第三节 滋养层细胞疾病

一、葡萄胎(hydatidiform mole)
葡萄胎(hydatidiform mole)又称水泡状胎块,是胎盘绒毛的一种良性病变,可发生于育龄期的任何年龄,以20岁以下和40岁以上女性多见,这可能与卵巢功能不足或衰退有关。该病在我国较常见,23个省市和自治区调查统计表明发病率为1/150次妊娠。
1. 病因和发病机制
病因未明,近年来葡萄胎染色体研究表明,90%以上完全性葡萄胎为46XX(极少数为46xy),可能受精时,父方的单倍体精子23X在丢失了所有的母方染色体空卵中自我复制而成纯合子46XX,两组染色体均来自父方,缺乏母方功能性DNA。其余10%的完全性葡萄胎为空卵在受精时和两个精子结合(23X和23Y),染色体核型为46XY,上述两种情况提示完全性葡萄胎均为男性遗传起源。由于缺乏卵细胞的染色体,故胚胎不能发育。部分性葡萄胎的核型绝大多数为69XXX或69XXY,极偶然的情况下为92XXXY。由带有母方染色体的正常卵细胞(23X)和一个没有发生减数分裂的双倍体精子(46XY)或两个单倍体精子(23X或23Y)结合所致。

2. 病理变化
(1)肉眼观,病变局限于宫腔内,不侵入肌层。胎盘绒毛高度水肿,形成透明或半透明的薄壁水泡,内含清亮液体,有蒂相连,形似葡萄。若所有绒毛均呈葡萄状,称之为完全性葡萄胎;部分绒毛呈葡萄状,仍保留部分正常绒毛,伴有或不伴有胎儿或其附属器官者,称为不完全性或部分性葡萄胎。绝大多数葡萄胎发生于子宫内,个别病例也可发生在子宫外异位妊娠的所在部位。
| 完全性 | 部分性 |

| 
|
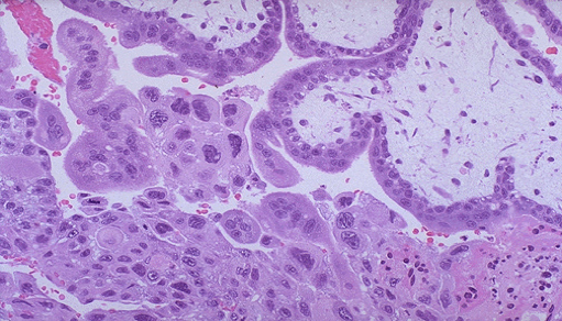
(2)镜下,葡萄胎有以下三个特点:①绒毛因间质高度水肿而增大;②绒毛间质内血管消失,或见少量无功能的毛细血管,内无红细胞;③滋养层细胞有不同程度增生,增生的细胞包括合体细胞滋养层细胞(syncytiotrophblast)和细胞滋养层细胞(cytotrophoblast),两者以不同比例混合存在,并有轻度异型性。滋养层细胞增生为葡萄胎的最重要的特征。

细胞滋养层细胞(郎罕细胞)位于正常绒毛内层,呈立方或多边形,胞浆淡染,核圆居中,染色质较稀疏。合体滋养层细胞位于正常绒毛的外层,细胞体积大而不规则,胞浆嗜酸呈深红色,多核,核深染而不规则。正常绒毛在妊娠3个月后,滋养层细胞仅剩合体滋养层细胞,而葡萄胎时这两种细胞皆持续存在,并活跃增生,失去正常排列,呈多层或成片聚集。

3. 临床病理联系
患者多半在妊娠的第四或第五个月出现症状,由于胎盘绒毛水肿致子宫体积明显增大,超出相应月份正常妊娠子宫大小。因胚胎早期死亡,虽然子宫超过5个月妊娠大小,但仍听不到胎心,亦无胎动。由于滋养细胞增生,患者血和尿中绒毛膜促性腺激素(Human chorionic gonadotropin,HCG)明显增高,是协助诊断的重要指标。滋养层细胞侵袭血管能力很强,故子宫反复不规则流血,偶有葡萄状物流出。如疑为葡萄胎时,大多数患者可经超声检查确诊。

葡萄胎经彻底清宫后,绝大多数能痊愈。约有10%患者可转变为侵蚀性葡萄胎,2.5%左右可恶变为绒毛膜上皮癌。因葡萄胎有恶变的潜能,如患者不需要再生育,可考虑子宫切除。
伴有部分性葡萄胎的胚胎通常在妊娠的第10周死亡,在流产或刮宫的组织中可查见部分胚胎成分,其生物学行为亦和完全性葡萄胎有所不同,极少演化为绒毛膜上皮癌。
二、侵蚀性葡萄胎(Invasive mole)
侵蚀性葡萄胎为界于葡萄胎和绒毛膜上皮癌之间的交界性肿瘤。侵蚀性葡萄胎和良性葡萄胎的主要区别是水泡状绒毛侵入子宫肌层内形成紫蓝色出血坏死结节,甚至向阴道、肺、脑等远方器官转移。

