第二节 感染性疾病
(流行性脑脊髓膜炎 & 流行性乙型脑炎)

一、流行性脑脊髓膜炎
化脓性脑膜炎(Suppurative meningitis)是指软脑膜和蛛网膜的化脓性炎症。可分为流行性脑膜炎(流脑)和败血症性脑膜炎。前者是原发的、常为散发性及流行性。后者为继发于体内病灶,两者病理变化相似。
(一)病因及发病机制
化脓性脑膜炎的致病菌类型因年龄不同而异。婴幼儿多为流感嗜血杆菌引起;青少年以脑膜炎双球菌为主,该菌存在于病人及带菌者的鼻咽部,经飞沫传染。大多数人引起局部轻度炎症,成为健康带菌者,仅有少数人由于各种原因,机体抵抗力下降,细菌经上呼吸道粘膜侵入血流,在血中繁殖,到达脑脊髓膜引起脑膜炎。

(二)病理变化
肉眼观,脑脊膜血管扩张充血,蛛网膜下腔充满灰黄色脓汁。脓汁沿血管分布,在无脓汁的蛛网膜变成不透明,出现淤血。如脑脊液循环出现障碍,可引起脑室扩张。

镜下,蛛网膜下腔可见大量嗜中性粒细胞、纤维蛋白、淋巴细胞。用革兰氏染色,细胞内外可见细菌。病变严重者,脑膜血管壁可发生脉管炎和血栓形成。

(三)临床病理联系
除发热等感染性全身症状外,常伴神经症状:
1.脑膜刺激症状:颈项强直。炎症累及脊髓神经根周围的蛛网膜、软脑膜、软脊膜,致使神经根通过椎间孔时受压,当颈部或背部肌肉活动时引起疼痛。颈项强直是颈部肌肉对上述情况所出现的一种保护性痉挛状态。在婴幼儿,由于腰背肌肉发生保护性痉挛可引起角弓反张的体征。Kernig征(屈髋伸膝征)阳性,因腰骶节段神经后根受到炎症波及受压,当屈髋伸膝时,坐骨神经受到牵引,腰神经根受压疼痛而出现阳性体征。
2.颅内压升高症状:头痛,喷射性呕吐、小儿前囟饱满。这是由于脑膜血管充血,蛛网膜下腔渗出物堆积,蛛网膜颗粒因脓汁阻塞而影响脑脊液吸收所致。如伴有脑水肿,则颅内压升高更显著。
3.颅神经麻痹:由于基底部脑膜炎累及自该处出颅的Ⅲ、Ⅳ、Ⅴ、Ⅵ和Ⅶ对颅神经,因而引起相应的神经麻痹症状。
4.脑脊液变化:压力升高,混浊不清,含大量脓细胞、蛋白增多,糖减少,经涂片和培养检查可找到病原体。脑脊液检查是本病诊断的一个重要证据。
5.败血症表现:出现寒战、高热及出血性皮疹等,后者是由于脑膜炎双球菌侵入血流以及皮肤细动脉、毛细血管发生细菌栓塞和内毒素对血管壁的损伤所致。
(四)结局和并发症
及时治疗和应用抗菌素,大多数患者都能痊愈,其病死率已降到5%以下。如不能及时治疗,病变可由急性转为慢性,并可出现以下后遗症:①脑积水:由脑膜粘连,脑脊液循环障碍所致。②颅神经麻痹:如耳聋、斜视、视力障碍、面神经瘫痪等。③脑缺血和梗死:脑底脉管炎导致管腔阻塞。
暴发性脑膜炎球菌败血症是暴发性脑脊膜炎的一种类型,多见于儿童。起病急,病情凶险,主要表现为周围循环衰竭,休克和皮肤大片紫癜。同时,两侧肾上腺严重出血,肾上腺皮质功能衰竭,称为沃-弗(Warterhouse-Friederichsen)综合征,其发生机制是因内毒素所致弥漫性血管内凝血,常在短期因严重败血症死亡,患者脑膜症状轻微。
二、流行性乙型脑炎
流行性乙型脑炎(epidemic encephalitis)为乙型脑炎病毒所致的急性传染病,多在夏秋季流行,儿童患病率高于成年人,尤以10岁以下儿童为多。此病起病急,病情重,死亡率高。临床表现为高热、嗜睡、抽搐、昏迷等。
(一)病因及传染途径
乙型脑炎病毒为RNA病毒,其传播媒介为蚊。带病毒的蚊叮人吸血时,病毒可侵入人体,先在局部血管内皮细胞及单核巨噬细胞系统中繁殖,入血后引起短暂性毒血症。在免疫功能低下、血-脑屏障不健全时,病毒可以侵入中枢神经系统而发病。
(二)病理变化
病变可累及整个脑灰质,以大脑皮质、基底核、视丘最重。小脑皮质、延髓次之,脊髓病变最轻,常仅限于颈段脊髓。

