增多及玻璃样变性而呈瓷白色,如蜡滴状。斑块直径0.3~1.5cm,并可融合。
(图3-5)
光镜下:典型的病变主要由三个区组成:
①纤维帽(fibrous cap) 是指内皮下和坏死中心之间区,由密集的胶原纤维、散在性SMC和巨噬细胞以及少量弹力纤维和蛋白聚糖组成; |
②脂质区(lipid zone) 由FC、细胞外脂质和坏死碎片组成,该区较小或不明显; |
③基底部(basal zone) 由增生的SMC、结缔组织和炎细胞组成。不同斑块含有不等量的三个病变区。 |
| 纤维斑块怎么来的?? |
|
3.粥样斑块(atheromatous plaque) 亦称粥瘤(atheroma)。

(图3-6)
肉眼观:动脉内膜面见明显隆起的灰黄色斑块。切面见纤维帽的下方有黄色粥糜样物。
(图3-7)
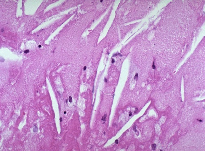
光镜下:在玻璃样变的纤维帽的深部为大量无定形坏死物质,其中可见胆固醇结晶(HE片中为针形或梭形空隙,图3-9)及钙化。坏死物底部及周边可见肉芽组织、少量FC和淋巴细胞。病灶处中膜平滑肌受压萎缩而变薄。外膜可见毛细血管新生、结缔组织增生及淋巴细胞、浆细胞浸润(图3-8)。

(图3-8)

(图3-9)
4.继发性病变 继发性病变指在纤维斑块和粥样斑块的基础上的继发改变,包括:
(1)斑块内出血:斑块内新生的毛细血管破裂出血,也可因斑块纤维帽破裂而血液流入斑块,形成斑块内血肿,使斑块迅速增大并突人管腔,甚至使管径较小的动脉完全闭塞,导致急性供血中断,致使该动脉供血器官发生梗死。如冠状动脉粥样硬化伴斑块内出血,可致心肌梗死。
(图3-10)
(2)斑块破裂:破裂常发生在斑块周边部,因该处纤维帽最薄,抗张力差。斑块破裂粥样物自裂口处排入血流,遗留粥瘤性溃疡而易导致血栓形成。
(图3-11)
(3)血栓形成:病灶处内皮细胞受损和粥瘤性溃疡,使动脉壁胶原纤维暴露,引起血小板粘附、聚集形成血栓,从而加重病变动脉的狭窄,甚至阻塞管腔导致梗死形成,如心和脑的梗死。如血栓脱落,可导致栓塞。
(图3-12)
(4)钙化:钙化多发生在陈旧的病灶内。钙盐沉着在纤维帽及粥瘤灶内。钙化导致动脉壁变硬变脆,易于破裂。
(图3-13)
(5)动脉瘤形成:严重粥样斑块由于其底部中膜平滑肌萎缩变薄,弹性减弱,不能承受血流压力而向外局限性扩张,形成动脉瘤,动脉瘤破裂可致大出血。另外,血流可从粥瘤溃疡处侵入主动脉中膜,或中膜内血管破裂出血,均可造成中膜撕裂,形成夹层动脉瘤。
(图3-14)
四、重要器官的动脉粥样硬化及后果


|
|
|
|






2.脑动脉粥样硬化
病变最常见于基底动脉、大脑中动脉和Willis环。病变动脉呈不同程度的管腔狭窄,并可因继发改变加重管腔狭窄甚至闭塞。因脑动脉管壁较薄,肉眼上可见呈灰白色的病灶,手触有硬结节感,切面上管壁增厚。脑组织因长期供血不足而发生萎缩,表现为脑回变窄,脑沟变宽、变深,实质变薄,重量减轻。患者精神变态,记忆力和智力减退,甚至痴呆。急性供血中断、可致脑梗死(脑软化)。因脑小动脉管壁较薄,脑动脉粥样硬化病变可形成小动脉瘤,破裂可引起致命性脑出血。

(动脉瘤破裂---脑出血)
3.肾动脉粥样硬化
病变最常发生在肾动脉开口处及主干近侧端,亦可累及弓形动脉和叶间动脉,常引起顽固性肾血管性高血压;亦可因斑块内出血或血栓形成致肾组织梗死,梗死机化后形成较大瘢痕,使肾体积缩小,称为动脉粥样硬化性固缩肾。














