镜下,滋养层细胞增生程度和异型性比良性葡萄胎显著。常见出血坏死,其中可查见水泡状绒毛或坏死的绒毛。大多数侵蚀性葡萄胎对化疗敏感,预后良好即便不用化疗,转移灶内的瘤组织有可能自然消退。

三、绒毛膜癌(Choriocarcinoma)
绒毛膜癌也称绒毛膜上皮癌,简称绒癌,是滋养层细胞的高度恶性肿瘤。绝大多数与妊娠有关,约50%继发于葡萄胎,25%继发于自然流产,20%发生于正常分娩后,5%发生于早产和异位妊娠等。以30岁左右青年女性多见。
1. 病理变化
(1)肉眼观,癌结节呈单个或多个,位于子宫的不同部位,大者可突入宫腔,常侵入深肌层,甚而穿透宫壁达浆膜外。由于明显出血坏死,癌结节质软,色暗红或紫兰色。

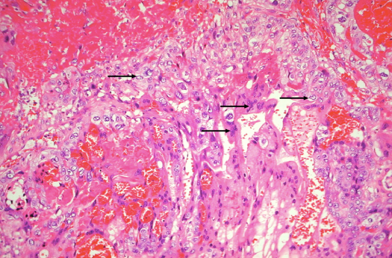
(2)镜下,瘤组织由分化不良的细胞滋养层和合体细胞滋养层两种瘤细胞组成,细胞异型性明显,核分裂像易见。两种细胞混合排列成巢状或条索状,偶见个别癌巢主要由一种细胞组成。肿瘤自身无间质血管,依靠侵袭宿主血管获取营养,故癌组织和周围正常组织有明显出血坏死,有时癌细胞大多坏死,仅在边缘部查见少数残存的癌细胞。癌细胞不形成绒毛和水泡状结构,这一点和侵蚀性葡萄胎明显不同。

除子宫外,和葡萄胎一样,异位妊娠的相应部位也可发生绒毛膜癌。
2. 扩散
绒毛膜癌侵袭破坏血管能力很强,除在局部破坏蔓延外,极易经血道转移,以肺和阴道壁最常见,其次为脑、肝、脾、肾和肠等。少数病例在原发灶切除后,转移灶可自行消退。
3. 临床与病理联系
临床主要表现为葡萄胎流产和妊娠数月甚至数年后,阴道出现持续不规则流血,子宫增大,血或尿中HCG持续升高。血道转移是绒毛膜癌的显著特点,出现在不同部位的转移灶可引起相应症状。如有肺转移,可出现咯血、胸痛;脑转移可出现头痛、呕吐、瘫痪及昏迷;肾转移可出现血尿等症状。
绒癌是恶性度很高的肿瘤,治疗以往以手术为主,多在一年内死亡。自应用化疗后,治愈率明显提高,死亡率已降低到20%以下。
【病史摘要】
患者,王某,女,32岁,因反复咯血、咳嗽、胸痛及头痛入院治疗。曾在某医院经X线检查诊断为肺炎,予以抗感染治疗。停止治疗后未再行X线复查。半年来反复略血,伴头痛,遂入院治疗。患者3个月前出现阴道不规则流血,并有烂肉样碎组织排出,时常有咳嗽、胸痛、头痛、抽搐等症状。入院后用各种抗生素治疗,其间仍感头痛、胸痛,咯血多次,近日症状持续加重。死亡前一天早晨起床后突感头痛,随即倒地,昏迷,瞳孔散大,呼吸、心搏停止。
既往史:死者曾经人工流产2次,半年前第二次人工流产后月经有时淋滴不尽。
【尸检摘要】
患者消瘦贫血状,腹腔内有血性液体约400mL,双侧胸腔中也有同样性状液体100mL。心脏重320g,脾脏重160g,肝脏重3200g,表面和切面见数个直径 1~2.5 cm的出血性结节,有融合。肺切面查见多个结节,直径 2cm 左右,伴出血、坏死;左右两侧肾脏各120g;脑重1300g,表面有多个出血性病灶,直径1.5cm,脑组织水肿。子宫13cm×12cm×13.5cm,子宫底后壁见直径4.5cm的出血性结节,质脆而软,切面呈紫红色,坏死、溃烂,边界不清,浸润子宫肌层并穿破肌层达浆膜,子宫旁有多个蚕豆大小的紫红色结节,双附件正常。阴道壁查见3个紫红色结节,在盆腔内也有不规则的出血性肿块。
【讨论题】
1.该死者可能的死亡原因是什么?
2.该死者所患何病?所患病的病变特点是什么?
3.根据所学的病理学知识解释死者生前出现的一系列症状和体征。
4.该病的发生、发展是怎样的?