流行性乙型脑炎:切面可见粟粒或针尖大软化灶
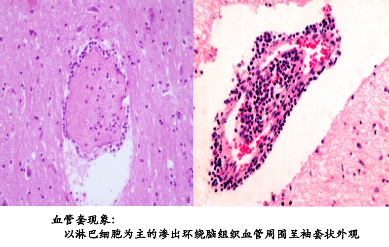
1.血管套袖现象: 血管扩张充血,血管周围间隙增宽。灶性炎细胞围绕血管周围间隙形成血管套袖现象,其炎细胞以内皮细胞、单核细胞、浆细胞为主。早期可有少数嗜中性粒细胞。

2.卫星现象和噬神经细胞现象: 神经细胞变形坏死,周围被增生的少突胶质细胞所环绕,称为卫星现象,如神经细胞坏死,被胶质细胞吞噬,称为嗜神经细胞现象。
3.软化灶形成: 灶性神经组织坏死、液化形成筛网状软化灶。对本病有诊断意义。

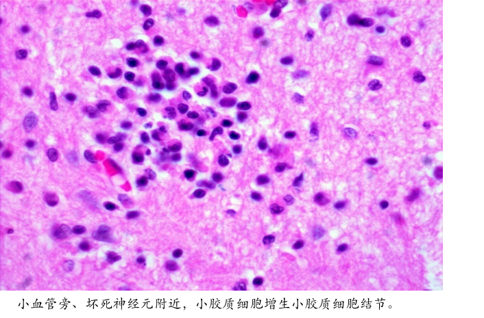
4.小胶质细胞结节:小胶质细胞增生,形成小胶质细胞结节。多位于小血管旁或坏死的神经细胞附近。

(三)临床病理联系
昏迷和嗜睡是最早出现的症状,此为神经细胞受累所致。如颅神经受损则导致相应的麻痹症状。脑内血管扩张充血、血流淤滞、内皮细胞受损可使血管通透性增高,引起脑水肿和颅内压增高,患者出现头痛、呕吐。严重者出现脑疝,其中小脑扁桃体疝可以致死。因脑膜有不同程度的炎症反应,可出现脑膜刺激症状。
本病经治疗,患者多数在急性期后痊愈。有的出现痴呆、语言障碍、肢体瘫痪、颅神经麻痹等症状,有的经数月后恢复正常,少数留下后遗症。
【病史摘要】
患者,男,4岁。主诉:乏力、低热、嗜睡1周,头痛、高热2日。
现病史:家长述患儿近几日不爱活动,嗜睡、进食差、乏力,2天前体温突然升高,在家退热治疗症状有缓解。患儿晨起头痛,呕吐2次,呕吐物为胃内容物,抽搐2次,遂入院就诊。
体格检查:体温40℃,脉搏128次/分、呼吸40次/分、血压70/40mmHg,面色苍白无光泽,神志不清,时有惊厥,两侧瞳孔不等大,光反射迟钝,呼吸深浅不均,节律不齐,听诊肺部有湿啰音,颈部发硬,腱反射(++),锥体束征(++);急诊查外周血白细胞总数14.8×109/L,临床初步诊断为“脑炎”,收入ICU病房,立即实施重症急救,1h后惠儿忽然一阵强烈抽搐,立即呼吸、心搏骤停,抢救无效死亡。
【尸检摘要】
肉眼可见脑组织膨隆,血管充血。镜下可见血管扩张充血,其周有大量的淋巴细胞浸润,神经细胞部分出现变形和坏死,并可见部分区域有软化灶形成。
【讨论题】
1.患者患有何种疾病?依据是什么?
2.如何鉴别流行性脑脊髓膜炎和流行性乙型脑炎?